Introducción
Se estima que la afectación del pie alcanza hasta 80-90% de los pacientes con diagnóstico de artritis reumatoide (AR) y a 66% de los casos con diagnóstico de artritis psoriásica (AP). Tanto las deformidades como los síntomas pueden superponerse en ambas enfermedades y a menudo nos referimos a estas alteraciones en términos globales como «pie reumatoide». A pesar de los grandes avances en las últimas décadas en el tratamiento farmacológico de las enfermedades inflamatorias crónicas, aproximadamente 25-40% de estos pacientes requieren cirugía de pie en algún momento de sus vidas, generalmente a nivel del antepié. Además, otras causas no inflamatorias, como el fracaso de procedimientos quirúrgicos previos en el antepié, también pueden llevar a deformidades complejas en casos particulares.1,2,3,4
Estas deformidades generalmente disminuyen la capacidad de soportar peso del primer metatarsiano, generando una transferencia de la carga a los metatarsianos menores, lo que deriva en metatarsalgia y formación de callosidades.2,4,5 Además, las deformidades severas del antepié causan un impacto considerable en la calidad de vida de estos pacientes debido al dolor al caminar, a la alteración de la marcha y/o a dificultades para el calzado. Estos problemas se pueden abordar quirúrgicamente, pero la indicación quirúrgica debe individualizarse dependiendo de la cantidad de dolor, discapacidad y limitación de la actividad, ya que los procedimientos disponibles a menudo tienen un propósito de salvamento.2,4
Se han descrito varias técnicas quirúrgicas en la reconstrucción de deformidades importantes del antepié.5,6,7,8,9,10,11 En 1911, Hoffmann describió por primera vez una técnica de artroplastía de resección de todas las articulaciones metatarsofalángicas (MTF) con buenos resultados a largo plazo, a pesar de que su objetivo principal era tratar deformidades en garra.6 También se han descrito procedimientos adicionales de artroplastía de resección para la primera articulación metatarsofalángica (MTF),7,8 aunque la fusión de la primera articulación metatarsofalángica ha aumentado su popularidad en las últimas décadas en este tipo de pies complejos.10,12 No obstante, las osteotomías de preservación articular de las cabezas metatarsales han incrementado su aceptación en los últimos años.12,13 Independientemente del procedimiento, los principales objetivos de la cirugía pueden resumirse en aliviar el dolor, corregir deformidades, mejorar la función y la estabilidad de la marcha, aumentar las opciones de calzado y mejorar la apariencia cosmética. Por lo tanto, la reconstrucción del antepié reumatoide debe centrarse en lograr una alineación estable del primer metatarsiano seguida de la alineación de las articulaciones MTF menores, especialmente en el plano sagital para reubicar la placa plantar y la almohadilla grasa plantar debajo de las cabezas metatarsales.10,11
Actualmente, uno de los procedimientos más empleados es la resección de la cabeza de los metatarsianos menores combinada con la fusión de la primera articulación MTF.3,4,5,10,12,13,14 La mayoría de los estudios publicados sobre este tema evalúan resultados a corto y mediano plazo, pero, en nuestro conocimiento, los estudios a largo plazo son escasos. El objetivo de este estudio fue investigar los resultados clínicos y radiográficos a largo plazo, así como las tasas de complicaciones y reintervenciones, de los pies intervenidos por grandes deformidades del antepié mediante procedimiento de artroplastía de resección de las cabezas metatarsales de los radios menores combinado o no con otros procedimientos adicionales en la primera articulación MTF, tanto de origen reumatoide como no reumatoide.
