Introducción
México es uno de los principales productores y exportadores de miel de abejas (Apis mellifera L.) en el mundo y el estado de Jalisco destaca como uno de los tres primeros productores en la república mexicana (SIAP 2021). La apicultura mexicana está siendo afectada por múltiples factores que reducen su productividad, incluyendo la africanización de las colonias de abejas melíferas (Guzmán-Novoa et al. 2020). La africanización es el proceso mediante el cual genes de abejas melíferas de razas africanas fluyen e inmigran a poblaciones de abejas de razas europeas, lo que ocurre principalmente mediante apareamientos de abejas reinas europeas con zánganos de origen africano, o por la usurpación de abejas reinas de ancestría africana a colonias de abejas de origen europeo (Schneider et al. 2004). En México, el proceso de africanización de las poblaciones de abejas melíferas empezó aproximadamente en 1986 (Guzmán-Novoa 2004) y fue el resultado de la hibridación de subespecies europeas, principalmente A. m. mellifera y A. m. ligústica, que existían en el país, con el híbrido de una subespecie de abeja melífera del sur del continente africano (A. m. scutellata) que fue introducida a Brasil en 1956 (Kerr 1967) y que migró desde ese país hasta Norteamérica durante más de tres décadas. Este cruzamiento dio lugar a lo que actualmente conocemos como abejas africanizadas (Guzmán-Novoa et al. 2011).
La africanización de las abejas cambió por completo la apicultura, ya que trabajar con abejas africanizadas implicó que los apicultores tuvieran que adaptarse a una serie de cambios en el manejo de las colonias como consecuencia del alto grado de comportamiento defensivo, migratorio y menor productividad de éstas (Guzmán-Novoa et al. 2020). Entre estos cambios se han tenido que reubicar apiarios, usar más equipo de protección y manejo, implementar el cambio anual de abejas reinas, aumentar la alimentación artificial, e incluso modificar la manera de cosechar la miel. Estos cambios implican una mayor inversión y por lo tanto, elevan los costos de producción (Guzmán-Novoa et al. 2020). Se ha reportado que la frecuencia de africanización de las colonias de abejas puede variar por efectos del medio ambiente (Uribe-Rubio et al. 2003). En un estudio a nivel nacional, Domínguez-Ayala et al. (2016) compararon marcadores morfométricos y de ADN mitocondrial para evaluar la distribución de genes africanos y europeos en poblaciones de abejas de las cinco regiones apícolas de México y el posible efecto del clima en su distribución. Al asociar los resultados de los análisis del mitotipo y morfotipo, se encontró que el genotipo europeo se encuentra con mayor frecuencia en las regiones del Norte y Centro del país, mientras que, en las regiones tropicales del Pacífico, Golfo y Península de Yucatán, predomina el genotipo africano.
Dada la importancia del estado de Jalisco para la apicultura mexicana, la polinización de cultivos agrícolas y la producción de miel (Contreras Escareño et al. 2013), es necesario conocer el grado de africanización de las colonias de abejas en el estado para determinar su posible impacto y poder diseñar estrategias de control en beneficio de la industria apícola. Aunque existe un estudio previo en el que se analizaron muestras de abejas del estado de Jalisco para estudiar su ancestría africana, su tamaño de muestra fue reducido (Domínguez-Ayala et al. 2016). Por lo anterior, el objetivo del presente trabajo fue determinar la ancestría africana o europea de colonias de abejas melíferas en seis regiones de clima templado y subtropical en el estado de Jalisco, México, mediante análisis morfométricos y de ADN mitocondrial.
Materiales y métodos
Toma de muestras y localidades
Al inicio de la primavera de 2018 se colectaron muestras de abejas obreras adultas de 365 colmenas conteniendo colonias de abejas melíferas a las que no se le había cambiado la reina por al menos un año. Estas colonias estaban ubicadas en apiarios establecidos en seis diferentes regiones subtropicales y templadas del estado de Jalisco, México (Tabla 1). Los municipios muestreados de las regiones subtropicales están localizados a una altitud promedio de 1 314.2 ± 24.1 metros sobre el nivel del mar (msnm), con un rango de 568-1699 msnm, temperatura y precipitación anual promedio de 22.2 °C y 1 117 mm, respectivamente, mientras que las regiones templadas están localizadas a una altitud promedio de 2 096.8 ± 34.2 msnm con rango de 1 700-2 520 msnm con temperatura y precipitación anual promedio de 14.1° C y 801 mm, respectivamente (CEAJ 2023).
