Introducción
El calcáneo es el hueso del tarso más frecuentemente lesionado (60% de todas las fracturas del tarso y 1-2% de todas las fracturas); 75% son intraarticulares, 10% de los pacientes tienen fracturas asociadas en la columna vertebral y 26%, otras lesiones en las extremidades inferiores.1
Epidemiología
Noventa por ciento se producen en varones jóvenes (20-45 años); la mayoría de ellas ocurren en el entorno laboral, con el consiguiente impacto socioeconómico resultante. Con independencia del método de tratamiento empleado, las fracturas de calcáneo son lesiones altamente incapacitantes.1,2
Mecanismo de fractura. El mecanismo «típico» suele producirse tras traumatismos de alta energía, como las caídas de altura -por lo general, superior a un metro- en las que el astrágalo se introduce como una cuña en el calcáneo, fracturándolo; o, con menos frecuencia, tras accidentes de tráfico. El patrón de las líneas de fractura y el grado de conminución son, en cierta medida, variables y dependen de diversos factores, entre ellos, la posición del pie en el momento del impacto y la calidad ósea general del paciente.3 La línea de fractura primaria cruza la subastragalina posterior y crea dos fragmentos separados: anteromedial (en general, no conminuto; engloba el sustentaculum tali, que suele quedar en su sitio, unido al astrágalo por los fuertes ligamentos interóseos y el ligamento deltoideo) y posterolateral (a veces conminuto; engloba la tuberosidad posterior, que de forma típica se desplaza superiormente -creando incongruencia articular-, lateralmente -creando ensanchamiento del talón- y hacia delante -acortando el talón-). Las líneas de fractura secundarias según Essex-Lopresti se producen mientras prosiga la fuerza axial deformante. Se distinguen dos tipos de fractura:3
Tongue-type (fractura en lengua): la segunda línea de fractura sale de la parte más superior de la primera línea hacia atrás, siguiendo el eje longitudinal del calcáneo.
Joint depression (hundimiento de la carilla articular): la segunda línea de fractura sale del mismo sitio que la anterior, pero termina justo detrás de la carilla articular. Es más frecuente que la fractura en lengua.
Diagnóstico clínico: dolor y tumefacción en el talón, deformidad del retropié e impotencia funcional para el apoyo. Equimosis en el arco del pie. Aparición de flictenas que condicionan el momento del tratamiento quirúrgico (son importantes las medidas antiedema y la elevación del miembro en estas fracturas). A veces hay luxación o subluxación de peroneos, compresión neurovascular del tibial posterior o interposición del tendón del flexor hallucis longus entre los fragmentos (dejando el primer dedo en posición de flexión fija).
Por imagen, tres radiografías simples:
-
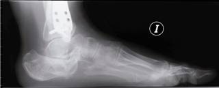
Rx lateral de pie y tobillo: determinamos el ángulo de Böhler (Figura 1), definido por la línea que une los puntos más altos de los procesos anterior y posterior medida en la radiografía lateral -es normalmente de 25-40o-; también el ángulo crucial de Gissane (Figura 2), que calcula la congruencia articular de la faceta posterior, medido entre la faceta posterior y el pico del calcáneo -es, de manera habitual, de 95-105o-.
Rx axial de calcáneo de Harris: ver ensanchamiento.
Rx dorsoplantar del pie: ver articulación calcaneocuboidea.
TAC (tomografía axial computada) de calcáneo: obligatoria en todas las fracturas intraarticulares o con sospecha de serlo.
Clasificación. Desde un punto de vista práctico, intraarticulares o talámicas y extraarticulares.
-
La clasificación de Sanders se fundamenta en la valoración mediante TAC coronal de la faceta posterior subastragalina, según el número de fragmentos de esta faceta desplazados más de dos milímetros.2 Es una clasificación muy estudiada y aplicada; a pesar de que se ha criticado su alta variabilidad intra- e interobservador, sigue siendo la clasificación de referencia.4,5,6 Además, su valor para predecir la artrodesis subastragalina ha sido demostrado (hay 5.5 veces más probabilidad de terminar en artrodesis subastragalina en una Sanders IV que una Sanders II).7 Diferencia cuatro tipos principales:
Tipo I: sin desplazamiento o desplazada < de 2 mm, subsidiaria de tratamiento ortopédico.