Material y métodos
Pacientes. Realizamos un estudio observacional retrospectivo en nuestra institución, cuyos criterios de inclusión fueron pacientes que habían sido sometidos a cirugía de resección de las cabezas de los metatarsianos menores (exéresis de las cabezas metatarsales) con o sin procedimientos quirúrgicos adicionales en el primer metatarsiano. Identificamos a 42 pacientes elegibles revisando la base de datos de la unidad de cirugía del pie de nuestro departamento. De éstos, 11 habían fallecido o no pudieron ser contactados antes del examen al final de seguimiento. Por lo tanto, se incluyeron y evaluaron a 31 pacientes (36 pies) en el examen final de seguimiento. Todos los participantes proporcionaron un consentimiento informado verbal y el Comité de Ética de Investigación Médica de nuestra institución otorgó la aprobación. La mayoría eran mujeres (87.1%). La edad promedio fue 74.2 ± 11.5 años y el período de seguimiento promedio fue 10.3 ± 4.6 años. La tasa de diagnóstico de enfermedad reumatoide en nuestra cohorte fue de 77.4% (24 pacientes). Los siete pacientes restantes (22.6%) fueron intervenidos debido a secuelas dolorosas de cirugías previas en el antepié. Los datos demográficos de los pacientes incluidos se resumen en la Tabla 1.
Tabla 1: Datos demográficos y epidemiológicos.
| Variable | n (%) |
|---|---|
| Sexo Masculino Femenino |
4 (12.9) 27 (87.1) |
| Pacientes intervenidos | |
| Hombres | 5 (13.9) |
| Mujeres | 31 (86.1) |
| Edad, (años)* | 74.2 ± 11.5 |
| Seguimiento, (años)* | 10.3 ± 4.6 |
| Enfermedad reumatoide Sí Artritis reumatoide Artritis psoriásica No |
24 (77.4) 19 (61.3) 5 (16.1) 7 (22.6) |
* Los datos indican la media ± desviación estándar.
Procedimiento quirúrgico. Todos los pacientes fueron tratados mediante una técnica quirúrgica que consistía en la resección de las cuatro cabezas metatarsales menores a través de una incisión plantar única. La resección se realizó para formar una curva suave con el primer y segundo metatarsiano de similar longitud y la longitud de los otros metatarsianos disminuyendo progresivamente desde el segundo al quinto. Si se indicaba cirugía adicional en la primera articulación MTF, se eligió un abordaje dorsolateral. A este nivel, se realizaron diferentes técnicas que incluyen la fusión de la primera articulación MTF, la artroplastía de resección de la primera articulación MTF o, en algunos casos, ninguna intervención. Se permitió la carga según tolerancia protegida mediante la utilización de un zapato de apoyo en el talón (tacón invertido).
Evaluación clínica. En la visita final de seguimiento, se preguntó a los pacientes si estaban satisfechos con el procedimiento y si se someterían a la misma cirugía nuevamente con su conocimiento actual del procedimiento y los resultados. El resultado clínico se evaluó utilizando dos escalas diferentes: la escala de la Sociedad Americana de Ortopedia de Pie y Tobillo (AOFAS) para el antepié y el cuestionario de pie Manchester-Oxford (MOxFQ).15 Se registraron los valores de la escala visual analógica (EVA) preoperatoria y en la visita final de seguimiento.
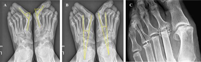
Evaluación radiográfica. Se realizó una evaluación de la luxación de la articulación MTF, el espacio de artroplastía de resección y el tamaño de los osteofitos por remodelación del muñón metatarsal. El espacio de artroplastía de resección se definió como la distancia mínima desde el punto de intersección entre el eje longitudinal y el extremo proximal de la falange proximal hasta el margen distal del muñón correspondiente del metatarsiano. El tamaño de los osteofitos se definió como la suma de la longitud de dos líneas perpendiculares desde el punto más prominente del osteofito hasta una línea tangencial a lo largo de la cortical medial y lateral del metatarsiano. La luxación de la articulación MTP y potenciales recurrencias se evaluaron antes de la cirugía, en el postoperatorio inmediato y en la última visita de seguimiento. El espacio de artroplastía de resección se evaluó en el postoperatorio inmediato y en la última visita de seguimiento. El ángulo intermetatarsiano (IMA) y el ángulo de hallux valgus (AHV) se evaluaron antes de la cirugía y después de la cirugía en la última visita de seguimiento. El tamaño de los osteofitos se midió en la última visita de seguimiento. Todas las medidas se basaron en radiografías anteroposteriores y laterales estándar de los pies en carga (Figura 1).

