Introduction
Keratinizing squamous carcinoma (epithelioma cuniculatum) on the sole of the foot is a rare type of tumor that can be mistaken for an infection due to its clinical presentation, which can create delays in its proper diagnosis and treatment. Well-differentiated verrucous carcinoma on the sole of the foot was described for the first time in 1954 by Aird et al.1 In general. the lesion begins as a wart on the anterior sole of the foot, though it can also occur in other areas of the foot or hands.2,3,4 It resembles an infection because as it progresses it creates sinuous fistulas (which suggest chronic infection) with keratin waste discharge, which is described as similar to the tunnels of a «rabbit hole» (Cuniculatum is the Latin word for rabbit hole).5 In the initial stages it is often mistakenly diagnosed as a recalcitrant plantar wart.2,3,6,7,8 Proper diagnosis is often delayed by a low clinical suspicion and may require multiple biopsies. These lesions rarely metastasize but a local invasion of soft tissue and adjacent bone is common, requiring ample surgical resection or even amputation in advanced cases.2,3,5,6 The histological characteristics are unspecific with little or no cellular atypia, which is another cause for the delays and difficulties in obtaining a proper diagnosis.5 We report the case of a patient with Epithelioma cuniculatum who was initially treated for an infection of a foot wart.
Clinical case
A 76-year-old woman presented with a 5-year history of forefoot pain secondary to a soft tissue mass on the anterior sole of the right foot. The lesion was diagnosed and treated initially as a plantar wart with various unsuccessful procedures (such as simple excision, photodynamic cycles therapy, shaving, etc.), but continued to slowly evolve causing infection of the surrounding soft tissues, which required multiple debridement procedures. The results of the samples taken revealed a polimicrobial infection (P. aeruginosa, E. faecalis and E. coli), which was treated with a specific antibiotic regimen without clinical improvement.
On clinical examination, the patient did not present symptoms or signs of systemic disease. On the sole of the right forefoot at the level of the head of the second metatarsal, we found an exophytic lesion of 3.5 cm in diameter, with the aspect of a tumor: hyperkeratotic, exophytic, indurate and painful upon palpation (Figure 1). On the dorsal side of the foot, she had an erythematous-violet coloring spot of 4-5 cm in diameter with two productive fistulous trajectories. A neurovascular exploration was considered normal. No lesions were found in contiguity and she had no regional lymphadenopaties.

Figure 1: Exophytic lesion measuring 3.5 cm in diameter in the anterior plantar region with a hyperkeratotic and tumor aspect.
With respect to the imaging studies, the foot X-rays were normal. The 3-phase bone scan with labeled leukocytes showed an inflammatory process and a hot spot in the head of the third metatarsal compatible with osteomyelitis. There were no other lesions. Magnetic resonance imaging (MRI) study showed an extensive plantar infiltrative process with areas of fatty necrosis and signs of infection extending to the dorsum of the foot through the first three web spaces, as well as productive skin fistulas. Finally, the computerized axial tomography (CT) revealed the existence of a significant infiltration of the soft tissues around the 2nd and 3rd metatarsals; but concluding that there were no signs suggesting bone affectation.
Histology interpretation
Given the disparity results of the imaging studies, an excisional biopsy of the plantar lesion was performed. Intraoperatively, it was shown that the invasion of deep layers would make it unfeasible to get a peritumoral wide margin free of tumor. The pathological study revealed the existence of a well-differentiated keratinizing squamous carcinoma, ulcerated and infiltrative, invading the surgical margins (Figures 2 to 4). The microbiological study of the intraoperative samples various bacteria were isolated: Proteus mirabilis, Corynebacterium sp. and S. aureus.

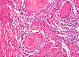
Figure 2: Deep clusters and large properties of a well differentiated squamous carcinoma, with abundant keratin and poor cellular atypia (it is the actual image of the «cuniculatum» carcinoma that is characterized by the depth of the tunnels because it recalls the tunnels dug by rabbits, which is where the name is derived from and good cellular differentiation). (HE 100X).

