INTRODUCCIÓN
La tuberculosis (TBC) existe desde épocas milenarias y sigue siendo uno de los mayores problemas de salud pública a nivel global. Según datos de la Organización Mundial de la Salud (OMS) 2017, es causa de aproximadamente de 10 millones de muertes al año principalmente en relación con el VIH/SIDA (1,6). De acuerdo a datos de la OMS En el año 2013 fueron notificados en Venezuela aproximadamente 6857 nuevos casos de tuberculosis, de los cuales 1163 fueron casos de TBC extrapulmonar y 461 (7 %) eran menores de 15 años. Para el año 2016 se vio un incremento del número de casos, cuando fueron notificados aproximadamente 8542 nuevos casos de tuberculosis, de los cuales 14% eran de TBC extrapulmonar y menos del 1% en menores de 15 años. (2).
La espondilitis tuberculosa, también llamada enfermedad de Pott, se define como una osteítis o caries de las vértebras, que suelen aparecer como una complicación de la tuberculosis de los pulmones, representa el 1-5% de los casos y aproximadamenteel 50% de la tuberculosis osteo-articular (3,7). A pesar de todos los avances tecnológicos, el diagnóstico de la espondilitis tuberculosa sigue siendo un desafío, ya que depende de un alto grado de sospecha clínica. No obstante, la baja mortalidad reportada para ésta, aún se asocia con una morbilidad clínica significativa. Esta enfermedad consta de tres fases: de comienzo, de destrucción y de reparación, que conllevan una evolución clínica que, de ocurrir un retraso diagnóstico significativo, puede conducir a deformidades esqueléticas graves y complicaciones neurológicas irreversibles (4,5,8). En este sentido, y considerando que se ha observado un incremento de la frecuencia enfermedad de Pott en Venezuela, el propósito del presente estudio es reportar un caso de TBC vertebral y revisar la literatura disponible haciendo énfasis en el manejo quirúrgico de esta patología, la importancia de su publicación radica en compartir los resultados obtenidos con el tratamiento quirúrgico.
CASO CLÍNICO
Femenino de 14 años de edad, quien refiere inicio de enfermedad actual nueve meses antes de su ingreso, caracterizado por dolor dorsolumbar, febrícula ocasional y diaforesis nocturnas, motivo por el cual acude a facultativo en pediatría quien evidencia esplenomegalia y refiere a hematólogo. En este servicio se indica tratamiento médico sin presentar mejoría clínica, por lo que al persistir el dolor es referida a especialista en reumatología quien indica estudios de laboratorios e imágenes. Dos semanas antes de su ingreso cae de su propia altura presentando paraparesia, motivo por el cual es remitida al servicio de neurocirugía del Hospital Universitario de Caracas donde se evalúa y se decide su ingreso. Entre sus antecedentes personales solamente se refiere hepatoesplenomegalia seis meses antes de su ingreso, niega alergia a medicamentos, sin contactos epidemiológicos de importancia.
Examen físico: Fuerza muscular 1/5 en ambos miembros inferiores nivel de miotomo L2, hiperreflexia aquileana y patelar (III/IV), sensibilidad superficial y profunda conservada, sin trastornos esfinterianos. Se realizan paraclínicos en sangre que reportaron para su ingreso, leucocitosis (11.200 leucocitos por mm3) con ligera neutrofilia, velocidad de sedimentación globular (VSG) 20 mm en una hora (considerado normal de acuerdo a la referencia del laboratorio), proteína C reactiva (PCR) elevada 6 veces su valor normal, PPD positivo, resto dentro de límites normales. La serología para virus de inmunodeficiencia humana resultó negativa.
El estudio de tomografía computarizada (TC) de columna vertebral mostró lesiones erosivas (geodas) y fractura de los cuerpos vertebrales en el segmento T3, T4, T7, T8 y T9 con compromiso de la altura de los cuerpos vertebrales afectados y otra geoda en cuerpo vertebral de L2 (Figura 1).