Tomada de: Matsumoto T, et al.16
Figura 1: Ilustración de las medidas radiográficas. A) Ángulo de hallux valgus. B) Ángulo intermetatarsal. C) Espacio de artroplastía de resección ( c ) y formación de osteofitos por remodelación en el muñón metatarsal (a + b ).
Análisis estadístico. Se utilizaron pruebas t de Student pareadas para evaluar los cambios en AHV e IMA y pruebas t no pareadas se utilizaron para analizar la relación entre las puntuaciones AOFAS/MOxFQ y la satisfacción. Se utilizó el test de Wilcoxon para comparar los valores de la escala visual analógica (EVA) preoperatoria y postoperatoria. Se utilizó el test de Mann-Whitney para evaluar la relación entre los tamaños de los osteofitos y el espacio de resección y el grado de satisfacción. Se utilizó la prueba de correlación de Spearman para analizar la correlación entre los tamaños de los osteofitos y los valores de las puntuaciones AOFAS/MOxFQ. Para cada análisis, se consideró un valor de p < 0.05 como estadísticamente significativo. Los análisis estadísticos de los datos se realizaron utilizando el programa de software estadístico SPSS versión 23.0 (IBM Corp., Armonk, NY).
Resultados
Los pacientes calificaron los resultados generales de la cirugía como satisfactorios en 30 (83.3%) de los 36 pies y 27 pacientes (87.1%) se someterían nuevamente al mismo procedimiento, si fuera necesario. La puntuación AOFAS promedio en la última visita de seguimiento fue 77.9 ± 10.2 puntos. Se obtuvieron puntuaciones más bajas en el dominio «función», mientras que en los dominios «dolor» y «alineación» los resultados fueron excelentes. La puntuación MOxFQ promedio fue 18.3 ± 8.3 puntos. La puntuación más baja se obtuvo en el dominio «Caminar sobre terreno irregular» (2.1 puntos de 4 en promedio), mientras que las mejores puntuaciones se obtuvieron en los dominios relacionados con el dolor (promedio entre 0 y 0.97 puntos de 4) y los ítems relacionados con la capacidad de calzarse cómodamente (0.4 puntos de 4 en promedio). Al ser interrogados, 19 pacientes (61.3%) declararon usar calzado convencional con modificaciones menores. Independientemente del tipo de calzado utilizado, 30 (96.8%) eran capaces de caminar más de 100 metros con zapatos.
Los valores de las puntuaciones en las escalas AOFAS y MOxFQ se correlacionaron significativamente con mejores resultados en pacientes satisfechos con el procedimiento (p = 0.024 y p = 0.02, respectivamente). La puntuación de la escala EVA también mejoró significativamente, con un valor promedio preoperatorio de 7.5 ± 1.2 puntos frente a un valor promedio de 3.4 ± 2.1 puntos en la última visita de seguimiento (p = 0.0001).
La mayoría de los pies requirieron cirugía adicional en la primera articulación del primer dedo, pero no se efectuaron otras cirugías adicionales inicialmente en los radios menores. Realizamos fusión de la primera articulación MTF en 26 pies (72.2%) y artroplastía de resección de la primera articulación MTF en seis (16.7%). Cuatro pies (11.1%) no requirieron ninguna intervención en este nivel.
Desde el punto de vista radiográfico, el valor promedio del AHV en la última visita de seguimiento fue 21.4 ± 10.6 grados, significativamente más bajo que el valor medio preoperatorio de 49.7 ± 15.2 grados (p = 0.0001). El valor promedio de IMA también mejoró significativamente, desde 14.9 ± 3.6 grados preoperatorios a 8.4 ± 2.5 grados en promedio en la última visita de seguimiento (p = 0.001) (Figura 2).