Tabla 1 Regiones, municipios, zonas, apiarios y número de colonias de abejas melíferas muestreadas en el estado de Jalisco, México.
| Región | Municipio | Zonas | No. apiarios | No. colonias |
|---|---|---|---|---|
| Altos | Lagos de Moreno | Templada | 2 | 10 |
| Tepatitlán | Templada | 3 | 15 | |
| Norte | Colotlán | Templada | 1 | 5 |
| Encarnación de Díaz | Templada | 3 | 15 | |
| Huejúcar | Templada | 1 | 5 | |
| Santa María | Templada | 1 | 5 | |
| Teocaltiche | Templada | 3 | 15 | |
| Yahualica | Templada | 3 | 15 | |
| Sur | Gómez Farias | Templada | 2 | 8 |
| Tapalpa | Templada | 3 | 16 | |
| San Gabriel | Subtropical | 2 | 10 | |
| Sayula | Subtropical | 3 | 15 | |
| Tolimán | Subtropical | 1 | 5 | |
| Zapotiltic | Subtropical | 3 | 15 | |
| Zapotlán el Grande | Subtropical | 2 | 12 | |
| Centro | Cocula | Subtropical | 3 | 15 |
| Jamay | Subtropical | 3 | 13 | |
| Tlajomulco | Subtropical | 3 | 15 | |
| Zapotlanejo | Subtropical | 3 | 15 | |
| Atotonilco | Subtropical | 2 | 11 | |
| Tonalá | Subtropical | 3 | 15 | |
| Suroeste | Autlán | Subtropical | 2 | 10 |
| Cuautitlán | Subtropical | 2 | 10 | |
| La Huerta | Subtropical | 2 | 10 | |
| Mascota | Subtropical | 3 | 15 | |
| Tonaya | Subtropical | 2 | 10 | |
| Sureste | Concepción Buenos Aires | Templada | 3 | 15 |
| Pihuamo | Subtropical | 3 | 15 | |
| Tamazula | Subtropical | 3 | 15 | |
| Tecalitlán | Subtropical | 3 | 15 | |
| Total | 73 | 365 |
La altitud de cada una de las localidades donde se tomaron muestras se registró con un receptor GPS manual (SporTrack Color, Magellan, Chino, CA, EUA). En cada región se seleccionaron 3 a 6 colonias al azar de cada apiario visitado, para colectar de cada una de ellas una muestra de aproximadamente 50 abejas obreras adultas del nido de cría. Las abejas se depositaron en un frasco de plástico de 250 ml, conteniendo una solución de etanol al 70%. Las muestras se analizaron en un laboratorio de la Facultad de Medicina Veterinaria y Zootecnia de la Universidad Nacional Autónoma de México, donde se determinó el morfotipo, mientras que en el Centro de Investigaciones en Abejas de la Universidad de Guelph, en Canadá, se determinó el mitotipo de las abejas.
Morfotipo de las muestras
Para poder clasificar a las colonias muestreadas de acuerdo al tipo morfológico de sus abejas (Africano o Europeo), se determinó la longitud de a la delantera de las abejas mediante el sistema rápido de identificación de abejas africanizadas (FABIS por sus siglas en inglés, Sylvester y Rinderer 1987). La longitud de ala es el carácter más confiable para determinar africanización en abejas por morfometría (Daly y Balling 1978). Para ello se proyectaron y midieron con una regla, las imágenes de las alas de 30 abejas por colonia y se obtuvo un promedio de ellas. Las colonias cuyas abejas tenían un promedio de longitud de ala de 9.160 mm o más, fueron clasificadas como europeas, mientras que aquellas cuyas abejas tenían longitud promedio de a la de 8.690 mm o menor, fueron clasificadas como africanizadas. Las colonias con abejas cuyo promedio de longitud de ala fue de entre 8.691 y 9.159 mm fueron clasificadas como intermedias o sospechosas (probablemente altamente hibridizadas) y fueron excluidas de los análisis para no incorporar muestras dudosas de pertenecer a una clasificación u otra.