Figura 1 Tomografía de columna vertebral preoperatorias. A: Corte sagital. B: corte axial en T3 y T4. C: Corte axial T8. Observe las lesiones erosivas (geodas) y fractura de los cuerpos vertebrales en el segmento T3, T4, T7, T8 y T9.
El estudio de resonancia magnética (RM) de columna vertebral reveló lesiones múltiples de ubicación extradural en T3, T4, T7, T8 y T9, hipointensas en la secuencia T1 y T2 con relación al líquido cefalorraquídeo, que ocupa partes blandas anteriores adyacentes y cuerpos vertebrales de T3, T4, T7, T8 y T9, que abarca además pedículos y elementos posteriores de dichas vertebras que condiciona reducción del canal medular y compresión anterior de la médula y colapso de cuerpos vertebrales de T3, T4, T7 y T8, con disminución de la altura de los mismos y aplastamiento de discos intervertebrales de T3-T4 y T7-T8 (Figura 2).

Figura 2 Resonancia magnética (RM) de columna dorsal. A: Corte sagital. B: Corte axial en T4. C: Corte axial T7. Se observan lesiones múltiples de ubicación extradural en T3, T4, T7, T8 y T9, que abarca elementos posteriores de dichas vertebras con invasión de canal medular y compresión anterior de la médula, además se observa colapso de cuerpos vertebrales de T3, T4, T7 y T8, con disminución de la altura de los mismos, y aplastamiento de discos intervertebrales de T3-T4 y T7-T8.
Finalmente, los estudios radiográficos de tórax y la tomografía de tórax no evidenciaron lesiones. La paciente ingresó al servicio de neurocirugía con los siguientes diagnósticos: 1. Síndrome de motoneurona superior secundario a compresión medular por lesión ocupante del espacio en T3 secundarios a: 1.1 Fracturas patológicas de T3- T4, T7-T8 y 1.2 Enfermedad de Pott T3, T4, T7, T8 y T9, y 2. Síndrome de compresión medular. Para su manejo, la paciente fue llevada a cirugía y mediante abordaje por vía posterior, se le practicó laminectomía completa bilateral de T3, T4, T7, T8, T9 preservando las articulaciones facetarias, más artrodesis instrumentada con ganchos sublaminares en T1-T2, colocación de alambres sublaminares en T5 y T6, colocación de tornillos transpediculares en T11, más dos barras de titanio. Se toman muestras para biopsia y cultivo para micobacterias de lesión blanco-grisácea de aspecto grumoso. (Figura 3).

Figura 3 Imágenes del transoperatorio. Lesión delimitada por el instrumento y la flecha (A). Artrodesis instrumentada (B).
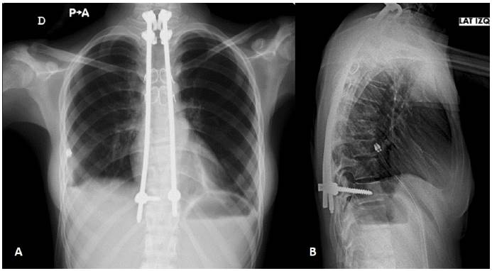
En el postoperatorio inmediato la paciente presenta disnea y tos, con matidez a la percusión y abolición de murmullo vesicular de hemitórax derecho, con lo que se plantea derrame pleural que ameritó colocación de tubo de tórax, evidenciando la presencia de exudado lechoso, fue valorada por servicio de neumología quien indica iniciar tratamiento con rifampicina, etambutol e isoniazida. El estudio de rayos X de tórax post-toracotomía muestra derrame pleural y presencia de la instrumentación (Figura 4).

Figura 4 Radiografía de anteroposterior (A) y lateral (B) de tórax posoperatoria. Observe la disposición del material de osteosíntesis.
El reporte de anatomía patológica en los preparados histológicos con coloración de hematoxilina y eosina, mostró abundante infiltrado inflamatorio de linfocitos, plasmocitos y ocasionales polimorfonucleares con abundantes células gigantes de Langerhans y extensas zonas de necrosis, hay tejido fibroblástico con proliferación de vasos sanguíneos de pequeño tamaño, sin evidencia de agentes infecciosos, atipias ni neoplasias. concluyendo inflamación crónica granulomatosa necrotizante. El cultivo con la tinción de Ziehl Neelsen reportó presencia de bacilos ácido alcohol resistentes, confirmando el diagnóstico de la enfermedad de Pott.
