Introducción
La cirugía protésica de rodilla es una intervención frecuente dentro de la práctica clínica habitual. En la última década se evidencia un aumento de hasta 134% en la población estadounidense.1 En el Reino Unido, una población más cercana a la nuestra, consta una media de 76,000 prótesis primarias anualmente.2
En consecuencia, ha aumentado el número de cirugías de revisión protésica (desde 3.8% hasta 6.8 %, según la literatura),1,2 siendo el motivo más frecuente el aflojamiento aséptico, que llega hasta 30% en algunas series publicadas.1 Este procedimiento constituye un reto quirúrgico debido a varios factores: la alteración de partes blandas, el defecto óseo asociado y el stock óseo remanente, las deformidades en los ejes, la propia técnica quirúrgica, la presencia de inestabilidades ligamentosas y las características clínicas del propio paciente, entre otros.3
En casos seleccionados, están indicadas las artroplastias de revisión tipo bisagra rotatoria, las cuales proporcionan una solución para la inestabilidad ligamentosa severa y el déficit de stock óseo masivo.1
El objetivo del presente estudio es evaluar los resultados clínicos, funcionales y radiológicos obtenidos tras la cirugía de revisión protésica de rodilla, utilizando un único modelo de prótesis bisagra rotatoria: GMK Hinge (Medacta®), así como la incidencia de complicaciones asociadas.
Material y métodos
Datos demográficos. Se realiza un estudio descriptivo retrospectivo y analítico de pacientes intervenidos mediante artroplastia de revisión de rodilla tipo bisagra rotacional GMK Hinge (Switzerland Medacta), por el mismo equipo quirúrgico entre Enero de 2015 y Enero de 2022.
Los criterios de inclusión fueron: pacientes intervenidos mediante cirugía de revisión protésica con el modelo de prótesis a estudio en nuestro centro hospitalario. Se excluyen las cirugías primarias y aquellos pacientes que fueron intervenidos de ambos miembros con la prótesis GMK Hinge. Se recabaron datos demográficos, así como variables clínicas, funcionales y radiológicas en función de la escala a estudio.
La totalidad de los pacientes fueron valorados en consultas externas a las seis semanas, tres, seis y doce meses, respectivamente. Para la evaluación de los resultados funcionales pre y postquirúrgicos, se utilizó la escala Knee Society Score (KSS)4 y la escala Forgotten Joint Score (FJS).5
Presentamos la complejidad de los pacientes estudiando también variables como el riesgo anestésico según la escala American Society of Anesthesiologists (ASA)6 y la obesidad según el índice de masa corporal (IMC), características recogidas en estudios ya presentes.
La valoración radiológica del grado de defecto óseo femoral y tibial se realizó según la clasificación del Anderson Orthopaedic Research Institute (AORI) de manera prequirúrgica e intraoperatoria según los criterios descritos por Engh GA y colaboradores.7 La evaluación radiológica postoperatoria fue evaluada mediante los criterios establecidos por The Knee Society Total Knee Arthroplasty.8,9
Procedimiento quirúrgico. De manera rutinaria se realiza una anestesia intradural y una profilaxis antibiótica (excepto en los casos en los que la indicación es «infección crónica») constituida por 2 g de cefazolina intravenosa o 240 mg de clindamicina en caso de alergia a betalactámicos, una preparación de campo estéril y una isquemia mediante torniquete.
El abordaje mediante incisión longitudinal sobre la piel se continúa con un abordaje parapatelar medial. Tras la liberación de partes blandas, la extracción del material protésico se lleva a cabo de manera minuciosa para evitar el mayor defecto óseo adicional posible.
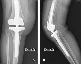
Una vez planificados los cortes mediante las guías femorales y tibiales, se decide el tamaño protésico y la utilización de cuñas adicionales en defectos óseos asimétricos (Figura 1). Todos los componentes tibiales como los femorales son cementados, y en el total de pacientes se realiza rótula protésica.

Figura 1: Radiografías anteroposterior (A) y lateral (B). Cirugía de revisión mediante prótesis bisagra rotatoria en paciente con inestabilidad previa. Adición de cuñas femorales tras defecto femoral asimétrico.
