Introducción
El ligamento cruzado anterior (LCA) es un elemento importante en la biomecánica de la rodilla, su papel principal es limitar la rotación y traslación anterior de la tibia1,2,3 durante la fase de apoyo de la marcha.4 De acuerdo con la Academia Americana de Cirujanos Ortopédicos, 70% de la lesiones del LCA son resultado de mecanismos sin contacto5 durante actividades atléticas que incluyen cambios de velocidad súbitos o que involucren carga axial sobre la rodilla en extensión completa.6
La lesión de este ligamento es una causa importante de morbilidad5 y puede resultar en la pérdida de temporadas deportivas y becas escolares. En el aspecto económico, el costo del manejo de las lesiones del LCA es significativo, con un costo aproximado de reconstrucción y rehabilitación que excede $ 17,000.27 dólares.7
La reconstrucción del LCA se ha vuelto el tratamiento quirúrgico estándar para restaurar la estabilidad y biomecánica de la rodilla1,2,8 con un aumento en el número de procedimientos realizados cada año.9 Aunque la reconstrucción del LCA ha demostrado resultados prometedores en cuanto a estabilidad en general, se han detectado problemas a largo plazo como la falla del injerto, la cual aumenta el riesgo de lesiones cartilaginosas y meniscales,2,5,10 incrementando el riesgo de desarrollar artrosis temprana.4,6
Se han identificado factores asociados con la falla del injerto, entre los que se encuentran los factores extrínsecos (actividad atlética desarrollada, perturbaciones visuales, contacto físico y la interacción entre zapato-superficie), así como factores intrínsecos: edad, género, índice de masa corporal (IMC),11 disminución del ángulo Q,12 control neuromuscular, laxitud ligamentaria9 y geometría de la rodilla;1,7 este último factor ha generado gran atención en los últimos años por su relación con el aumento en la incidencia de fallos tras una reconstrucción de LCA.13
El slope tibial tiene una fuerte relación lineal con la cantidad de fuerza a la que es sometida el injerto del LCA3 entre los 0 y 30º de flexión,14 independientemente de la posición de los túneles;9 un slope tibial más plano disminuye de manera significativa la carga sobre el injerto, mientras que un aumento en el slope tibial tiene mayor carga sobre el injerto del LCA3 predisponiendo al fallo1,2,3,13 y a malos resultados funcionales.15
El slope e tibial nativo se ha descrito entre 8 y 10º,9,12,13 medidos en radiografías laterales y un aumento del slope tibial mayor de 12º se ha asociado a una mayor traslación tibial anterior3,8 y a un aumento de tres a 10 veces del riesgo de falla del injerto de LCA.1,13,16
En los últimos años ha ganado popularidad el uso de osteotomías10 para disminuir el estrés excesivo sobre el injerto tras la reconstrucción del LCA. La osteotomía tibial de deflexión anterior está indicada en rodillas con antecedente de fallo repetitivo y un slope tibial excesivo (> 12)4 con el objetivo de proteger el injerto de LCA de una revisión.3,14,16
El objetivo de este estudio es determinar el efecto del slope tibial en la recuperación funcional en pacientes sometidos a reconstrucción de ligamento cruzado anterior en nuestra institución.
Material y métodos
Se recabaron los estudios radiográficos y expedientes clínicos de pacientes con diagnóstico de lesión de ligamento cruzado anterior sometidos a reconstrucción, de Mayo de 2018 a Mayo de 2019, recabando los puntajes de cuestionario del Comité Internacional de Documentación de la Rodilla (IKDC, por sus siglas en inglés) y Lysholm prequirúrgicos y a lo largo del seguimiento a un año, se realizó la medición de slope tibial en radiografías de expediente clínico electrónico.
Se llevó a cabo un análisis descriptivo de primera intención y para alcanzar el objetivo se realizó una comparativa de 25 pacientes con slope tibial normal seleccionados aleatoriamente contra 25 pacientes con slope tibial aumentado.
