Introducción
Las fracturas de la cabeza radial son lesiones frecuentes en nuestro medio, tratándose en la mayoría de los casos de lesiones por caída sobre el brazo en flexión, aunque también se presentan en pacientes politraumatizados. Constituyen aproximadamente un tercio de todas las fracturas a nivel del codo.1,2 En función de la existencia de bloqueo mecánico y de las lesiones óseas y de partes blandas asociadas, el manejo de estas fracturas varía desde la movilización inmediata hasta la resección completa o sustitución protésica.
La cabeza del radio es un importante factor estabilizador en la articulación del codo, de forma primaria frente al estrés longitudinal y como estabilizador secundario frente al estrés en valgo.2 Asimismo, su presencia a nivel lateral tensa el ligamento colateral lateral (LCL), favoreciendo la resistencia del mismo frente al estrés en varo. Estas funciones estabilizadoras han sido reconocidas en estudios clínicos y biomecánicos.3,4 De este modo, el principal objetivo de la sustitución de la cabeza radial es restaurar la estabilidad articular. Así, el escenario clínico más habitual que requiere de la implantación de prótesis de cabeza radial es el de fracturas conminutas o irreparables de la misma en lesiones complejas de la articulación del codo con inestabilidad asociada.5 En caso de presentarse lesiones de la membrana interósea o de la articulación radiocubital distal asociadas a fracturas de cabeza radial no reparables, también deben ser reemplazadas por una prótesis.
Las prótesis de cabeza radial se han implantado desde hace aproximadamente 20 años en nuestro medio. El conocimiento actual sobre sus complicaciones es relativamente escaso, variando su frecuencia en los diferentes estudios entre 15 y 46%.6,7,8,9,10,11,12 La mayoría de las complicaciones están relacionadas con el aflojamiento y la sobredimensión de los diferentes componentes de las prótesis utilizadas. Por otra parte, cada tipo diferente de prótesis existente presenta complicaciones inherentes a su diseño, ya sean artroplastías bipolares, cementadas o monopolares con vástago liso o con anclaje diafisario.
El objetivo de este estudio es evaluar el tipo, la frecuencia y la gravedad de las complicaciones después de la implantación de la prótesis monopolar modular de cabeza radial. Secundariamente, se analizarán los resultados clínico-funcionales y radiológicos obtenidos durante el seguimiento de los pacientes.
Material y métodos
Se diseñó un estudio retrospectivo en el que se revisaron todos los pacientes que requirieron implantación de prótesis de cabeza radial entre los años 2009 y 2017. Se trataba en la mayoría de los casos de lesiones complejas de codo con fracturas de cabeza radial tipo Mason III1 o asociadas a luxación de codo (Mason IV). También se implantaba en casos en los que se detectaba inestabilidad articular intraoperatoria tras la exéresis de fragmentos menores de la cabeza radial o al presentarse dolor a nivel radiocubital distal o en la membrana interósea en la evaluación preoperatoria.
Se excluyeron aquellos pacientes cuyo seguimiento fue menor de un año tras la intervención. Se perdieron varios casos con seguimiento menor, al tratarse de pacientes politraumatizados que continuaron el seguimiento en su lugar de residencia o su mutua laboral.
De esta manera se obtuvo un total de 47 pacientes con 48 prótesis de cabeza radial implantadas en dicho período. Se trató de 20 varones (42.5%) y 27 mujeres (57.5%). El brazo derecho fue el lesionado en 25 casos, tratándose del brazo dominante en 23 de ellos. Los pacientes fueron evaluados clínica y radiográficamente durante una media de 43.55 meses (rango: 12-89).
Respecto al estudio preoperatorio, en todos los casos se realizaron radiografías anteroposterior y lateral del codo afectado. Se realizaron asimismo radiografías de la muñeca si los pacientes presentaban dolor asociado a dicho nivel. En 39 casos (81.25%) se efectuó TAC con reconstrucción tridimensional, principalmente en fracturas-luxaciones de codo. Los pacientes fueron intervenidos dentro de las primeras dos semanas tras la lesión, a excepción de un caso que recibió tratamiento conservador inicialmente. El tiempo medio hasta la intervención fue de 11 días.
