Introducción
Las fracturas subtrocantéreas femorales representan de 10 a 34% de las fracturas de la extremidad proximal del fémur.1,2,3 Siguen una distribución bimodal, 75% de los casos ocurren en la edad anciana tras un mecanismo de baja energía, mientras que las fracturas subtrocantéreas en pacientes jóvenes se asocian con mecanismos de alta energía.1,3,4 Además, se han descrito las fracturas atípicas de localización subtrocantérica, secundarias a tratamientos prolongados con bifosfonatos.3
Las fracturas de la región subtrocantérica se caracterizan por ser las de mayor complejidad dentro de las fracturas del fémur proximal, debido tanto a su factor biológico como biomecánico. Anatómicamente se caracteriza por ser un área de estrés biomecánico, donde las inserciones musculares tienden a desplazar el fragmento proximal en flexión y rotación externa, mientras que el fragmento distal se desplaza en varo y aducción, haciendo que sea una fractura realmente difícil de reducir. Desde el punto de vista biológico, estas fracturas que finalizan en la parte distal de la metáfisis proximal del fémur se asientan sobre una zona donde el hueso cortical predomina sobre el esponjoso, lo cual resulta en un área menos vascularizada y con menos área de contacto.1,2,3 Tanto el factor anatómico como el biológico contribuyen a aumentar la tasa de complicaciones que rodean al tratamiento de estas fracturas.1,3,4 Las tasas de complicaciones varían desde 19 a 32% y lo más publicado en la literatura son las bajas tasas de consolidación y fallo del implante.1,3
Ante estos fallos de los implantes, ¿existe algún implante que falle más que otro en la población anciana? Los clavos intramedulares han demostrado ser la mejor opción de tratamiento, pero ningún implante ha demostrado ser superior a otro.1,3,5,6,7 Existen estudios que comparan el uso de clavos intramedulares en los que varía el punto de entrada para la inserción del clavo en el tratamiento de estas fracturas, pero no hemos encontrado estudios en la literatura que comparen dos clavos que usen el mismo punto de entrada femoral. Nuestro estudio pretende estudiar de forma retrospectiva los resultados obtenidos usando dos clavos intramedulares diferentes que utilizan un mismo punto de entrada para el tratamiento de fracturas subtrocantéreas en el paciente anciano.
Material y métodos
Se trata de un estudio retrospectivo, comparativo y observacional, que estudia el tratamiento de las fracturas subtrocantéreas en pacientes ancianos (mayores de 65 años), tratados en un mismo centro hospitalario, con dos clavos intramedulares diferentes. Los implantes utilizados son el T2 Recon (Stryker®) (grupo 1) y el clavo Gamma3 largo (Stryker®) (grupo 2). Las principales diferencias de ambos clavos son: el T2 Recon lo podemos encontrar en varios diámetros de grosor distal, desde 9 hasta 15 mm (incrementando 2 mm entre los clavos), mientras que el clavo Gamma3 largo está sólo disponible en un diámetro distal de 11 mm, y que el clavo Gamma3 tiene un único tornillo cefálico de 10.5 mm de diámetro, mientras que el T2 Recon consta de dos tornillos cefálicos de 6.5 mm cada uno (Tabla 1).
Tabla 1: Diferencias entre los clavos T2 Recon y Gamma3.
| T2 Recon | Gamma3 largo | |
|---|---|---|
| Tornillo cefálico | 2 tornillos de 6.5 mm | 1 tornillo de 10.5 mm |
| Ángulo cérvico-cefálico: 125o | Opciones ángulo cérvico-cefálico: 120o, 125o, 130o | |
| Diámetro proximal | 13 (9, 11 mm clavo) | 15.5 mm |
| 15 (13, 15 mm clavo) | ||
| Diámetro distal | 9, 11, 13 y 15 mm | 11 mm |
Desde Enero de 2013 hasta Septiembre de 2015, un total de 54 pacientes con fracturas subtrocantéreas, y mayores de 65 años, fueron intervenidos mediante enclavado endomedular: 26 pacientes con T2 Recon y 28 pacientes con clavo Gamma3 largo.
La comorbilidad de los pacientes se valoró acorde a la escala de riesgo anestésico de la Sociedad Americana de Anestesia (ASA). Las fracturas fueron clasificadas con las radiografías de acuerdo con la clasificación AO. Los siguientes datos fueron recogidos: el tiempo quirúrgico, la necesidad de transfusión intra- y postoperatoriamente, así como las complicaciones y la necesidad de reintervenciones quirúrgicas durante el seguimiento. El estudio radiológico posterior se realizó el primer día postoperatorio y al primer, tercer, sexto mes y primer año tras la cirugía. El callo de fractura, así como posibles complicaciones, fueron valoradas en todas las imágenes.
