Introducción
El condrosarcoma representa aproximadamente 20% de los tumores óseos malignos, siendo el segundo más frecuente tras el osteosarcoma. Juntos constituyen 0.2% de todas las neoplasias malignas. Su ubicación más frecuente es la pelvis.1,2
La sintomatología es inespecífica dependiendo de su localización (osteoartritis, dolor, inestabilidad articular) y su aparición es insidiosa, lo que ocasiona gran dificultad y demora en el diagnóstico. Cuando el tumor se sitúa en la pelvis puede presentarse inflamación o molestias con la micción o defecación debido al desplazamiento de la anatomía normal de la zona.3
El gran volumen y extensión, la ausencia de barreras anatómicas y la cercanía de vísceras abdominales en la pelvis hacen que las técnicas de resección y reconstrucción sean complejas. Esto, junto a su importancia en cuanto a la capacidad funcional y la frecuente demora en el diagnóstico ensombrece el pronóstico de estas lesiones.4
El objetivo de nuestro artículo es describir el inusual caso de un condrosarcoma pélvico cuya manifestación inicial fue la hematuria en un varón de 62 años.
Caso clínico
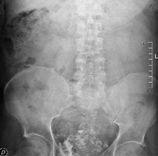
Varón de 62 años, fumador de 20 paquetes-año, con antecedentes personales de artritis reumatoide en tratamiento con certolizumab que es valorado en atención primaria por presentar episodios esporádicos de hematuria macroscópica relacionados con el ejercicio, de cuatro meses de evolución. A la exploración física presenta molestias a la palpación en fosa ilíaca derecha sin masas asociadas. Tras realización de análisis de sangre incluyendo antígeno prostático específico (PSA) y ecografía de aparato urinario y vejiga, que informa de «próstata heterogénea y mal definida, con calcificaciones y aumentada de volumen en unos 60 cm3», es remitido a urología. Se realiza una cistoscopía en la que se aprecia «litiasis de 1.5-2 cm y una neoformación papilar de aspecto superficial < 1 cm en proximidad del meato ureteral derecho», por lo que se decide llevar a cabo una cistolitotricia endoscópica y resección transuretral vesical (RTU). La liberación de la «litiasis vesical» se describe como «aspecto de tumor calcificado» y se aprecia un «tumor vesical extenso sólido de pared anterior y fondo calcificado en superficie». Ante estos hallazgos, se solicita una radiografía (Rx) de abdomen (Figura 1) y se envían muestras a anatomía patológica (AP). Posteriormente se realiza tomografía axial computarizada (TAC) abdominopélvica con contraste (Figura 2)-, que informa de «masa infiltrante exofítica que afecta a la vertiente anteroinferior de la vejiga con signos sugestivos de probable infiltración de la rama iliopubiana derecha y del músculo obturador homolateral, contactando asimismo con la vertiente anterior de la próstata, sin plano de separación grasa. Neoplasia vesical infiltrante (T4) con adenopatía sospechosa en cadena ilíaca externa derecha, sin lesiones de tracto urinario superior ni a distancia».
Sin embargo, el estudio de las muestras por anatomía patológica informa de:
• «Neoplasia papilar urotelial de bajo grado de malignidad»: infiltración por condrosarcoma bajo grado (Figura 3).

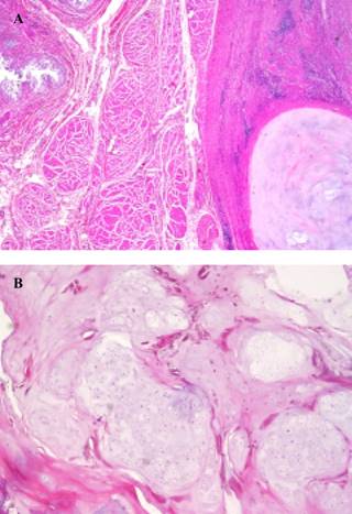
Figura 3: Células de estirpe condral en la muestra de anatomía: morfología lobulada, algunas binucleadas y nucléolos prominentes. Citoplasma claro, agrupación en lagunas y amplia matriz extracelular.5
• Calcificación de tumor: tejido cartilaginoso calcificado (Figura 3).
Ante la discordancia en los informes de las pruebas diagnósticas se completa el estudio con una resonancia magnética nuclear (RMN), que informa de «tumoración pélvica de 10 cm de diámetro mayor con origen en la rama iliopúbica derecha que por sus características es compatible con un condrosarcoma que infiltra la pared anterior de la vejiga y el músculo obturador interno derecho» (Figuras 4 y 5).

Figura 5: Cortes STIR de resonancia magnética nuclear anteroposterior y axial. STIR: Short Tau Inversion Recovery.
En ese momento el paciente es derivado al servicio de cirugía ortopédica y traumatología (COT) y tras valoración por el comité de tumores musculoesqueléticos (CTME) se realiza un estudio de extensión mediante TAC de tórax y gammagrafía ósea 99mTc-HMDP de cuerpo entero, la cual es negativa para enfermedad metastásica a distancia (Figura 6). Se decide intervención quirúrgica con el diagnóstico de condrosarcoma en zona 3 de Enneking6 (Figura 7). Se realiza exéresis ampliada de la tumoración con cistectomía radical (Figuras 8 y 9) y reconstrucción del suelo pélvico con malla sin reconstrucción ósea junto a cirujanos urológicos y del aparato digestivo.

