Introduction
Obesity has become a worldwide epidemic and it has nearly tripled since 1975. According to data from the World Health Organization (WHO), in 2016, more than 1.9 billion adults, 18 year old and older, were overweight. Over 650 million of these were obese1. Obesity and overweight together according to the National Institutes of Health are the second leading cause of preventable death in the United States2.
Obesity prevalence has increased progressively since the 1980s in Mexico. Obesity affects actually over 30% of the adult population3. By 2050, more people will be obese than overweight and there will be 12 million cumulative incidence cases of diabetes and 8 million cumulative incidence cases of heart disease3. In this country, there is a global average of 38% overweight (defined as body mass index (BMI) > 25 kg / m2), and 21 % obesity (BMI > 30 kg / m2). The prevalence of overweight is higher in men (41.1 %) than in women (35.6%), while the prevalence of obesity is inverse, higher in women (21.5%) than in men (14.9%)4.
On the other hand, chronic liver disease has several etiologies. The main etiology worldwide is chronic alcohol abuse, followed by viral hepatitis and nonalcoholic fatty liver disease (NAFLD) 5. NAFLD includes simple steatosis, non-alcoholic steatohepatitis (NASH) and NAFLD induced cirrhosis. The epidemiology of NAFLD is usually parallel to the prevalence of obesity, but a percentage of patients have normal body mass index (BMI)6. In Korea, the prevalence of <NAFLD< increased from 18.6% in 1998-2001 to 21.5% in 2016-2017 (almost 3%)7. NAFLD increased from 20.0% (1988-1994) to 31.9% (2013-2016) (almost 12%)8 in USA.In general terms, NAFLD affects 25.24% of the world population9.
NAFLD is characterized by an accumulation of lipids in the form of triglycerides (steatosis) in the liver parenchyma (≥ 5%), in the absence of excessive alcohol intake (< 20 g / day) or other chronic liver diseases and it is considered as expression in the liver of the metabolic syndrome9. The diagnosis of NASH requires the exclusion of other liver diseases, such as alcoholic liver disease, viral hepatitis and Wilson disease6. The exact prevalence of NASH in the general population is unknown.
A study in young individuals with overweight or obesity (37.1 years old, ± 13.5) performed in Mexico showed that 57% (290/505) of the studied population was at risk for nonalcoholic steatohepatitis10. Non-alcoholic hepatic steatosis is the most frequent cause of chronic alterations in liver function tests in asymptomatic individuals10.
Some models predict that if the epidemic of obesity and diabetes mellitus continues like now, NAFLD and NASH prevalence will increase, especially NASH, with a calculated increase of 15-56%11.
Therefore, the objective of this postmortem study was to determine the frequency of hepatic steatosis/hepatitis in a case series of apparently asymptomatic individuals who died suddenly due to traffic accidents without previous report of liver disease. The study of this sample could provide a clearer idea of the frequency of liver morphological changes in asymptomatic subjects.
Materials and Methods
The protocol was reviewed and approved by the responsible Institution.
Autopsies were performed at the Coroner’s Office, Municipality of Boca del Río, Veracruz, Mexico, during January to December 2016. It was a convenience sample that ultimately included 32 forensic cases.
Inclusion criteria. The corpses of individuals, 16-year-old and older, with eight or less hours since declared death in a traffic accident, were included.
Exclusion criteria. Excluded cases were those with macroscopic liver damage, a known background of viral or chronic liver disease, alcoholism, and positive toxicological tests for alcohol and/ or drugs of abuse.
The variables studied included age, sex, weight, height, abdominal perimeter, fat panicle thickness and direct cause of death. The thickness of the adipose panicle was measured in situ at the level of the lower border of the umbilical scar, once the longitudinal incision for the autopsy had been made.
After measuring and weighing the liver, two1x1x1 cm, wedge biopsies were performed wedge biopsies corresponding to the lateral segment of left lobe and posterior segment of right lobe; subsequently, they were fixed with 4% buffered formalin for 24 hours. Hematoxylin & eosin and Masson’s trichrome stains were performed, and biopsies were analyzed with a light microscope by a certified pathologist according to the NASH CRN Scoring System table 1; with this score system, a NAS score of ≥ 5 correlates with a diagnosis of ‘‘definite NASH’’ whereas NAS ≤3 correlates with a diagnosis of ‘‘not NASH12.
