SciELO - Scientific Electronic Library Online

 
vol.28 número3Osteosarcoma multicéntrico sincrónico con múltiples tumores primarios o enfermedad metastásica: Reporte de un caso y revisión de la literaturaFractura luxación axial del carpo. Reporte de tres casos y revisión de la literatura índice de autoresíndice de materiabúsqueda de artículos
Home Pagelista alfabética de revistas  

Servicios Personalizados

Revista

Articulo

Indicadores

Links relacionados

  • No hay artículos similaresSimilares en SciELO

Compartir


Acta ortopédica mexicana

versión impresa ISSN 2306-4102

Acta ortop. mex vol.28 no.3 Ciudad de México may./jun. 2014

 

Caso clínico

 

Ectrodactilia del pie. Reporte de dos casos

 

Ectrodactyly of the foot

 

Rivas A,* Campagnaro J,** García Y,*** Brito M,**** Morantes J***

Hospital Universitario de los Andes, Venezuela

 

* Cirujano de pie y tobillo. Adjunto de la Unidad Docente Asistencial de Cirugía Ortopédica y Traumatología del Instituto Autónomo Hospital Universitario de Los Andes.
** Cirujano Ortopedista Infantil. Profesor Titular de la Facultad de Medicina de la Universidad de Los Andes. Adjunto de la Unidad Docente Asistencial de Cirugía Ortopédica y Traumatología del Instituto Autónomo Hospital Universitario de Los Andes.
*** Cirujano Ortopedista y Traumatólogo.
**** Residente de cuarto año del Postgrado de Cirugía Ortopédica y Traumatología. Laboratorio de Investigación en Cirugía Ortopédica y Traumatología de la Universidad de Los Andes.

 

Dirección para correspondencia:
Dr. Manuel Brito
Avenida Las Américas,
Residencias Los Samanes, Torre E, apartamento 6-1.
Mérida, Estado Mérida, Venezuela.
Teléfono. 58 424 7280478.
E-mail: drmanuelbrito@gmail.com

 

RESUMEN. Antecedentes: La ectrodactilia es una malformación congénita caracterizada por la presencia de hendiduras en los pies acompañada de agenesia e hipoplasia de los metatarsianos y falanges. Es un desorden genético muy poco frecuente, con una incidencia de 1:90,000-100,000 nacimientos vivos y no está ligada al sexo. Su patrón genético es de tipo autosómico dominante con penetrancia genética variable. El diagnóstico es clínico al momento del nacimiento; sin embargo, puede ser prenatal mediante ultrasonografía desde el primer trimestre de gestación. El manejo de la ectrodactilia incluye tanto el tratamiento quirúrgico como el no quirúrgico. Métodos: Se revisó el archivo de historias médicas desde enero 2005 a enero 2010, se incluyeron todos los pacientes con diagnóstico de ectrodactilia. Se encontraron dos pacientes que fueron tratados quirúrgicamente a los cuales se les realizó un seguimiento mínimo de tres años. Resultados: La evolución a largo plazo fue favorable permitiendo el uso de calzado y la marcha. No se evidenciaron recidivas o complicaciones. Los resultados finales fueron buenos de acuerdo a la escala de Tani y colaboradores. Discusión: De acuerdo a nuestros resultados a mediano y largo plazo en el manejo de estos dos casos de ectrodactilia, recomendamos la combinación del tratamiento ortopédico conservador, como preparación para la cirugía, y la resolución definitiva mediante cierre de la hendidura. El tratamiento quirúrgico realizado y el adecuado manejo postoperatorio permitieron el uso de calzado, mejorar la función y apariencia en ambos casos.

Palabras clave: anormalidades, pie, ectrodactilia, pie hendido.