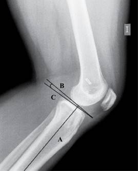
Para la medición del slope tibial, ésta se realizó en radiografías laterales de rodilla donde se trazó una primera línea en el eje de la diáfisis de la tibia (A), una segunda línea tangencial a la superficie de las mesetas tibiales (B) y una tercera línea (C) perpendicular a la línea A en el sitio de intersección AB. El ángulo formado por la línea B y C se considera como el valor del slope tibial (Figura 1).
Se consideró dentro de rangos normales un slope tibial igual o menor de 12º y un slope tibial aumentado mayor de 12º.
Método estadístico. El análisis de datos se recolectó mediante el programa Excel, las variables numéricas se describieron con media y desviación estándar; las variables nominales se describieron en frecuencia y porcentaje. Para la inferencia estadística se empleó la t de Student para diferencia de las medias en grupos independientes o bien U de Man-Whitney (si se comporta como una distribución no normal) a través del programa SPSS versión 21.
Resultados
Se incluyeron 98 pacientes, de los cuales 73 contaban con un slope tibial igual o menor de 12º y 25 con un slope tibial mayor de 12º, la edad promedio en ambos grupos fue de 28.43 años en el grupo con slope tibial normal y 28.26 en los pacientes con slope tibial aumentado. En cuanto a la valoración funcional, los puntajes de IKDC y Lysholm al final del seguimiento fueron mejores en los pacientes con slope tibial normal (Tabla 1). La falla del injerto sólo ocurrió en el grupo con slope tibial aumentado (Tabla 1).
Tabla 1: Datos demográficos generales.
| Variable | Slopetibial, n (%) | |
|---|---|---|
| Normal | Aumentado | |
| Pacientes | 73 (100.0) | 25 (100.0) |
| Edad (años), media | 28.43 | 28.76 |
| Género | ||
| Hombre | 46 (63.0) | 22 (88.0) |
| Mujer | 27 (36.9) | 3 (12.0) |
| Rodilla afectada | ||
| Derecha | 35 (47.9) | 15 (60.0) |
| Izquierda | 38 (52.0) | 10 (40.0) |
| Falla de injerto | 0 (0) | 5 (20.0) |
| Sutura meniscal | 27 (36.9) | 10 (40.0) |
| IKDC (12 meses postquirúrgicos), media | 96.02 | 91.63 |
| Lysholm (12 meses postquirúrgicos), media | 92.44 | 91.68 |
IKDC = International Knee Documentation Committee.
Por otro lado, al realizar la comparación entre los pacientes con slope tibial aumentado y un grupo control seleccionado aleatoriamente con valor normal de slope tibial se incluyeron 25 pacientes de cada grupo con características demográficas similares (Tabla 2). Al comparar los resultados funcionales obtenidos por IKDC y Lysholm al final de seguimiento se identificó un mejor puntaje en la valoración de IKDC al año de seguimiento en el grupo con slope tibial normal (Tabla 3).
Tabla 2: Datos demográficos de grupo comparativo.
| Variable | Slopetibial, n (%) | ||
|---|---|---|---|
| Normal | Aumentado | p | |
| Pacientes | 25 (100.0) | 25 (100.0) | 1.00 |
| Edad (años)* | 27.44 ± 8.7 | 28.72 ± 11.0 | 0.64 |
| Género | 0.80 | ||
| Hombre | 18 (72.0) | 22 (88.0) | |
| Mujer | 7 (28.0) | 3 (12.0) | |
| Rodilla afectada | 0.70 | ||
| Derecha | 14 (56.0) | 15 (60.0) | |
| Izquierda | 11 (44.0) | 10 (40.0) | |
| Slope tibial* | 9.04 ± 3.14 | 15.0 ± 1.80 | < 0.05 |
| Falla de injerto | 0 (0) | 5 (20.0) | < 0.05 |
| Sutura meniscal | 11 (44.0) | 10 (40.0) | 0.70 |
* Valores expresados en media ± desviación estándar.