Table 1 NASH CRN Scoring System: NAS and Fibrosis Score
| Steatosis Grade | LobularInflammation | Hepatocellular Ballooning | Fibrosis Score | ||||
|---|---|---|---|---|---|---|---|
| D* | (%) | D | F** | D | F | D | F |
| 0 | <5% | 0 | None | 0 | None | 0 | None |
| 1 | 5-33 | 1 | <2 foci/20x optical field | 1 | Mild, few | 1a | Mild (delicate) zone 3 perisinusoidal fibrosis |
| 1b | Moderate (dense) zone 3 perisinusoidal fibrosis | ||||||
| 2 | 33-66 | 2 | 2-4 foci/20x optical field | 2 | Moderated/ marked, many | 1c | Portal/periportal fibrosis only |
| 2 | Zone 3 perisinusoidal fibrosis with portal/ periportal fibrosis | ||||||
| 3 | >66 | 3 | >4 foci/20x optical field | 3 | Bridging fibrosis | ||
| 4 | Cirrhosis | ||||||
Source: According to Puri and Sanyal12 D*: Degree F**: Findings NAS: Nonalcoholic fatty liver disease activity score
Ethical considerations: This study does not include personal data. Forensic autopsies do not require authorization from family members and they are carried out at the request of the State, represented by the prosecuting attorney accordingto the Code of Criminal Procedures and the General Law of Health; however, the protocol was registered at the General Attorney, which approved the study and sampling.
Results
During the period from May 4, 2016 to November 15, 2016, 32 cases that met the inclusion criteria previously discussed were documented and collected. All deaths were instantaneous. The toxicological test ruled out recent drugs or alcohol intake. 78.1% of the 32 cases studied, (n=25) were males and 21.8% (n=7) were females. The average age was 48 years old with a range of 20-80 years old table 2.
Table 2 Age, sex, BMI and abdominal perimeter.
| A* | S | Weights and measures | BMI | Liver biopsy (NASH CRN Classification) | |||
| Liver (g) | Waist (cm) | AP (cm) | ST grade | Lobular I | |||
| 37 | F | 1500 | 72 | 3 | 23.3 NL | 0 | 0 |
| 75 | F | 1650 | 95 | 5 | 33.0 O-I | 0 | 0 |
| 65 | M | 1450 | 82 | 2 | 23.8 NL | 0 | 0 |
| 25 | M | 1740 | 80 | 3 | 27.0 OW | 0 | 0 |
| 23 | M | 1450 | 78 | 4 | 20.55 NL | 0 | 0 |
| 36 | F | 1700 | 90 | 6 | 25.9 OW | 0 | 0 |
| 58 | M | 1100 | 64 | 1 | 24.98 NL | 0 | 0 |
| 55 | M | 1750 | 89 | 3 | 27.68 OW | 1 | 0 |
| 35 | M | 1700 | 72 | 2 | 23.66 NL | 0 | 0 |
| 38 | M | 1450 | 80 | 5 | 31.89 O-I | 2 | 1 |
| 29 | M | 1500 | 65 | 3 | 25.71 OW | 3 | 1 |
| 48 | M | 1600 | 78 | 5 | 25.95 OW | 1 | 0 |
| 32 | M | 1450 | 68 | 4 | 22.23 NL | 0 | 0 |
| 84 | M | 1650 | 72 | 3 | 23.03 NL | 0 | 0 |
| 67 | M | 1700 | 87 | 6 | 28.34 OW | 0 | 0 |
| 71 | M | 1450 | 72 | 2 | 19.84 NL | 0 | 0 |
| 47 | M | 1850 | 84 | 7 | 29.07 OW | 0 | 0 |
| 72 | M | 1650 | 70 | 2 | 19.84 NL | 0 | 0 |
| 40 | F | 1450 | 60 | 4 | 19.81 NL | 0 | 0 |
| 20 | F | 1300 | 60 | 2 | 17.36 LW | 0 | 0 |
| 33 | M | 1650 | 86 | 4 | 27.36 OW | 0 | 0 |
