Servicios Personalizados
Revista
Articulo
Indicadores
-
Citado por SciELO -
Accesos
Links relacionados
-
Similares en
SciELO
Compartir
Acta ortopédica mexicana
versión impresa ISSN 2306-4102
Acta ortop. mex vol.28 no.1 Ciudad de México ene./feb. 2014
Caso clínico
Embolismo gaseoso tras el uso del sistema de lavado CarboJet® durante la hemiartroplastía de cadera. Caso clínico y revisión de la literatura
Gas embolism after the use of the CarboJet® lavage system during hip hemiarthroplasty. Clinical case and literature review
Lax-Pérez R,* Ferrero-Manzanal F,* Marín-Peña O,** Murcia-Asensio A*
Hospital General Universitario Santa Lucía. Cartagena (Murcia), España
* Departamento de Cirugía Ortopédica y Traumatología. Hospital General Universitario Santa Lucía. Cartagena (Murcia), España.
** Departamento de Cirugía Ortopédica y Traumatología. Hospital Infanta Leonor. Madrid, España.
Dirección para correspondencia:
Raquel Lax-Pérez
Camilo José Cela Núm. 11,
CP 30160, Monteagudo (Murcia), España.
Teléfono: 968128600
E-mail: laxpe@yahoo.es
RESUMEN. Presentamos el caso de una paciente de 89 años de edad que sufrió paro cardiorrespiratorio durante la realización de hemiartroplastía de cadera cementada que precisó resucitación cardiopulmonar. Esta complicación ocurrió inmediatamente después de usar el sistema de lavado mediante dióxido de carbono CarboJet®, y se atribuyó a embolismo gaseoso, tras descartar otras entidades. Se discuten los posibles factores que pueden contribuir a esta complicación quirúrgica.
Palabras clave: embolia grasa, cadera, artroplastía, paro cardíaco, complicaciones intraoperatorias.
ABSTRACT. Case report of an 89 year-old patient who had cardiorespiratory arrest during cemented hip hemiarthroplasty and required cardiopulmonary resuscitation. This complication occurred immediately after using the carbon dioxide-based lavage system known as CarboJet® and was attributed to gas embolism once other entities were ruled out. The possible factors that may contribute to this surgical complication are discussed.
Key words: fat embolism, hip arthoplasty, heart arrest, intraoperative complications.
Introducción
Debido al incremento progresivo en la esperanza de vida de la población, las fracturas de cadera en la población anciana pueden considerarse una auténtica epidemia y se estima que en los próximos 50 años el número de fracturas de cadera será triplicado.1 Los pacientes que presentan una fractura de cadera tienen durante la hospitalización una tasa de mortalidad de 3 a 10%, porcentaje que aumenta de 14 a 36% durante el primer año tras el alta.2 La osteoporosis se considera el principal factor que aumenta dramáticamente la incidencia de fractura de cadera en los pacientes ancianos. Para las fracturas de cuello femoral, la hemiartroplastía cementada se considera el estándar de oro para su tratamiento1,3,4 para conseguir una buena fijación en un hueso de baja calidad. La cirugía incluye el lavado meticuloso del canal femoral para permitir la interdigitación del cemento en las trabéculas óseas del hueso receptor.5 Se han desarrollado diferentes sistemas de lavado,6,7 uno de ellos es el CarboJet® (Kinamed, inc), el cual es sistema de lavado mediante dióxido de carbono que se ha usado clínicamente desde 1993. Presentamos el caso de una paciente con fractura de cuello femoral que presenta paro cardiorrespiratorio durante la intervención de hemiartroplastía cementada en el momento de lavado femoral con el sistema CarboJet® que fue atribuido a embolismo gaseoso, complicación extremadamente rara en prótesis total de cadera, por lo que este caso ha sido objeto de análisis en una revista de anestesiología.8
Caso clínico
Se presenta el caso de una paciente de 89 años de edad con antecedentes de hipertensión arterial, fibrilación auricular paroxística, insuficiencia valvular aórtica y mitral e hipertensión pulmonar, quien acudió por tener una caída accidental con traumatismo a nivel de la cadera izquierda e impotencia funcional. Las radiografías muestran que tuvo una fractura de cuello femoral Garden II (Figura 1), siendo la valoración anestésica ASA III. Los hallazgos electrocardiográficos preoperatorios fueron: fibrilación auricular, bloqueo auriculoventricular de primer grado, bloqueo de rama izquierda y hemibloqueo anterior izquierdo. La radiografía de tórax preoperatoria y la analítica no presentaron alteraciones.