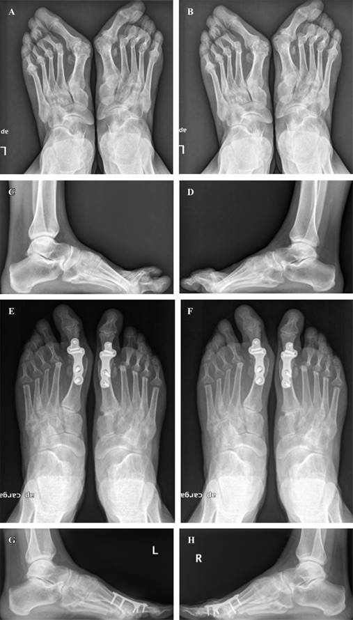
Figura 2: Radiografías anteroposteriores y laterales en bipedestación, pre y postoperatorias, en el seguimiento final de un paciente intervenido en ambos pies (A-H). Las radiografías preoperatorias muestran deformidad tipo hallux valgus grave y destrucción/luxación de todas las articulaciones metatarsofalángicas menores (A-D). Se realizó artrodesis de la primera articulación metatarsofalángica combinada con la artroplastía de resección de las articulaciones metatarsofalángicas menores (E-H).
Antes de la cirugía, tres pies (8.3%) tenían una articulación MTF luxada y 33 (91.7%) tenían dos o más articulaciones MTF de radios menores luxadas. Un total de 25 pies (69.4%) tenían las cuatro articulaciones MTF de radios menores luxadas. En la última visita de seguimiento, seis (16.7%) pies tuvieron recurrencia de la dislocación de la articulación MTF en al menos uno de los dedos menores.
El valor promedio del espacio de artroplastía de resección en el período postoperatorio inmediato fue 4.9, 5.8, 7.4 y 9.8 mm para el segundo, tercer, cuarto y quinto metatarsiano, respectivamente. La suma de todos los espacios de artroplastía de resección en este primer punto de seguimiento fue 27.9 ± 10.3 mm en promedio. En la última visita de seguimiento, estas distancias disminuyeron hasta 1.3, 1.8, 2.5 y 4.4 mm, respectivamente. La suma de todos los espacios de artroplastía de resección en la última visita de seguimiento fue 10.1 ± 7.8 mm en promedio. No se encontraron diferencias significativas entre el espacio de artroplastía de resección y el grado de satisfacción (p = 0.75), ni entre dicho espacio y las puntuaciones en escalas AOFAS (p = 0.17) y MOxFQ (p = 0.11) en la última visita de seguimiento.
El valor promedio del tamaño de los osteofitos metatarsales por remodelación fue de 2.1, 1.7, 1.4 y 0.9 mm para el segundo, tercer, cuarto y quinto metatarsiano, respectivamente. La suma del tamaño total de los osteofitos en la última visita de seguimiento fue 6.1 ± 4.7 mm en promedio. No se encontraron diferencias significativas entre el tamaño de los osteofitos y el grado de satisfacción (p = 0.69), ni entre el tamaño osteofitario y las puntuaciones en escalas AOFAS (p = 0.15) y MOxFQ (p = 0.26) en la última visita de seguimiento. Los resultados se resumen en las Tablas 2 y 3.