Tipo II: en dos fragmentos o split fractures (subdivididas en A, B y C, según la fractura asiente lateral, central o medialmente en el tálamo). Mayor gravedad cuanto menor es el fragmento anteromedial.
Tipo III: en tres fragmentos o split depression (subdivididas en III AB, AC y BC).
Tipo IV: en cuatro fragmentos o fracturas conminutas.
Fracturas extraarticulares (Figuras 3 y 4). Constituyen el 25-40% restante; son secundarias a un mecanismo de giro o torsión o tras caídas de baja energía. Las más frecuentes son las del proceso anterior (suelen ser fracturas avulsión por acción del ligamento bifurcado y se establece el diagnóstico diferencial con los esguinces del ligamento peroneoastragalino anterior) y de la tuberosidad (fracturas en pico y fracturas avulsión). En orden de frecuencia, afectan al proceso anterior (15%), tuberosidad, proceso medial, sustentaculum tali o cuerpo.

Figura 3: Fractura en «pico de pato» y del proceso anterior (izquierda) y fractura del tubérculo interno y del sustentaculum tali aislado (derecha).
Definitivo (Tabla 1). Las indicaciones del tratamiento conservador o quirúrgico de forma global están resumidas en la Tabla.8
Tabla 1: Resumen del tratamiento en fracturas del calcáneo.
| Manejo inicial. Inmovilización con vendaje bien almohadillado, medidas antiinflamatorias (hielo local, antiinflamatorios no esteroideos) y elevación del miembro en férula de Braun. Analgésicos/AINE y profilaxis antitrombótica |
|---|
| Conservador: |
| • Fracturas extraarticulares no desplazadas o mínimamente desplazadas |
| • Fracturas intraarticulares no desplazadas |
| • Fracturas del proceso anterior, < 25% de afectación de la articulación calcaneocuboidea |
| • No candidatos a cirugía: vasculopatía periférica severa o diabetes tipo I, comorbilidad alta, pacientes mayores institucionalizados |
| Quirúrgico: |
| • Fractura intraarticular que afecta la faceta posterior |
| • Fractura del proceso anterior, > 25% de afectación de la articulación calcaneocuboidea |
| • Fractura desplazada de la tuberosidad posterior |
| • Fractura luxación del calcáneo |
| • Fracturas abiertas |
Tratamiento quirúrgico. Los objetivos básicos del tratamiento quirúrgico son los siguientes:
Fracturas extraarticulares
Generalmente, son de buen pronóstico y muestran buena respuesta al tratamiento ortopédico y funcional (Tabla 2).
Tabla 2: Tratamiento de las fracturas extraarticulares.
| Fractura de la apófisis anterior | Si < 25% de afectación calcaneocuboidea: conservador: botina de yeso en descarga 4-6 semanas |
| Si > 25% de afectación articular: quirúrgico | |
| Exéresis fragmentaria: rara vez, si se evidencia seudoartrosis sintomática | |
| Fractura de la tuberosidad posterior | Desplazada: reducción abierta y osteosíntesis con 1-2 tornillos de esponjosa |
| Yeso inguinopédico en equino un mes y dos semanas en neutro | |
| Sin desplazar o en ancianos: tratamiento funcional | |
| Fractura de la apófisis mediolateral (tuberosidad) | Desplazada: reducción incruenta y yeso almohadillado moldeado. Cambio a los 10 días. Movilización activa al mes y apoyo progresivo a partir de los dos meses |
| No desplazada: medidas físicas y posturales, vendaje compresivo. Movilización activa precoz | |
| Fractura del cuerpo (no articular) | Desplazada: reducción previa tracción esquelética, dejando el clavo incluido |
| No desplazada: medidas físicas y posturales; movilización precoz | |
| Fractura del sustentaculum tali | Desplazada: osteosíntesis |
| No desplazada: medidas físicas y posturales; movilización precoz | |
| Inicio de carga a los dos meses | |
| Exéresis del fragmento libre si no consolida |
Tratamiento de las fracturas intraarticulares Sanders tipo I o en malos candidatos a cirugía:
Tratamiento conservador:
Es mejor hacer movilización precoz.
Elevación, compresión, hielo e inmovilización precoz sin cargar durante 10-12 semanas.
Es útil en fracturas no desplazadas o pacientes que no se puedan operar (mal estado general, enfermedad vascular periférica, mal estado de partes blandas, siquiátricos no controlados, tabaquismo severo, fracturas conminutas).