Treinta y nueve casos se presentaron como tríadas terribles de codo, dos casos mostraban fractura de cúbito proximal asociada (lesiones tipo Monteggia-like), otros dos casos asociados a fracturas-luxaciones transolecranianas, un caso con avulsión epitróclea y cuatro pacientes con fracturas de cabeza radial aislada tipo Mason III. Una de estas últimas presentaba migración proximal del radio e inestabilidad radiocubital distal, tratándose de una lesión de Essex-Lopresti.
En cuanto a la técnica quirúrgica, se llevó a cabo la misma técnica utilizada previamente por este grupo,9,13 con dos diferencias principales: en primer lugar, el abordaje empleado dependía de la experiencia y elección del cirujano, utilizándose con mayor frecuencia el de Kocher, seguido del de Kaplan.13,14,15 En segundo lugar, en los ocho casos de inestabilidad articular se procedió a la colocación de un fijador externo, reparándose previamente el complejo ligamentoso medial5,16,17 en uno de ellos con persistencia de la inestabilidad. En todos los casos se utilizó la prótesis monopolar denominada Ascension ® Modular Radial Head (MRH) (Ascension Orthopaedics, Austin, Texas, EUA).
El complejo del LCL se reparó con arpones óseos en 44 pacientes. Respecto a la apófisis coronoides, se trató con la colocación de una placa (Acumed®, Beaverton, OR, EUA) en cuatro casos y en 38 se realizó una sutura mediante arpones. En el caso de existir una fractura-luxación de Essex-Lopresti, tras sustituir la cabeza radial, se realizó una fijación percutánea de la articulación radio-cubital distal con agujas de Kirschner. Las dos fracturas olecraneanas fueron reducidas mediante dos agujas de Kirschner y un cerclaje de alambre tipo obenque. En los dos casos con lesiones tipo Monteggia, se realizó la osteosíntesis con una placa con tornillos tipo DCP (Synthes ® Zuchwil, Suiza) o Peri-Loc (Smith & Nephew ® Londres, Reino Unido), en función de las preferencias del cirujano.
Respecto al manejo postoperatorio, en la mayoría de los casos se procedió a la inmovilización con férula braquial a 90o de flexión en posición neutra durante una media de 15.3 días. Posteriormente, se permitió movilidad completa o bien se utilizó una ortesis articulada que permitía la movilidad dentro de un rango estable durante tres semanas. En todos los casos, a partir de la sexta semana se permitió la movilización activa sin restricciones. Cabe destacar que en siete casos no se inmovilizó la articulación tras la intervención, permitiendo la movilización pasiva articular desde el primer día postoperatorio.
En la evaluación postoperatoria se valoraron los hallazgos radiográficos, el grado de funcionalidad obtenido y las complicaciones. Para la evaluación funcional se utilizó la Mayo Elbow Perfomance Score (MEPS).18 La puntuación en esta escala va de 0 a 100 puntos, siendo los 100 puntos el mejor resultado. En ella se evalúa la movilidad (20 puntos), el dolor (45 puntos), la estabilidad (10 puntos) y el uso del codo en actividades de la vida diaria (25 puntos). De esta manera, el resultado se consideró excelente cuando se obtuvieron entre 90 y 100 puntos, bueno de 75 a 89 puntos, aceptable si el rango se encontraba entre 60 y 74 puntos y deficiente cuando se obtenían menos de 60 puntos. Si la puntuación final se encontraba por encima de 75 puntos, el resultado final era considerado como satisfactorio. El grado de dolor que presentaba el paciente también fue valorado mediante la escala visual analógica (EVA).
La estabilidad articular fue valorada explorando la presencia de dolor o bostezos al forzar el varo-valgo, prono-supinación o a la flexoextensión. Todos los pacientes recibieron rehabilitación postoperatoria.
Se utilizaron radiografías simples anteroposterior y lateral de codo para el seguimiento. Se valoró la presencia de osteólisis a nivel del cuello radial o áreas de radiolucencia periprotésica y su significación clínica. Asimismo, se evaluó el grado de artrosis postraumática según la clasificación de Broberg y Morrey.19 Las osificaciones heterotópicas detectadas se clasificaron según los criterios funcionales de Hastings y Graham.20,21 Se valoraba igualmente la presencia de ulna plus y las posibles lesiones a nivel de los componentes protésicos.