Tabla 2: Resultados clínicos.*
| EVA | Preoperatorio | Postoperatorio | p | ||||
|---|---|---|---|---|---|---|---|
| Global | 7.5 ± 1.2 | 3.4 ± 2.1 | 0.0001 | ||||
| Enfermedad reumatoide | 7.7 ± 1.3 | 3 ± 1.9 | 0.36 | ||||
| No enfermedad reumatoide | 7 ± 2.8 | 3.5 ± 3.1 | |||||
| Global | Enfermedad reumatoide | No enfermedad reumatoide | p | Satisfacción | p | ||
| Sí | No | ||||||
| AOFAS | |||||||
| Total (100) | 77.9 ± 10.2 | 76.9 ± 11.4 | 79.3 ± 12.5 | 0.23 | 79.9 ± 6.1 | 76.2 ± 7.1 | 0.024 |
| Dolor (40) | 36.4 ± 8.9 | 36.5 ± 6.6 | 36.8 ± 10.7 | 0.28 | 37.1 ± 4.5 | 35.8 ± 4.1 | |
| Función (45) | 28.5 ± 7.2 | 27.6 ± 8.1 | 31.9 ± 9.8 | 0.21 | 29.3 ± 3.3 | 27.7 ± 3.6 | |
| Alineación (15) | 13.1 ± 4.7 | 12.8 ± 4.2 | 13.2 ± 6.7 | 0.36 | 13.5 ± 2.7 | 12.7 ± 3.3 | |
| MOxFQ | |||||||
| Total | 18.3 ± 8.3 | 19 ± 9.4 | 17.1 ± 10.8 | 0.32 | 15.3 ± 5.2 | 33.1 ± 3.9 | 0.02 |
* Los datos indican la media ± desviación estándar.
EVA = escala visual analógica. AOFAS = American Orthopaedic Foot and Ankle Society. MOxFQ = Manchester-Oxford Foot Questionnaire.
Tabla 3: Resultados radiográficos y su correlación clínica.
| Variable | Preoperatorio | Postoperatorio inmediato | Final de seguimiento | p | Satisfacción | p | AOFAS (p) |
MOxFQ (p) |
|
|---|---|---|---|---|---|---|---|---|---|
| Sí | No | ||||||||
| AMTF luxadas, n (%) | |||||||||
| 0 | 0 (0) | 34 | 30 (83.4) | ||||||
| 1 | 3 (8.3) | 2 | 3 (8.3) | ||||||
| 2-3 | 8 (22.3) | 0 | 3 (8.3) | ||||||
| 4 | 25 (69.4) | 0 | 0 (0) | ||||||
| AHV* | 49.7o ± 15.2o | 21.4o ± 10.6o | 0.0001 | ||||||
| IMA* | 14.9o ± 3.6o | 8.4o ± 2.5o | 0.001 | ||||||
| Espacio resección (AMTF)* | |||||||||
| Segunda | 4.9 | 1.3 | 1.3 | 1 | 0.71 | 0.16 | 0.08 | ||
| Tercera | 5.8 | 1.8 | 1.9 | 1.3 | 0.49 | 0.28 | 0.11 | ||
| Cuarta | 7.4 | 2.5 | 2.5 | 2.3 | 0.95 | 0.09 | 0.08 | ||
| Quinta | 9.8 | 4.4 | 4.4 | 4.5 | 0.89 | 0.11 | 0.13 | ||
| Total | 27.9 ± 10.3 | 10.1 ± 7.8 | 10.1 | 9.1 | 0.75 | 0.17 | 0.11 | ||
| Tamaño osteofito (AMTF)* | |||||||||
| Segunda | 2.1 | 2.1 | 2.3 | 0.62 | 0.19 | 0.24 | |||
| Tercera | 1.7 | 1.6 | 2.4 | 0.10 | 0.15 | 0.27 | |||
| Cuarta | 1.4 | 1.4 | 1.3 | 0.89 | 0.14 | 0.09 | |||
| Quinta | 0.9 | 0.9 | 0.7 | 0.61 | 0.11 | 0.17 | |||
| Total | 6.1 ± 4.7 | 6.0 | 6.3 | 0.69 | 0.15 | 0.26 | |||
* Los datos indican la media ± desviación estándar.
AMTF = articulación metatarsofalángica. AOFAS = American Orthopaedic Foot & Ankle Society. MOxFQ = Manchester-Oxford Foot Questionnaire. AHV = ángulo de hallux valgus. IMA = ángulo intermetatarsal.