Tabla 3: Resultados funcionales grupo comparativo.
| Variable | Slope tibial, media ± DE | ||
|---|---|---|---|
| Normal | Aumentado | p | |
| Lysholm prequirúrgico | 59.80 ± 11.36 | 57.08 ± 16.27 | 0.469 |
| IKDC prequirúrgico | 43.52 ± 8.38 | 43.28 ± 8.99 | 0.923 |
| Lysholm 2 semanas | 69.20 ± 9.45 | 66.60 ± 10.50 | 0.362 |
| IKDC 2 semanas | 70.88 ± 8.67 | 67.32 ± 9.15 | 0.164 |
| Lysholm 1 mes | 79.60 ± 10.50 | 77.12 ± 8.42 | 0.362 |
| IKDC 1 mes | 78.24 ± 9.35 | 77.0 ± 7.29 | 0.604 |
| Lysholm 3 meses | 5.75 ± 2.02 | 3.60 ± 1.76 | 0.568 |
| IKDC 3 meses | 88.24 ± 9.23 | 84.88 ± 9.46 | 0.210 |
| Lysholm 6 meses | 93.64 ± 6.03 | 90.44 ± 7.72 | 0.109 |
| IKDC 6 meses | 93.88 ± 6.61 | 89.80 ± 8.21 | 0.59 |
| Lysholm 12 meses | 90.96 ± 6.85 | 91.68 ± 6.42 | 0.703 |
| IKDC 12 meses | 96.44 ± 4.43 | 92.44 ± 7.45 | 0.025* |
IKDC = International Knee Documentation Committee.
* p < 0.05 estadísticamente significativo.
Discusión
En nuestro estudio se observa que el aumento de la inclinación tibial tiene un efecto negativo en los resultados funcionales en el primer año postquirúrgico en pacientes sometidos a reconstrucción de LCA; sin embargo, algunos estudios no reportan diferencias entre los resultados funcionales en pacientes sometidos a reconstrucción del LCA con slope tibial normal y uno aumentado.2 Por otro lado Kiapour y colaboradores15 encontraron resultados similares a nuestro estudio, con mejores calificaciones en las escalas funcionales en pacientes con slope tibial dentro de parámetros normales a los siete años de seguimiento después de la reconstrucción del LCA.
La medición del slope tibial en nuestro estudio se realizó en radiografías laterales de rodilla tomando una medición técnicamente sencilla, por lo que consideramos que es un estudio radiográfico accesible para su reproducibilidad así como de fácil medición con la técnica mencionada anteriormente (Figura 1). Existen otros estudios en los que se valora la medición del slope tibial medial y lateral en tomografía axial computarizada,9 que revelan una mayor relación entre el slope tibial lateral y la falla del injerto;13 sin embargo, son estudios de mayor costo y dificultad en su toma a diferencia de la radiografía simple que fue usada en nuestro estudio.
Con relación a la falla del injerto de LCA, encontramos una relación entre el aumento del slope tibial y la falla del injerto, como se ha descrito en diversos estudios de casos y controles,2,11 en especial en aquéllos con un slope tibial mayor de 12º.1,8,14 El mecanismo de falla parece estar asociado a un aumento en la fuerza a la que es sometido el injerto de LCA14 secundario a un slope tibial aumentado, como ha sido demostrado en varios experimentos in vitro.3,7,10,16,17
La identificación de los pacientes con alteración en la geometría tibial proximal y lesión del LCA8 nos obliga a planear, además de la reconstrucción del LCA, la aplicación de técnicas individualizadas para lograr mayor estabilidad y reducir el riesgo de falla;1,18 que va desde técnicas adicionales en tejidos blandos para lograr mayor estabilidad17 hasta el empleo de osteotomías de tibia proximal.10,16 Todo lo anterior con el propósito de lograr un buen resultado funcional, un retorno temprano al deporte y evitar la falla del injerto.
Dentro de las limitaciones del estudio se encuentra el seguimiento del paciente que sólo abarcó el primer año postquirúrgico Es necesario un seguimiento mayor para valorar los efectos del slope tibial en los resultados funcionales después de una reconstrucción de LCA.










nueva página del texto (beta)