El protocolo postoperatorio consiste en la realización de ejercicios isométricos desde el primer día tras la intervención. Se permite la carga parcial con asistencias al segundo día postoperatorio, después de la retirada de vendaje compresivo y catéter anestésico. Posterior a una buena evolución clínica y funcional, los pacientes son dados de alta hospitalaria.
Análisis estadístico. El tratamiento de los datos se llevó a cabo mediante los programas estadísticos SPSS 22 y XLSTAT para Windows. El análisis descriptivo de las variables categóricas se expresa como frecuencia absoluta y relativa; las variables cuantitativas se describen como media y desviación estándar (DE). Se comprobó la normalidad de las variables tanto cuantitativas como cualitativas mediante la prueba Kolmogorov-Smirnov. Para las variables cuantitativas y cualitativas se utilizó la prueba t de Student y para la evaluación de variables cualitativas la prueba χ2. En todos los análisis estadísticos, el nivel de significación establecido fue de p ≤ 0.05.
Resultados
Se presenta una serie de 36 pacientes intervenidos (Tabla 1), con edad media de 72.5 años (rango 47-85 años) en el momento de la revisión, 17 (47.2%) hombres y 19 (52.8%) mujeres. El miembro intervenido presenta la misma proporción, siendo 19 (52.8%) rodillas derechas y 17 (47.2%) izquierdas. Ninguno de los pacientes fue intervenido de manera bilateral.
Tabla 1: Datos demográficos (N = 36).
| n (%) | |
|---|---|
| Género | |
| Hombres | 17 (47.2) |
| Mujeres | 19 (52.8) |
| IMC, mediana [rango] | 30 [19-43] |
| ASA, mediana [rango] | III [I-IV] |
| Indicaciones | |
| Infección crónica | 14 (38.9) |
| Aflojamiento aséptico | 7 (19.4) |
| Inestabilidad | 12 (33.3) |
| Rigidez | 3 (8.3) |
| Defecto óseo (AORI) | |
| Tibial | |
| Tipo 1 | 7 (19.4) |
| Tipo 2A | 3 (8.3) |
| Tipo 2B | 1 (2.8) |
| Tipo 3 | 0 (0.0) |
| Femoral | |
| Tipo 1 | 12 (33.3) |
| Tipo 2A | 10 (27.8) |
| Tipo 2B | 10 (27.8) |
| Tipo 3 | 2 (5.6) |
IMC = índice de masa corporal. ASA = American Society of Anesthesiologists. AORI = Anderson Orthopaedic Research Institute.
La etiología de revisión fue infección crónica en 14 (38.9%) casos, inestabilidad en 12 (33.3%), aflojamiento aséptico en siete (19.4%) y rigidez en tres (8.3%). El seguimiento medio fue de 30 meses (rango 12-66 meses) en el momento de la realización de este estudio, sin pérdidas en el mismo. Tras la intervención, todos los pacientes fueron hospitalizados un total de 3.1 días en promedio (rango 3-4).
La escala de medición de riesgo anestésico ASA fue recogida para cada uno de los pacientes, 16 (45%) casos presentaron ASA II y 20 (55%) ASA III. Dentro de la valoración integral, hemos querido recoger también el IMC, siendo éste de 30 puntos en promedio (rango 19-43).
En relación a la valoración funcional, se obtuvo una puntuación media preoperatoria en el cuestionario KSS de 54.3 puntos (rango 34-70), siendo éste clasificado como «pobre». El resultado postoperatorio medio en el cuestionario KSS realizado en el último seguimiento clínico fue de 72.2 (rango 47-87), reflejando un resultado «bueno» y, por tanto, con diferencias estadísticamente significativas entre ambos KSS (p < 0.001).
Tras el dato anterior, se realizó un análisis del KSS postoperatorio junto con las variables cualitativas. Se individualizó la etiología con el KSS postoperatorio, donde, a pesar de no obtenerse diferencias significativas (p = 0.071), podemos ofrecer resultados estimados: la revisión debida a infección crónica presentó el mejor resultado en el KSS postoperatorio (76 ± 8), seguido de la inestabilidad (72 ± 7), de la rigidez (70 ± 7) y, por último, el aflojamiento aséptico como peor resultado postoperatorio (65 ± 12).
Por otro lado, en el cuestionario FJS, se obtuvo una puntuación media de 31 puntos (rango 12-67) en el último seguimiento clínico.