 

ABSTRACT. Background: Ectrodactyly is a congenital malformation characterized by the presence of clefts in the feet accompanied by aplasia and hypoplasia of the phalanges and metatarsals. It is a rare genetic disorder with an incidence of 1:90,000-100,000 live births and it is not linked to sex. Its genetic pattern is autosomal dominant with a variable genetic penetrance. Clinical diagnosis is made at birth, however it can be prenatal through ultrasound during the first trimester. Management of ectrodactyly includes both surgical and non-surgical treatment. Methods: We reviewed the archive of medical histories from January 2005 to January 2010, we included all patients with an ectrodactyly diagnosis. We found two patients who were treated surgically and were followed-up for three years. Results: The long term evolution was favorable, allowing the patient to wear shoes and walk. There were no recurrences or complications observed. The final results were good according to the Tani et al scale. Discussion: According to our medium and long term results in the management of these two cases of ectrodactyly, we recommend the combination of conservative orthopedic treatment as preparation for surgery and the final resolution with closure of the cleft. The surgical treatment performed and appropriate postoperative management allowed the patient to wear shoes, to improve function and appearance in both cases.

Key words: anormalities, foot, ectrodactyly, cleft foot.

 

Introducción

La ectrodactilia es una malformación congénita de las extremidades que se caracteriza por la presencia de una hendidura central en las manos y pies, acompañada de agenesia e hipoplasia de los metatarsianos, metacarpianos y falanges. Se deriva de las raíces griegas ektroma (aborto) y daktylos (dedos). También se conoce con los nombres de "crab-claw foot", "cleft foot" o "split foot", en inglés; "pied dhomard", en francés, o "pie hendido" en español.1,2,3,4 Fue descrita por primera vez en 1829 por Von Walther y Cruvelhier fue el primero en utilizar la denominación "crab-claw foot" o "pies en tenazas de cangrejo", en 1842.1,2

Es un desorden genético muy poco frecuente, con una incidencia de 1:90,000 por 100,000 nacimientos vivos, no está ligada al sexo y constituye aproximadamente 1.5% de las malformaciones del pie. Puede ser uni- o bilateral y acompañarse de otras deformidades, presentarse en forma aislada o simultáneamente con iguales deformidades en las manos. Frecuentemente se presenta como parte de un síndrome que se acompaña de alteraciones oculares, bucomaxilares, auditivas o renales. Este síndrome se conoce como síndrome "ectrodactilia, displasia ectodérmica y hendidura" o EEC, por sus siglas en inglés.2,3

La etiología principal es genética, pero se ha relacionado con algunos agentes teratogénicos, como por ejemplo los derivados del ácido retinoico, el cadmio, etanol, cafeína, cocaína y ácido valproico, entre otros. Es de tipo autosómico dominante, con penetrancia genética variable que en la mayoría de los casos, es incompleta, aunque también se han descrito algunos casos autosómicos recesivos.1,2,5,6,7,8 Las deformidades son ocasionadas por alteraciones cromosómicas estructurales asociadas a mutaciones en cinco diferentes locus (SHFM1 en 7q21.3; SHFM2 en Xq26; SHFM3 en 10q24; SHFM4 en 3q27 y SHFM5 en 2q31).2,6,7,8

Las alteraciones antes mencionadas afectan el proceso de inducción de la cresta ectodérmica apical sobre el mesodermo en la quinta semana del desarrollo embrionario, previo al momento de la formación de los rayos digitales en la sexta semana, lo cual modifica el proceso de diferenciación de los dedos, que ocurre aproximadamente en la séptima semana.2,3,4,7

El diagnóstico es clínico al momento del nacimiento; sin embargo, puede ser prenatal y se hace con ultrasonografía desde el primer trimestre de gestación.2,5,9,10

Abraham y colaboradores11 describieron un sistema de clasificación clínica basado en la severidad de la deformidad, que divide estas alteraciones en tres tipos. En el tipo 1 o pie hendido parcial central, se observa una hendidura o deficiencia del rayo central sin separación de los rayos medial o lateral; el tipo 2 o pie hendido completo presenta una hendidura central profunda que alcanza los huesos del tarso y en el tipo 3, hay una ausencia completa del primer al quinto rayo.

Por su parte, Blauth y Borisch12 hacen una clasificación basada en la morfología radiográfica de la malformación, dividiéndola en seis grados de acuerdo con el número de metatarsianos involucrados.