| 67 | M | 1575 | 89 | 4 | 25.06 OW | 0 | 0 |
| 65 | M | 1650 | 70 | 2 | 22.31 NL | 0 | 0 |
| 44 | M | 1750 | 72 | 2 | 23.53 NL | 1 | 0 |
| 35 | M | 1780 | 92 | 6 | 28.09 OW | 1 | 0 |
| 85 | M | 1650 | 80 | 6 | 27.44 OW | 1 | 0 |
| 62 | M | 1700 | 69 | 2 | 22.49 NL | 0 | 0 |
| 46 | F | 1600 | 79 | 7 | 31.25 O-I | 3 | 1 |
| 28 | M | 1600 | 80 | 3 | 23.39 NL | 0 | 0 |
| 56 | M | 1450 | 78 | 3 | 24.00 NL | 1 | 0 |
| 25 | F | 1450 | 71 | 7 | 24.09 NL | 3 | 1 |
| 31 | M | 1750 | 89 | 6 | 29.07 OW | 1 | 0 |
Source: Own data
The body mass index (BMI) range was 17-33; no grade II- IV obesity was observed. The abdominal perimeter ranged between 60-95 cm.
The thickness range of the adipose panicle was 1-7 cm, with the following distribution according to weight: normal weight, 1-4 cm (mode=2); overweight, 3-7 cm (mode= 6), and grade I obesity, 5-7 cm (mode= 5). The weight of the liver had a range of 1300 to 1850 g table 3.
Table 3 Findings from liver biopsy, weights and measures
| A* | S | Weights and measures | BMI | Liver biopsy (NASHCRN Classification) | ||||
| Liver (g) | Waist (cm) | AP (cm) | ST grade | Lobular I | ||||
| 37 | F | 1500 | 72 | 3 | 23.3 NL | 0 | 0 | |
| 75 | F | 1650 | 95 | 5 | 33.0 O-I | 0 | 0 | |
| 65 | M | 1450 | 82 | 2 | 23.8 NL | 0 | 0 | |
| 25 | M | 1740 | 80 | 3 | 27.0 OW | 0 | 0 | |
| 23 | M | 1450 | 78 | 4 | 20.55 NL | 0 | 0 | |
| 36 | F | 1700 | 90 | 6 | 25.9 OW | 0 | 0 | |
| 58 | M | 1100 | 64 | 1 | 24.98 NL | 0 | 0 | |
| 55 | M | 1750 | 89 | 3 | 27.68 OW | 1 | 0 | |
| 35 | M | 1700 | 72 | 2 | 23.66 NL | 0 | 0 | |
| 38 | M | 1450 | 80 | 5 | 31.89 O-I | 2 | 1 | |
| 29 | M | 1500 | 65 | 3 | 25.71 OW | 3 | 1 | |
| 48 | M | 1600 | 78 | 5 | 25.95 OW | 1 | 0 | |
| 32 | M | 1450 | 68 | 4 | 22.23 NL | 0 | 0 | |
| 84 | M | 1650 | 72 | 3 | 23.03 NL | 0 | 0 | |
| 67 | M | 1700 | 87 | 6 | 28.34 OW | 0 | 0 | |
| 71 | M | 1450 | 72 | 2 | 19.84 NL | 0 | 0 | |
| 47 | M | 1850 | 84 | 7 | 29.07 OW | 0 | 0 | |
| 72 | M | 1650 | 70 | 2 | 19.84 NL | 0 | 0 | |
| 40 | F | 1450 | 60 | 4 | 19.81 NL | 0 | 0 | |
| 20 | F | 1300 | 60 | 2 | 17.36 LW | 0 | 0 | |
| 33 | M | 1650 | 86 | 4 | 27.36 OW | 0 | 0 | |
| 67 | M | 1575 | 89 | 4 | 25.06 OW | 0 | 0 | |
| 65 | M | 1650 | 70 | 2 | 22.31 NL | 0 | 0 | |
| 44 | M | 1750 | 72 | 2 | 23.53 NL | 1 | 0 | |
| 35 | M | 1780 | 92 | 6 | 28.09 OW | 1 | 0 | |
| 85 | M | 1650 | 80 | 6 | 27.44 OW | 1 | 0 | |
| 62 | M | 1700 | 69 | 2 | 22.49 NL | 0 | 0 | |
| 46 | F | 1600 | 79 | 7 | 31.25 O-I | 3 | 1 | |
| 28 | M | 1600 | 80 | 3 | 23.39 NL | 0 | 0 | |
| 56 | M | 1450 | 78 | 3 | 24.00 NL | 1 | 0 | |
| 25 | F | 1450 | 71 | 7 | 24.09 NL | 3 | 1 | |
| 31 | M | 1750 | 89 | 6 | 29.07 OW | 1 | 0 | |
Source: Own data A: Age; Sx: Sex; AP: adipose panicle; ST: Steatosis; I: Inflammation. BMI (body mass in dex); NL: normal; OW: overweight; OB-I: Obesity grade I.