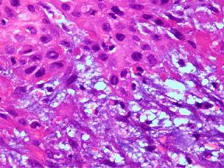
Figure 3: Details of the tumor clusters, where the scarce cellular atypia is better observed. (HE 250X).
Evolution
A definitive diagnosis of infiltrating keratinizing squamous carcinoma (epithelioma cuniculatum) and concomitantly polymicrobial infection was confirmed.
At this stage of the disease and after ruling out metastatic lesions, the only possible treatment was a radical amputation with wide margins, whose level will be directly influenced by the condition of the skin. Due to the patient’s age and with the goal of giving the patient a guaranteed solution with only one surgery, it was decided that a Syme (Figure 5) amputation would be the best surgical method of treatment. The pathological study of the surgically amputated section confirms a diagnosis of keratinizing squamous carcinoma and the infiltration of ulcerative lesions on the dorsal aspect of the foot as well as on the plantar aspect of the foot. No bone invasion was observed. Surgical margins were free of tumor.

Figure 5: Syme type amputation. The level of the bone section is done at the tibia and distal fibula 0.6 cm proximal to the joint.
After 14 months of follow up, the patient demonstrates sufficient autonomy due to good tolerance of the prosthesis fit and without locoregional recurrence of the injury.
Discussion
This case report highlights the difficulty in diagnosing Epithelioma cuniculatum, which often goes undiagnosed for long periods due to its similarity to other more common pathologies found in that area.2 In the literature, the average diagnosis time varies between 7 and 13 years, with extreme examples ranging from two months to 44 years.3,5,9,10
A wrong diagnosis is often made with this type of disease when the lesion is considered to be a osteomyelitis as a complication of a benign skin lesion (plantar wart) based on the existence of a fistula (classic sign of infection) in conjunction with imaging tests that support the idea of osteomyelitis (such as the bone scan in our case). It’s important to point out that soft tissue infections should be treated and solved with adequate debridement and specific antibiotic regimen. When faced with a poor evolution of the lesion, we should suspect a misdiagnosis, performing specific tests such as biopsies, bearing in mind that infections may accompany and/or mask tumoral conditions.
The pathological diagnosis can be difficult since the lesion appears to be a common wart, therefore a deep biopsy is necessary6 since the differential diagnosis is made by the malignant invasive proliferation of the dermis by the carcinoma.5
The tumor growth is slow and progressive, both endo and exophytically with a predominance for the former.3 It is destructive locally as it invades the underlying soft tissue and bone (10% of cases).5,10 The disease often occurs in middle age people (mean age 60 years) and is more common in men (79-89%).2,3,4,5
The pathogenesis of Epithelioma cuniculatum is unclear. Some studies have proposed several risk factors, such as the existence of chronic inflammation or repetitive traumatic injuries as well as to the presence of HPV (human papilloma virus). However, no clear association has been made.5,11 Epithelioma cuniculatum has a low mortality rate compared to other subtypes of verrucous carcinoma.2,6 Although it is rare, metastatic spreading occurs mainly in locoregional lymph nodes (5% of the cases).4,5,10
Regarding imaging tests, the most reliable test to rule out bone infiltration is the CT.12 An MRI may also be useful to specify the size and depth of the tumor.13
Definitive treatment must be a wide local excision, though the most advanced cases require amputation.2,5 We performed a Syme amputation in this particular case for three main reasons: first, there was the need for a curative surgery that could be performed in a single surgical procedure and get a good stump without requiring flaps. Second, the little dysmetria it causes the patient, allowing one to walk at home and for short distances without prosthesis, while leaning on the talar region for support. Third, a high level of energy is not required to walk with the prosthesis. Reviews on electrodessication, cryotherapy and laser surgery have been associated with high rates of tumor recurrence.14 Chemotherapy and radiotherapy have not been reported as strategies for treatment.2 In fact, radiotherapy has been linked to the risk of transformation into anaplastic carcinoma.5,15 Clinical monitoring of patients is very important due to the fact that recurrences are common even after corrective surgery. Some authors recommend annual follow-ups for a minimum of two years.5,16
Conclusion
We report the case of a patient treated for a plantar wart and secondary infection for several years without clinical improvement. The final diagnosis was Epithelioma cuniculatum, a rare tumoral condition mimicking an infection. We advise clinicians to be aware of chronic infections that don’t heal with conventional treatments, in order to perform a biopsy to rule out underlying malignancies.










nueva página del texto (beta)