Mitotipo de las muestras
Para poder clasificar a las colonias muestreadas de acuerdo al tipo de ADN mitocondrial (Africano o Europeo), se determinó el haplotipo mitocondrial de cada una de cinco abejas de cada colonia, para asegurar que en todas las abejas analizadas coincidiera el tipo de ADN mitocondrial, lo cual fue el caso. El ADN de las abejas fue extraído de acuerdo a Nielsen et al. (2000), para después amplificar un fragmento del ADN mitocondrial, el cual fue sometido a enzimas de restricción para generar fragmentos polimórficos (RFLPs) siguiendo la metodología de Pinto et al. (2003). Primero, un fragmento de 485 pb del gen citocromo b del ADN mitocondrial de cada abeja fue amplificado mediante la reacción en cadena de la polimerasa (PCR) con oligonucleótidos específicos. El oligonucleótido de ida fue 5’ TATGTACTACCATGAGGACAAATATC y el de reversa fue 5’ ATTACACCTCCTAATTTATTAGGAAT (Crozier et al. 1991). Las reacciones de PCR se llevaron a cabo en una termocicladora Arktik (Thermo Scientific, Missisauga, ON, Canadá). Cada reacción de 5 μL contenía 0.5 μL 10x de solución buffer para PCR (New England BioLabs, Pickering, ON, Canadá), 0.3 μL MgSO4 20 nM (Bio Basic Inc., Markham, ON, Canadá), 0.1 Μl dNTPs 10 nM (Bio Basic Inc.), 1 μL of cada oligonucleótido, 10 Μm, 1 μL de ADN, 0.1 μL de Taq-polimerasa a 5000 U/µL (Applied Biological Materials Inc. Richmond, BC, Canadá) y 1 µL de H2O destilada libre de nucleasas (Invitrogen, Burlington, ON, Canadá).
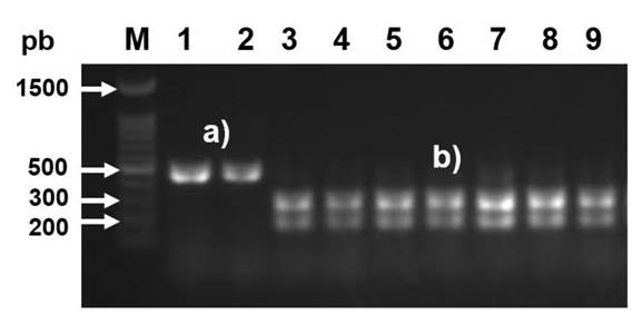
Después de amplificar los fragmentos del gen citocromo b, estos fueron tratados con la enzima de restricción Bgl II (Promega, Missisauga, ON, Canadá) para producir dos RFLPs de acuerdo con las instrucciones del fabricante. Los productos digeridos fueron separados por electroforesis en geles de agarosa al 2% que luego fueron teñidos con bromuro de etidio. Las bandas amplificadas fueron capturadas en fotografías bajo un iluminador de luz UV (Benchtop, BioDoc-ItM Imaging System, Upland, CA, EUA). La presencia de dos bandas, una de 291 y otra de 194 pb indican que el sitio de restricción se encontraba en el fragmento del gen amplificado, correspondiendo a ADN mitocondrial europeo, mientras que una sola banda de 485 pb indica ausencia del sitio de restricción, lo que es diagnóstico de ADN mitocondrial africano (Figura 1).

Figura 1 Fotografía de un gel de agarosa que muestra a) bandas de 485 pares de bases (pb) de un fragmento del gen citocromo oxidasa (COI) en las columnas 1 y 2 y b) bandas de 291 y 194 pb en las columnas 3 a 9, producto de la digestión del fragmento del gen COI por la enzima de restricción BgI II. El mitotipo africano corresponde a la presencia de una sola banda de 485 pb, mientras que el mitotipo europeo corresponde a la presencia de las bandas de 291 y 194 pb.