Figura 6: Gammagrafía ósea 99mTc-HMDP de cuerpo entero. SPECT óseo y fase vascular. SPECT = Tomografía computarizada por emisión de fotón único.

Figura 8: Imágenes de la pieza quirúrgica: tumoración en rama iliopúbica derecha que invade vejiga urinaria, de 17 × 14 × 10 cm de aspecto nodular cartilaginoso.

Figura 9: Radiografía postoperatoria del paciente. Apréciese la resección ósea realizada en el pubis.
El diagnóstico histopatológico fue condrosarcoma grado 1 que infiltra focalmente la pared muscular de la vejiga urinaria, con márgenes quirúrgicos libres de tumor (Figura 10).

Figura 10: A) Se aprecia a la izquierda la pared vesical sin signos de malignidad celular. A la derecha se aprecia la infiltración focal de esta pared por una masa tumoral de arquitectura nodular y aspecto cartilaginoso con áreas de calcificación. B) Se aprecian células con morfología lobular, cartilaginosas, citoplasma claro, algunas polinucleadas. Celularidad y atipia escasas, lo que evidencia un condrosarcoma de grado I.
El postoperatorio inmediato cursó en UCI dado el elevado tiempo de la intervención y fue dado de alta a los siete días. Durante el postoperatorio tardío se produjo un seroma-infección de la herida quirúrgica que requirió ingreso, que se resolvió con curas y antibioterapia y una infección urinaria que fue tratada mediante antibioterapia y recambio del doble J dejado como tutor de la ureterostomía cutánea.
Se pautó carga inmediata y el seguimiento en consultas externas cursa sin incidencias. A los seis meses de seguimiento se realizó TAC de control sin evidencia de extensión a distancia de la enfermedad.
Actualmente a los 20 meses de seguimiento el paciente está asintomático y camina con normalidad. Las pruebas de imagen no han mostrado recidivas.
Discusión
Los condrosarcomas son tumores malignos constituidos por células de fenotipo cartilaginoso que muestran un patrón histológico lobulado. Son un grupo heterogéneo con características morfológicas y comportamientos clínicos diversos. Tienen su pico de aparición alrededor de la sexta década de la vida y, aunque su etiología más frecuente es la primaria, pueden ser secundarios a exóstosis o encondromatosis múltiple (enfermedad de Ollier). Su localización más frecuente es la pelvis (30%), más comúnmente el isquion, seguido del fémur proximal y húmero proximal.1,3
El diagnóstico de sospecha es difícil dada la sintomatología inespecífica y el curso insidioso. La hematuria como primer signo de este tumor es extremadamente rara, habiéndose documentado en otros casos de tumores en la pelvis renal.7
La radiología simple (radiografía y ecografía) son los pilares del algoritmo diagnóstico, siendo sus características radiológicas la matriz cartilaginosa, las calcificaciones en «palomita de maíz» y los bordes mal definidos (Figura 1).
La TAC y la RMN son útiles para la visualización de la ventana ósea y partes blandas respectivamente, además del estudio de las relaciones anatómicas del tumor para la planificación preoperatoria. Por otra parte, el estudio de extensión se compone de TAC toraco-abdomino-pélvico con contraste y gammagrafía ósea de tres fases. El patrón de oro del diagnóstico es la biopsia, que además ayuda a establecer el pronóstico de la lesión estadificando el tumor según su grado de malignidad.1 La clasificación del grado histológico se muestra en la Tabla 1. En nuestro caso se trataba de un condrosarcoma de bajo grado I.
Tabla 1: Grados histopatológicos del condrosarcoma.
| Grados | |
|---|---|
| I | Bajo |
| • Crecimiento lento | |
| • Metástasis infrecuente | |
| • 90% supervivencia a cinco años | |
| II | Medio |
| III | Alto |
| • Metástasis frecuente | |
| • 40-50% supervivencia a cinco años |
Respecto al tratamiento, como regla general se realiza una resección tumoral ampliada multisegmentaria (eliminación de la zona reactiva y tejido sano circundante -3 cm aproximadamente- en función de los límites anatómicos y la experiencia del cirujano) según la extensión de la infiltración tumoral basándonos en la clasificación de Enneking.3,6 En nuestro caso se decide resección unisegmentaria ampliada sobre el segmento 3 sin reconstrucción ósea dada la localización, segmento anatómico y grado de malignidad. No es infrecuente que los condrosarcomas de pelvis afecten la pelvis renal invadiendo sus estructuras,8 por lo que el tratamiento multidisciplinar de estos tumores es habitual, teniendo que recurrir a cirujanos urológicos con cierta frecuencia en estos casos.9
El uso de prótesis tumorales, injerto óseo u osteosíntesis son técnicas de reconstrucción utilizadas cuando el condrosarcoma asienta en extremidades o articulaciones.3
No se ha demostrado que la quimioterapia sea eficaz en este tipo de tumor y la radioterapia tiene un papel secundario, reservándose para casos de recurrencia o en lugares específicos en tumores de bajo grado.3,4,10
Los resultados funcionales dependen del tamaño del tumor, su localización y el remanente de partes blandas postquirúrgico para la cobertura.3
Pensamos que es fundamental el manejo de estos casos en un comité de tumores multidisciplinar, siendo necesario realizar la intervención quirúrgica de forma conjunta con el resto de especialidades quirúrgicas involucradas.










nueva página del texto (beta)






