Introducción
La artroplastía total de cadera, practicada por la mayoría de los cirujanos ortopedistas,1 continúa evolucionando y es un procedimiento quirúrgico exitoso en el manejo de alteraciones degenerativas o traumáticas de esa articulación del tronco. El abordaje anterior se ha popularizado durante los últimos 15 años, ya que promueve diversos beneficios comparado con otras técnicas quirúrgicas, respetando un plano intermuscular y favoreciendo así una rápida recuperación del paciente en el primer trimestre, de la misma forma, la estancia en el hospital es inferior, al igual que los requerimientos postoperatorios de analgésicos, terapia física y días de rehabilitación.2 Históricamente, las opciones posterolateral y lateral directa han sido las más utilizadas, cada una acompañada de sus respectivas ventajas y desventajas. La alternativa lateral conlleva un mayor riesgo de marcha claudicante por afectación del nervio glúteo medio, mientras tanto, la posterior presenta un significativo peligro de luxación. Ese abordaje anterior disminuye el riesgo de estas complicaciones ya que respeta la integridad de los grupos musculares y permite una recuperación acelerada. Además, se ha documentado un mejor posicionamiento de los componentes protésicos y menor probabilidad de luxación. Sin embargo, el método requiere de una curva de aprendizaje, la cual puede predisponer la intervención a dificultades intraoperatorias, como fractura femoral o lesión del nervio femorcutáneo lateral.2,3
El uso de una mesa específica facilita la movilización de la extremidad durante la cirugía, una adecuada visualización de las estructuras anatómicas de la cadera y disminuye el número de asistentes necesarios a fin de ejecutar la operación.4,5,6 Esta nueva modalidad resultó popularizada por un par de cirujanos en la década de los 90, Joel Matta en EUA a partir de 19967,8 y Fréderic Laude en Francia9 desde 2002. Ambos discípulos de Emile Letournel en París, Francia. En México, el uso de un mueble específico inició hace poco más de dos años con la llegada de ciertos equipos e instrumental dedicado a su realización, como son separadores, rimas y raspas femorales con offset específico y el posicionador de extremidad o mesa especial.
El objetivo de este artículo es presentar el reporte de los primeros 50 casos, operados por un mismo cirujano en un período de dos años, en los que se describen las ventajas del uso de esta práctica, los resultados clínicos inmediatos y a corto plazo. Esta es la primera serie de eventos de artroplastía de cadera por abordaje anterior aprovechando la técnica de invasión mínima y uso de mesa o posicionador especial.
Material y métodos
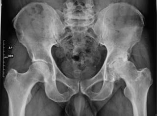
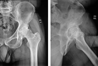
Previa aprobación por los Comités de Investigación y de Ética en Investigación de este hospital (Centro Médico ABC), se efectuó un estudio retrospectivo de todos aquellos casos consecutivos de artroplastía total de cadera, entre Abril de 2018 y Abril de 2020, realizados por abordaje anterior por el mismo cirujano, en el misma institución hospitalaria, igualmente utilizando sistema de reemplazo de cadera con vástago femoral AMIS-H y copa acetabular Versafit-CC (Medacta, Castel San Pietro, Suiza) con liner de polietileno de altos enlaces cruzados y cabeza de cerámica o metal. Se incluyeron 50 caderas en 47 pacientes. Para la totalidad de ellos se formalizó una planificación preoperatoria aprovechando radiografías en proyección anteroposterior con apoyo a una distancia estricta de un metro (Figura 1), proyección anteroposterior de la cadera afectada y proyección oblicua axial a idéntica distancia, así como eje mecánico en la generalidad de los hechos, a excepción de aquellos con fractura de la articulación, a quienes no se les realizó proyección oblicua (Figura 2). Se hizo la medición y selección del tamaño de implantes a utilizar con los sistemas de plantillas específicos de la marca referida. Todos estos afectados tuvieron un seguimiento clínico y radiográfico por 90 días postoperatorios.
Criterio de inclusión. Pacientes a quienes se les efectuó artroplastía total primaria de cadera no cementada por abordaje anterior, utilizando técnica de mínima invasión y con sistema de Medacta.