Análisis estadísticos
Para determinar si hubo diferencias en las proporciones de colonias clasificadas como europeas o africanas de acuerdo a su morfotipo o mitotipo a nivel del estado, así como dentro y entre regiones, las frecuencias de estas clasificaciones se analizaron con pruebas de comparación de proporciones con la corrección de probabilidad de Benjamini-Hochberg. Los datos de altitud sobre el nivel del mar de la ubicación de las colonias, así como los de longitud de ala, no siguieron una distribución normal de acuerdo a la prueba de Shapiro-Wilk. La altitud media (msnm) de la ubicación de las colonias con mitotipo o morfotipo africano fue comparada con la de colonias con mitotipo o morfotipo europeo con pruebas de Wilcoxon, por no encontrarse una transformación matemática apropiada para normalizar los datos. Los datos de longitud de ala fueron transformados con la función inversa al poder de 8 antes de ser analizados y junto con los de altitud donde se encontraban las colonias muestreadas, fueron usados para realizar análisis de regresión lineal y de correlación de rangos de Spearman. Para los análisis estadísticos se usó el paquete R 4.0.3. (R Core Team 2020).
Resultados
Ancestría africana y europea de las colonias de abejas en Jalisco y sus regiones
Más del 50% de las colonias de abejas de Jalisco tuvieron mitotipo y morfotipo africano (59.0 y 62.5%, respectivamente). Además hubo diferencias en la frecuencia entre mitotipos y entre morfotipos europeos y africanos χ2 = 21.2 y χ2 = 41.6, p < 0.0001 para mitotipo y morfotipo, respectivamente) siendo estas frecuencias significativamente mayores para colonias de ancestría africana que para colonias de ancestría europea (Figura 2).

Figura 2 Frecuencia (%) de colonias de abejas melíferas con mitotipo africano o europeo (N = 334) y de colonias con morfotipo africano o europeo (N = 339) en el estado de Jalisco, México. Letras diferentes indican diferencias significativas basadas en pruebas de comparación de proporciones con la corrección de probabilidad de Benjamini-Hochberg.
A nivel regional, la frecuencia de colonias de abejas con mitotipo y morfotipo africanos fue mayor que las de mitotipo y morfotipo europeos en regiones de clima cálido, y lo opuesto se observó en regiones de clima templado. Las colonias ubicadas en dos de las tres regiones de Jalisco con mayor altitud donde se colectaron muestras de abejas (Altos y Sur) tuvieron frecuencias de mitotipo Europeo de 67 y 76%, respectivamente, las cuales fueron significativamente mayores que las de mitotipo africano (p < 0.01). En contra posición, para las regiones más bajas y más cálidas (Centro, Suroeste y Sureste), el mitotipo africano de las colonias fue significativamente más frecuente que el mitotipo europeo (65-87%, p < 0.01). Por otro lado, la proporción de colonias con morfotipo africano fue significativamente mayor que la de colonias con morfotipo europeo en las tres regiones más bajas y cálidas (Centro, Suroeste y Sureste; 69-83%; p < 0.01), mientras que en las regiones más templadas (Altos, Norte y Sur), no hubo diferencias significativas para la frecuencia del morfotipo de las colonias (p > 0.05; Tabla 2). La región menos africanizada fue la región de los Altos, mientras que las más africanizadas fueron las regiones Centro, Suroeste y Sureste.
Tabla 2 Frecuencia de colonias de abejas melíferas clasificadas como africanas o europeas por mitotipo (% Mit A, % Mit E, respectivamente) o por morfotipo (% Mor A, % Mor E, respectivamente) en seis regiones de Jalisco, México.
| Región | N | % MitA | % MitE | p | % MorA | % MorE | p |
|---|---|---|---|---|---|---|---|
| Altos | 25 | 24.0 | 76.0a | <0.0100* | 40.0 | 60.0a | 0.2600 |
| Norte | 48 | 42.0 | 58.0a,b | 0.1500 | 42.0 | 58.0a | 0.1500 |
| Sur | 76 | 33.0 | 67.0a | <0.0001* | 43.0 | 57.0a | 0.1400 |
| Centro | 84 | 87.0 | 13.0c | <0.0001* | 83.0 | 17.0b | <0.0001* |
| Suroeste | 52 | 79.0 | 21.0c | <0.0001* | 81.0 | 19.0b | <0.0001* |
| Sureste | 54 | 65.0 | 35.0b,c | <0.0100* | 69.0 | 31.0b | <0.0100* |
*Significancia basada en pruebas de comparación de proporciones con corrección de probabilidad de Benjamini-Hochberg. Letras diferentes entre regiones indican diferencias significativas (p < 0.05) basadas en pruebas múltiples de comparación de proporciones con corrección de probabilidad de Benjamini-Hochberg.