La paciente fue propuesta para hemiartroplastía con vástago cementado y se intervino 48 horas tras ser admitida en el Servicio de Urgencias. Para ello, se realizó el abordaje posterolateral, se extrajo la cabeza femoral y se realizó la osteotomía de cuello femoral según la técnica habitual. El canal femoral se preparó según la técnica de cementación mediante el fresado del canal medular manual y además se realizó limpieza de la superficie interna con sistema de lavado de dióxido de carbono CarboJet® (Figura 2). La paciente presentó fibrilación ventricular inmediatamente tras usar el sistema de lavado, seguida de un paro cardiorrespiratorio que duró unos pocos segundos. Tras la resucitación cardiopulmonar, el ritmo cardíaco fue restablecido a sinusal. Por ello, la cirugía se detuvo, dejando la cadera en situación de artroplastía de resección tipo Girdlestone.

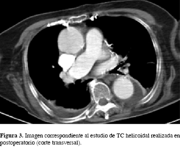
La paciente fue trasladada a la Unidad de Cuidados Intensivos (UCI) con ventilación mecánica, manteniéndose hemodinámicamente estable. No se detectó incremento de enzimas cardíacas (estudio seriado) ni alteraciones analíticas tras la complicación intraoperatoria, por lo que el diagnóstico fue embolismo gaseoso durante el tiempo de lavado femoral con el sistema CarboJet®. La paciente permaneció 24 horas en la UCI, posteriormente se trasladó a la planta de traumatología y fue evaluada de nuevo por el Departamento de Anestesiología. Se realizó TC helicoidal toracoabdominal con contraste, con hallazgos de moderado derrame pleural bilateral, atelectasias basales y múltiples fracturas costales anteriores (como consecuencia de la resucitación cardiopulmonar) (Figura 3). El ecocardiograma mostró la cardiomiopatía hipertensiva inicial, insuficiencia valvular aórtica y tricuspídea, pero con una fracción de eyección normal. La paciente no tuvo ninguna secuela tras el evento, por lo que, aunque presentó alto riesgo, se realizó un segundo tiempo quirúrgico transcurridos ocho días desde la primera cirugía y se le implantó la hemiartroplastía cementada mediante vástago cementado y cúpula bipolar (Figura 4). En este caso no se produjeron complicaciones intraoperatorias y la paciente se recuperó y comenzó a caminar con un andador cuatro días tras la intervención. Finalmente fue dada de alta seis días después.


Discusión
La presurización del cemento previo a la inserción del vástago en una cirugía protésica de cadera ha demostrado ser un factor determinante en la técnica de cementación para que se consiga una buena interdigitación del cemento en las trabéculas óseas y con ello se evite el sangrado dentro del canal femoral.9 Este hecho parece ser crucial para la estabilidad a largo plazo y la supervivencia del implante. El lavado del canal para exponer el hueso esponjoso puede aumentar por cuatro la resistencia al cizallamiento de la interfaz cemento-hueso cuando se realiza una técnica adecuada.5
La tasa de mortalidad tras una prótesis total de cadera cementada ha sido clásicamente más alta que la no cementada, con un riesgo incrementado de muerte repentina.10 El embolismo causado por aire, grasa o debris de cemento durante la presurización e inserción del vástago se ha propuesto como un mecanismo implicado en la disfunción cardiopulmonar que ocurre antes de la muerte y se ha denominado "síndrome de la cementación" o "síndrome de la implantación de cemento óseo", avalado por estudios ecocardiográficos.5,11,12,13 Por este motivo, el lavado agresivo y la succión del canal femoral previo a la inserción del cemento y presurización es recomendado encarecidamente para disminuir la cantidad de émbolos enviados a la circulación sanguínea.