Sanders tipo II y III
Reducción cerrada y fijación percutánea (ver más adelante).
Hay muchas técnicas descritas (agujas, clavos de Steinmann, fijadores), pero no reducen la articulación directamente (por lo que, en general, no tienden a usarse).
Excepciones:
Si la superficie articular está desplazada < 2 mm.
El tipo de fractura en lengua de Essex-Lopresti: en este caso, el fragmento articular está unido al fragmento óseo y al reducir este, reducimos también la articulación.
Fractura en lengua
Reducción con clavo de Steinmann e incluirlo en yeso (técnica clásica de Essex-Lopresti) o técnica de Tornetta (modificación de la técnica anterior + fijación con tornillos canulados de 6.5 mm).
Manipulación y reducción incruenta
Abogamos por la reducción incruenta de todas las fracturas intraarticulares desplazadas, independientemente del tratamiento final seleccionado; esta maniobra será más efectiva en las primeras 72 horas.
Técnica de Omoto (Figura 5): bajo anestesia troncular o raquídea realizamos la maniobra de reducción con el paciente en decúbito prono, con la rodilla flexionada a 90o.3 El cirujano se sitúa a los pies del paciente, cubre ambas caras laterales del calcáneo con las palmas de las manos y entrecruza los dedos sobre el talón. Comprime con ambas manos, traccionando al cénit, a la vez que aplica movimientos alternantes de varo-valgo. En la realización de la maniobra se palpan y oyen crepitaciones que ceden en el momento en que hemos logrado la reducción. El ayudante sujeta el miembro a nivel del muslo para realizar contratracción. Tras la manipulación, colocamos una férula de yeso con el tobillo a 90o.3
Tratamiento quirúrgico estándar: abordaje lateral extendido «en L»
Es nuestra técnica de elección y parece imponerse como el «estándar de oro»8,9,10,11 para la mayoría de las fracturas intraarticulares; es una modificación de la técnica descrita por Palmer y Letournel, posteriormente popularizada por Benirschke y Sangeorzan. Consiste en un abordaje lateral que crea un colgajo de espesor completo hasta hueso que abarca los tendones peroneos, nervio sural y la vascularización del propio colgajo. Nos permite una visualización perfecta de toda la pared lateral del calcáneo -desde la tuberosidad posterior hasta la articulación calcaneocuboidea y subastragalina- y al realizar una ventana ósea en la propia pared lateral, o bien, al «abrir» la propia fractura, nos posibilita realizar una reducción indirecta de la pared medial y del sustentáculo. Una maniobra fundamental en esta técnica es la de Westhues (Figura 6) de reposición de la tuberosidad posterior del calcáneo; consiste en utilizar un tornillo de Schanz o clavo de Steinmann con un mango «en T» en la propia tuberosidad; luego, bajo escopia directa, procedemos a realizar una fuerza hacia abajo con el mango, lo que permite ascender la tuberosidad a su altura original. Hay que tener precaución en población anciana o pacientes con osteoporosis secundaria; esta tracción puede ser dificultosa por la mala presa del pin en el hueso porótico. También nos permite corregir el varo-valgo. La principal preocupación con este abordaje es la cicatrización de la herida; se han descrito unas tasas de complicación de hasta 25% (necrosis del colgajo, formación de hematoma, infección, dehiscencia, lesión de peroneos, neuropatía sural, etcétera).
Tratamiento mínimamente invasivo
Este persigue el objetivo de minimizar la lesión de los tejidos blandos que produce el abordaje estándar, pero, por el contrario, es más demandante en el aspecto técnico y la calidad de la reducción puede ser más difícil de conseguir y mantener intraoperatoriamente. Se han descrito abordajes mediales y laterales.
Abierto
Abordaje medial: Fue diseñado porque en la mayoría de casos, la reducción de la pared medial a través del abordaje lateral es indirecta. Está recomendado en caso de fractura intraarticular simple en dos partes o fracturas extraarticulares. El principal problema es la lesión potencial de paquete neurovascular tibial posterior, por lo que ha entrado en desuso.8
Abordaje del seno del tarso. De interés creciente en la literatura más actual. En últimas fechas, Kikuchi y sus colaboradores12 describieron buenos resultados en relación con el uso de este abordaje, con menores tasas de infección de la herida y resultados funcionales (AOFAS) similares a los abordajes laterales extendidos. El abordaje se realiza aproximadamente a un centímetro distal y posterior del peroné y extendido a la base del cuarto metatarsiano (de 2 a 5 centímetros de longitud).