En esta comunicación presentamos dos casos de pacientes con ectrodactilia de los pies tratados en nuestro servicio, que fueron seguidos a largo plazo. El objetivo es mostrar nuestra experiencia en el tratamiento quirúrgico de esta poco frecuente malformación.

Estudio retrospectivo donde realizamos una búsqueda en los archivos de historias clínicas de nuestro hospital en el período comprendido entre Enero de 2005 y Diciembre de 2010. Se incluyeron todos los pacientes que acudieron a nuestra consulta con diagnóstico de ectrodactilia del pie. Se encontraron dos pacientes, de sexo femenino, una con ectrodactilia bilateral de los pies y otra con ectrodactilia bilateral de pies y manos. Ambas pacientes fueron tratadas quirúrgicamente. El seguimiento fue de dos años para la primera y de tres para la segunda.

Se utilizaron la clasificación clínica de Abraham y colaboradores11 y la radiológica de Blauth y Borisch.12 La evaluación de los resultados finales se realizó de acuerdo con el sistema propuesto por Tani y su grupo,3 que se basa en los resultados cosméticos, funcionales y radiológicos. El puntaje máximo es de 10 puntos, donde 9 a 10 se consideran excelentes resultados; 7 y 8, buenos; 5 y 6, regulares y menores a 5, pobres. Se obtuvo la autorización y consentimiento informado de los tutores representantes por ser menores de edad.

Este trabajo fue realizado con recursos propios sin subvenciones.

 

Presentación de los casos

Caso clínico 1

Paciente femenina de ocho años, segunda hija de un matrimonio no consanguíneo, portadora de ectrodactilia bilateral de pies y manos, quien acudió a consulta por presentar dolor y limitación para el uso de calzado común. No había antecedentes familiares de malformaciones congénitas de ningún tipo. La niña era estudiante de primaria, con buen desempeño escolar.

En los pies se evidencia hendidura central con sindactilia bilateral del cuarto y quinto dedo, inversión de los mismos y hallux valgus bilateral (Figuras 1 y 2).

 

 

 

 

En la radiografía simple de pies se observa la presencia de tres metatarsianos con fusión del tercero y cuarto del lado derecho. Desarrollo bilateral de falanges en el primer dedo y de los dedos quinto izquierdo y cuarto derecho (Figura 3).

 

 

No se detectaron otras alteraciones dismórficas y la valoración antropométrica fue normal. Tampoco se encontraron otras alteraciones físicas o sistémicas al momento del examen. Se clasificó como una ectrodactilia tipo 1 de Abraham y grado IV de Blauth y Borisch.

Antes de tratarla quirúrgicamente, se le ofreció un tratamiento ortopédico conservador con cinchas metatarsales y separadores de dedos. La corrección quirúrgica se hizo mediante la supresión de la hendidura central en pies y manos con sindactilias lineales, realineación de las falanges del cuarto y quinto dedos y corrección bilateral del hallux valgus, mediante osteotomías en la base de las falanges y osteodesis con alambres de Kirschner (Figura 4).

 

 

En el postoperatorio se colocaron cinchas metatarsales durante un mes. No hubo complicaciones en el período postoperatorio. Esta paciente se mantuvo en observación por dos años, sin evidencia de complicaciones o recidivas. Desde el punto de vista mecánico y funcional, los pies permiten el uso de calzado común sin dolor o limitaciones para la marcha (Figura 5). El resultado final se calificó como bueno (nueve puntos según la escala de Tani y colaboradores).

 

 

Caso clínico 2

Paciente femenina de 14 años, portadora de ectrodactilia bilateral de los pies, con antecedentes de ectrodactilia bilateral de los pies en su madre y abuela materna. Primogénita de un matrimonio no consanguíneo. La paciente estudia secundaria, con buen desempeño escolar. Acude a consulta por presentar imposibilidad para el uso de calzado común.