Criterio de exclusión. Enfermos operados por otra alternativa quirúrgica, en otro hospital, con otra marca de implantes y artroplastía de revisión o hemiartroplastía bipolar.
La estrategia quirúrgica se ejecutó poniendo al paciente en posición supina y colocando la extremidad pélvica en el posicionador especial (Figura 3), el cual es para tracción, movilización y posicionamiento de ésta, controlando la rotación, extensión y aducción necesarias para realizar la cirugía y colocar los componentes; se utilizó intensificador de imágenes.
El abordaje anterior de invasión mínima por el intervalo de Hueter, entre el músculo tensor de la fascia lata y el recto anterior (anterior minimally invasive surgery, AMIS),9 es modificación del método anterior directo. La incisión a la piel va en sentido oblicuo a 2 cm distales y 3 cm laterales a la espina ilíaca anterosuperior, siguiendo el centro del vientre palpable del músculo tensor de la fascia lata en el muslo, dirigido hacia la cabeza del peroné, buscando evitar lesionar el nervio femorocutáneo lateral (Figura 4). Se identifican y ligan los vasos circunflejos laterales; se ejecuta disección de la cápsula articular entre los músculos iliocapsular, vasto lateral y glúteo medio y se incide en forma de V invertida. Se protege el cuello femoral usando dos separadores de Hoffman modificados y se hace la osteotomía con sierra. Se efectúa tracción con el posicionador de la extremidad y rotación externa a 45 grados, y así se separa dicho cuello en el sitio de la osteotomía y se extrae la cabeza del fémur. Con la exposición de la cavidad acetabular y utilizando asistencia fluoroscópica se realiza preparación del acetábulo para posterior colocación del componente definitivo (Figura 5).
Se retira la tracción y se incrementa la rotación externa hasta llegar a 90 grados. En ocasiones es necesario practicar liberación secuenciada de la cápsula posterior, procurando incrementar la rotación externa a 120 grados empleando el posicionador, más la extensión máxima y aducción de 40 grados. Con el fin de evitar fracturarlo, es importante verificar que el trocánter mayor esté libre en posición lateral al borde acetabular, antes de iniciar la flexión. Una vez lograda la postura, se identifica el canal femoral y se inicia la preparación con raspas progresivas de diseño específico para abordaje anterior ya que tienen un offset predeterminado. Se colocan los componentes de prueba para cuello y cabeza. Con ayuda del posicionador de extremidad se efectúa la reducción, se verifica la estabilidad protésica y usando fluoroscopía se verifica la longitud de la misma y, una vez seleccionados los implantes definitivos, se realiza de nuevo luxación controlada del implante y con esos mismos movimientos se lleva la extremidad a la posición previa. Se sustituyen dichos componentes femorales de prueba por los definitivos (Figura 6). En la generalidad de los casos se utilizó un drenaje con reservorio por un mínimo de 24 horas. En todas esas incidencias se obtuvo una imagen radiográfica simple en proyección anteroposterior antes de mover al paciente de la mesa quirúrgica en la sala de operaciones (Figura 7).
Asistidos presencialmente por el equipo quirúrgico, en las primeras 24 horas se inició marcha, con apoyo a tolerancia de la extremidad, usando andadera de tipo mixta. Iniciaron las sesiones de terapia física tres veces al día hasta el alta, intentando lograr arcos de movimiento pasivos de cadera, rodilla y tobillo; entrenamiento de escaleras y de vestido. La mayoría de los pacientes fueron dados de alta a las 72 horas postoperatorias, con indicaciones y medicamentos específicos.
Los enfermos fueron evaluados a los 15, 30, 60 y 90 días postoperatorios. En la totalidad de estos casos se practicó una radiografía de control entre los 30 y 60 días. Se documentaron las complicaciones postoperatorias inmediatas, variables como el tiempo quirúrgico, el volumen de sangrado, requerimientos transfusionales, inicio de marcha, limitación funcional, estancia hospitalaria, tiempos de uso de andadera y marcha sin asistencia. El seguimiento fue en consultorio. Se realizó una comparación de las radiografías postoperatorias inmediatas y las obtenidas en esos primeros 90 días; posteriormente al semestre y al año. Mediante la escala de Harris se concretó la evaluación de su evolución clínica a los 30 días.10
Resultados
Se llevaron a cabo 50 reemplazos totales de cadera por abordaje anterior en 47 pacientes (18 hombres y 29 mujeres). El rango de edad variaba de 28 a 94 años con una media de 67.7 años. La etiología fue artrosis en 39 de ellos (78%), necrosis avascular en cinco casos (10%), fractura subcapital en cuatro aquejados (8%), artritis reumatoide en uno (2%), y sinovitis vellonodular pigmentada en un caso (2%). Se operaron 30 de ellas del lado derecho (60%) y 20 del izquierdo (40%).