En el análisis multivariante realizado, no se encontraron diferencias significativas respecto a la edad, ASA e IMC en relación al KSS postoperatorio. Otras variables fueron analizadas, sin evidenciar diferencias significativas (p > 0.05), como son el sexo y la lateralidad.
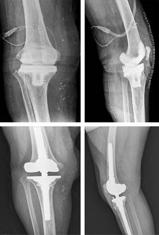
Los defectos óseos evidenciados, clasificados según AORI, se dividen en función de su región. En la tibia, la mayoría, 25 (69.4%) pacientes, no presentaban defecto óseo. De los 11 casos restantes, siete (19.4%) presentaban un defecto tipo 1; tres (8.3%) defecto tipo 2A (Figura 2); y uno (2.8%) defecto tipo 2B.

Figura 2: Radiografías anteroposterior (izquierda) y lateral (derecha). Paciente con infección crónica protésica tras primer y segundo tiempo quirúrgico. Defecto AORI tibial tipo 2A y femoral tipo 3.
En relación a los defectos femorales, 12 pacientes (33.3%) presentaron defectos tipo 1; 10 (27.8%) tuvieron defectos tipo 2A, siendo el mismo número (27.8%) para los defectos tipo 2B. Por último, dos (5.6%) casos tuvieron defectos severos tipo 3. Solo en dos (5.6%) no se evidenciaron defectos femorales.
En 24 pacientes (66.7%) fue necesario la utilización de cuñas debido a la asimetría de los defectos óseos, con el fin de ofrecer un balance articular congruente de la nueva articulación protésica.
Tras la valoración del defecto de stock óseo y la necesidad de cuñas adicionales, se comparó la indicación con el defecto AORI, existiendo diferencias significativas (p < 0.001). Este análisis mostró que la infección crónica es la que asocia mayor defecto óseo (38.9%), seguido de la inestabilidad (33.3%), del aflojamiento aséptico (19.4%) y, por último, de la rigidez (8.3%) y, por tanto, mayor necesidad de cuñas adicionales durante la intervención.
Evaluamos por último la funcionalidad de los pacientes (KSS) en función del defecto óseo según la clasificación AORI que presentaban, sin mostrar diferencias significativas (p = 0.083).
Durante el seguimiento de los pacientes, se registraron complicaciones (Tabla 2) en un total de seis (16.7%) casos. Dos de ellos presentaron una infección superficial de la herida quirúrgica, que se controló mediante tratamiento antibiótico intravenoso y vigilancia hospitalaria. De los cuatro restantes, tres tuvieron infección crónica sobre la prótesis de revisión, que requirió de una nueva revisión quirúrgica en dos tiempos, donde se volvió a optar por el mismo tipo de prótesis en el segundo tiempo quirúrgico. Por último, se notifica un paciente con aflojamiento de material protésico menor, es decir, una extracción espontánea del tornillo de bloqueo del componente de polietileno. Dicha extracción generaba al paciente una clínica de bloqueo debido a la función de «cuerpo intraarticular» del material. Tras una nueva intervención el paciente no presenta nuevas complicaciones.
Tabla 2: Complicaciones.
| Complicación | n (%) |
|---|---|
| Infección superficial | 2 (5.5) |
| Infección articular | 3 (8. 3) |
| Aflojamiento montaje protésico | 1 (2.7) |
Cabe destacar que no ha habido pérdidas en el seguimiento clínico de los pacientes incluidos en el presente estudio, datando incluso una tasa de mortalidad de 0.0%. En relación a la supervivencia del implante, fue de 88.9%, ya que el total de pacientes que necesitaron una rerrevisión fue 11.1% de la muestra.
Discusión
La primera noticia sobre prótesis de rodilla tipo bisagra consta de 1891, cuando se realiza una intervención en un paciente de 17 años con resultado desfavorable y una infección crónica como complicación secundaria.10 A lo largo de los años, el modelo ha ido mejorando. En 1973, Freeman considera la primera generación como aquella que presenta un diseño condilar total.11 La segunda generación añade una bisagra rotatoria con mayor libertad que la primera; pero es la tercera (la presente en la actualidad) la que brinda mejores resultados.12 Esta última tiene la posibilidad de modularidad protésica mediante conos adicionales, una profundización del surco femoral anterior, posibilidad de superaleaciones más elásticas, polietilenos con mayor congruencia y aumento o sustitución del déficit óseo mediante cuñas tibiales y femorales.13
Presentamos la serie de pacientes más grande para el tipo de prótesis bisagra GMK Hinge (Medacta), registrada en la literatura actual. Baier y colaboradores,14 en un estudio descriptivo retrospectivo, analizan un total de 78 pacientes con las mismas etiologías y el mismo tipo de prótesis de nuestro estudio (no el mismo modelo), presentando un KSS de 71.3 (rango 42-97).