Se realizaron un total de 11 reintervenciones (35.5%) en 11 pacientes. La mayoría de ellas (seis casos, 19.3%) se debieron a deformidades residuales en dedos menores en forma de dedo en martillo. Cuatro reintervenciones se debieron a la recurrencia de la deformidad (luxación de la articulación MTF) y hubo un caso de conversión de la artroplastía de resección de la primera articulación MTF en artrodesis debido a la recurrencia de la deformidad tipo hallux valgus. Las reintervenciones se realizaron en promedio 4.8 ± 2.9 años después de la cirugía primaria. No hubo diferencias significativas en términos de satisfacción referida por el paciente (p = 0.19), ni tampoco en puntuaciones en escalas AOFAS (p = 0.17) y MOxFQ (p = 0.26) en comparación con los pacientes que no requirieron cirugías posteriores.
No hubo diferencias significativas en los valores de la escala EVA, ni en las puntuaciones AOFAS ni MOxFQ, ni tampoco en los parámetros radiológicos entre los pacientes con diagnóstico de enfermedad reumatoide y sin diagnóstico de enfermedad reumatoide. Las tasas de complicaciones y reintervenciones también fueron comparables entre ambos grupos (Tabla 4).
Tabla 4: Complicaciones y reintervenciones y su correlación clínica.
| n (%) | AOFAS* | p | MOxFQ* | p | Satisfacción | p | ||
|---|---|---|---|---|---|---|---|---|
| Sí | No | |||||||
| Pacientes | 11 (35.5) | 74.7 ± 8.8 | 0.17 | 20.5 ± 8.8 | 0.26 | 9 | 2 | 0.19 |
| Pies | 11 (35.5) | |||||||
| Causas de reintervención | ||||||||
| Dedo en martillo | 6 (19.3) | 76.9 ± 8.9 | 0.15 | 19.5 ± 11 | 0.22 | 5 | 1 | |
| Recurrencia deformidad AMTF | 4 (12.9) | 75.2 ± 9.6 | 0.29 | 22.1 ± 12.1 | 0.23 | 3 | 1 | |
| Recurrencia deformidad HV | 1 (3.3) | 77.2 ± 11.3 | 0.35 | 20.9 ± 12.4 | 0.29 | 1 | 0 | |
* Los datos indican la media ± desviación estándar.
AOFAS = American Orthopaedic Foot and Ankle Society. MOxFQ, Manchester-Oxford Foot Questionnaire. AMTF = articulación metatarsofalángica. HV = hallux valgus.
Discusión
Nuestro estudio muestra resultados alentadores a largo plazo en términos de función (puntuaciones AOFAS y MOxFQ), alivio del dolor, requisitos de calzado y capacidad para caminar y tasa de satisfacción de los pacientes. Hasta la fecha, este es el estudio con un seguimiento más prolongado (promedio de 10.3 años) de su tipo, después del realizado por Simon y colaboradores,12 con un tiempo de seguimiento promedio de 24.6 años y resultados a largo plazo mejores de lo esperado en la corrección quirúrgica del antepié.
