Introducción
La enfermedad de Ribbing, descrita en 1949, es una forma rara de displasia ósea esclerosante que afecta principalmente a mujeres después de la pubertad.1 Se caracteriza por una formación exuberante pero benigna de hueso endóstico y periostio en la diáfisis de huesos largos, especialmente en la tibia y en el fémur.2 El diagnóstico de esta enfermedad se realiza por exclusión, ya que la sintomatología principal se basa en un dolor progresivo que no responde al tratamiento analgésico y presenta niveles normales de marcadores serológicos.3
El tratamiento de la enfermedad de Ribbing se centra en el control del dolor y, aunque la cirugía parece ser el método más efectivo para lograrlo,2 actualmente no existe un algoritmo terapéutico establecido.
El retraso en el diagnóstico y en el tratamiento, que puede llegar a ser de hasta 16 años, tiene un impacto significativo en la calidad de vida de los pacientes.4 Por tanto, el objetivo de nuestro trabajo es presentar un caso de enfermedad de Ribbing y realizar una revisión de la literatura científica disponible sobre esta condición.
Caso clínico
Se presenta el caso de una mujer de 47 años con cuadro de dolor continuo, intenso (8 en la escala visual analógica [EVA]) y súbito en el tercio medio de la pierna derecha; sin alivio nocturno ni respuesta a analgésicos. Como antecedente tuvo un traumatismo hace cinco meses en la pierna derecha.
En la exploración física se encontró dolor a la palpación en la prominencia ósea de la tibia, a nivel del tercio medio. La movilidad activa de la rodilla y el tobillo era completa, además no se observaron alteraciones neurovasculares asociadas.
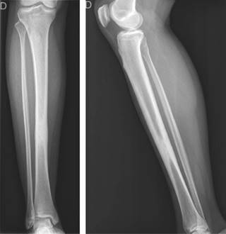
Se realizaron radiografías que demostraron una lesión intraósea diafisiaria única, de localización central, con bordes definidos, periostio engrosado pero sin interrupción y sin signos de malignidad. No se observó afectación de los tejidos blandos ni destrucción ósea adyacente (Figura 1). La resonancia magnética confirmó los hallazgos descritos; la lesión se caracterizó como inespecífica, con apariencia esclerosa y ocupación de toda la cavidad medular, con engrosamiento de ambas corticales (Figura 2). Se realizó una gammagrafía ósea que demostró una posible reacción osteogénica avanzada con evidencia de patología inflamatoria secundaria a destrucción ósea. Se realizó una biopsia incisional cerrada, que descartó lesiones infecciosas o neoplásicas.

Figura 1: Radiografías anteroposterior y lateral de pierna derecha que muestran la lesión intraósea diafisaria.

Figura 2: Cortes coronales y sagitales de la resonancia magnética en los que se muestra lesión homogénea intraósea en tibia derecha.
Ante la persistencia de los síntomas, a pesar del tratamiento analgésico y los resultados no concluyentes de las pruebas de imagen y laboratorio, se realizó un exhaustivo diagnóstico diferencial y se llegó al diagnóstico de enfermedad de Ribbing. Se optó por un tratamiento quirúrgico mediante enclavado intramedular (Figura 3).

Figura 3: Radiografías anteroposterior y lateral tras el tratamiento quirúrgico mediante enclavado endomedular.
Procedimiento y evolución
Se realizó enclavado endomedular de tibia, con imposibilidad de progresión del fresado a través de la lesión. Se realizó una ventana ósea anterior y limpieza de foco lesional. Durante el procedimiento, se produjo una fractura espiroidea proximal de tibia, que quedó bien reducida tras la osteosíntesis.
El postoperatorio inmediato discurrió sin complicaciones; la paciente fue manejada con tromboprofilaxis, pauta antibiótica, analgésica y cura de las heridas. Se dieron pautas generales de descarga de la extremidad y ejercicios de rehabilitación en planta y ante la buena evolución, se decidió alta a domicilio con revisiones posteriores en el hospital. Durante las dos primeras semanas postoperatorias se realizaron curas de la herida, con evolución favorable.
En la revisión del primer mes no encontramos cambios en las radiografías de control, por lo que se autorizó carga de la extremidad, a pesar de la persistencia de dolor en reposo.
Durante la revisión del tercer mes postquirúrgico la paciente caminaba con dos muletas, pero no lograba extensión activa de la rodilla (fuerza 0/5). También se encontró atrofia de la musculatura cuadricipital, con persistencia del dolor en reposo. Se derivó a la paciente a rehabilitación y se realizó ecografía que mostró integridad del aparato extensor.
Al sexto mes postquirúrgico, tras haber finalizado el proceso de rehabilitación, la paciente tuvo mejoría del dolor continuo en reposo, persistiendo dolor ocasional en la zona de la incisión. Se encontró una evolución satisfactoria de la movilidad y la fuerza de la rodilla. La paciente asistirá a consultas de seguimiento al año postoperatorio.
