Introducción
La dismetría de miembros inferiores es una patología frecuente en la práctica clínica habitual. Las dismetrías menores a 1.5 cm generalmente son tratadas de manera conservadora; mientras que dismetrías mayores a 2 cm suelen requerir un tratamiento quirúrgico. La dismetría de miembros inferiores es una patología frecuente con una prevalencia alrededor de 23% en dismetrías menores a 1 cm y con una incidencia de 1:1,000 casos aproximadamente en aquellas que requieren un tratamiento quirúrgico según los reportes.1
Entre las opciones quirúrgicas podemos encontrar el alargamiento del miembro acortado, el acortamiento del lado contralateral y las técnicas que actúan sobre el cartílago de crecimiento.2
Con respecto al alargamiento del miembro inferior, la técnica quirúrgica de referencia en muchos centros hospitalarios ha sido el método de Ilizarov,3 mediante el uso de fijadores externos. Sin embargo, se trata de una técnica compleja asociada en muchos casos a complicaciones (entre 20 y 45% según las series).4,5,6 Aunque el fijador externo sigue siendo considerado en muchos centros hospitalarios, el tratamiento de referencia para el alargamiento de miembros inferiores, las complicaciones asociadas con los mismos, como la infección del trayecto de los clavos, los problemas de inestabilidad, la rigidez articular y la incomodidad que suponen para el paciente, presentes entre 20 y 45% según algunas publicaciones,4,5,6,7 han provocado el surgimiento de técnicas alternativas para abordar este tipo de intervenciones.8,9 Es necesario tener en cuenta además que la etiología de la dismetría puede influir en la tasa de las complicaciones del alargamiento. De esta manera y tal como describieron Gordon y colaboradores10 en su serie de casos, si la causa de la dismetría era congénita, la tasa de complicaciones que requerían de una nueva intervención quirúrgica, podía alcanzar 35%.
Con la finalidad de solucionar estos problemas, a partir de finales del siglo pasado surgieron diferentes dispositivos intramedulares de alargamiento, como el clavo Bliskunov®, que usaba un cigüeñal conectado a la pelvis para impulsar su mecanismo y alargar el fémur a partir de los movimientos rotacionales del mismo; el clavo Albizzia® y el clavo ISKD® (Intramedullary Skeletal Kinetic Distractor), los cuales se basaban en fuerzas de rotación mecánicas (20o en el caso del primero y de 3 a 9o en el segundo) para impulsar el clavo intramedular a través del callo óseo presente en el gap de distracción; el clavo FITBONE®, cuyo mecanismo es accionado por un motor interno conectado a una antena subcutánea que requiere de un transmisor externo de radiofrecuencia para controlarlo; y el clavo Precice®, del cual existen dos generaciones y ha sido el último en aparecer en el mercado.11
El objetivo de este estudio fue el de analizar los resultados clínicos y radiológicos y la incidencia de complicaciones intra y postoperatorias de la primera serie de pacientes con diagnóstico de dismetría de miembros inferiores tratados quirúrgicamente mediante alargamiento femoral con clavo intramedular Precice® en nuestro centro que es un hospital de tercer nivel.
Material y métodos
Datos demográficos
Se ha realizado un estudio descriptivo retrospectivo de una serie de cinco pacientes consecutivos con diagnóstico de dismetría de miembros inferiores intervenidos por el mismo cirujano mediante clavo femoral intramedular Precice® (NuVasive, Inc, San Diego, USA) entre Enero de 2016 y Noviembre de 2019. Las variables demográficas se expresan en la Tabla 1.
Tabla 1: Datos demográficos de la serie de pacientes.
| Caso | Edad (años) | Sexo | Peso (kg) | Diámetro del clavo (mm) |
|---|---|---|---|---|
| 1 | 20 | Mujer | 58 | 10.7 |
| 2 | 15 | Hombre | 70 | 12.8 |
| 3 | 15 | Hombre | 63 | 10.7 |
| 4 | 13 | Hombre | 54 | 8.5 |
| 5 | 14 | Hombre | 58 | 10.7 |
| Media (rango) | 15.4 (13-20) | 59.8 (52-70) | 10.68 |
La etiología de la dismetría en todos los casos fue fémur corto idiopático. Dos pacientes habían sido intervenidos previamente, uno de corrección de escoliosis mediante cirugía con instrumentación; y otro de tibia corta congénita mediante alargamiento tibial con fijación externa monolateral.