Los procedimientos quirúrgicos para el primer radio y para los radios menores en pacientes con deformidades del antepié a menudo se han evaluado por separado en estudios anteriores y aún existen controversias sobre el manejo ideal de la primera articulación metatarsofalángica. Las opciones de tratamiento incluyen manejo conservador (en casos sin deformidad o con deformidad leve tipo hallux valgus),5,11 osteotomías metatarsales correctoras de preservación articular (pueden ser una alternativa a la artrodesis en pacientes con destrucción leve de la primera articulación MTF y en etapas iniciales o intermedias de la enfermedad reumatoide),12,13 artroplastía de resección7,8,10 y artrodesis.10,11,13 Las principales desventajas de la artroplastía de resección incluyen la limitada mejora en la capacidad de marcha, la recurrencia de la deformidad tipo hallux valgus, la metatarsalgia y el desarrollo de callosidades plantares, así como una alta tasa de reintervención, especialmente a largo plazo.16 Por ello, la artrodesis o fusión de la primera articulación MTF ha ampliado notablemente su indicación. Un metaanálisis reciente realizado por He y asociados10 mostró alivio comparable del dolor con ambos procedimientos, pero tasas variables de satisfacción en función de los estudios. Una mejor corrección radiográfica, una menor recurrencia de la deformidad de hallux valgus y una menor tasa de reintervención favorecen la fusión articular, convirtiéndola en una alternativa de tratamiento más estable y definitiva, especialmente para pacientes con deformidades graves de hallux valgus (≥ 40 grados). Sin embargo, la fusión de la primera articulación MTP tiene algunas desventajas, como la creación de una presión excesiva en el primer dedo del pie y el aumento de la degeneración de la articulación interfalángica de hallux. También tiene una tasa no despreciable de complicaciones, ya que las tasas de no unión y reintervención pueden ser tan altas como 26 y 9.6%, respectivamente.11,12 Registramos una notable tasa de 16.7% de artroplastía de resección de la primera articulación MTF, con resultados en general aceptables, lo cual podría deberse a dos razones principales. En primer lugar, el cambio de paradigma de tratamiento a lo largo de los años, que hace que algunos pacientes tratados hace más años pudieran haber sido sometidos a la artroplastía de resección de la primera articulación MTF cuando se consideraba un procedimiento más fiable y utilizado. En segundo lugar, el perfil de pacientes incluidos en nuestro estudio, con una media de edad elevada y, a menudo, con menores demandas físicas, lo que hace que este procedimiento sea más favorable para este tipo de pacientes.
En cuanto al manejo de las articulaciones MTF menores, existe un mayor consenso en que la artroplastía de resección ha sido considerada tradicionalmente el patrón oro del tratamiento quirúrgico debido a sus resultados satisfactorios. Sin embargo, ha habido un creciente interés en las técnicas de preservación articular, las cuales ofrecen resultados similares o incluso mejores a pesar de ser técnicamente más exigentes. No obstante, la indicación de este tipo de procedimiento debe limitarse a pacientes con un adecuado control de la enfermedad inflamatoria subyacente y/o con un leve a moderada afectación degenerativa de la articulación.13,16,17,18
Desde nuestro punto de vista, sólo un estudio ha evaluado específicamente los resultados de la reconstrucción de deformidades graves en el antepié en pacientes sin enfermedad reumatoide. Nixon y colegas1 concluyeron que la fusión de la primera articulación MTF asociada a la resección de las cabezas metatarsales menores era una alternativa viable en términos de alivio del dolor, tasas de satisfacción y mejora de los parámetros radiográficos en pacientes sin enfermedad reumatoide con deformidades importantes en el antepié debido a procedimientos quirúrgicos previos fallidos. En nuestro estudio, se incluyeron un total de siete pacientes (22.6%) sin diagnóstico de enfermedad reumatoide y sus resultados clínicos y radiológicos fueron comparables a los de los pacientes con enfermedad reumatoide.