Las complicaciones de la cirugía fueron registradas y evaluadas, realizándose una comparación con las presentes en la bibliografía existente, tanto a nivel de frecuencia como de naturaleza y gravedad de las mismas. Se valoró asimismo la necesidad y el tipo de reintervención en caso de requerirse.
Los intervalos entre revisiones y radiografías de control siguieron el criterio de cada cirujano.
Resultados
El rango de movilidad medio obtenido por nuestra serie fue de 116.4 grados de flexoextensión (rango: 35-150o) con una media de flexión de 137 grados (rango: 90-150o) y un déficit de extensión medio de 21 grados (rango: 0-80o). El arco de pronosupinación medio obtenido fue de 148 grados (rango: 15-170o) con una pronación media de 79.8 grados y una supinación de 68.2 grados.
En lo que respecta a la evaluación funcional según la escala MEPS, la puntuación media obtenida fue de 88.29 ± 9.9 puntos con un rango de 50 a 100 puntos. Se obtuvo un total de 18 resultados excelentes, 23 buenos, tres regulares y cuatro malos. El porcentaje total de resultados satisfactorios fue de 85.4%.
Sobre la evaluación del dolor presente a lo largo del seguimiento, la media obtenida en la EVA fue de 1/10. Sólo en tres casos (6.3%) se refirió dolor >3/10, manifestándose el mismo diariamente con interferencia en las actividades de la vida diaria. En el apartado de la MEPS dedicado al dolor, la puntuación media obtenida fue de 36 puntos (rango: 15-45). La mayoría de los pacientes no refirieron dolor diario, salvo molestias ocasionales ante movimientos forzados o traumatismos; 11 pacientes (22.9%) refirieron molestias frecuentes de baja intensidad (Figura 1).

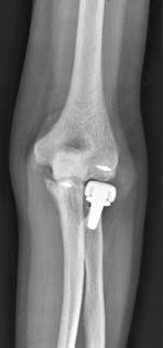
Figura 1: Prótesis de cabeza radial sobredimensionada, apreciándose un mayor espacio articular ulnohumeral lateral y falta de continuidad de la superficie protésica con el borde articular coronoideo.
Doce pacientes (25.53%) mostraron signos radiológicos de sobredimensionamiento protésico a lo largo del seguimiento, encontrándose la superficie de la cabeza radial proximal al borde lateral de la apófisis coronoides en la proyección anteroposterior. De estos casos, sólo cinco pacientes manifestaron sintomatología asociada. En un caso se apreció infradimensión protésica, sin significación clínica. Respecto a otras alteraciones radiológicas, 19 pacientes (40.4%) mostraron durante su seguimiento signos de radiolucencia periprotésica, principalmente alrededor del vástago, en su zona más proximal. No obstante, solamente seis de estos pacientes presentaron progresión de estas alteraciones hasta llegar a provocar aflojamiento sintomático (en cuatro pacientes) o dolor continuo.
Diecinueve pacientes (40.4%) mostraron signos radiológicos de artrosis en las sucesivas revisiones. Según la clasificación de Broberg-Morrey, 12 pacientes correspondían a un grado I, cuatro pacientes fueron clasificados como grado II y tres pacientes como grado III. Solamente hubo un caso de artrosis capitelar aislada, asociada a sobredimensión protésica. Sobre el desarrollo de osificaciones heterotópicas, 27 pacientes (57.4%) las presentaron durante el seguimiento. Utilizando la clasificación funcional de Hastings y Graham, 21 casos no tuvieron limitaciones asociadas (grado I), cinco pacientes fueron clasificados como grado II y tan sólo un paciente presentaba rigidez importante asociada (grado IV).
Un total de 11 pacientes (23.4%) mostró rigidez articular a pesar de la rehabilitación postoperatoria, entendida como una flexoextensión activa de menos de 100o. No hubo casos de inestabilidad crónica postoperatoria.