Procedimiento quirúrgico
En nuestra serie de casos se ha utilizado el clavo intramedular Precice® (NuVasive, Inc, San Diego, USA) de segunda generación, el cual consta de una carcasa de aleación de titanio (Ti-6Al-4V)12 y porta en su interior un imán, que se encuentra conectado a través de una caja de engranajes a un tornillo giratorio, que produce el alargamiento del clavo intramedular tras empujar la porción telescópica de éste hacia fuera. De esta manera, el alargamiento está controlado de manera externa tras la aplicación de un campo magnético por el propio paciente.
La intervención quirúrgica se realizó con el paciente en decúbito supino sobre una mesa de material radiolúcido y bajo control radiográfico intraoperatorio. La longitud y el diámetro del clavo se determinó preoperatoriamente según las radiografías previas y teniendo en cuenta el peso del paciente, que condiciona el diámetro del clavo como describen Green y colaboradores.8 De esta manera, para pacientes con un peso corporal menor o igual a 114 kg se debe emplear un clavo de 10.7 o 12.5 mm de diámetro; mientras que para pesos corporales menores de 57 kg se utiliza el clavo de 8.5 mm de diámetro.
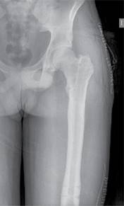
Se identificó el lugar de la osteotomía femoral siguiendo el método habitual descrito por Paley y colaboradores,13 realizándose mediante múltiples perforaciones a través de un abordaje lateral. Como describen algunos autores, estas perforaciones registran una baja tasa de tromboembolismo pulmonar.2 El punto de entrada del clavo se realizó en la punta del trocánter mayor a través de un abordaje lateral proximal (Figura 1), que permitió el fresado del canal femoral hasta 1.5-2 mm mayor que el diámetro definitivo del clavo seleccionado. Se introdujo el clavo intramedular Precice® hasta el borde proximal de la zona de osteotomía y se completó la misma a través del abordaje lateral, introduciendo el clavo hasta su localización definitiva y bloqueándolo proximal y distalmente (Figura 2). Por último, se realizó la distracción del clavo 1-2 mm para asegurar el correcto funcionamiento del dispositivo magnético.

Figura 1: Región de entrada para la introducción del clavo intramedular localizada en el trocánter mayor.
Todos los pacientes fueron instruidos para el correcto funcionamiento del dispositivo y comenzaron el alargamiento femoral a la semana de la intervención en torno a 1 mm/día. El primer control radiográfico se realizó a los siete-10 días de la intervención y posteriormente, de manera sucesiva, cada dos semanas hasta el final del alargamiento (Figura 3), cuantificando el mismo en cada revisión. Después se realizó un seguimiento mensual durante la fase de consolidación (Figura 4), la cual comprende desde el final del alargamiento femoral hasta la consolidación ósea de la zona alargada (Figura 5). Por último, se realizaron controles a los seis meses, al año y a los dos años de la cirugía.
Se realizó descarga del miembro intervenido durante la fase de alargamiento femoral y carga parcial con asistencias durante la fase de consolidación, terminando por realizar carga completa tras la formación definitiva del callo óseo.
Métodos de evaluación
Se midió la dismetría preoperatoria o alargamiento teórico (en milímetros) de los pacientes mediante telemetría y el alargamiento postoperatorio mediante radiografías anteroposterior y axial de fémur completo siguiendo las indicaciones de Paley y colaboradores.1 Se calculó la precisión del alargamiento (relación entre el alargamiento logrado y el planeado), la tasa de distracción (mm distraídos entre los días de distracción totales) (mm/día), el índice de distracción (relación entre el número de días de distracción y el alargamiento alcanzado) (días/cm) y el índice de consolidación (relación entre la duración para lograr la consolidación ósea y la longitud alcanzada) (días/cm) siguiendo el método utilizado por Nasto y colaboradores.9
Consideramos la consolidación de la zona de alargamiento como la existencia de callo óseo en tres de las cuatro corticales siguiendo el método descrito por Nasto y colaboradores.9 Se identificaron las complicaciones intraoperatorias y postoperatorias en todos los casos según el método descrito por Paley y su equipo,7 que subdivide las complicaciones en problemas, obstáculos y complicaciones.
Resultados
El seguimiento medio fue de 21 meses (rango de 12 a 42), sin pérdidas en el seguimiento. La duración media del procedimiento quirúrgico fue de 126 minutos (rango de 105 a 160).
De los cinco clavos utilizados, tres tenían un diámetro de 10.7 mm; uno, un diámetro de 8.5 mm; y otro, de 12.8 mm. Tres clavos tenían una longitud de 215 mm; uno, de 230 mm; y otro, de 245 mm. Todos los clavos fueron femorales y anterógrados.