The study of cases with low or normal BMI, without steatosis, showed that of 14 cases with normal histology, one (7.1%) was a woman with low IBM and 13 (92.9%) had normal IBM.Two of these were women and 11 were men. The women in this group had a liver weight of 1300 and 1500 g, with an average of 1416 g. In the group of men, the range was between 1100-1700 g with an average of 1531 g.
Finding in cases with overweight / obesity, without steatosis, were as follows: There were seven cases, 71.4% (n=5) men and 28.6 % (n=2) woman. The liver weight range in men was 1575-1850 g, while the overweight woman had a liver of 1700 g. There was also a woman with grade I obesity (liver, 1650 g).
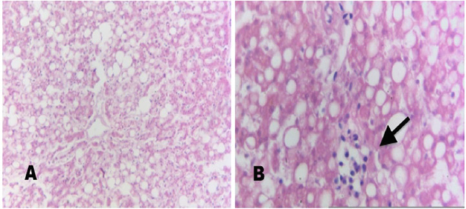
In liver biopsies, fibrosis and ballooning degeneration of hepatocytes were not documented, and steatosis grades 1-3, was observed figure 1. Of the 32 cases studied, 34% (n=11) presented steatosis table 3. The distribution of steatosis by grade was as follows: grade I, 7 cases; grade 2, 1 case, and grade 3, 3 cases. In 12.5% (n=4), mild inflammation was observed that coincided with the three cases of grade 3-steatosis, and the case of grade 2-steatosis. With a maximum score of 4, the steatohepatitis activity in this sample was “indeterminate”.
Discussion
Non‐alcoholic fatty liver disease (NAFLD) is a complex entity characterized by steatosis, and it can progress to nonalcoholic steatohepatitis (NASH), fibrosis, and ultimately hepatocellular carcinoma13,14.
NAFLD is associated with obesity and metabolic syndrome. Hepatic steatosis is related to body adiposity, especially central obesity15. However, in this study, central obesity was found only in a 36-years-old, over-weight women with 90 cm of abdominal circumference and in 75-years-old women with obesity grade I, and abdominal circumference of 95 cm. Neither one had hepatic steatosis.
In the other hand, the thickness of the adipose panicle appeared to be related to the increase in body weight, in such a way that no corpses of subject with normal IBM had more than 4 cm of adipose panicle. In overweight and obesity grade I subjects, the maximum thickness was 7 cm. There is a relationship between obesity as cause of death and increased thickness of adipose panicle for values between 8.5 and 9.5 cm16.
The liver is about 2% of the weight of an adult17. Livers in this study weighed between 1.6 and 2.9% of body weight. The corps with livers corresponding to 2.7-2.9% of body weight, had normal or low body weight. Therefore, it is feasible to observe even grade 3-steatosis in subjects with a normal BMI and an adequate liver weight. In fact, in some forensic studies, liver steatosis has been detected in 15% of non-obese subjects, in 65% of obese ones and in 85% of those with morbid obesity18.