En lo que respecta a complicaciones relativas a la intervención, un total de 13 pacientes (27%) las presentaron. Se diagnosticaron tres casos de infección de la herida quirúrgica, dos de los cuales fueron superficiales y se resolvieron satisfactoriamente con antibioterapia. El caso restante corresponde a una infección profunda quirúrgica que desarrolló parálisis radial postoperatoria y sobredimensionamiento protésico con rigidez asociada. Otros dos pacientes desarrollaron lesiones nerviosas tras la intervención, tratándose de neuroapraxias (una del nervio interóseo posterior y otra cubital). En cuatro casos se apreciaron signos radiológicos claros de aflojamiento protésico con sintomatología asociada. Uno de los pacientes sufrió una luxación protésica postoperatoria debido a inestabilidad. Por último, tres pacientes con sobredimensión protésica desarrollaron rigidez postoperatoria a pesar de la rehabilitación (Figura 2).

Figura 2: Radiografía en la que se aprecian claros signos de aflojamiento protésico con importante sintomatología asociada que requirió retirada del material.
Nueve pacientes (18.75%) precisaron reintervención quirúrgica. Un paciente requirió artrólisis debido a rigidez postraumática, que se realizó de forma artroscópica. Los ocho casos restantes (61.5%) corresponden a reintervenciones debido a complicaciones postoperatorias, de los 13 pacientes que las presentaron, descritos anteriormente, en cuatro casos se realizó una exéresis de prótesis de cabeza radial, tres de ellos debido a aflojamiento sintomático y uno debido a sobredimensionamiento del implante con rigidez asociada. En otro de los casos de rigidez con prótesis sobredimensionada sólo se realizó una artrólisis artroscópica. Otro de los pacientes requirió una osteotomía de acortamiento cubital, al tratarse de una lesión de Essex-Lopresti que pasó desapercibida inicialmente. Un paciente presentó en el control radiológico al mes postoperatorio una luxación protésica, por lo que se reintervino para colocarle un fijador externo estático.
El último caso corresponde a una paciente de mediana edad con una tríada terrible de codo que en los controles radiográficos presentaba sobredimensionamiento protésico con progresiva impactación condilar de la prótesis radial. Asimismo, presentaba una infección crónica de la herida quirúrgica que no respondía satisfactoriamente al manejo antibiótico, por lo que finalmente se reintervino, extrayéndose la cabeza radial con lavado intenso articular asociado. Tras la cirugía, la sintomatología infecciosa cesó y el dolor que presentaba la paciente se redujo considerablemente.
Discusión
La sustitución de la cabeza radial en las lesiones complejas de codo se debe a la necesidad de restaurar la estabilidad articular. En la actualidad se implantan diferentes tipos de prótesis, siendo principalmente bipolares, monopolares modulares o monobloque, existiendo asimismo implantes de vástago fijo o móvil, utilizándose estos últimos como espaciadores metálicos. Los resultados funcionales obtenidos hasta la fecha a nivel tanto clínico como de complicaciones de los distintos tipos de artroplastía son similares,22,23 difiriendo no obstante en el tipo de complicaciones por el diseño particular de cada artroplastía. En este estudio se han analizado los resultados obtenidos con la prótesis monopolar modular debido a que es la prótesis utilizada en nuestro centro con mayor frecuencia desde hace años (Figura 3).

Figura 3: A) Impactación capitelar de la prótesis de cabeza radial con signos clínicos de infección y rigidez asociados. B) Imagen radiográfica tras artroplastia de resección.