Percutáneo
Técnica de Essex-Lopresti. Tornetta publicó excelentes resultados en 55% de los pacientes, buenos resultados en 32% y moderados en 13% de aquellos tratados percutáneamente mediante la técnica clásica de Essex-Lopresti, aunque modificada, al ser fijada con tornillos percutáneos.8
Tornillos percutáneos. Basada en la técnica introducida por Forgon y Zadravecz,13 especialmente indicada en fracturas con conminución moderada (Sanders tipo II y III, fracturas tipo lengua y fracturas hundimiento, siempre que el fragmento del sustentaculum tali y de la tuberosidad posterior sean lo suficientemente grandes para permitir una manipulación externa).9
Fijación externa. Consiste en la implantación de un minifijador externo con fijación en tres puntos con el paciente en decúbito prono (los pines proximales pueden ir en la tibia distal o el astrágalo, los pines distales, en la tuberosidad calcánea o cuboides). Una vez reducida la fractura mediante ligamentotaxis, ayudándonos de un C-clamp o una pinza de compresión para pelvis o similar para conseguir restituir la anchura original, se procede a la introducción de tornillos canulados percutáneos de 6.5 mm.5
Controversias en las fracturas intraarticulares de calcáneo
Primero. ¿Tratamiento quirúrgico o conservador en las fracturas intraarticulares?
Existen pocos tópicos en la traumatología que hayan suscitado tanta controversia. Históricamente, fueron tratadas de manera conservadora. Los avances experimentados en los últimos 15-20 años en relación con la evaluación preoperatoria, métodos de imagen intraoperatorios y técnica quirúrgica, que incluyen nuevos materiales de bajo perfil y placas bloqueadas con una mejor presa en caso de hueso osteoporótico, han cambiado el paradigma; la mayoría de los autores abogan por el tratamiento quirúrgico, siendo escasa la evidencia que apoya el tratamiento conservador de estas fracturas, con un grado de recomendación insuficiente.14,15,16,17 La literatura muestra que los peores resultados se dan en fracturas desplazadas y conminutas, reducciones quirúrgicas imprecisas de la subastragalina posterior o conminución de la misma, varones mayores de 50 años, pacientes que realizan trabajos pesados, además de aquellos en litigio laboral.14 Por ende, los mejores resultados se obtienen en mujeres, pacientes jóvenes, que no realicen trabajo pesado y con trazo fracturario simple. Aun así, la evidencia que apoya el tratamiento quirúrgico sigue siendo moderada (grado de recomendación B según la medicina basada en la evidencia).
Mejores resultados quirúrgicos:
Sin litigio laboral
Mujeres
Jóvenes (< 29 años)
Ángulo de Böhler moderadamente bajo
Reducción anatómica de la subastragalina posterior
Escalón intraarticular < 2 mm
Segundo. ¿Influye el tratamiento inicial de las fracturas intraarticulares en los resultados de la artrodesis subastragalina posterior?
Otro de los tópicos clásicos en la discusión, Radnay y Sander18 demostraron con claridad que sí: aquellos pacientes con fracturas intraarticulares desplazadas tratadas quirúrgicamente experimentan mejores resultados a largo plazo una vez realizada la artrodesis subastragalina de rescate que aquellos tratados de manera conservadora; además, esta artrodesis de rescate es más fácil cuando los parámetros anatómicos se han restituido lo mejor posible.
Tercero. ¿Artrodesis subastragalina de rescate primaria o diferida?
No existe consenso al respecto. Algunos autores la recomiendan en casos de fracturas con severa conminución (Sanders IV),8,18 mientras que otros abogan por una osteosíntesis a pesar de esta circunstancia, comunicando resultados funcionales aceptables.19 Más recientemente, Schepers ha publicado una revisión sistemática de resultados de artrodesis primaria en fracturas intraarticulares de calcáneo Sanders IV, reportando excelentes resultados funcionales.15 Por tanto, la artrodesis primaria parece imponerse en las últimas publicaciones. Hay que decir que la mayoría de los autores añade injerto óseo en la subastragalina posterior y realiza un curetaje de las superficies articulares indemnes. En cualquier caso, este procedimiento es recomendable sólo cuando se acompañe al mismo tiempo de una técnica que recupere la altura y anchura del talón; de lo contrario, no habremos solucionado los problemas a largo plazo de estas fracturas.