Enfermedad de Ribbing: revisión de la literatura
La enfermedad de Ribbing es una forma rara de displasia ósea esclerosante benigna que afecta a la osificación intramembranosa. Se caracteriza por osteoesclerosis e hiperostosis en las diáfisis de los huesos largos.5 Presenta un patrón hereditario autosómico recesivo y suele aparecer entre la cuarta y quinta décadas de vida.
La etiología de la enfermedad de Ribbing es incierta, lo que dificulta contar con un tratamiento dirigido y limita la disponibilidad de evidencia y datos para cada opción terapéutica.6
Los síntomas principales de la enfermedad de Ribbing son dolor en los huesos largos que no responde a la analgesia, ausencia de marcadores serológicos específicos y pruebas de imagen inespecíficas.
El diagnóstico de la enfermedad se realiza mediante radiografía simple, tomografía, resonancia magnética, gammagrafía ósea y biopsia, excluyendo otras posibles condiciones. En las pruebas de imagen se observa un engrosamiento cortical de la diáfisis de los huesos largos y, en ocasiones, un estrechamiento del canal medular. La resonancia magnética confirma la presencia de esclerosis y revela edema de la médula ósea en la diáfisis.3 La gammagrafía ósea es útil para determinar la extensión de la enfermedad y para planificar la obtención de muestras de tejido. La biopsia puede ayudar en el diagnóstico diferencial y mostrar actividad histológica osteoblástica.
Existe un retraso diagnóstico significativo debido a la ausencia de una clínica típica y la obtención de resultados poco concluyentes en las pruebas, lo que lleva a múltiples visitas a los servicios médicos antes de obtener un diagnóstico preciso y recibir un tratamiento adecuado.
Diagnósticos diferenciales (Tabla 1)
Tabla 1: Diagnóstico diferencial de la enfermedad de Ribbing.
| Epidemiología | Clínica | Diagnóstico | Tratamiento | Localizaciones | |
|---|---|---|---|---|---|
| Ribbing | Adultos | Dolor | Exclusión | Analgesia Cirugía |
Diafisaria. Raro en miembros superiores |
| Osteomielitis | Adolescentes (+ S. aureus) | Sudor Dolor Fiebre |
Anamnesis Laboratorio Microbiología Biopsia |
Antimicrobianos | Diafisaria |
| Engelmann | Infancia | Dolor | Genético (gen 19q13/TGFB1) | – | Metafisaria. Cráneo, vértebras, mandíbula, afecta miembros superiores |
| Osteoma osteoide | Adolescentes | Dolor | Imagen | Resección quirúrgica | Diafisaria |
| Van Buchem | – | Macrocefalia Visuales Dolor |
Imagen genética (SOST) | – | Mandíbula Costillas Clavícula Huesos largos |
| Erdheim-Chester | – | Óseo | Imagen Biopsia Genética (MAPQ-MAP sin asas) |
Analgesia | Cardiogénico Vascular Pulmón |
Osteomielitis
En primer lugar, es importante descartar la osteomielitis aguda debido a su prevalencia y las implicaciones clínicas que conlleva. La osteomielitis aguda es un proceso infeccioso e inflamatorio osteoarticular progresivo que se caracteriza por un período de evolución no mayor a dos semanas desde el inicio de los síntomas hasta el diagnóstico. Tiene su origen en un foco infeccioso adyacente al hueso, vía hematógena o inoculación directa. Se trata de una enfermedad más prevalente en niños y debe sospecharse en casos con clínica compatible, como fiebre, dolor local agudo de varios días de evolución, signos locales inflamatorios y síntomas constitucionales. Suele ser un proceso unifocal que afecta con frecuencia a las metáfisis de los huesos largos, especialmente el fémur, la tibia y el húmero. En la mayoría de los casos, el agente causal aislado es el Staphylococcus aureus. El diagnóstico se basa en la historia clínica, pruebas de laboratorio, estudios microbiológicos y biopsia. Para establecer el diagnóstico de osteomielitis aguda, se requieren al menos dos criterios, que incluyen manifestaciones clínicas características, resultado positivo en hemocultivo o cultivo óseo y cambios radiológicos. El cultivo de la biopsia es el método más específico. El tratamiento se basa en el uso de antimicrobianos.7
En los adultos, en cambio, encontramos un proceso subagudo o crónico secundario a una lesión abierta del hueso o de los tejidos blandos, conocida como osteomielitis crónica. El diagnóstico y el tratamiento son similares a los de la osteomielitis aguda.
