Introducción
La sinovitis villonodular pigmentada (SVNP) es una patología articular benigna,1 localmente agresiva, que combina características neoplásicas e inflamatorias.2 Se diferencia de otras artropatías por presentar hiperplasia sinovial y depósitos de hemosiderina3 en el espacio articular, vainas tendinosas o bursas de los huesos largos.4 Afecta principalmente a la articulación de la rodilla5 y forma parte de las tumoraciones difusas de células gigantes tenosinoviales (TSGCT),6 destacando histológicamente por la protrusión de células sinoviales gigantes, abundantes histiocitos y fibroblastos periarticulares.7
La sinovitis villonodular pigmentada es infrecuente, aparece en menos de 10% de todas las TSGCT, con una incidencia global de menos de dos casos por cada millón de sujetos.8 Puede presentarse en cualquier edad9,10 y en cualquier sexo, aunque es ligeramente más prevalente en mujeres.11 Etiológicamente se asocia a defectos en los genes PLIN, PPAP2A y TryOBP, entre otros,12 así como a la sobreexpresión del factor estimulante de colonias 1 (CFS-1), responsable de la hiperplasia sinovial y el reclutamiento de macrófagos y osteoclastos.13
Su clínica es inespecífica, caracterizada por dolor e inflamación localizada, sin hallazgos radiológicos característicos.14 El tratamiento de elección es la eliminación de la tumoración mediante artroscopía.15,16 Sin embargo, la tasa de recurrencia tras la operación es alta y cada reintervención incrementa la inflamación y el deterioro articular. Por ello, el enfoque terapéutico actual se centra en la erradicación del tejido sinovial anómalo mediante resección abierta total en combinación o no con terapias adyuvantes.7,17,18,19 Es debido a la rareza de esta patología y las consecuencias de su reaparición que presentamos el caso de una mujer con una nueva manifestación de sinovitis villonodular pigmentada tratada mediante resección quirúrgica abierta.
Caso clínico
Se presenta el caso de una mujer de 25 años con antecedentes de toxicomanías (tabaquismo y consumo diario de cannabis) y una artroscopía de la rodilla derecha en 2017 por sinovitis villonodular pigmentada. Consulta al servicio médico debido a un cuadro agudo de dolor localizado en la rodilla derecha, que presenta una mejoría parcial con el uso de antiinflamatorios no esteroideos. A la exploración física, se observa aumento en el volumen de la rodilla derecha, con indicios de líquido libre en la articulación y limitación en los rangos de movimiento articular.
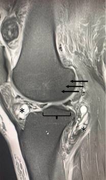
Como parte de la evaluación, se realiza una resonancia magnética nuclear de la rodilla, que revela un edema extenso y difuso en el tejido celular subcutáneo, con afectación de los grupos musculares en la fosa poplítea. Se observan múltiples imágenes quísticas multilobuladas con dimensiones aproximadas de 34 mm, así como nódulos hipointensos en las bursas supra e infrapatelares con dimensiones de 29 mm. Se detecta edema en la porción lateral del cóndilo femoral externo que abarca las regiones anterior y posterior, además de edema en el platillo tibial interno, la región medial de la rótula y signos de lateralización de la rótula, sugestivos de luxación (Figura 1).

Figura 1: Resonancia magnética nuclear de la rodilla afectada. Las llaves muestran la pérdida de la continuidad del borde óseo, así como disminución del espacio articular secundario a la proliferación de tejido sinovial. Las regiones resaltadas con (*) indican proliferación de tejido sinovial con quistes multilobulados en los ligamentos rotulianos. Las flechas indican disminución de la densidad radiográfica asociada a cambios inflamatorios.
Con la sospecha de una recurrencia de la sinovitis villonodular pigmentada de la rodilla, la paciente es programada para cirugía, que consiste en una resección abierta medial y lateral de la rodilla afectada, preservando las estructuras neurovasculares de la fosa poplítea. Durante la cirugía, se observa una infiltración sinovial severa con hipertrofia e hiperpigmentación de una tumoración blanda que afecta tanto el espacio intraarticular como el periarticular, comprometiendo aproximadamente 190 grados de la arteria poplítea. Se lleva a cabo una extensa sinovectomía y se realiza una irrigación con 200 cm3 de solución. Macroscópicamente, se describe una lesión membranosa de aspecto café rojizo, con una consistencia media y dimensiones de 10 × 8 cm y se envía una muestra para su análisis histopatológico. La paciente se recupera en el período postoperatorio sin complicaciones.