Cuarto. ¿Abordaje lateral estándar o mínimamente invasivo?
En fechas recientes, Kline y su equipo20 publicaron un estudio retrospectivo de 112 fracturas, 79 tratadas mediante un abordaje estándar y 33 por diferentes técnicas mínimamente invasivas según la preferencia del cirujano. Demostraron similares resultados clínicos en ambas series; sin embargo, las técnicas mínimamente invasivas presentaron menores complicaciones de la herida quirúrgica y menores cirugías secundarias, además de un mayor grado de satisfacción de los pacientes; si bien, su principal problema es la curva de aprendizaje y la dificultad en conseguir una reducción anatómica exacta; de ahí que se reserve para cirujanos experimentados y en pacientes específicos. Por otro lado, en fechas recientes se ha publicado que la aparición de complicaciones en el abordaje lateral estándar está directamente relacionada con la experiencia del cirujano21 y que los resultados están vinculados con el número de fracturas que se intervengan al año;22 de ahí la necesidad de potenciar las unidades funcionales hiperespecializadas.
Quinto. ¿Injerto o sustitutos óseos, sí o no?
Se han publicado multitud de artículos con una amplia variedad de sustitutos óseos, pero la literatura parece no avalar su uso sistemático, pues no es necesario en la mayoría de casos, en especial, desde la introducción de la tecnología de placas bloqueadas.8 Es de destacar el artículo reciente publicado por Singh,23 estudio retrospectivo de 390 casos de fracturas desplazadas intraarticulares tratadas con placa lateral con o sin autoinjerto de cresta ilíaca, donde no se encontraron diferencias estadísticamente significativas en los resultados funcionales.
Sexto. ¿Placas bloqueadas o convencionales?
La ventaja potencial de las placas bloqueadas es su superioridad biomecánica en las siguientes circunstancias: inestabilidad severa, conminución fracturaria, pobre calidad ósea e imposibilidad de fijación bicortical. Las fracturas de calcáneo han sido consideradas desde el desarrollo de estas nuevas placas como las ideales para este tipo de fijación, pues la calidad ósea suele ser pobre en esta localización -sobre todo en mujeres mayores de 50 años- y por la necesidad de mantener la altura de la articulación subastragalina posterior tras las fracturas hundimiento.24 Si bien los estudios a este respecto han sido realizados en cadáveres y en fantomas o sawbones, ningún autor ha demostrado ventaja mecánica de las placas bloqueadas frente a las convencionales en el calcáneo, no pudiendo afirmar al día de hoy que las placas bloqueadas en sus múltiples modelos supongan una ventaja para nuestros pacientes, al no existir aún estudios prospectivos comparativos clínicos que apoyen esta superioridad, al menos teórica.25
Séptimo. Cirugía en ancianos
Resulta interesante que la literatura apoyara hasta hace relativamente poco tiempo evitar el tratamiento quirúrgico en pacientes mayores de 50 años debido a la alta probabilidad de pobres resultados.7,10,14 Herscovici y sus colegas26 fueron los primeros en proponer un cambio en esta tendencia, publicando unos resultados funcionales aceptables en fracturas intraarticulares desplazadas en una población anciana seleccionada de manera cuidadosa, aunque su metodología fue retrospectiva y sin grupo control. Basile27 fue el primero en diseñar y publicar un estudio prospectivo de tratamiento conservador frente a quirúrgico en una población anciana, con un seguimiento de dos años: se trataba de una población de 65-75 años con fractura intraarticular desplazada más de 2 mm en el TAC en la subastragalina posterior (excluyendo Sanders tipo IV y fracturas abiertas), activos, no fumadores y sin comorbilidad importante. El autor demostró resultados funcionales superiores estadísticamente significativos en esta cohorte seleccionada, valorados mediante escala AOFAS y escala analógica visual para el dolor (VAS), que relacionó con la restauración del ángulo de Böhler, mejoría de la movilidad subtalar y mejor congruencia articular. Tanto Herscovici26 como Basile27 coinciden en que la edad en sí misma no juega un papel determinante en la aparición de problemas de partes blandas o infección ósea y parece que es más probable que la existencia de comorbilidad previa sea la clave en la aparición de complicaciones postoperatorias, siendo estos pacientes candidatos a un tratamiento conservador.