Diez de ellos tenían ya un reemplazo de cadera contralateral, tres tratados por otro cirujano y siete por el autor; cuatro utilizando otros sistemas previos al presente estudio y tres con el mismo sistema y técnica de abordaje anterior por mínima invasión empleando mesa especial. El lapso quirúrgico documentado, desde el momento de la incisión al cierre de la herida, varió de una hora 20 minutos a cinco horas en dos casos, con un promedio de dos horas 36 minutos. El sangrado transoperatorio registrado varió de 100 a 1,100 ml con un promedio de 513 ml. En 34 (68%) ocasiones el flujo de sangre se mantuvo entre 100 y 500 ml, en 15 (30%) entre 500 y 1,000 ml y en 1 (2%) fue por arriba de 1,000 ml. Se transfundieron a cinco enfermos (10%) a lo largo de la cirugía, debido a la respuesta hemodinámica al sangrado y a condiciones clínicas previas. Se dejó drenaje por 24 a 48 horas en 22 pacientes (44%). En ocho ocasiones, durante el fresado femoral, se produjo una lesión parcial al vientre muscular del tensor de la fascia lata; en seis internados, durante la preparación del canal femoral, se produjo una dermoabrasión del ángulo proximal de la incisión quirúrgica.
Se produjo fractura periprotésica del calcar en un par de pacientes (4%), las cuales fueron identificadas en el transcurso de la intervención y que se estabilizaron empleando sistema de Cables sin requerir recambio del implante. En ambas situaciones se difirió el apoyo por seis semanas. Se midió la longitud de las extremidades en la imagen radiográfica obtenida, verificando la relación del trocánter menor con el reborde de las tuberosidades isquiáticas y se corroboró la longitud clínica. Se identificó discrepancia superior a 5 mm y menor a 10 mm en dos situaciones (4%) que no requirieron compensación posteriormente. Todos los dolientes iniciaron deambulación en las primeras 24 horas postoperatorias. En 40 internados se inició la deambulación con sostén a tolerancia en las ocho horas justo después de la cirugía. En la mayoría de los eventos las soluciones intravenosas y la sonda vesical se retiraron a las 48 horas. En seis pacientes se aplicó transfusión de uno o dos paquetes globulares por disminución en sus valores de hemoglobina por debajo de 10 g/dl en esas primeras 24 horas postoperatorias con manifestaciones clínicas, por ejemplo mareo, debilidad, hipotensión o taquicardia. De esta media docena de casos, a dos se les había transfundido previamente durante la operación.
Como complicaciones postoperatorias, un paciente desarrolló infección periprotésica ocho meses después, tratado con revisión en dos tiempos. Se identificaron cuatro enfermos con hematoma contenido en muslo, dos fueron drenados por punción sin dificultades posteriores. Infección superficial de la herida quirúrgica en dos casos, los cuales se controlaron administrando antibióticos sistémicos por 10 días. Se identificó paresia de la región lateral del muslo en seis pacientes (12%), de los cuales tres se recuperaron por completo y en tres persistió una paresia sin llegar a anestesia en ningún paciente. No se presentó ningún caso de luxación.
Tampoco se identificaron eventos tromboembólicos, desórdenes pulmonares o de vías urinarias en ningún paciente.
A 45 de los 47 pacientes se les instruyó marcha usando bastón y sin asistencia antes de su egreso incluyendo entrenamiento de escaleras. Se indicó uso de bordón o andadera por dos semanas, la generalidad de aquellos menores de 60 años con artrosis dejaron el bastón antes de 15 días. En los eventos de fractura se sugirió continuar empleando la andadera por un mínimo de cuatro semanas.