En lo que respecta a resultados funcionales, el rango de flexo-extensión (116.9 grados) y de pronosupinación (148 grados) obtenidos en nuestra serie es similar a los resultados de otros estudios.6,7,8,9,10,11,12,24 Los valores obtenidos en las escalas MEPS y EVA tampoco difieren de los de otras series. Respecto a la relación entre la funcionalidad obtenida y el tiempo transcurrido desde que se produce la lesión hasta la intervención, hay estudios con resultados diferentes: Van Riet et al.25 no encontraron diferencias a nivel funcional si la intervención se realizaba en el momento agudo (menos de una semana) o a las seis semanas de producirse la lesión. Sin embargo, en el trabajo de Bain et al.26 se obtenían peores resultados si el tratamiento quirúrgico se demoraba más de 15 días tras producirse la lesión. En una revisión sistemática reciente23 se encontraron diferencias a nivel del arco de pronosupinación, siendo éste significativamente mayor si la intervención no se retrasaba más de dos semanas. Sin embargo, no encontraron diferencias respecto al rango de flexoextensión y no se analizaron las puntuaciones de MEPS obtenidas en función del tiempo transcurrido hasta la intervención. En nuestro estudio, todos los pacientes recibieron tratamiento en menos de dos semanas tras la lesión a excepción de uno, en el que el manejo inicial fue conservador.
El desarrollo de artrosis articular es frecuente tras este tipo de lesiones, al igual que la formación de osificaciones heterotópicas en las sucesivas radiografías de control. En las diferentes series publicadas, la mayoría de estos hallazgos corresponden a puntuaciones bajas en las escalas de Broberg-Morrey y de Hastings-Graham, respectivamente.6,9,10,24,27 De este modo, en la mayoría de los pacientes con estas lesiones radiográficas no se aprecian alteraciones clínico-funcionales. Nuestros resultados no son diferentes en este sentido, presentándose sólo tres casos de artrosis de grado III y un caso de osificación heterotópica de grado IV.
Las frecuencias de aparición de osteólisis periprotésica y de reabsorción del cuello radial varían mucho en los diferentes estudios, desde 06 hasta 100%.27 Estos datos pueden deberse al uso de diferentes tipos de prótesis en las series publicadas, al tiempo de seguimiento y también a la utilización de distintas metodologías de medición en cada estudio. Dichos hallazgos radiográficos se aprecian en todos los tipos de prótesis mencionados, aunque son más frecuentes y esperables en cierto grado con la utilización de vástagos móviles.9,27 Su presencia no implica necesariamente aflojamiento o sintomatología asociada,22 tratándose en la mayoría de los casos de hallazgos menores sin progresión radiográfica a partir de los dos años postoperatorios.28 Los resultados del presente estudio son congruentes con la bibliografía previa con 19 casos con radiolucencias periprotésicas, de los cuales solamente cuatro pacientes presentaron progresión clara con aflojamiento y sintomatología asociados. Se requieren más estudios a largo plazo para valorar factores de riesgo de progresión de estos hallazgos.
La elección de la talla adecuada de la prótesis es de vital importancia para su buen funcionamiento. El uso de artroplastías de dimensiones mayores que las correctas para cada paciente implica fenómenos de degeneración articular capitelar acelerada, así como reducción del rango de movilidad e incluso episodios de luxación protésica.9,29 Se han propuesto varios métodos intraoperatorios de medida protésica, siendo uno de los más utilizados en el momento actual el propuesto por Doornberg et al.24,30 Este procedimiento consiste en medir la talla adecuada de la prótesis utilizando como referencia el borde lateral de la apófisis coronoides a nivel de la escotadura sigmoidea menor, siendo esta forma de medición la utilizada en los pacientes del presente estudio. No obstante, estos estudios no valoran el grosor del cartílago articular31 y esta medición presenta la dificultad añadida de que la apófisis coronoides suele estar fracturada en este tipo de lesiones. Estos datos, junto con la localización medial coronoidea, complican su utilización como punto de referencia intraoperatoriamente. Por lo tanto, se están desarrollando en los últimos años otros posibles marcadores como la varianza cubital,31 parámetros radiológicos radiocapitelares contralaterales32 o el pliegue sinovial radiocapitelar, un remanente sinovial lateral,29 con resultados prometedores en estudios preliminares.