Octavo. Cirugía en pacientes siquiátricos
La enfermedad siquiátrica es una contraindicación clásica para el tratamiento quirúrgico de las fracturas de calcáneo, en particular por la dificultad en conseguir un buen seguimiento de las órdenes médicas en el postoperatorio. No obstante, con los tratamientos médicos actuales, sobre todo en pacientes con sicosis e intentos de autolisis (clásicamente, tras precipitación), debemos valorar cada caso de forma particular, pues podemos condenar a pacientes que pueden llevar una vida casi normal a sufrir las dolorosas secuelas de las fracturas de calcáneo mal reducidas.
Noveno. Momento de la cirugía
La indicación del momento de la cirugía en fracturas intraarticulares en las que se planifique una cirugía abierta vendrá determinada por las partes blandas perifracturarias.8,20,22 En este sentido, el «signo de la arruga» es decisivo; esto es, la posibilidad de pellizcar las partes blandas de la cara lateral es generalmente indicadora de una disminución del edema que garantiza una cirugía sin potenciales problemas de cicatrización. Este hallazgo clínico obliga a demorar la cirugía unos 10 días (en promedio) en la mayoría de casos, si bien en técnicas indirectas (fijación externa) o percutáneas podemos acortar estos tiempos de espera.
Complicaciones (Tabla 3)
Tabla 3: Principales complicaciones de las fracturas de calcáneo.
| Talalgia lateral |
| • Pinzamiento o síndrome subperoneal o peroneocalcáneo |
| • Tendinopatía de peroneos |
| • Neuropatía del nervio sural |
| • Artrosis subastragalina |
| • Artrosis calcaneocuboidea |
| Talalgia plantar |
| • Prominencias óseas o espolones plantares |
| • Lesión del tejido adiposo o fibroelástico plantar |
| Talalgia medial |
| • Tendinopatía de los flexores o del tibial posterior |
| • Síndrome del túnel tarsiano (atrapamiento de las ramas del tibial posterior) |
| Mala consolidación o consolidación viciosa |
| Síndrome compartimental/rigidez postraumática |
| Distrofia simpaticorrefleja |
| Infección |
| Necrosis cutánea |
Necrosis cutánea de la herida quirúrgica. Es la complicación quirúrgica más frecuente, hasta en 14% de los abordajes laterales extendidos y en 27% de los combinados asociados lateral y medial. Se debe a la precaria vascularización de los bordes de esta incisión, especialmente en el vértice, pudiendo observarse hasta un mes después de la cirugía. El tratamiento es el cese del apoyo y rehabilitación hasta la resolución de la misma; se han comunicado buenos resultados con la terapia VAC (vacuum-assisted closure). En la mayoría de los casos, se soluciona bien con curas periódicas, pero en determinados pacientes puede ser necesario un colgajo fasciocutáneo.28
Infección profunda. Los principales factores de riesgo son la diabetes mal controlada, el tabaquismo, el retraso en la cirugía más de 14 días, las fracturas abiertas y la obesidad. La mayoría de casos se trata de una osteomielitis localizada; el tratamiento indicado es el mantenimiento de la síntesis al menos durante seis semanas, en las que se realizarán curas en quirófano hasta llegar al foco fracturario y antibioterapia endovenosa específica. Si la osteomielitis es difusa, el tratamiento exige retirar el material y realizar un desbridamiento óseo agresivo.
Lesiones neurológicas periféricas. Sobre todo del nervio sural por la generalización del abordaje lateral extendido. La lesión de la rama calcánea del nervio tibial posterior se ha observado en los abordajes mediales. También es frecuente la aparición de hipoestesia en el territorio de esta rama calcánea en pacientes tratados de forma conservadora, posiblemente por compresión del hematoma fracturario. En caso de neuroma doloroso, el tratamiento más aceptado es la neurólisis, enterrando el cabo del nervio en profundidad.
Talalgias
Laterales:
Habitualmente, por el denominado «síndrome de pinzamiento o impingement subperoneal o peroneocalcáneo». Aparece cuando, a consecuencia de una fractura no reducida, se produce un choque entre la citada cara lateral y el maléolo peroneo, que impedirá el movimiento de este y, en consecuencia, el de la articulación del tobillo.