La dismetría prequirúrgica medida fue de 38 ± 2.7 mm. El alargamiento final medido en las radiografías postoperatorias fue de 41 ± 7.5 mm. La precisión media fue de 108% y la tasa de distracción de 0.9 ± 0.4 mm/día. El índice de distracción medido fue de 13.9 ± 5.1 días/cm y el índice de consolidación de 26.6 ± 9.1 días/cm. El tiempo medio de distracción fue de 57.6 ± 25.9 días. Los datos por pacientes quedan reflejados en la Tabla 2.
Tabla 2: Resultados de dismetría preoperatoria y alargamiento postoperatorio, además de la precisión obtenida.
| Caso | Dismetría preoperatoria (mm) | Alargamiento final (mm) | Precisión (%) |
|---|---|---|---|
| 1 | 40 | 50 | 125.0 |
| 2 | 40 | 44 | 110.0 |
| 3 | 35 | 35 | 100.0 |
| 4 | 40 | 45 | 112.5 |
| 5 | 35 | 32 | 91.0 |
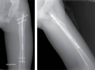
La consolidación ósea se observó en 100% de los pacientes con una media de tiempo de 113 ± 58 días. En dos casos se retiraron los clavos intramedulares después de un mínimo de un año de seguimiento según indica la técnica quirúrgica (Figura 6).
En cuanto a las complicaciones, se dividieron en complicaciones mayores o menores, identificándose un total de cuatro complicaciones menores en nuestra serie (Tabla 3): dos casos de claudicación de la marcha por déficit de extensión de la rodilla que no supuso limitación funcional y que mejoraron tras rehabilitación; un caso de atrofia y dolor de la musculatura cuadricipital que se recuperó tras rehabilitación y analgesia; y un caso de rotura fibrilar del recto anterior que se solucionó con reposo relativo y rehabilitación precoz.
Discusión
Una de las novedades que caracterizan al clavo intramedular Precice® es el control bidireccional (de alargamiento y acortamiento) que presenta. Además, permite su introducción en el fémur de manera anterógrada (a través del trocánter mayor o vía piriforme) o retrógrada; y anterógrada en el caso de la tibia.11,14 Diferentes estudios concluyen en la utilización en adolescentes de la vía anterógrada a través del trocánter mayor, ya que presenta menor tasa de necrosis avascular de la cabeza femoral.13,15,16
El clavo de segunda generación aporta modelos para el fémur con diámetros de 8.5, 10.7 y 12.5 mm, con longitudes entre 195 y 365 mm y con patrones de orificios para los tornillos distales en dos planos diferentes que permiten la adaptación a la variedad anatómica de los pacientes.1 Paley y colaboradores en un estudio de 67 clavos intramedulares (41 femorales) y un seguimiento medio de 9.6 meses, concluyeron que este clavo intramedular Precice® de segunda generación es, al menos, dos veces más resistente a la fatiga por flexión y presenta un acoplamiento tres veces más fuerte entre los engranajes y el tornillo de alargamiento, así como mayor capacidad de distracción en comparación con su primera versión. En este estudio Paley y colaboradores, tras observar tres roturas del clavo y siete fallos en la distracción del mismo, identificaron dos posibles errores de la primera versión del implante: la unión de los engranajes al tornillo de avance y las soldaduras del clavo en ambos lados del mecanismo de accionamiento.13 Asimismo, Panagiotopoulou y colegas en una serie de 15 clavos extraídos de 13 pacientes describieron que la primera generación de los clavos Precice® presentaba residuos internos producidos por la corrosión del implante. Dichos hallazgos no se encontraron en el diseño de segunda generación.12
En el presente estudio se han evaluado los resultados de una serie de cinco pacientes consecutivos intervenidos de alargamiento femoral. Esta serie ha aportado buenos resultados en relación con la precisión del clavo (108%). En este sentido, diferentes autores han publicado buenos resultados clínicos y radiológicos de este dispositivo. Green y colaboradores en un estudio multicéntrico de 31 pacientes con alargamiento de miembros inferiores (23 femorales) describen una precisión de 96.7%. De la misma manera, en tres estudios similares; uno realizado por Kirane y colegas17 con 17 casos de alargamiento femoral, se observó una precisión de 98%; y otros realizados por Wagner y colaboradores18 y por Schiedel y su equipo,19 ambos con series de 24 y 15 clavos femorales respectivamente, observaron una precisión de 97%.