La tomografía tomada en el postoperatorio evidenció restitución de la altura de cuerpos vertebrales (Figura 5) y reducción de la angulación relativa del plano sagital preoperatoria y posoperatoria de 36,5° a 26,1°. La paciente mejora clínicamente y fue dada de alta. Actualmente, su evolución clínica es satisfactoria dado que recupera la fuerza muscular, deambula sin ayuda y realiza sus actividades cotidianas.
DISCUSIÓN
La espondilitis tuberculosa ha afectado a la humanidad desde tiempos de los reyes de Egipto (3400 aC). Hipócrates, considerado el padre de la cirugía de columna vertebral (100-300 aC), describió la tuberculosis espinal y la deformidad gibosa tuberculosa en su trabajo sobre articulaciones. Muchos siglos después, en 1779, Sir Percival Pott describió la enfermedad tuberculosa de la columna vertebral y sus secuelas de paraplejia como “ese tipo de parálisis de las extremidades inferiores que con frecuencia acompaña a la curvatura de la columna vertebral”. Pott también describió la clásica tríada clínica de la tuberculosis espinal (cifosis, abscesos y paraplejía), que luego se denominó criterio diagnóstico de tuberculosis (6).
La espondilitis tuberculosa es más frecuente en varones adultos. Suele diseminarse por vía hematógena desde el sistema respiratorio o genitourinario, aunque también pueden colonizar la columna por extensión directa. Afecta por orden de frecuencia a la columna dorsal, lumbar y cervical (8). Clínicamente se manifiesta con dolor en un 83-100% de los casos y síntomas constitucionales, incluida la fiebre y diaforesis nocturna (9) como en el caso presentado. Las deformidades de la columna vertebral y el déficit neurológico son las peores complicaciones presentes en la espondilitis tuberculosa hasta en un 45%, según lo reportado (10). De acuerdo a una casuística publicada recientemente la prevalencia de espondilitis tuberculosa es notablemente más alta en pacientes portadores del virus de inmunodeficiencia humana representando un 76% de los casos (11).
En cuanto a los métodos diagnósticos de la enfermedad de Pott, clásicamente las imágenes de la TBC espinal demuestran la enfermedad del cuerpo vertebral en las vértebras contiguas. La extensión subligamentosa del absceso debajo del ligamento longitudinal anterior o posterior a una vértebra adyacente es un hallazgo clásico. El disco intervertebral se involucra a medida que la enfermedad progresa. En la enfermedad avanzada, hay colapso de los elementos espinales y acuñamiento anterior que conduce a una angulación severa y formación de gibas (12), el diagnóstico es altamente presuntivo en paciente con clínica parecida a la presentada por esta paciente. La RM es el estudio de imagen de elección donde el hallazgo más frecuente es la espondilolistesis, reducción de los espacios en el disco en otros segmentos, erosiones irregulares y destrucción focal en placas de los extremos adyacentes del músculo psoas. También se mencionan la presencia de una colección epidural anterior como un signo de enfermedad activa (24) y la confirmación bacteriológica.