According to NAFLD Activity Score12,19, a score of ≥ 5 NASH is required to diagnose steatohepatitis. In this sample, steatosis was very frequent (34.4%). However, although in 12.5%, mild inflammation was observed, the score was not enough to diagnose hepatitis. If we realize that these individuals were clinically asymptomatic and were mostly only overweight, the findings are worrisome. All the cases with liver inflammation had steatosis and one subject had normal weight, one was overweight and two had obesity grade I. However, although in 12.5%, mild inflammation was observed, the score was not enough to diagnose hepatitis in these cases. Therefore, having a patient with a normal body mass index does not rule out the possibility of having a fatty liver disease.
There is a wide variability for the development of fatty liver, favored among other things, by genetic polymorphisms combined with other factors such as excess intake of calories, high-fructose syrup beverage consumption and lack of exercise20.
These polymorphisms include the I148M PNPLA3 variant21 as well as the TM6SF2, MBOAT7 and GCKR genes21,22. The isoleucine to methionine substitution at position 148 in the patatin-like phospholipase domain containing 3-protein (PNPLA3 gene; I148M variant) is associated with steatosis and an increased risk of chronic liver disease ranging from hepatitis to hepatocellular carcinoma21. Carriers of the PNPLA3 gene variant develop an excess of adiposity in childhood and are at higher risk of developing fatty liver23.
Genetic variant TM6SF2 E167K induces increased hepatocyte fat content by reducing circulating apolipoprotein B100 levels22. Also, rs641738 C>T variant in the locus that contains the membrane bound O-acyltransferase domain-containing 7 gene (MBOAT7, also called LPIAT1) is associated with lower protein expression in the liver and changes in plasma phosphatidylinositol species24. It seems to be an association between the MBOAT7 rs641738 gene variant and the development and severity of NAFLD in individuals of European descent24.
A Mexican study reported that PNPLA3, LYPLAL1, GCKR and PPP1R3B polymorphisms were associated with higher triglyceride content in the liver25. The study of these variants in subjects with steatosis would highlight those individuals with a higher risk of evolving to steatohepatitis.
Most studies of the prevalence of NAFLD have been performed using ultrasonography (US), computed tomography or magnetic resonance spectroscopy methods26. In spite of recent advances, histology remains the gold standard for diagnosis of NAFLD; therefore, this postmortem study provided valuable material of asymptomatic subjects, impossible to obtain by other means.
The prevalence of NAFLD in the general population is very variable. It affects 30% of the United States of America population27. In Iran, NAFLD prevalence in 116 cases of young cadaveric organ donors was 13% and 80% had mild hepatic steatosis28.
In 2006, two different US studies in asymptomatic Mexican population showed a NAFLD prevalence of 15.7-17%29,30. Although, this postmortem preliminary study is limited by the size of the sample, the lack of genetic polymorphisms analysis and of liver functional tests, it found that the percentage of asymptomatic subjects affected by steatosis is higher than that reported in previous studies in Mexican population29,30. Furthermore, 27.3% of the cases with NAFLD had a normal BMI. Public policies based on population education and the abolition of junk food production are required. A reduction in both, high-fructose syrup beverage production and consumption in individuals of all ages should be sought31. It has been proven in animal models that, these beverages are metabolized to glyceraldehyde (GA) in the liver and GA- derived advanced glycation end-products are generated and may induce the onset/progression of non-alcoholic fatty liver disease31. In the same way the increase in physical activity and the promotion of healthy and balanced food should be part of public health policies. Returning to the milpa diet32 the healthy eating model of Mesoamerican origin, which has milpa products (corn, beans, chili and squash) as its nutritional center is a nutritionally balanced option and bring drinking water to all communities must be part of the strategies to combat this growing pathology.
Conclusions
The 34 % of subjects without symptoms of liver disease, who died in traffic accidents, had hepatic steatosis. This suggests that the problem of silent steatosis in Mexico, is greater than previously thought and requires the establishment of national timely measures to prevent it and to detect early complications.










nueva página del texto (beta)