En nuestra serie de casos, la tasa de distracción ha sido de 0.9 mm/día. Paley y colegas13 destacan qué tasas de distracción > 1.5 mm/día constituyen un factor de riesgo de una peor regeneración ósea. En este estudio reportan una tasa de 0.8 mm/día, aspecto que se objetiva en nuestra serie, así como en otros estudios de la literatura (rango entre 0.7 y 0.9 mm/día): Nasto y colaboradores (0.9 mm/día)9 en una serie de 26 casos con una edad media próxima a la nuestra (14.7 años); Laubscher y colaboradores (0.9 mm/día);20 Schiedel y colegas (0.8 mm/día)19 y Wagner y su equipo (0.7 mm/día).18
Cabe destacar que se ha realizado la retirada del clavo tras un período de 12 meses de seguimiento en dos pacientes. Solamente en un estudio de Farsetti y colaboradores con 20 casos consecutivos de alargamiento femoral se extrajeron todos los clavos a los ocho meses después de visualizarse la consolidación radiológica.21
Si bien en el presente estudio no se ha comparado el dispositivo intramedular con otros métodos de fijación externa, Laubscher y colaboradores realizan este propósito en un estudio de una serie de 15 pacientes comparada con un grupo de siete pacientes con fijador externo. El alargamiento femoral con el clavo femoral Precice® logró excelentes resultados funcionales con menos complicaciones y mayor satisfacción del paciente en comparación con el sistema de fijación externa, que incluía infecciones de los pines y mayor intolerancia al tratamiento con fijador por parte de los pacientes. El seguimiento medio fue de 14.7 meses y el alargamiento medio, de 59.7 mm. El tiempo medio para realizar carga completa fue significativamente más corto en el grupo Precice® que en el grupo de fijación externa (3.6 meses versus 4.8 meses, p = 0.02). La satisfacción de los pacientes fue mayor en el grupo Precice® y los pacientes presentaron menos dolor durante el alargamiento y la consolidación (p < 0.001).20
En cuanto a las complicaciones, existen diferentes métodos de clasificación publicados en la literatura,9 aunque en nuestro estudio las hemos dividido en complicaciones mayores y menores dependiendo de si precisaron de reintervención quirúrgica o no.
La tasa de complicaciones viene determinada según la severidad de éstas y si tienen relación con el implante. De esta forma, podemos destacar el estudio realizado por Green y colaboradores,8 en el que observaron 52% de complicaciones; de las cuales, la complicación más frecuente fue el dolor en 26% de los pacientes. Obtuvieron dos efectos adversos relacionados con el implante, una rotura de un tornillo de bloqueo distal y un fallo en el alargamiento del implante. De la misma forma, Kirane y colaboradores17 registraron 24% de complicaciones menores no relacionadas con el implante, entre las que destacan una moderada pérdida de rango de movimiento en tobillo y rodilla, que se recuperaron tras ejercicios de rehabilitación; y 4% de complicaciones relacionadas con el implante, referentes a fallos en el mecanismo de alargamiento que se solucionaron con el recambio del mismo.
Birkholtz y colaboradores22 describieron su experiencia inicial con el clavo Precice® en nueve pacientes, con resultados similares a los nuestros, objetivando un alargamiento promedio de 45 mm y una precisión de 103%, registrando un total de dos complicaciones. En nuestro estudio encontramos un total de cuatro problemas que se solucionaron con tratamiento conservador, sin registrar ninguna complicación que necesitase de intervención quirúrgica.
El implante Precice® tiene un precio competitivo y comparable con otros dispositivos de fijación externa de alargamiento de extremidades inferiores. Tal como describen Paley y colaboradores, la reducción de complicaciones de los implantes y los pines deberían conducir a una mayor rentabilidad de este dispositivo en comparación con la fijación externa.1 Otros autores, en cambio, como Laubscher y su equipo20 refieren que la diferencia de coste puede ser compensada por el ahorro que conlleva un tiempo de rehabilitación más corto tras el alargamiento intramedular. A pesar de esto, se necesitan más estudios costo-efectividad que aporten evidencia en relación con este aspecto del dispositivo.
Nuestro estudio presenta varias limitaciones, ya que se trata de una serie de cinco casos retrospectiva sin tener grupo control para comparar nuestros resultados clínico-radiológicos con los de otros dispositivos intramedulares disponibles en el mercado o con métodos de fijación externa. Es necesario por tanto, la realización de estudios prospectivos-comparativos de estos implantes con los de fijación externa que aporten mayor evidencia científica a la existente en la literatura y respalden las observaciones encontradas en los estudios retrospectivos.










nueva página del texto (beta)