El análisis histológico confirma la presencia de estructuras vellosas originadas en la membrana sinovial, asociadas a un estroma denso con células inflamatorias, células gigantes y abundantes histiocitos. Esto confirma el diagnóstico de recidiva de sinovitis villonodular pigmentada con extensión a los tejidos blandos, sin presencia de componente sarcomatoide. La paciente es dada de alta con un régimen de manejo del dolor, sin reportarse complicaciones (Figura 2).
Discusión
En el presente trabajo se abordó el caso de una recurrencia de sinovitis villonodular pigmentada en una mujer joven, la cual fue tratada mediante resección quirúrgica abierta del tejido intra y periarticular. La SVNP ha sido asociada a defectos genéticos, así como a traumatismo articular de repetición.7 Los síntomas más comunes de esta afección incluyen dolor localizado crónico, edema, disminución de los arcos de movimiento e incluso inmovilidad articular de la región afectada,20 estos hallazgos son consistentes con los presentados por la paciente de este caso.
Un dato destacable en el presente caso es el hallazgo de hiperpigmentación difusa del tejido extraído, este dato es extremadamente infrecuente, ya que sólo se ha reportado previamente en una ocasión en el caso de una mujer anciana con SVNP de dos años de evolución.21 Fuera de esto, los hallazgos histopatológicos coinciden con lo reportado anteriormente, donde se destaca la presencia de abundantes células gigantes, osteoclastos y depósitos de hemosiderina.22
La recurrencia de la SVNP se relaciona íntimamente con la persistencia del tejido sinovial afectado en la articulación. Por ende, la identificación de la extensión del daño sinovial es vital para la elección del tratamiento de esta patología.23 La resonancia magnética nuclear es el método imagenológico ideal para el rastreo de las lesiones sinoviales.24 Ya que permite clasificar la SVNP en tres grados distintos: evocativa o inicial, pseudo-coxitis y coxartrosis. Los hallazgos radiográficos típicos incluyen la presencia de lesiones multilobuladas de baja intensidad con incrustaciones de artefactos «en floración», los cuales son secundarios a los depósitos de hemosiderina, así como datos de erosión ósea.25 Estas descripciones coinciden con los elementos distinguidos tanto en el hueco poplíteo como en las regiones perirrotulianas de la paciente de este caso.
Desde su descripción inicial en 1941,26 la SVNP se ha caracterizado por presentar una alta tasa de recurrencia. Si bien todas las TCGTS tienen tasas de recurrencia variables, las formas difusas como la SVNP tienden a reincidir en hasta 46% de los afectados, particularmente cuando cursan con manifestaciones extraarticulares, como en este caso.27 Por lo cual, su tratamiento ideal ha sido tema de debate, los abordajes mediante artroscopía tienen la ventaja de preservar en mayor medida la función articular, así como presentar menor riesgo de sangrado intraoperatorio y una rápida recuperación.28 No obstante, su tasa de recurrencias es mayor debido a que en ocasiones es imposible eliminar la totalidad del tejido sinovial afectado.29 Por su parte, el abordaje quirúrgico abierto reduce las recurrencias de SVNP hasta 50%,30 este porcentaje puede reducirse aún más cuando se utiliza en conjunto con radioterapia coadyuvante.31 De hecho, este beneficio se mantiene a largo plazo tal como lo señala un estudio de revisión, donde la SVNP tratada mediante resección abierta mostró una tasa de recidiva de 9% a comparación de 62% del abordaje mediante artroscopía.32 Dado que en esta ocasión la paciente fue tratada mediante resección abierta se espera un mejor pronóstico a largo plazo que el obtenido en su intervención previa, aun así es recomendable el monitoreo radiográfico de la paciente.
Conclusión
En resumen, este caso abordó la recurrencia de una sinovitis villonodular pigmentada en una mujer joven tratada exitosamente mediante resección abierta. Se tiene la expectativa de que la probabilidad de recurrencia sea inferior en esta ocasión debido a la resección total del tejido sinovial y los hallazgos benignos en el examen histopatológico.










nueva página del texto (beta)