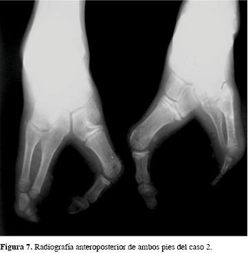
El examen físico evidenció sindactilia del cuarto y quinto dedos y hallux valgus severo bilateral (Figura 6). Radiológicamente, sólo hay tres metacarpianos y falanges en el primero y quinto dedos en ambos lados (Figura 7).

 

 

 

 

La deformidad se clasificó como una ectrodactilia tipo 2 de Abraham y grado IV de Blauth y Borisch. Como medidas de preparación para la cirugía, se utilizaron cinchas metatarsales y separadores de dedos. Posteriormente, se realizó la corrección quirúrgica mediante la supresión de la hendidura central con sindactilias de tipo lineal. El cierre del espacio intermetatarsiano se efectuó con osteotomías de la base del primer y quinto metatarsianos y osteodesis con alambres de Kirschner (Figuras 8 y 9).

 

 

 

 

En el postoperatorio se indicaron cinchas metatarsales durante un mes. La evolución fue favorable. Se mantuvo en observación durante tres años, sin que se hubiesen presentado complicaciones o recidivas, con tolerancia del uso de calzado común sin limitaciones para la marcha (Figura 10). Los resultados finales fueron buenos (nueve puntos), según la escala de Tani y colaboradores.

 

 

 

Discusión

En la mayoría de los casos, los pies de los pacientes con ectrodactilia son funcionales y no presentan problemas o limitaciones mecánicas. Sin embargo, la incapacidad para el uso de calzado común asociada a dolor es el principal motivo de consulta.3,4,8,10,13

El manejo de esta malformación requiere, por lo general, tratamiento quirúrgico; sin embargo, esto depende del grado de la deformidad y del compromiso funcional. En todo caso, el tratamiento debe individualizarse a cada paciente y el objetivo principal, más allá de las implicaciones estéticas, es devolver el tamaño y proporciones normales para conseguir funcionalidad del pie y que pueda adaptarse al uso de calzado común, sin dolor o limitaciones para la marcha.3,4,13,14

El impacto psicológico que tiene esta malformación es importante, por lo que el tratamiento es un verdadero reto para el cirujano de pie y tobillo.

El manejo de la ectrodactilia incluye tanto el tratamiento conservador no quirúrgico como el quirúrgico. El tratamiento no quirúrgico incluye la utilización de distintos tipos de ortesis, separadores de dedos y cinchas metatarsales que permiten una mejor alineación del pie.3,4

El manejo quirúrgico debe ser adaptado a cada paciente y puede ir desde el cierre de partes blandas y amputación de dedos, hasta reconstrucciones anatómicas, funcionales y estéticas; en ocasiones, se plantea el uso de prótesis 1,3

Los principios de la cirugía reconstructiva de la ectrodactilia de los pies, según Tani y colaboradores,3 son: 1) cierre de la hendidura hasta cierto nivel; 2) mantener la simetría tridimensional y 3) preservar la posición de los rayos externos para prevenir el colapso y deformidades en valgo de los dedos.

De acuerdo con la clasificación de Abraham y su grupo,11 las tipo 1 deben ser tratadas con sindactilización de los tejidos blandos y -si es preciso- osteotomía correctora del hallux; las tipo 2 requieren cirugías reconstructivas del medio y antepie, con sindactilización de los tejidos blandos y osteotomías correctoras; por último, las tipo 3 no deberían ser susceptibles de tratamiento quirúrgico, excepto para deformidades asociadas, como por ejemplo, el pie equino.

Muchos autores coinciden que el tratamiento operatorio busca mejorar la función del antepie para el apoyo, marcha y carrera, así como el mejoramiento estético y la capacidad para el uso de calzado común.3,4,13,15,16 Alliey y su equipo4 recomiendan, previo a cualquier cirugía reconstructiva, el uso de medidas ortopédicas estrictamente conservadoras, como la utilización de separadores de dedos y cinchas metatarsales, que permiten una mejor alineación del pie mientras éste es preparado para la cirugía y mantenerlas en el postoperatorio para evitar la tendencia natural de desviación hacia la hendidura original.