Tendinopatía de los peroneos. Secundaria a prominencia del material o lesión de la vaina tendinosa o del propio tendón durante la cirugía. Actualmente, la disección subperióstica del abordaje lateral estándar suele minimizar el riesgo de lesión. Si molesta el material, estaría indicada la retirada del mismo y la tenólisis.
Neuropatía del sural.
Molestias del material de osteosíntesis (placa).
Artrosis subastragalina o calcaneocuboidea (menos frecuente) postraumática en fracturas intraarticulares.
Mediales:
Tendinopatía de los flexores o del tibial posterior.
Síndrome del túnel tarsiano.
Plantares:
Exostosis plantares.
Atrofia de la almohadilla grasa del talón.
-
Consolidación anómala o viciosa. El resultado funcional tras las fracturas intraarticulares desplazadas de calcáneo se relaciona de manera clara con la aparición de deformidades residuales. El abanico de deformidades potencialmente presentes depende de la severidad de la fractura y del tratamiento inicial. El tratamiento falla con más frecuencia tras métodos conservadores en comparación con aquellos quirúrgicos, multiplicándose por seis la necesidad de artrodesis subastragalina de rescate tras un tratamiento conservador.28,29,30 La Tabla 4 muestra una visión general de las deformidades más frecuentes tras una fractura desplazada de calcáneo, así como las estrategias terapéuticas. Las molestias residuales tras una fractura con mínimo desplazamiento, con una anchura y altura intactas, tratada conservadoramente o una fractura tratada de manera adecuada mediante cirugía serán con toda probabilidad secundarias a incongruencia o daño articular a nivel de la articulación subastragalina y responderán bien a una artrodesis subastragalina in situ. Por otra parte, una fractura desplazada de modo severo tratada de forma conservadora o un tratamiento quirúrgico fallido donde la altura y anchura no han sido restituidas producirán, además, entre otros, pinzamiento subperoneal y tibioastragalino. La fractura incorrectamente tratada da lugar a una alteración de la morfología del calcáneo que afecta a la funcionalidad de todo el pie. Las típicas secuelas encontradas son:
Tabla 4: Principales deformidades y su tratamiento.
Deformidad inicial Resultado Solución Pérdida de altura secundaria al colapso del subastragalina posterior 1. Acortamiento del complejo gastrosóleo Restaurar la altura incrementando el ángulo astragalocalcáneo, insertando injerto óseo estructural (bone block) en la subastragalina 2. Disminución de la declinación astragalina: horizontalización del astrágalo: a. Pinzamiento tibioastragalino con afectación de la dorsiflexión del tobillo b. Subluxación astragaloescafoidea (Chopart) c. Incongruencia en la articulación del tobillo 3. Problemas con el calzado (maléolos rozando con el borde del zapato) 4. Dismetría de MMII Pérdida del arco longitudinal y aplanamiento en fracturas graves, produciendo deformidad en balancín o en «forma de plátano» Deambulación dolorosa, fatiga, tendinitis causada por el pie plano Restaurar el ángulo astragalocalcáneo, añadir osteotomía de desplazamiento inferior de la tuberosidad del calcáneo para aumentar el arco longitudinal Ensanchamiento del calcáneo 1. Conflicto subperoneal Reducir la anchura mediante exostectomía de la pared lateral, descomprimir tendones y nervios 2. Pinzamiento lateral, tendinitis, subluxación de los peroneos y lesión del nervio sural Deformidad en valgo/varo del retropié Deambulación dolorosa Colocar injerto estructural medialmente en deformidad en varo Adicionalmente, añadir osteotomía tipo Dwyer u osteotomía calcánea de desplazamiento medial/lateral Desplazamiento intraarticular con incongruencia subastragalina y/o calcaneocuboidea Dolor durante la deambulación y rigidez por la artrofibrosis Artrodesis subastragalina doble o triple Exostosis plantar prominente Deambulación dolorosa y riesgo de ulceración Resección simple Lesión por aplastamiento de la almohadilla grasa del talón Deambulación dolorosa Ortesis plantares adecuadas Pérdida de altura. El aplanamiento del calcáneo y una disminución del ángulo de Böhler producen una disminución de la altura del retropié (radiológicamente, se mide entre la parte más alta de la cúpula astragalina y la parte más plantar del calcáneo en una radiografía lateral de pie). Como resultado, el astrágalo adopta una posición más horizontal o en dorsiflexión, que puede limitar la dorsiflexión del tobillo o incluso, producir pinzamiento anterior e influir en el desarrollo de una posterior artrosis de tobillo. La pérdida de altura del retropié también afecta a la marcha al disminuir el brazo de palanca del complejo gastrosóleo, reduciendo la potencia en el despegue.