En lo que respecta a las complicaciones del estudio, 13 pacientes las presentaron (27%). Solamente apreciamos en el seguimiento un caso de artrosis capitelar aislada en un paciente en quien el manejo inicial de la fractura de cabeza radial fue conservador. En este caso la degeneración del cartílago articular probablemente se iniciará antes de la implantación protésica. En el resto de los casos la degeneración articular afectaba a todas las articulaciones del codo o sólo a la ulnohumeral, tratándose probablemente de artrosis postraumática. Un estudio reciente biomecánico en cadáver demuestra que la degeneración capitelar se presenta tras la implantación de prótesis de cabeza radial monopolares en ausencia de sobredimensionamiento.33 Justifican estos hallazgos diciendo que las prótesis de cabeza radial actuales no tienen una conformación anatómica perfecta en todos los rangos de movimiento del codo, provocando fenómenos de hiperpresión a nivel capitelar. En el presente estudio no es posible distinguir entre artrosis postraumática o debido a la artroplastía, dada la ausencia de casos de artrosis capitelar aislada con intervención quirúrgica en el momento agudo.
La complicación más frecuente presentada en esta serie fue el aflojamiento protésico con cuatro casos, seguida del sobredimensionamiento con tres casos. Estos resultados son congruentes con los de las últimas revisiones,22,23 siendo éstas las principales causas de reintervención. Las prótesis de cabeza radial con vástagos press-fit monopolares parecen tener mayor tendencia al aflojamiento que otros tipos de artroplastía. La rigidez del implante y su incapacidad para adaptarse a la anatomía variable del capitellum puede ser una de las causas.34 Es posible, por tanto, que a pesar de su morfología anatómica, la posición en la que se implanta este modelo protésico implique una reducción del espacio de contacto capitular en determinados rangos de movimiento.33 En lo que respecta a su detección postoperatoria, se debe basar en la clínica presente y las imágenes radiográficas, en las que se debe apreciar osteólisis progresiva, pues su detección inicial no tiene por qué ser patológica,22 como se ha descrito previamente.
Respecto a los tres casos con sobredimensión protésica, han sido incluidos dentro de complicaciones postoperatorias debido a su asociación clínica con dolor significativo y rigidez articular a pesar de la rehabilitación postoperatoria, pues se apreciaron sobredimensionamientos radiográficos hasta en 12 pacientes. En el presente estudio, hemos utilizado como referencia postoperatoria para detectar sobredimensionamientos la continuidad de la superficie protésica proximal con la articulación ulnohumeral en las radiografías anteroposteriores postoperatorias. Si se apreciaba un gap en la articulación ulnohumeral lateral respecto a la medial river delta sign, se consideraba que la prótesis estaba sobredimensionada. Diversos estudios ponen en duda la fiabilidad de este método de medición,31 como el de Rowland et al.,35 en el que ponen de manifiesto que el espacio articular ulnohumeral lateral es más amplio que el medial en un porcentaje considerable de la población. Esto puede habernos llevado a sobreestimar en cierta medida el número de casos con prótesis sobredimensionadas de nuestro estudio, sobre todo teniendo en cuenta la ausencia de sintomatología de muchos pacientes. No obstante, se ha utilizado esta referencia ante la ausencia de alternativas contrastadas de medición en el momento actual.
Las lesiones nerviosas en este tipo de intervenciones no son infrecuentes, tratándose la mayor parte de ellas de neuroapraxias con resolución espontánea completa.22 Una buena técnica quirúrgica es esencial para evitar lesiones a nivel del nervio radial o del nervio interóseo posterior, manteniendo el antebrazo en pronación y evitando colocar separadores alrededor del cuello radial. Respecto a las lesiones del nervio cubital postoperatorias, parece improbable que se lesionen durante la intervención, pues en la mayoría de los casos no se aborda el ligamento colateral medial. La formación de tejido cicatricial fibroso,9 el desarrollo de osificaciones heterotópicas o la formación de osteofitos podrían explicar su desarrollo a lo largo del postoperatorio.36 Estos hallazgos han llevado a algunos autores a plantear su liberación profiláctica en intervenciones quirúrgicas complejas del codo.24,36 Una de las lesiones nerviosas de nuestra serie corresponde a una neuroapraxia cubital postoperatoria con resolución espontánea meses después. Otro paciente desarrolló una neuropatía cubital compresiva a lo largo del seguimiento, que eventualmente requirió liberación quirúrgica.
