Introducción
El aflojamiento de vástagos femorales ha sido ampliamente descrito como un factor de riesgo inequívoco de fractura periprotésica,1,2,3,4 ya que se reduce la cantidad de energía necesaria para desencadenar el evento.2 Este aflojamiento se definiría a grandes rasgos como el fracaso de una prótesis articular en ausencia de causas mecánicas que lo hayan propiciado5 (p. ej. fractura). Esto puede ocurrir o bien porque el vástago nunca logró su propósito de osteointegrarse, o bien porque sí lo hizo, pero perdió su estabilidad como fruto de una reacción inflamatoria,6 ya sea de origen infeccioso o no. Su diagnóstico continúa siendo controvertido al día de hoy, habiendo facultativos que diferencian entre el diagnóstico clínico de aflojamiento y el diagnóstico radiológico de aflojamiento.
Sin embargo, sigue habiendo muchos aspectos por aclarar acerca de esta asociación aflojamiento-fractura, existiendo incluso estudios experimentales que ponen en duda la conexión.7 Una vez sospechado el aflojamiento del implante, se suele indicar el recambio antes que se produzcan potenciales complicaciones derivadas del vástago aflojado. Sin embargo, el tiempo desde los primeros indicios clínicos y radiológicos hasta la cirugía de recambio varía según la práctica individual y experiencia de cada cirujano, sin haber un claro consenso.
El objetivo de nuestro estudio es determinar qué potenciales aspectos concretos del aflojamiento (radiológicos, clínicos o combinados) pueden ser de mayor utilidad, en la predicción y prevención de fracturas periprotésicas.
Material y métodos
Se realizó un estudio de casos y controles retrospectivo, comparando dos grupos de pacientes con diagnóstico de aflojamiento protésico tratados en nuestro centro entre los años 2016 y 2023:
Casos: pacientes que sufrieron fractura periprotésica femoral antes de poder realizar recambio del vástago aflojado (n = 9). Estos pacientes fueron reclutados del total de fracturas periprotésicas femorales ocurridas en nuestro centro durante el periodo de tiempo establecido (n = 28), realizándose el diagnóstico de aflojamiento de manera retrospectiva a través de estudios radiológicos y comentarios clínicos de evolución previos a la fecha de fractura.
Controles: pacientes con diagnóstico de aflojamiento protésico, sometidos a cirugía de recambio, sin llegar a producirse fractura periprotésica (n = 19) (Figura 1).
El diagnóstico de aflojamiento se obtuvo de la combinación de la presencia de signos:
Clínicos: dolor derivado del implante (frecuentemente referido en muslo), principalmente durante la marcha o movimiento.
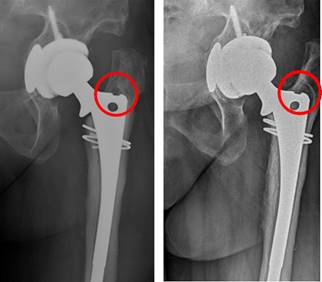
Radiológicos: hallazgo en radiografías simples de radiolucencias progresivas de más de 2 mm en dos radiografías espaciadas al menos un año (describiendo su localización según las zonas de Gruen) (Figura 2). También se tuvieron en cuenta otros hallazgos radiológicos como el stress shielding, el fenómeno del pedestal, el desgaste del polietileno o el hundimiento del vástago. Por último, también incluimos pacientes con hallazgos incongruentes en radiografías simples, pero que mostraron signos de aflojamiento en otras pruebas complementarias radiológicas (resonancia magnética, tomografía computarizada y gammagrafía).
Aquellos pacientes que sólo presentaran signos radiológicos o clínicos, pero no ambos, fueron excluidos del estudio. Se excluyeron también las fracturas periprotésicas que involucraron el componente acetabular, así como cualquier cuadro infeccioso que justificara el aflojamiento y/o la fractura, evaluando únicamente los aflojamientos asépticos. Para minimizar el riesgo de sesgos, fueron excluidas del estudio las fracturas provocadas por traumatismos de alta energía, las fracturas patológicas de origen oncológico y todo paciente que ya tuviera algún recambio protésico previo en la cadera afecta (evaluación únicamente de implantes primarios).
Todos los procedimientos fueron realizados por cuatro cirujanos experimentados en patología de cadera de nuestro centro, empleando para ello el abordaje posterolateral de Moore.
Se estudiaron parámetros epidemiológicos, clínicos y radiológicos, tipo de implante empleado y parámetros de resultado, como las pérdidas sanguíneas perioperatorias derivadas de los procedimientos (revisión de vástago vs tratamiento de fracturas) y el tiempo de estancia hospitalaria global en cada caso.