Relación entre la ancestría de las colonias de abejas y altitud (msnm)
El efecto del clima y la altitud en la africanización de las colonias de abejas melíferas de Jalisco fue evidente. El promedio de altitud (msnm) en que se encontraban ubicadas las colonias con mitotipo o morfotipo africano fue significativamente más bajo que el de las colonias con mitotipo o morfotipo europeo (p < 0.01, Tabla 3).
Tabla 3 Altitud promedio en msnm ± E. E. de ubicación de colonias de abejas melíferas con mitotipo africano o europeo y de colonias con morfotipo africanoo europeo en el estado de Jalisco, México.
| Genotipo | N | Africano | Europeo |
|---|---|---|---|
| Mitotipo | 334 | 1414 ± 31.9b | 1558 ± 39.1a |
| Morfotipo | 339 | 1390 ±29.0b | 1646 ± 42.4a |
Letras diferentes entre mitotipos o entre morfotipos africano y europeo indican diferencias significativas basadas en pruebas de Wilcoxon (p < 0.01).
La altitud (msnm) a la que se encontraban los apiarios tuvo efecto sobre la longitud de ala de las abejas analizadas, la cual es una variable indirecta del tamaño de los insectos. La altitud estuvo significativamente asociada con la longitud de ala (t = 9.9, p < 0.01) y el valor de la R2 = 0.225, indica que el 22.5% del cambio en la longitud de las alas de las abejas puede ser explicado por la altitud a la que se encontraban ubicados los apiarios. Al incrementarse la altitud a la que los apiarios estaban ubicados, también se incrementó el tamaño del ala anterior de las abejas (Figura 3). Además, se encontró correlación positiva y significativa entre la longitud de ala de las abejas y la altitud a la que se encontraban sus colonias (r = 0.51, n = 338, p < 0.01), lo que indica que a menor altitud, hubo mayor grado de africanización de las abejas, ya que las abejas africanizadas son de menor tamaño que las abejas de ancestría europea.

Figura 3 Relación entre longitud promedio de a la delantera (mm) de abejas melíferas y altitud sobre el nivel del mar de la ubicación de sus colonias en el estado de Jalisco, México (N = 339). La regresión se hizo con datos transformados al poder de 8. En la figura se presentan datos no transformados.
Discusión
Ancestría africana y europea de las colonias de abejas en Jalisco y sus regiones.
La mayoría de las colonias fueron clasificadas como africanizadas tanto por morfometría como por ADN mitocondrial y su ancestría estuvo relacionada con la región y la altitud en las que se encontraban las colonias. La frecuencia de colonias con abejas de mitotipo y morfotipo africano fue significativamente mayor a la de colonias con abejas de mitotipo y morfotipo europeo, por lo que puede concluirse que más del 50% de las colonias de abejas manejadas en el estado de Jalisco son africanizadas. En otros estados de México se ha reportado un menor frecuencia de colonias africanizadas. Por ejemplo, un estudio encontró frecuencias de 48, 50 y 21% de mitotipos africanos en colonias de abejas de Sonora, Baja California Norte y Baja California Sur, respectivamente (Zamora et al. 2008). Mientras que, en Zacatecas, las frecuencias del mitotipo y morfotipo africano en colonias de abejas fueron del 22.5 y 42.4%, respectivamente (Medina-Flores et al. 2015). Por lo tanto, al parecer, existe una mayor frecuencia colonias de abejas africanizadas en Jalisco en comparación con estados del norte de México. En contraposición, las colonias de abejas de estados del sureste de México y los de la península de Yucatán, tienen una más alta proporción de colonias de abejas africanizadas que Jalisco, de acuerdo a evidencia morfométrica y de ADN mitocondrial (Clarke et al. 2002, Domínguez-Ayala et al. 2016, Gómez Leyva et al. 2021). Es posible que el proceso de africanización de las abejas melíferas en Jalisco se encuentre en un punto intermedio entre el sureste y el norte del país por razones geográficas (intermedio entre ambas zonas). Sin embargo, esta y otras posibles explicaciones sobre la africanización de las abejas melíferas en Jalisco requiere futuras investigaciones.