Nuestras evaluaciones radiográficas demostraron que los valores promedio de AHV e IMA mejoraron significativamente hasta valores cercanos al rango de normalidad. La artroplastía de resección combinada con la artrodesis de la primera articulación MTF ha sido asociada al desarrollo de callosidades y proliferación ósea en el muñón del metatarsiano (osteofitos por remodelación) a largo plazo.11,12,19 En nuestro estudio, el tamaño de los osteofitos en los muñones de los metatarsianos segundo y tercero fue notablemente elevado, lo cual es consistente con estudios previos.16,17 El promedio global del tamaño de los osteofitos al final del seguimiento en nuestro estudio fue bastante menor que el registrado por Matsumoto y colaboradores20 a medio plazo. Además, este parámetro no se correlacionó en nuestro estudio con un peor resultado funcional ni con la insatisfacción de los pacientes, en este caso a largo plazo. Este grupo también evaluó la influencia del espacio de resección de la articulación MTF de los radios menores en la satisfacción del paciente, ya que una resección ósea insuficiente se ha relacionado con la proliferación ósea en los muñones de los metatarsianos y la recurrencia de callosidades dolorosas.21,22,23,24 Defienden que la reducción del espacio de la articulación residual en la articulación resecada en el seguimiento final influía negativamente en resultados insatisfactorios a medio plazo. Patsalis y colaboradores25 también consideraron el espacio de resección de la artroplastía como el parámetro más destacado que influye en resultados insatisfactorios debido, además, a la tensión generada por el tendón extensor y la consiguiente deformidad en garra de los dedos. Sin embargo, nuestros valores promedio del espacio de resección de las articulaciones MTF menores no se correlacionaron con un peor resultado ni con la insatisfacción del paciente a largo plazo.
Al igual que Simon y su grupo,12 se registraron resultados menos satisfactorios en nuestro estudio en términos de función del antepié, lo que remarca la idea de que la función del antepié es el aspecto más difícil de restablecer en la reconstrucción de deformidades importantes del antepié. La rigidez progresiva de la articulación MTF y la pérdida de corrección a lo largo de los años, así como la función de agarre reducida de los dedos menores debido a la pérdida de longitud y la pérdida de tensión del aparato flexor son algunos de los factores que se han descrito y que podrían estar relacionados con un declive funcional progresivo. Sin embargo, consideramos notable el nivel de función alcanzado y, aunque no es perfecto, es subjetivamente satisfactorio para la mayoría de los pacientes, incluso a largo plazo.
No obstante, nuestro estudio tiene una serie de limitaciones. En primer lugar, es un estudio retrospectivo y utilizamos una escala dicotómica para medir el nivel de satisfacción del paciente. En segundo lugar, el tamaño de la muestra empleada fue pequeño, lo que dificultó llevar a cabo un análisis estadístico más extenso y se incluyeron pacientes que se sometieron a cirugía bilateral y unilateral. Aunque se registraron exámenes clínicos y radiológicos en el postoperatorio inmediato y al final del seguimiento, algunos de los parámetros clínicos, como las puntuaciones AOFAS y MOxFQ, no se pudieron obtener preoperatoriamente. En tercer lugar, la indicación quirúrgica fue variable, dependiendo de la edad del paciente, el nivel de actividad en la vida diaria, el deterioro de las articulaciones MTF y la preferencia del cirujano. Por lo tanto, no se pudieron comparar los resultados quirúrgicos entre procedimientos debido a la heterogeneidad en el perfil del paciente y la indicación quirúrgica. Sin embargo, a pesar de que apreciamos las limitaciones de nuestra investigación, consideramos que es importante describir los resultados a largo plazo de tratamientos quirúrgicos en casos de enfermedades asociadas a una larga duración y un importante deterioro de la calidad de vida, como son las enfermedades reumáticas. A pesar de los grandes avances en el control farmacológico de estas enfermedades, las soluciones quirúrgicas siguen siendo efectivas para el perfil de pacientes con respuestas deficientes a los tratamientos actuales. Aunque menos estudiados, estos procedimientos también podrían considerarse para las secuelas de intentos previos fallidos de cirugía de reconstrucción del antepié.
Conclusión
La cirugía de reconstrucción del antepié con graves deformidades mediante artroplastía de resección de la cabeza metatarsal de los radios menores ha demostrado resultados a largo plazo convincentes en términos de nivel de satisfacción, alivio del dolor, corrección de la deformidad, capacidad para el calzado y capacidad para la marcha. Nuestros resultados, en una población de edad avanzada, fueron alentadores, independientemente del tratamiento de la primera articulación MTF, con tasas aceptables de complicaciones y reintervenciones.










nueva página del texto (beta)