De dichos 47 afectados se verificó el seguimiento a 46. Una paciente extranjera tratada por fractura regresó a su lugar de origen cuatro días después de la cirugía y devino atendida por un cirujano de cadera experimentado en su localidad y se mantuvo contacto estrecho con ella hasta un semestre después de su postoperatorio. La puntuación de la escala de evaluación de acuerdo a los criterios de Harris arrojó resultados excelentes (puntuación de 90 a 100) en 42 casos (84%) y buenos en siete (14%) no se registraron desenlaces regulares y malo en un solo caso (2%).
Evaluación radiográfica. Se revisaron las radiografías postoperatorias entre 30 y 90 días de 49 casos. Se identificó subsidencia en tres de ellos a un trimestre, quienes no han presentado alteraciones clínicas posteriores. Se encontró hundimiento del componente femoral de menos de 5 mm en tres de ellos. De tales 49 componentes acetabulares, tres tienen una inclinación superior a 50 grados, dos abajo de 45 grados y 44 casos tienen una inclinación entre 40 y 50 grados. La anteversión presentó una variación de cero a 20 grados con un promedio de 12.5.
Discusión
El abordaje anterior supone ventajas significativas por el trauma reducido a los tejidos blandos, podría disminuir el tiempo de recuperación, la estancia en el hospital, el requerimiento de analgésicos, el tiempo de terapia física y el riesgo de luxación. Sin embargo, se requiere de pericia y una curva de aprendizaje específica, cuya falta ha incrementado el número de eventos adversos asociados. Reportes recientes demuestran que, en grupos con experiencia en esta técnica de acometida, es una opción segura y que da buenos resultados en la generalidad de los casos comparada con otras elecciones, y presenta posibilidad de beneficios importantes en los 90 días iniciales.11,12,13,14,15,16
La pérdida de sangre resultó similar a la de otros métodos, y en este reporte 34 pacientes (68%) tuvieron un sangrado por debajo de 500 ml. No se presentaron contratiempos cardiopulmonares y el manejo de estos enfermos por parte de anestesia, de forma subjetiva, fue más fácil con la posición de decúbito supino. Los aquejados pudieron emprender la deambulación tempranamente y en multitud de ocasiones se logró iniciar la marcha con soporte total, bajo la supervisión directa del cirujano y del equipo de cirugía.
Hay controversias relacionadas en cuanto a los abordajes quirúrgicos a la cadera y en lo relativo a la decisión de cambiar de método; aún en cirujanos experimentados, el período de adaptación se refleja en el lapso quirúrgico.17,18,19 De esta serie, sólo en una tercia de casos se superaron las cuatro horas: un par de ellos por complicaciones transoperatorias y otro por la dificultad técnica secundaria a la obesidad del paciente. El tiempo promedio en esta muestra fue de dos horas y media. El uso del posicionador de extremidad o mesa especial facilita la movilización del fémur y la colocación de los implantes. La tracción y la rotación controladas disminuyen el riesgo de fracturas transoperatorias del trocánter mayor y/o la diáfisis femoral y debe tenerse cuidado de no generar una fractura del tobillo por exceso de fuerza.
El uso de fluoroscopio es recomendable, buscando verificar la orientación del componente acetabular, la angulación y distancia del corte del cuello femoral a fin de evitar fracturar el trocánter menor. También se puede usar con la idea de corroborar la longitud de las extremidades y evadir alguna discrepancia que pudiera ser identificada hasta el postoperatorio y convertirse en causa de revisión. Esta condición es trascendental en pacientes quienes ya tienen un reemplazo de cadera contralateral. Por tal motivo, la cantidad de radiación emitida es un factor importante al considerar llevar a cabo esta práctica con mesa especial y que debe ser cuidadosamente dispuesto por el cirujano.
Conclusión
El abordaje anterior para artroplastía de cadera es una técnica segura y confiable que aporta resultados favorables en los primeros 90 días. El uso de la mesa específica facilita al cirujano el procedimiento. No hay cambios en la evaluación transoperatoria del posicionamiento de los componentes y de la longitud de la extremidad operada. Los desenlaces postoperatorios inmediatos son buenos y con consecuencias similares.










nueva página del texto (beta)