Se empleó el programa informático SPSS para el análisis estadístico, empleando las pruebas de t de Student para variables cuantitativas paramétricas, χ2 y test exacto de Fisher para variables cualitativas y las curvas de supervivencia de Kaplan-Meier para evaluar la supervivencia de los implantes.
Resultados
Con respecto a los parámetros epidemiológicos, se apreció una mayor frecuencia de mujeres en los casos (52.9 vs 47.1% de varones), de manera estadísticamente significativa (p = 0.04), la media de edad mayor en este grupo fue de 90.68 ± 4.84 años respecto a los controles (p = 0.03).
Encontramos que, en el seguimiento de los pacientes, la intensidad de dolor evaluado en la escala visual analógica (EVA) en el grupo control fue superior de manera estadísticamente significativa (p = 0.01), quedando registrada una mayor clínica que dificultaba las actividades de la vida diaria. Sin embargo, las características del dolor no mostraron diferencias entre ambos grupos (de características mecánicas, frecuentemente al inicio de la marcha).
En relación con los parámetros radiológicos de aflojamiento, no se encontró que el número de zonas de Gruen afectas o que la suma en milímetros de las dimensiones de las zonas aflojadas mostrara diferencias estadísticamente significativas entre los dos grupos (p = 0.429 y p = 0.524 respectivamente). Sí se apreció una mayor afectación del área 7 de Gruen en el grupo control (78.9%) que en los casos (22.2%) (p = 0.01). Otras tendencias relevantes sin significación incluyen que el aflojamiento en zona 1 fue más frecuente en fracturas AG de Vancouver, el aflojamiento en zona 2 se produjo frecuentemente en fracturas tipo B2 (Figura 3).

Figura 3: Fractura periprotésica Vancouver B2. Nótese las imágenes sugerentes de aflojamiento en zonas de Gruen 2 y 6, así como la imagen compatible con desgaste del polietileno.
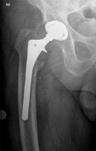
Otros parámetros como el stress shielding (Figura 4) o el fenómeno del pedestal tampoco mostraron diferencias estadísticamente significativas. El desgaste del polietileno fue más frecuente en los casos (37.5%) que en los controles (15.8%) y el hundimiento del vástago (Figura 5) fue más frecuente en controles (21.1 vs 0.0%); aunque ninguno de estos resultados fue estadísticamente significativo. El hundimiento del vástago fue menor en los pacientes con vástago con apoyo metafisario (6.3%) que en los casos en los que no se empleó.

Figura 5: Hundimiento del vástago, medido empleando como referencia distancia entre el hombro de la prótesis y la punta del trocánter mayor.
Con respecto al uso de otras pruebas empleadas en el diagnóstico por imagen del aflojamiento, cabe destacar la tomografía axial computarizada (TAC) (Figura 6) y la gammagrafía (Figura 7). Se efectuaron en 36.8% de los pacientes con aflojamiento sin fractura para confirmación diagnóstica de dicho aflojamiento, cuando éste era inconcluyente a través del estudio de radiografías simples (mostrando tendencia, pero no asociación estadísticamente significativa p = 0.062). Cabe reseñar también que no fueron empleadas para la ayuda al diagnóstico en ninguno de los pacientes del grupo de los casos.

Figura 7: Diagnóstico de aflojamiento por medio de gammagrafía. Se aprecia hipercaptación en la punta del vástago.
Los implantes de fijación metafisaria pura (CORAIL® y SUMMIT®) fueron evidenciados con frecuencia en ambos grupos (representaron 82.5% de los implantes del grupo control y 37.5% de los del grupo fracturas). Los vástagos de anclaje metafiso-diafisario (FURLONG® y AML®) representaron 17.7% de los vástagos del grupo control y 50% de los del grupo fractura. Por último, los menos frecuentes fueron los de fijación diafisaria pura (WAGNER®) que sólo se evidenciaron en el grupo fractura, representando 12.5% del total de éstos. Ni el tipo de implante presentó diagnóstico del aflojamiento ni su tamaño mostró diferencias estadísticamente significativas.
La supervivencia total del implante fue de 183.022 ± 70.73 meses en los casos respecto a 107.12 ± 69.53 meses en el grupo control (p = 0.016). Esta diferencia continúa siendo significativa si comparamos el tiempo total que permanece cada vástago aflojado hasta que se produce el evento desenlace (fractura o recambio): 16.12 ± 13.11 meses en los casos frente a 7.62 ± 5.83 meses en el grupo control (p = 0.024) (Figura 8).

Figura 8: Curva Kaplan-Meier de supervivencia del implante desde que se evidencia el aflojamiento hasta que se produce el evento desenlace, ya sea fractura periprotésica o recambio del vástago. Nótese un mayor tiempo de supervivencia en los vástagos que terminaron en fractura.