El sistema de lavado CarboJet® consiste en un chorro de CO2 comprimido, combinado con un sistema de succión que es una alternativa al clásico sistema de lavado pulsátil con suero salino, con la ventaja teórica de enviar menor cantidad de émbolos a la circulación durante el procedimiento de la cementación, dado que la sangre y los restos de grasa serían eliminados de forma agresiva del canal femoral. Curiosamente, algunos autores han comunicado que su uso podría prevenir la embolia gaseosa en la cirugía de cadera.6 Sin embargo, por su mecanismo de acción puede ser considerado una fuente de émbolos de gas de alta velocidad en el interior del canal. En nuestro caso, la arritmia y el posterior paro cardiorrespiratorio ocurrieron inmediatamente tras el empleo del CarboJet®, por lo que parece claro que hay una relación causa-efecto. Por tanto, una vez descartadas otras complicaciones más importantes, finalmente la causa del paro cardiorrespiratorio se atribuyó a un mecanismo de embolia gaseosa. La embolia gaseosa es una complicación quirúrgica muy poco frecuente que consiste en la entrada de aire hacia la circulación sanguínea, generalmente a través de los vasos venosos. Ésta es más frecuente en neurocirugía y cirugía cardíaca y raramente se produce en cirugía ortopédica. En la patogenia del embolismo gaseoso, los factores más importantes son la velocidad de penetración del gas y aquellos factores que evitan el colapso venoso. Una vez que el aire ha alcanzado la circulación venosa, llega a las cavidades derechas del corazón a través del sistema cava y los émbolos son conducidos hacia las arterias pulmonares provocando disfunción pulmonar. Sin embargo, puede haber problemas no pulmonares. La circulación pulmonar puede ser saltada por un foramen oval permeable o por shunts intrapulmonares. Un embolismo coronario puede producir arritmia cardíaca o paro cardiorrespiratorio, debido a la inestabilidad eléctrica o shock cardiogénico como consecuencia de infarto de miocardio extenso.14 La incidencia real es difícil de determinar, ya que depende de la sensibilidad de los métodos de detección, además de que la mayoría de éstos son subclínicos.15
Según nuestro conocimiento, no se ha comunicado ningún caso de embolismo gaseoso por CO2 en la literatura, aunque algunos autores han publicado esta complicación con el uso de sistemas de lavado pulsátil con suero salino.16
Con objeto de prevenir una eventual paro cardiorrespiratorio durante el proceso de cementación, parece ser prioritario identificar los pacientes que presentan un riesgo incrementado de desarrollar "síndrome de la cementación", basándonos en la historia clínica médica y quirúrgica, especialmente el estado cardiológico. Estos pacientes deberían ser tratados con especial cuidado durante la cirugía, sobre todo antes de la cementación. Los anestesistas que colaboran con el área de traumatología en Exeter han desarrollado un protocolo agresivo de aporte de fluidos mediante infusión de coloide o cristaloide, dada su elevada experiencia en reemplazo de cadera cementado.11 Puesto que algunos eventos pueden ocurrir en el momento del lavado de canal, este protocolo podría ser extendido también a la fase de fresado y lavado de canal. Como conclusión, la técnica de cementación debería ser considerada con precaución en los pacientes de elevado riesgo, sobre todo cardiológico. Recomendamos establecer protocolos intraoperatorios para minimizar los problemas asociados con el "síndrome de la cementación" en dichos pacientes, siempre en colaboración con el Servicio de Anestesiología.