En un estudio que incluyó al estado de Jalisco, Domínguez-Ayala et al. (2016) reportaron los mitotipos y morfotipos de colonias de abejas melíferas de las cinco regiones apícolas de la república mexicana; los investigadores reportaron frecuencias del 65% y 17% para el morfotipo y mitotipo africano, respectivamente, en el estado de Jalisco. El valor del morfotipo es similar al de este estudio, pero el del mitotipo es inferior, lo cual puede deberse a que utilizaron solo 40 muestras para todo el estado. Por lo anterior, los resultados de este estudio son más confiables y representativos sobre la ancestría europea y africana de las colonias de abejas melíferas de Jalisco y de sus regiones.
Relación entre la ancestría de las colonias de abejas y altitud (msnm)
Se encontró mayor frecuencia de colonias de abejas de ancestría africana que de ancestría europea en regiones bajas de climas cálidos, que en regiones altas de climas templados. Además, las abejas de colonias ubicadas en localidades bajas tuvieron alas significativamente más cortas que las de localidades altas. También se encontró relación positiva y significativa entre la longitud del ala anterior de las abejas y la altitud a la que se encontraban las colonias. Es decir, a mayor altitud, hubo menor grado de africanización, mientras que a menor altitud hubo mayor grado de africanización. Por ello, la región de los Altos fue la menos africanizada, mientras que las regiones de menor altitud (Suroeste, Centro y Sureste), fueron las más africanizadas. Al respecto se sabe que la altitud es uno de los factores que influyen en el tipo de clima y vegetación de un territorio determinado. A menor altitud, predominan climas más cálidos y húmedos (tropicales y subtropicales) que favorecen la reproducción y diseminación de colonias de abejas africanizadas (Medina-Flores et al. 2015). Lo anterior, explica que exista una relación negativa entre altitud y grado de africanización en las colonias de abejas del estado de Jalisco. Esto se debe a que las abejas africanizadas están mejor adaptadas a climas tropicales, que predominan en zonas bajas, en comparación con climas templados, que predominan en zonas altas, por lo que las condiciones ambientales de zonas elevadas pueden limitar la introgresión de genes africanos a las poblaciones de abejas. Además, el tipo de vegetación en estas regiones proporciona menos recursos florales y sitios de anidación para las abejas, lo que evita que las colonias de abejas africanizadas puedan desarrollar con rapidez su población, enjambrar con mayor frecuencia y establecer poblaciones silvestres, a diferencia de lo que ocurre con colonias africanizadas en climas cálidos, donde los recursos florales son más abundantes y las abejas tienen más opciones para reproducirse, enjambrar y anidar (Schneider et al. 2004). Por ello, en sitios bajos se establecen más colonias de ancestría africana que producen más zánganos que las colonias de ancestría europea y así se saturan de machos africanizados las zonas de congregación donde ocurren los apareamientos (Rinderer y Hellmich 1991). Esto lleva a un flujo desequilibrado y diferencial de genes, con una mayor introgresión de genes africanos hacia poblaciones de abejas europeas, en comparación con el flujo de genes europeos hacia poblaciones de abejas africanizadas, contrariamente a lo que ocurre en zonas altas (Guzmán-Novoa et al. 2020).