Por último, respecto de los parámetros de resultado, no se encontraron diferencias estadísticamente significativas respecto a las pérdidas sanguíneas perioperatorias entre ambos grupos, pero sí se apreció un mayor tiempo de estancia hospitalaria en los casos (11.11 ± 6.91) frente a controles (6.32 ± 2.96) con una p = 0.04.
Discusión
El aflojamiento protésico del vástago femoral en la prótesis total de cadera es un factor de riesgo conocido para el desarrollo de una fractura periimplante. Los hallazgos reflejados por este estudio no apuntan a parámetros concretos predictores de fractura periprotésica, sino al papel terapéutico y protector que ofrece el recambio protésico sobre el riesgo de presentar una fractura, siempre que tengamos un claro diagnóstico de aflojamiento (clínico y radiológico de manera combinada).
Tanto en nuestra serie como en la bibliografía, la avanzada edad y el sexo femenino han sido identificados como factores que aumentan el riesgo de sufrir una fractura periprotésica.1,2,3,8,9
El signo más relevante que identifica nuestro trabajo es la presencia e intensidad del dolor.10 Nuestro estudio no es capaz de identificarlo por sí mismo como un factor predictor de fractura, dada su mayor prevalencia en los controles. Sin embargo, provoca que los médicos responsables identifiquen y traten el aflojamiento protésico de manera más precoz, previniendo de manera secundaria la fractura periprotésica. Esto se hace aun más evidente al contrastar los resultados con los controles, si tenemos en cuenta que hasta un tercio de estos pacientes no tenían seguimiento clínico y radiológico reglado con sus cirujanos. Por ello, no pudo efectuarse un potencial recambio protésico antes de producirse el evento final de fractura. Esto refleja el importante papel protector que suponen los controles clínicos periódicos.
El aflojamiento según las zonas de Gruen en radiografías simples no fue tan relevante en el riesgo de presentar fracturas periprotésicas como sugiere la literatura.11 El aflojamiento del área 7 de Gruen de manera más frecuente en el grupo control podría traducir hipotéticamente una mayor clínica en estos pacientes, posiblemente por movilización rotacional del vástago en la zona donde éste presenta una mayor envergadura. Es interesante ver la tendencia sin significación entre las fracturas tipo AG y el aflojamiento en zona 1, así como la asociación no significativa entre fractura Vancouver B y el aflojamiento radiológico en zona 2. La explicación más razonable pasaría por entender que al ser las zonas más debilitadas del hueso radiológicamente, también son aquéllas por las que fracasa el hueso y se produce la fractura; respecto al stress shielding, no mostró asociación. La razón de esto podría ser que se trata de un proceso de resorción de estructuras óseas que ya no reciben la carga mecánica previa a la cirugía, debido a la acción del implante. Por lo tanto, no tendría por qué presentarse un aumento de la clínica, riesgo de fractura o de fractura periprotésica por compromiso crítico del hueso, tal y como muestran otros artículos de la literatura.12 Respecto al fenómeno del pedestal, constituye una línea transversa esclerótica bajo la punta del vástago, siendo un signo indirecto la mayoría de veces (pero no siempre)13 de ausencia de adecuada fijación circunferencial en la zona donde debe osteointegrarse el implante. Se trata de un signo radiológico que puede pasar desapercibido en muchos casos o incluso confundido con otros hallazgos como el punto de soldadura o spot weld, que constituye la formación de hueso endostal y es un signo indirecto de estabilidad. La literatura científica refleja que el signo del pedestal puede ser fuente de clínica y dolor y nuestro estudio no es capaz de demostrar que actúe como factor predictor o contribuyente directo de fractura periprotésica.8
A nivel acetabular, el desgaste de polietileno genera osteólisis. Debemos estar alerta en aquellos pacientes en los que se observa excentricidad de la cabeza femoral en el cotilo. En estos casos la liberación de debris al espacio articular acelera los procesos de osteólisis alrededor del vástago, si éste no está osteointegrado circunferencialmente de forma completa.14,15,16,17 La mayor prevalencia en los casos de nuestro estudio podría traducir un mayor debilitamiento óseo por osteólisis, predisponiendo antes a la fractura periprotésica, aunque aparentemente sin traducir un marcado aumento en la intensidad del dolor (que continúa siendo mayor en los controles). A nivel femoral, el hundimiento del vástago se evidenció más frecuentemente en el grupo control que en los pacientes con fractura. Existe un artículo que recoge que los vástagos aflojados pueden volverse rotacionalmente estables al aplicar carga sobre ellos, aumentando de manera secundaria su estabilidad y disminuyendo el riesgo de fractura periprotésica; este fenómeno ayudaría a justificar nuestros hallazgos.7 La utilización de collaretes en los implantes es capaz de minimizar este fenómeno de hundimiento,9 algo que también viene reflejado en la literatura científica desde hace años.