La infección crónica ha sido la indicación de cirugía de revisión que mejor resultado funcional postoperatorio ha presentado, por delante de las demás etiologías: inestabilidad, rigidez y aflojamiento aséptico. Podemos pensar que la clínica en la infección crónica está menos relacionada con la mecanicidad de la articulación, todo lo contrario que en el resto de indicaciones, donde la clínica dolorosa y/o balances articulares están más comprometidos. Comparamos este resultado con el obtenido por Borbotte-Salmon y asociados15 en un estudio de cohortes retrospectivo que analizó un total de 50 pacientes intervenidos mediante prótesis de bisagra rotatoria; ellos registran un KSS postoperatorio de 70.5 (63.9-77.1), aunque solo incluyeron cirugías de revisión debidas a infección crónica.
Se muestran KSS superiores al obtenido en este estudio, como el presentado por Cottino y colegas,16 quienes, tras un estudio retrospectivo en un total de 408 pacientes, obtienen un KSS de 81 (rango 13-100) en el último seguimiento clínico a los cuatro años, pero con diferencias en la muestra poblacional, donde se incluyen las prótesis tipo bisagra en cirugía primaria de rodilla.
En relación a la escala funcional FJS, se han obtenido puntuaciones coherentes con el KSS y con resultados superiores al de grandes series. Hintze y su equipo,17 en un estudio retrospectivo realizado en 39 pacientes intervenidos con las mismas etiologías que el estudio presente y con un seguimiento medio de 6.2 años, registraron un total de 33 puntos en la escala FJS.
Las complicaciones representan un riesgo añadido en una cirugía de revisión, donde no será la primera vez que abordemos la articulación lesionada. Ya en la bibliografía se presentan tasas mayores a las de una cirugía primaria de rodilla.1 En nuestro estudio, se tasa en 16.7% las complicaciones obtenidas, con 11.1% de necesidad de reintervención (cuatro pacientes). Presentamos datos similares a la literatura publicada, la cual registra porcentajes que oscilan entre 12%13 y 41%.15
La complejidad y la heterogeneidad poblacional ya aparecen como uno de los principales inconvenientes de estos estudios.13,17,18,19 En el presente, hemos querido caracterizar la complejidad recogiendo parámetros de riesgo anestésico con una media de ASA III y mediante el parámetro IMC con resultados límite. Por otro lado, los pacientes seleccionados evidencian antecedentes médicos variables según su contexto clínico; cuatro variedades de etiología sin una proporción establecida entre ellas; un déficit de stock óseo condicionado por la variable anterior y, por tanto, diferencias en el tratamiento respecto a la adición de cuñas y/o tratamiento de partes blandas. Este hecho, añadido a no interactuar con un grupo de comparación, representa una limitación de los resultados obtenidos.
Otras de las limitaciones del estudio es la variabilidad en el seguimiento de los pacientes. Pese a que la cirugía de revisión protésica es relativamente frecuente en nuestro hospital por ser lugar de referencia de otros centros, la indicación mediante prótesis bisagra no es la más común.
Por último, otra limitación del presente estudio es que todas las artroplastias se han realizado cementando los componentes, motivo a analizar ya que existen artículos publicados con tasas de complicaciones mayores a 26%, donde los componentes no se cementaron.12
Conclusiones
La prótesis tipo bisagra rotatoria GMK Hinge (Medacta) es una herramienta terapéutica adecuada en la cirugía de revisión compleja de rodilla, presentando una supervivencia adecuada del implante.
La evolución en los diseños protésicos muestra una mejoría en los resultados clínicos y funcionales. Sin embargo, su indicación debe ser meticulosa, ya que no es un procedimiento quirúrgico exento de complicaciones, debido a que los pacientes son reintervenidos y presentan complejidad clínica.










nueva página del texto (beta)