Resultados
El período medio de seguimiento fue de 12 meses (10-18 meses). La media de edad en el grupo 1 fue de 82 años (69-93 años), 22 mujeres y cuatro hombres. En el grupo 2, la media de edad fue de 85 años (72-100 años), 24 mujeres y cuatro hombres. El mecanismo lesional fue de baja energía, excepto en tres de los pacientes con fracturas atípicas, cuya causa fue el tratamiento prolongado con bifosfonatos. Estos tres casos fueron tratados con el clavo T2 Recon. La reducción de la fractura fue abierta en 17 de los casos de ambos grupos (Tabla 2).
Tabla 2: Características de los pacientes por grupos.
| T2 Recon | Gamma3 largo | |
|---|---|---|
| Edad media (rango) | 82 (69-93) | 85 (72-100) |
| Distribución por sexo | M: 22; H: 4 | M: 24; H: 4 |
| Clasificación AO | ||
| 32-A | 13 | 10 |
| 32-B | 6 | 15 |
| 32-C | 7 | 3 |
| ASA | ||
| I | 0 | 0 |
| II | 13 | 19 |
| III | 13 | 9 |
| +IV | 0 | 0 |
| Técnica de reducción | ||
| Cerrada | 17 | 17 |
| Abierta | 6 | 11 |
| Fractura atípica | 3 | 0 |
H = hombre, M = mujer.
Se utilizó la prueba de χ2 para el cálculo comparativo de todos los datos.
La media del tiempo quirúrgico fue de 98.06 minutos (60-130) para el grupo de los T2 Recon y de 73 minutos (35-126) para el grupo de los Gamma largo, encontrándose diferencias significativas entre ambos grupos (p < 0.035) (Tabla 3).
Tabla 3: Resultados clínicos. Relaciones estadísticas.
| T2 Recon | Gamma3 largo | p | |
|---|---|---|---|
| Tiempo quirúrgico | 98.06 min (60-130) | 73 min (35-126) | 0.035 |
| Transfusión intraoperatoria | 8 pacientes | 13 pacientes | > 0.05 |
| Mediana de CH intraoperatorios (rango) | 0 (0-2) | 0 (0-4) | |
| Transfusión postoperatoria | 20 pacientes | 20 pacientes | > 0.05 |
| Mediana de CH postoperatorios (rango) | 2 (0-4) | 2 (0-6) |
CH = concentrado de hematíes.
La necesidad de transfusión, así como el número de concentrados de hematíes (CH), tanto intra- como postquirúrgicamente fueron evaluados. En el grupo T2 Recon ocho de los pacientes requirieron transfusión intraoperatoria, frente a 13 pacientes en el grupo Gamma3. En ambos grupos 20 pacientes precisaron transfusiones postoperatorias. La mediana de bolsas de CH intraoperatorias fue de 0 (0-2) y de 0 (0-4) en los grupos T2 Recon y Gamma3, respectivamente. Postoperatoriamente, la mediana aumenta a 2 (0-4) y 2 (0-6) en las bolsas de CH para el grupo de T2 Recon y Gamma3, respectivamente.
La infección de la herida quirúrgica se observó en tres casos durante el postoperatorio inmediato (primeras dos semanas), dos casos en el grupo 1 y un caso en el grupo 2 que se resolvieron con antibioterapia intravenosa y desbridamiento, sin incidencias.
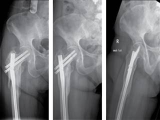
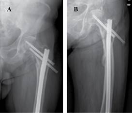
El tiempo medio de consolidación de la fractura en el grupo T2 Recon fue de 4.21 meses y de 4.09 meses para el grupo Gamma3 (Figura 1). En tres de los casos observamos un retardo de la consolidación, uno del grupo Gamma3 y dos en el grupo T2 Recon. En el caso del Gamma3 la consolidación final se dio a los seis meses tras realizar una nueva cirugía dinamizando el enclavado. Los dos casos del grupo T2 Recon presentaron un fallo por fatiga del material, se rompió el clavo en ambos casos. El primero de los casos fue un T2 Recon de 9 mm, la reducción de la fractura fue óptima, así como la posición del implante, el cual se rompió a los 4.5 meses de la cirugía. Se reintervino al paciente, se retiró el material roto y se implantó de nuevo un T2 Recon de 9 mm, dada la imposibilidad de poner un clavo de mayor diámetro por presentar un canal medular estrecho. Finalmente, la fractura consolidó a las 10 semanas (Figura 2). El segundo caso de rotura de material fue un T2 Recon de 11 mm de diámetro a los seis meses postoperatorios, se reintervino al paciente y se implantó un Gamma3 largo de 11 mm, consiguiendo la consolidación final de la fractura a las 12 semanas postoperatorias.