Otro aspecto importante lo constituye el apoyo diagnóstico que ofrecen otras pruebas de imagen, concretamente el TAC, resonancia magnética nuclear (RMN) y la gammagrafía. Se trata de pruebas con una alta sensibilidad y especificidad, así como alta eficiencia diagnóstica para el diagnóstico de aflojamientos asépticos;10,11,18 permitieron identificar dicho aflojamiento, especialmente en pacientes en los que el tamaño total sumado en milímetros de las radiolucencias fue escaso.19 Su mayor aplicación y uso en los controles nos habla del papel decisivo que tuvo en muchos de esos pacientes para tomar la decisión de proponer un recambio protésico al realizar un diagnóstico definitivo, protegiendo del riesgo de fractura periprotésica.
No se pudo estudiar si el tipo de fijación constituía un factor de riesgo porque todos los implantes fueron no cementados, aunque como sabemos, el riesgo de fractura será mayor en estadios precoces en no cementados y posteriormente a largo plazo en cementados.20 Tampoco pudimos evaluar el potencial impacto de la vía de abordaje, al ser en todos los casos posterolateral, aunque existe bibliografía que sostiene que no se trata de un factor tan determinante en el riesgo de fractura periprotésica21 al tiempo que otros artículos sostienen lo contrario.22 No se apreció que el tipo de implante, su filosofía de diseño o incluso el tamaño del vástago pudieran suponer en sí mismos un factor de riesgo de fractura, siempre que éste estuviera bien implantado.2,4,7 Al observar los tiempos de supervivencia global del implante entre ambos grupos, podríamos encontrar una potencial explicación a la diferencia de vástagos implantados entre casos y controles, si entendemos la evolución de elección de implantes durante los últimos 30 años en nuestro servicio hospitalario. Sin embargo, el tipo de implante sí que podría explicar algunos hallazgos encontrados (p. ej. más stress riser proximal en vástagos de anclaje diafisario puro).
Respecto a la supervivencia evidenciada de los implantes, encontramos que el mayor tiempo total que permanecen con el vástago aflojado en los casos se explica por la ausencia de un adecuado seguimiento, sobre todo si tenemos en cuenta que los controles tenían controles clínicos y radiológicos menos espaciados en el tiempo (indicándose las intervenciones de recambio de manera precoz). Esto explica también las diferencias totales que encontramos entre ambos grupos respecto a la supervivencia total del implante.
Si valoramos los parámetros de resultado, vemos que no encontramos diferencias respecto a las pérdidas sanguíneas perioperatorias. Esto puede explicarse potencialmente si tenemos en cuenta que tanto el tratamiento quirúrgico de la fractura, como la revisión del implante aflojado son procedimientos quirúrgicos de alta complejidad, pero mayormente comparables entre sí (tiempo, dificultad técnica, etcétera). La diferencia de estancia hospitalaria entre los casos y los controles, vendría justificada por el diferente contexto de los pacientes entre ambos grupos, pues hay que tener en cuenta que los casos son personas de mayor edad con más comorbilidades y que en la mayoría de casos se trata de urgencias diferidas, mientras que los controles suelen ser más jóvenes, gozar de mejor salud y tratarse de procedimientos quirúrgicos programados y reglados.
Conclusión
La mejor herramienta en la prevención de fracturas periprotésicas en pacientes con vástagos aflojados, la constituye el adecuado diagnóstico precoz del mismo y tratamiento (recambio), antes de que se produzca una potencial fractura. Esto pasa por realizar un adecuado seguimiento clínico y radiológico,2 especialmente en pacientes de sexo femenino y de avanzada edad3 y que refieran importante dolor. Teniendo en cuenta la escasa rentabilidad diagnóstica extraída del análisis exclusivo de las radiolucencias en radiografías simples que evidencia nuestro estudio, así como la escasa rentabilidad de otros hallazgos identificables en las mismas, el empleo de pruebas como la gammagrafía y TAC suponen una herramienta complementaria básica para establecer el diagnóstico18 y ayudarnos en la indicación de un recambio proteico si fuera preciso.
En cuanto a las limitaciones de nuestro estudio, encontramos que el carácter retrospectivo del mismo y el limitado tamaño de la muestra, pueden estar privándonos de otros potenciales hallazgos importantes.
El aumento del número total de procedimientos de artroplastía primaria en los últimos años también traducirá inevitablemente un aumento de estos temidos procesos de aflojamiento y fractura. Es por ello que éste es un campo de especial importancia y que los estudios a futuro sean un imperativo moral por el bienestar de nuestros pacientes.










nueva página del texto (beta)