La persistencia de inestabilidad postoperatoria ocurre con mayor frecuencia con el uso de prótesis bipolares, pero se debe principalmente a incompetencia del ligamento colateral cubital lateral. Si este ligamento no ejerce su efecto estabilizador, una artroplastía de cabeza radial no puede suplir su función, como se ha demostrado en estudios biomecánicos.37 En esta serie solamente un paciente presentó luxación de la prótesis al mes postoperatorio, probablemente debido a una evaluación de la estabilidad intraoperatoria errónea que requirió reintervención. Ningún paciente presentó signos de inestabilidad crónica a lo largo del seguimiento.
El desarrollo de rigidez postoperatoria es relativamente frecuente tras este tipo de lesiones, pudiendo deberse al traumatismo inicial y la inmovilización posterior o a factores relacionados con la intervención quirúrgica.22 Se debe resaltar la importancia de la movilización precoz, incluso en el postoperatorio inmediato si las lesiones asociadas lo permiten. En el presente estudio, 11 pacientes presentaron rigidez postoperatoria, en los que se pudo demostrar la presencia de una prótesis sobredimensionada en tres casos. En el resto de los pacientes, se atribuyó a la gravedad de la lesión inicial y la inmovilización posterior. De estos ocho casos, sólo uno requirió ser intervenido de nuevo, realizándose una artrólisis artroscópica.
En caso de fracaso de la artroplastía, la retirada del material protésico parece una opción adecuada para reducir el dolor y mejorar la funcionalidad articular. En los diferentes estudios, los porcentajes de reintervención varían entre 8 y 30%, dependiendo del tiempo de seguimiento.9,10,11,12,23,38,39 Parece que la utilización de prótesis monopolares conlleva una mayor frecuencia de reintervención debido a la rigidez, aunque no hay diferencias significativas en cuanto al balance articular respecto a otros tipos de prótesis. Asimismo, la mayoría de las reintervenciones suceden durante los primeros dos años tras la intervención.40 Por otra parte, se ha observado que la frecuencia de reintervenciones es mayor en los pacientes en quienes se realiza síntesis de la fractura de la cabeza radial respecto a los que reciben artroplastía.7,39 Del total de reintervenciones de nuestra serie (18.75%), la mayoría consistieron en la retirada de la prótesis, seguida de la artrólisis artroscópica con mejoría de la sintomatología. En las otras series publicadas es más frecuente la retirada del material protésico que su recambio,9,10,23,27,36 salvo que la reintervención se realice poco tiempo después de la cirugía inicial.
El presente estudio presenta varias limitaciones. En primer lugar, se trata de un trabajo de carácter retrospectivo con un tamaño muestral relativamente pequeño y sin presencia de grupo control. En segundo lugar, sólo evalúa los resultados obtenidos con un tipo concreto de prótesis de cabeza radial, impidiéndonos comparar distintos tipos y frecuencias de complicaciones con otros diseños protésicos. Este factor, sin embargo, aporta homogeneidad al estudio. En tercer lugar, hemos considerado como complicaciones las estrictamente relacionadas con la intervención quirúrgica, excluyendo por tanto casos de rigidez y alteraciones radiográficas postoperatorias como artrosis, osificaciones heterotópicas o alteraciones de las dimensiones de los componentes sin significación clínica. Este hecho puede no hacer comparables nuestros resultados con los de otras series, dado que en cada estudio se incluyen diferentes tipos de hallazgos postoperatorios como complicaciones siguiendo el criterio del equipo investigador responsable. Esta situación genera una heterogeneidad importante en la bibliografía existente acerca de qué hallazgos se consideran complicaciones y cuáles no,23 algo que sería conveniente subsanar para futuros estudios.
Como conclusión, el estudio que nos ocupa obtiene un porcentaje global de complicaciones de 27 con 19% de reintervenciones durante el seguimiento. Estos datos, junto con los de los estudios revisados en el presente artículo, ponen de manifiesto la necesidad de mejoría tanto de la técnica quirúrgica como del diseño de los implantes. Se requieren nuevos estudios, tanto biomecánicos como clínicos, para mejorar los diseños protésicos y evaluar sus resultados largo plazo.










nueva página del texto (beta)