REFERENCIAS
1. Miyamoto RG, Kaplan KM, Levine BR, Egol KA, Zuckerman JD: Surgical management of hip fractures: an evidence-based review of the literature. I: femoral neck fractures. J Am Acad Orthop Surg. 2008; 16: 596-607. [ Links ]
2. Farahmand BY, Michaelsson K, Ahlbom A, Ljunghall S, Baron JA: Survival after hip fracture. Osteoporos Int. 2005; 16: 1583-90. [ Links ]
3. Schneppendahl J, Betsch M, Petrov V, Bottner F, Thelen S, Grassmann JP, et al: Recovery after hip fractures: influence of bipolar hemiarthroplasty on physical disability and social dependency in the elderly. Hip Int. 2011; 21: 751-6. [ Links ]
4. Azegami S, Gurusamy KS, Parker MJ: Cemented versus uncemented hemiarthroplasty for hip fractures: a systematic review of randomized controlled trials. Hip Int. 2011; 21: 509-17. [ Links ]
5. Halawa M, Lee AJ, Ling RS, Vangala SS: The shear strength of trabecular bone from the femur, and some factors affecting the shear strength of the cement-bone interface. Arch Orthop Trauma Surg. 1978; 92: 19-30. [ Links ]
6. Harvey PB, Smith JA: Prevention of air emboli in hip surgery. Femoral shaft insufflation with carbon dioxide. Anaesthesia. 1982; 37: 714-7. [ Links ]
7. Kalteis T, Pforringer D, Herold T, Handel M, Renkawitz T, Plitz W: An experimental comparison of different devices for pulsatile high-pressure lavage and their relevance to cement intrusion into cancellous bone. Arch Orthop Trauma Surg. 2007; 127: 873-7. [ Links ]
8. García-Martínez MR, Veiga-Ruíz GM, Rodríguez-Pérez JM, Lax-Pérez R: Air embolism after cleaning the intramedullary canal with a high pressure CO2 wash in hip fracture. Rev Esp Anestesiol Reanim. 2013; 60(6): 353-4. [ Links ]
9. Benjamín JB, Gie GA, Lee AJ, Ling RS, Volz RG: Cementing technique and the effects of bleeding. J Bone Joint Surg Br. 1987; 69: 620-4. [ Links ]
10. Parvizi J, Holiday AD, Ereth MH, Lewallen DG: The frank stinchfield award. Sudden death during primary hip arthroplasty. Clin Orthop Relat Res. 1999; 369: 39-48. [ Links ]
11. Sierra RJ, Timperley JA, Gie GA: Contemporary cementing technique and mortality during and after Exeter total hip arthroplasty. J Arthroplasty. 2009; 24: 325-32. [ Links ]
12. Donaldson AJ, Thomson HE, Harper NJ, Kenny NW: Bone cement implantation syndrome. Br J Anaesth. 2009; 102: 12-22. [ Links ]
13. Michel R: Air embolism in hip surgery. Anaesthesia. 1980; 35: 858-62. [ Links ]
14. Uchida S, Yamamoto M, Masaoka Y, Mikouchi H, Nishizaki: A case of acute pulmonary embolism and acute myocardial infarction with suspected paradoxical embolism after laparoscopic surgery. Heart Vessels. 1999; 14: 197-200. [ Links ]
15. Edmonds CR, Barbut D, Hager D, Sharrock NE: Intraoperative cerebral arterial embolization during total hip arthroplasty. Anesthesiology. 2000; 93: 315-8. [ Links ]
16. Sides CA: Pulsed saline lavage causing venous air embolism in a patient with Paget's disease. Br J Anaesth. 1996; 76: 330-1. [ Links ]
Nota
Este artículo puede ser consultado en versión completa en: http://www.medigraphic.com/actaortopedica