En el manejo de la enfermedad de Pott se ha demostrado que el drenaje percutáneo guiado por TC combinado con la cirugía de abordaje posterior es seguro y eficaz para el tratamiento de la tuberculosis espinal dorsal y lumbar con enormes abscesos iliopsoas en adultos (13). Sin embargo, aún existe la controversia en relación con el tratamiento quirúrgico, la técnica de desbridamiento y artrodesis, bien sea por vía anterior vs vía posterior vs combinación anterior y posterior, que se describen a continuación. El tratamiento clásico de la espondilitis tuberculosa consiste en desbridamiento anterior e injerto estructural con cresta iliaca, peroné o costilla conocida como técnica de Hong Kong, sin embargo, estos injertos pueden sufrir fracturas, deslizamiento y deformidad (8,14). El desbridamiento anterior radical seguido de la reconstrucción con injerto estructural clásicamente se ha mencionado que es el patrón de oro del tratamiento quirúrgico de la enfermedad de Pott (8). Jin et al, estudiaron 23 pacientes con tuberculosis de la columna toracolumbar en fase de destrucción realizando desbridamiento radical, autoinjerto estructural e instrumentación anterior con placas y tornillos, recibieron tratamiento antituberculoso por nueve meses y utilizaron corset por seis meses, concluyendo que el autoinjerto e instrumentación intercorporales anterior en una etapa muestran más ventajas en pacientes seleccionados porque pueden proporcionar suficiente estabilidad segmentaria a la columna vertebral afectada, una buena corrección de la deformidad cifótica y la promoción de la fusión ósea. En combinación con la quimioterapia estándar, la reconstrucción temprana de la estabilidad espinal juega un papel importante en el tratamiento quirúrgico de la tuberculosis espinal. La quimioterapia regular y el mantenimiento de la estabilidad espinal son la estrategia principal para el tratamiento de cualquier tuberculosis espinal y no se pueden separar (15), sin embargo, se han notificado las complicaciones inherentes al tratamiento como lo son ruptura pleural intraoperatoria, lesión de los nervios, lesiones vasculares, tromboembolismos pulmonares después de la cirugía, íleo paralítico en incluso diabetes insípida (16).
En pacientes en fases destructivas iniciales, con cifosis leve o en aquellos muy debilitados, una alternativa de tratamiento es la descompresión posterior (laminectomía) asociada a una instrumentación transpedicular con artrodesis posterolateral, en una única intervención (17,18) similar al caso presentado. Gao et al (2017), realizaron abordaje por vía posterior en 54 pacientes con esta patología y compararon dos técnicas, cesta intersomática de titanio más tornillos transpediculares, dos niveles por encima y dos por debajo de la lesión y otro grupo con injerto autólogo de cresta iliaca más tronillos transpediculares, encontrando que, a los nueve meses de evolución, en todos los casos, hubo fusión de los cuerpos vertebrales (19). Cui et al (2016) estudiaron 81 pacientes con enfermedad de Pott en la columna torácica que se sometieron a instrumentación anterior o posterior combinada con diferentes métodos de desbridamiento, la descompresión y fusión del injerto, dio como resultado que la instrumentación posterior fue más efectiva que la anterior en la corrección de la cifosis y el mantenimiento de la corrección (20). En otro estudio multicéntrico, realizado por Wu et al (2018), del tratamiento quirúrgico de la tuberculosis de la columna torácica concluyó que la fijación posterior fue superior a la anterior en la corrección de la cifosis y el mantenimiento de la estabilidad espinal. La cirugía posterior en un solo paso puede lograr la misma eficacia que la cirugía sólo ésta o combinada, con menos trauma y pérdida de sangre, y tiempos quirúrgicos más cortos. Sin embargo, para lesiones anchas o abscesos paraespinales, destrucción ósea severa y defectos de columna anterior y media que son demasiado grandes, después del desbridamiento como para requerir un injerto óseo de segmento largo, el abordaje anterior combinado es indispensable (21). En un estudio bibliométrico publicado recientemente, que incluyó del año 2000 a 2016, realizado por Fisahn et al (2017) recomendó el abordaje quirúrgico anterior para la columna cervical y posterior para la columna torácica y lumbar. El combinado (anterior más posterior) preferentemente en los casos pediátricos. El grado de corrección de la deformidad, los resultados neurológicos y la fusión forman las bases principales para evaluar los resultados quirúrgicos (22). Por lo que la individualización de cada caso es fundamental, similar al caso presentado cuyo abordaje fue por vía posterior obteniendo buenos resultados en el postoperatorio.
En resumen, la tuberculosis toracolumbar puede resolverse de manera adecuada mediante abordaje anterior o posterior en una etapa, con desbridamiento, injerto óseo y fijación interna, siendo el posterior el que tiene ventajas de menor traumatismo y una mejor corrección de la deformidad (23).










nueva página del texto (beta)