Osteoma osteoide
El osteoma osteoide es una de las formaciones benignas de hueso más frecuentes y su localización más común es la diáfisis de los huesos largos. La clínica se caracteriza por dolor en la zona de formación ósea, el cual disminuye con el uso de salicilatos. Se puede descartar cuando la formación ósea es circunferencial y no se encuentra presente un nidus lucente rodeado de una región esclerosante periférica.8,9
Enfermedad de Engelmann-Camurati
La enfermedad de Engelmann-Camurati debe considerarse en el diagnóstico diferencial, ya que se trata de una displasia esclerosante hereditaria autosómica dominante que afecta a niños. A diferencia de Ribbing, la enfermedad de Engelmann-Camurati suele presentarse de forma bilateral y simétrica, además puede estar asociada con alteraciones neurológicas y hematopoyéticas.10 En la biopsia se diferencia de Ribbing porque muestra actividad osteoblástica y osteoclástica, con la consiguiente formación y resorción ósea. El diagnóstico se confirma mediante estudios genéticos del gen TGFB1 y su mutación en la región 19q13.4
Enfermedad de Van Buchem
La enfermedad de Van Buchem es una displasia ósea esclerosante de carácter autosómico recesivo que se caracteriza por la hiperostosis endóstica de la mandíbula, cráneo, costillas, clavículas y diáfisis de los huesos largos. Esto puede manifestarse clínicamente con macrocefalia, agrandamiento de la mandíbula, parálisis de los nervios craneales, dolor neurálgico, pérdida de audición neurosensorial y problemas visuales. El diagnóstico se realiza mediante pruebas de imagen que muestran un patrón osteoblástico y se confirma mediante estudios genéticos que detectan mutaciones en el gen SOST.3,11
Enfermedad de Erdheim-Chester
La enfermedad de Erdheim-Chester se caracteriza por la infiltración de tejidos por histiocitos espumosos, siendo la manifestación más frecuente la osteoesclerosis de los huesos largos que causa dolor óseo leve. El diagnóstico se realiza mediante hallazgos característicos en pruebas de imagen, como la presencia de lesiones escleróticas en los huesos y mediante biopsia que muestra la infiltración por histiocitos. Además, los exámenes genéticos pueden revelar alteraciones en las vías de las MAP cinasas. El tratamiento es sintomático.12
Tratamiento
El tratamiento de la enfermedad de Ribbing incluye medidas analgésicas con antiinflamatorios no esteroideos (AINE), metilprednisolona o bisfosfonatos. En casos refractarios, la cirugía, como el fresado intramedular o la fenestración, puede ser una opción.4
Zhang y colegas realizaron una revisión sistemática de la eficacia de los tratamientos empleados hasta el momento, concluyendo que los AINE son eficaces en la mayoría de los pacientes al comienzo de la enfermedad o cuando se combinan con cirugía.6 El uso de bisfosfonatos en la actualidad es controversial, ya que si bien se cree que pueden tener una eficacia significativa al ralentizar la tasa de recambio óseo, Ziran y colaboradores,13 así como Di Carlo y su equipo14 han demostrado su falta de eficacia clínica y radiológica. La terapia con metilprednisolona puede ofrecer beneficios al suprimir la formación ósea y combatir el proceso inflamatorio en la médula ósea, aunque no se recomienda la terapia prolongada con esteroides debido a sus efectos secundarios desfavorables.6
Pijls y colegas describieron que la cirugía parece ser el tratamiento de elección en esta enfermedad, ya que reduce el dolor al aliviar la presión intramedular.8
Cuando el canal intramedular está obliterado, puede ser necesario perforar la cortical y en este caso, la fenestración puede ser utilizada como alternativa de tratamiento para la extirpación del hueso esclerótico.6
Beals y su equipo publicaron un caso en el que el fresado endomedular alivió el dolor después de la remoción del hueso esclerótico,15 Matas y colaboradores describieron la ausencia de síntomas en una paciente en el período postoperatorio inmediato y a los cinco años de la cirugía,1 mientras E. Noain-Sanz y su equipo describieron la ausencia de síntomas después del procedimiento en un paciente seguido durante un año.16
Discusión y conclusión
La falta de literatura y el desconocimiento sobre la enfermedad de Ribbing contribuyen al retraso en su diagnóstico, que puede llegar a ser de hasta 16 años. En el caso clínico presentado hubo un diagnóstico precoz, en gran medida por el antecedente traumático.
Una limitación debatible en el abordaje diagnóstico del caso clínico fue la ausencia de una solicitud de radiografía de cráneo, lo cual podría haber contribuido a diferenciar la enfermedad de Ribbing de otras afecciones como la enfermedad de Engelmann-Camurati o Van Buchem.
Se requiere una recopilación y revisión más exhaustiva para llevar a cabo estudios y comprender la fisiopatología de la enfermedad, lo cual permitiría realizar un diagnóstico oportuno y preciso, así como un tratamiento adecuado.










nueva página del texto (beta)