Figura 1: Caso clínico 1: paciente de 88 años de edad con fractura subtrocantérea tratada con clavo Gamma3 largo.

Figura 2: Caso clínico 2: rotura de clavo T2 Recon. Retirada de material e implante de nuevo T2 Recon. Consolidación final a las 10 semanas.
No encontramos diferencias asociando la posibilidad de rotura del material y el diámetro del clavo, aunque sí encontramos una tendencia visual: a mayor diámetro del clavo, menor es el riesgo de rotura de éste. Tampoco podemos relacionar el retraso de la consolidación con los casos de rotura del material (Tabla 4).
Tabla 4: Relación entre el diámetro de los clavos T2 Recon y el número de clavos rotos en cada grupo.
| Diámetro T2 Recon (mm) | Total de implantes | Clavos rotos (% respecto al total de cada diámetro) |
|---|---|---|
| 9 | 2 | 1 (50) |
| 11 | 16 | 1 (6.25) |
| 13 | 8 | 0 (0) |
Durante el seguimiento no encontramos movilizaciones del tornillo cefálico en el grupo 2. En el grupo 1 encontramos dos casos, un caso con el «efecto Z» y otro con el «efecto Z inverso». En ambos casos se retiraron los tornillos por causar molestias al paciente (Figura 3).
Discusión
El tratamiento de elección para las fracturas inestables del fémur proximal, entre las que se encuentran las fracturas de la región subtrocantérea, es el clavo intramedular, debido a su biomecánica y ventajas biológicas.8,9,10,11 Su colocación en el canal intramedular, más cerca del eje de carga, hace que el brazo de palanca efectivo sobre el implante y el fémur sea significativamente menor que un dispositivo extramedular, lo que reduce la tensión sobre el implante, con un factor de reducción de aproximadamente 25%.12,13 Entre sus ventajas biológicas se encuentra el hecho de que la técnica cerrada reduce el riesgo de infección y mejora las posibilidades de curación de las fracturas al no dañar el periostio. Además, el fresado del canal tiene el efecto beneficioso de proporcionar un injerto al foco de fractura.
La mayoría de los estudios comparan los clavos clásicos de reconstrucción Russel Taylor con otros, como los clavos Gamma3 largos. Estos estudios se basan en diferenciar clavos con diferentes puntos de entrada.6,14 El Russel Taylor es un clavo recto que tiene su punto de entrada al nivel de la fosa piriforme, mientras que tanto los clavos Gamma3 como los nuevos clavos de reconstrucción T2 Recon, tienen su punto de inserción más lateral, justo en la punta del trocánter mayor. Esto tiene importancia biomecánica, ya que la entrada trocantérea podría causar mayor conminución medial al no encontrarse en el eje diafisario, aunque esto ya se ha corregido con los nuevos diseños que tienen una configuración más anatómica en la parte proximal del clavo. Sin embargo, una ubicación lateral más accesible condicionará menos daño a los músculos glúteos y a la función abductora del tensor de la fascia lata, preservando una mejor función de la cadera y una menor incidencia de osificación heterotópica. Otra cuestión importante al elegir el punto de entrada es el riesgo teórico de la lesión de la rama profunda de la arteria circunfleja femoral medial y la rama del nervio glúteo superior que existe con una entrada en la fosa piriforme.15
Starr y colaboradores no encontraron diferencias en el tiempo quirúrgico, la pérdida de sangre, las complicaciones intraoperatorias, el tamaño de la incisión y los resultados funcionales entre los clavos al comparar el punto de entrada trocantéreo con la fosa piriforme.14 Huang y colegas compararon dos clavos con diferentes puntos de entrada en el tratamiento de fracturas complejas del extremo proximal del fémur y concluyeron que ambos eran efectivos, pero encontraron más complicaciones entre los clavos de entrada de la fosa piriforme con mayor tiempo quirúrgico, pérdida de sangre y mayor tasa de reintervención.16 Heiney y su equipo compararon tres clavos de reconstrucción de segunda generación en un modelo de fractura subtrocantérica inestable y demostraron que el clavo Gamma largo es estadísticamente superior en rigidez, resistencia a la fatiga y desplazamiento secundario de la fractura a otros.1