Las predicciones iniciales de los efectos de la africanización a la apicultura mexicana eran pesimistas (Guzmán-Novoa y Page 1994), en gran parte debido a que las abejas africanizadas son más defensivas y producen menos miel que las colonias de abejas europeas (Breed et al. 2004, Guzmán-Novoa y Uribe-Rubio 2004). Además del comportamiento defensivo y de la baja producción de miel, también eran motivo de preocupación el aumento en los costos de alimentación y manejo de las colonias (Guzmán Novoa et al. 2011), lo que podía implicar que la apicultura dejara de ser rentable. Aunque la producción de miel en México disminuyó durante el proceso de africanización, la disminución no fue tan severa como en países de Centroamérica. En el caso particular del estado de Jalisco, la producción de miel no se vio afectada, ya que en 1995 y 1996 ocurrió una ligera disminución que coincidió con la colonización de las abejas africanizadas. En los años siguientes, la producción se recuperó y paso de 5 mil a 6 mil toneladas en 1998; producción que se ha mantenido al mismo nivel en años recientes, ya que la producción de miel del estado ha oscilado entre 5 667 y 6 059 toneladas anuales entre 2018 y 2020 (SIAP 2021). Sin embargo, aunque el proceso de africanización parece no haber ocasionado las pérdidas en la producción de miel que se esperaban, los apicultores deben considerar reducir el grado de africanización de las colonias que manejan para evitar problemas asociados a la defensividad de éstas y para que su producción no se vea afectada. Hacer el cambio anual de reinas con reinas provenientes de criadores certificados y que implementen programas de mejoramiento genético es la mejor opción para mitigar los efectos adversos de la africanización de colonias de abejas melíferas como lo demuestran varios estudios realizados en México, incluyendo el estado de Jalisco (Guzmán Novoa et al. 1997, Guzmán Novoa y Page, 1999, Esquivel et al. 2015, Arechavaleta-Velasco y Guzmán Novoa 2001).
Las abejas melíferas africanizadas tienen algunas ventajas sobre las europeas. Por ejemplo, los linajes de abejas africanizadas que existen en México tienen un mayor grado de resistencia al ácaro parasitario Varroa destructor, en comparación con abejas de ancestría europea (Guzmán-Novoa et al. 2012, Medina-Flores et al. 2014). También son más resistentes que las abejas europeas a la cría de cal (Medina-Flores et al. 2022) y a virus patógenos (Ramos-Cuellar et al. 2022). Lo anterior, conduce al debate de considerar la aceptación de cierto grado de africanización en las colonias de abejas melíferas en beneficio de la sanidad de las mismas y de la economía del apicultor. Quizá se puede alcanzar un compromiso de equilibrio costo-beneficio, permitiendo cierto grado de africanización en las colonias de abejas en programas de mejoramiento genético (Guzmán Novoa 2007). Al respecto, se sabe que un 25% de africanización no hace a las colonias de abejas significativamente más defensivas que las europeas (Guzmán Novoa y Page 1993) y este bajo grado de africanización podría al mismo tiempo proveer mayor resistencia a las abejas contra varias enfermedades. Los resultados demuestran que la mayoría de las colonias de abejas melíferas del estado de Jalisco, México, están africanizadas y que la frecuencia de colonias africanizadas es mayor en regiones de baja altitud y en climas subtropicales, que en regiones de mayor altitud con climas templados. Se recomiendan estudios futuros para determinar si la africanización de las colonias de abejas aumenta o se mantiene en equilibrio. Estos estudios permitirán diseñar estrategias de amortiguamiento de los efectos negativos de la africanización de las abejas en Jalisco y otros estados de México.
Conclusiones
La frecuencia de colonias con abejas de mitotipo y morfotipo africano fue mayor a la de colonias con abejas de mitotipo y morfotipo europeo, por lo que puede afirmarse que más del 50% de las colonias de abejas en el estado de Jalisco son africanizadas. Hubo mayor frecuencia de ancestría africana que europea en las colonias de abejas melíferas en regiones bajas y de clima cálido de Jalisco y menor en regiones altas de climas templados. Así mismo, en localidades bajas, las abejas mostraron alas más cortas que en localidades altas, es decir, a mayor altitud, hubo un menor grado de africanización de las abejas y viceversa. La región de los Altos, la de mayor altitud, fue la menos africanizada y las regiones del Suroeste, Centro y Sureste, que son las de menor altitud, fueron las más africanizadas de acuerdo a la frecuencia de colonias con morfotipo y mitotipo africano.










nueva página del texto (beta)