Ensanchamiento del talón. El desplazamiento de la pared lateral produce ensanchamiento del talón, que puede producir pinzamiento subperoneal, lo que dificulta el uso de calzado y afecta a los tendones peroneos en forma de tendinitis e incluso, roturas tendinosas; también afectación del nervio sural.
Incongruencia de la faceta articular posterior subastragalina y calcaneocuboidea. Produce a medio plazo artrosis subastragalina/o calcaneocuboidea. La artrosis subastragalina es la complicación más frecuente a medio-largo plazo tras la fractura intraarticular de calcáneo. Se puede desarrollar en tres circunstancias:
Fracturas intraarticulares desplazadas tratadas de manera conservadora.
Fracturas tratadas quirúrgicamente con reducción no anatómica de la articulación subastragalina.
En casos de reducción anatómica en los que el impacto inicial fue de alta energía (daño cartilaginoso primario)
Así, la observamos tanto en el tratamiento conservador como en el quirúrgico. Desplazamientos tan ínfimos como de 2 mm pueden alterar las presiones de contacto en la articulación subastragalina.30 Se manifiestan por dolor en la cara lateral del calcáneo y a la palpación del seno del tarso. El paciente refiere dificultad al caminar por terreno irregular (prono-supinación del pie). Si bien la reducción anatómica se ha relacionado con mejores resultados y menor probabilidad de desarrollar artrosis, ya se ha dicho que aquellas fracturas de alta energía pueden desarrollar esta complicación independientemente de la reducción anatómica, pues el daño cartilaginoso tuvo lugar con el impacto inicial. El tratamiento inicial de las fracturas intraarticulares desplazadas influye en los resultados tras la artrodesis de rescate (los resultados funcionales son superiores en aquellos pacientes que en un inicio fueron tratados de forma quirúrgica para intentar restaurar las relaciones anatómicas; por tanto, y según han publicado Radnay y sus colaboradores, el tratamiento inicial sí determina los resultados funcionales futuros).19
Retropié varo. La tuberosidad posterior consolida en varo, lo que resulta en una deformidad de todo el retropié en varo. La movilidad de la subastragalina está acoplada a la de la calcaneocuboidea y astragaloescafoidea; de esta forma, un retropié en varo bloquea la movilidad del Chopart.
A la hora de la valoración y tratamiento de estas deformidades secuelares, Stephen y Sanders describieron en 1996 un interesante y práctico algoritmo de tratamiento basado en las imágenes por TAC;29 así, distinguen tres tipos fundamentales de mala consolidación de fractura del calcáneo y describen el tratamiento para cada uno de ellos:
Mala consolidación tipo I: exostosis prominente sin artrosis subastragalina ni mala alineación del retropié. Tratamiento mediante osteotomía de la pared lateral y tenólisis de los peroneos.
-
Mala consolidación tipo II: exostosis lateral prominente y artrosis subastragalina (Figura 7). Tratamiento mediante exostectomía lateral, tenólisis de peroneos y artrodesis subastragalina con injerto estructural en bloque (Figuras 8 y 9).
Mala consolidación tipo III: exostosis prominente, artrosis subastragalina y mala alineación del retropié mayor a 10o. Tratamiento mediante exostectomía, tenólisis de peroneos, artrodesis subastragalina con injerto en bloque (artrodesis y distracción), además de osteotomía de calcáneo (varizante o valguizante).
Síndrome compartimental y rigidez postraumática
Distrofia simpaticorrefleja o SDRC (síndrome doloroso regional complejo) tipo I. Es relativamente frecuente en esta localización. Se manifiesta por cambios cutáneos (edema y sudoración en un inicio y trastornos vasomotores con atrofia en fases evolucionadas), trastornos neurovegetativos, hiperalgesia y alodinia. De reciente interés, ha supuesto la introducción de la vitamina C a dosis de 500 mg durante 50 días como prevención tras una cirugía o traumatismo en el pie y tobillo, lo que reduce la incidencia de este temido síndrome por el efecto teórico antioxidante del ácido ascórbico.31










nueva página del texto (beta)