En nuestro estudio, comparamos dos clavos intramedulares con el mismo punto de entrada y un diseño longitudinal similar: T2 Recon Nail (Stryker®) y el largo Gamma3 Nail (Stryker®). La existencia de un solo tornillo más grueso en el clavo Gamma3 le proporciona un diámetro mayor de la parte proximal del clavo. Esto requiere una mayor extracción de hueso en el trocante mayor, pero tiene la ventaja biomecánica de tener una gran superficie de anclaje en comparación con los tornillos de menor diámetro, que se preferiría en pacientes ancianos con mala calidad ósea, ya que podría reducir el riesgo de fenómeno de corte y/o el fracaso de la síntesis. En pacientes jóvenes con buena calidad ósea es posible que se prefieran tornillos de diámetro más pequeño, ya que estarán bien anclados en un hueso esponjoso sano y su pequeño diámetro causaría menos daño al mecanismo abductor de la cadera, manteniendo una mayor reserva ósea. Esta superficie de anclaje inferior de los tornillos de menor diámetro en el hueso osteoporótico puede predisponerla al riesgo de fallo del material y a las complicaciones descritas con los clavos de reconstrucción originales de Russel Taylor, como el «efecto Z» y «efecto Z inverso»; al colapsarse la fractura se puede producir una migración del tornillo proximal al mismo tiempo que se afloja el tornillo distal, principalmente en fracturas de mala calidad ósea.17,18 Cabe señalar que encontramos dos casos de movilización de los tornillos proximales en el grupo de pacientes T2 Recon, relacionados con el «efecto Z» que debieron retirarse, una complicación que no se observó con el tornillo cefálico en el grupo Gamma3.
Otra diferencia técnica entre los tornillos proximales de ambos clavos es la posibilidad de aplicar compresión a la fractura. En casos de fracturas subtrocantéreas con extensión proximal trocantérica podemos bloquear el tornillo cefálico del clavo Gamma3 para evitar la migración del tornillo a medial, pero permitiendo que el deslizamiento lateral produzca fuerzas de compresión dinámicas en la fractura, favoreciendo la consolidación. Esta compresión no se puede aplicar a los tornillos proximales T2 Recon.
En nuestro estudio no encontramos diferencias estadísticamente significativas entre ambos grupos, pero sí observamos más complicaciones en pacientes sometidos a cirugía con el clavo T2 Recon. Encontramos un tiempo quirúrgico mayor estadísticamente significativo. Esto se puede explicar en parte por los diferentes diámetros en los clavos T2 Recon y el fresado, así como el uso de dos tornillos proximales que aumentaron el tiempo quirúrgico durante la fijación.
Además, hemos tenido dos casos de rotura de material asociados con el T2 Recon. Uno de ellos ocurrió con un clavo de 9 mm que se usó en un caso en el que un canal femoral estrecho hizo imposible insertar un clavo más grueso. El uso de un clavo más delgado en un área inestable mecánica y biológicamente puede justificar el estrés y el fallo del implante. Pero en este caso, no fue posible fresar el fémur a un diámetro mayor para usar un clavo más grueso. En nuestro centro siempre preferimos usar un clavo intramedular en estas fracturas frente a otros dispositivos y una de las ventajas que nos aporta el clavo T2 Recon es la disponibilidad de un clavo más estrecho para utilizarse en casos con canal femoral estrecho, pero también creemos que la resistencia del clavo puede verse comprometida a consecuencia del menor diámetro del implante en estas fracturas. El otro caso de rotura de un clavo T2 Recon ocurrió con un clavo de 11 mm (el grosor más comúnmente utilizado, que también corresponde al grosor del clavo Gamma3 largo). Aunque hay una tendencia, no pudimos demostrar la relación entre el uso de un clavo de menor diámetro y la rotura del implante en estas fracturas.
Al analizar el punto exacto donde se rompieron estos clavos T2 Recon, observamos que en ambos casos se produjeron grietas a través del agujero más distal de los dos tornillos proximales, diseñado para insertar un tornillo proximal oblicuo al trocánter menor, para que el bloqueo proximal no pase a través del cuello femoral, como ocurre en un clavo femoral anterógrado (Figura 4).19,20
A pesar de las diferencias entre ambos tipos de clavos, sus ventajas biomecánicas (en comparación con los implantes extramedulares en este patrón de fracturas) nos permiten lograr resultados finales óptimos en ambos grupos y el tiempo medio para la curación de la fractura es similar. Sin embargo, las diferencias y complicaciones entre estos dos implantes han dado lugar al hecho de que debemos usar los clavos T2 Recon con precaución en los ancianos.
Las principales limitaciones de nuestro estudio son el bajo número de casos y el seguimiento de las fracturas, que podría parecer escaso, pero que ha sido suficiente para documentar la consolidación de las fracturas, incluso una vez tratadas las complicaciones de éstas.










nueva página del texto (beta)