De acuerdo con nuestros resultados a mediano y largo plazo en el manejo de estos dos casos de ectrodactilia, recomendamos el uso de medidas ortopédicas conservadoras, como la utilización de cinchas y ortesis, como preparación para el tratamiento quirúrgico definitivo y mantenerlas en el postoperatorio para evitar las recidivas.

El tratamiento quirúrgico reconstructivo realizado en ambos casos y el adecuado manejo postoperatorio permitieron mejorar la función y apariencia, alcanzando los objetivos primarios del manejo de la ectrodactilia.

 

REFERENCIAS

1. Jindal G, Parmar V, Gupta V: Ectrodactyly/split hand feet malformation. Indian J Hum Genet. 2009; 15(3): 140-2.         [ Links ]

2. Durowaye M, Adeboye M, Yahaya-Kongoila S, Adaje A, Adesiyun O, Ernest SK, et al: Familial ectrodactyly syndrome in a Nigerian child: a case report. Oman Med J. 2011; 26(4): 275-8.         [ Links ]

3. Tani Y, Ikuta Y, Ishida O: Surgical treatment of the cleft foot. Plast Reconstr Surg. 2000; 105(6): 1997-2002.         [ Links ]

4. Alliey G, Razely S, Carlos D: Pie hendido. Tratamiento y conducta. Revista Tobillo y Pie. 2008; 1(2): 9-14.         [ Links ]

5. Herreros M, Atobe O, Rodríguez S: Diagnóstico prenatal de ectrodactilia, por ecografía, en dos hermanos. Mem Inst Investig Cienc Salud. 2005; 3(1): 65-7.         [ Links ]

6. Buss PW: Cleft hand/foot: clinical and developmental aspects. J Med Genet. 1994; 31(9): 726-30.         [ Links ]

7. Duijf PH, van Bokhoven H, Brunner HG: Pathogenesis of split-hand/split-foot malformation. Hum Mol Genet. 2003; 12(1): 51-60.         [ Links ]

8. Tridib K, Ratanbali S: Familial ectrodactyly split hand foot malformation. Journal Anat Soc. 2008; 57(2): 151-4.         [ Links ]

9. Lapaire O, Schiesser M, Peukert R, Holzgreve W, Tercanli S: Split hand and foot malformation: ultrasound detection in the first trimester. Ultrasound Obstet Gynecol. 2002; 20(5): 511-2.         [ Links ]

10. Pinette M, García L, Wax J, Cartin A, Blackstone J: Familial ectrodactyly. J Ultrasound Med. 2006; 25(11): 1465-7.         [ Links ]

11. Abraham E, Waxman B, Shirali S, Durkin M: Congenital cleft-foot deformity treatment. J Pediatr Orthop. 1999; 19(3): 404-10.         [ Links ]

12. Blauth W, Borisch NC: Cleft feet: proposals for a new classification based on roentgenographic morphology. Clin Ortho. 1990; 258: 41-8.         [ Links ]

13. Noya F, Feijóo M, Cotillo J, El-Youssef Y, Jiménez A, Valle M: Pie hendido bilateral. A propósito de un caso. Acta ortopédica Castellano-Manchega. 2000; 1(1): 42-5.         [ Links ]

14. Beaty J: Malformaciones congénitas de la extremidad inferior. En: Canale T, Beaty J: Campbell Cirugía ortopédica. 11a ed. Barcelona: Elsevier España; 2010. pp. 1063-179.         [ Links ]

15. Epeldegui T: Deformidades congénitas del pie. En: Martin Oliva X, Vila y Rico J, Viladot Voegeli A: Tratado de cirugía del antepie. Barcelona: Euromedice; 2010. pp. 33-8.         [ Links ]

16. Javed E, Sultan M: Familial ectrodactyly and its ocular associations. Pak J Ophtalmol. 2008; 24(1): 26-8.         [ Links ]

 


Nota

Este artículo puede ser consultado en versión completa en: http://www.medigraphic.com/actaortopedica

Creative Commons License Todo el contenido de esta revista, excepto dónde está identificado, está bajo una Licencia Creative Commons