Introduction
The need for cheaper and more ecological means of transport has led to the rising use of e-scooter on a daily basis and as an occasional rental given de widespread rental services among big cities since 2017. Electric scooters usually speed up to 25km/h allowing the rider to travel on roadways and bicycle lanes.1
There are some studies that analyze risk factors and injuries secondary to accidents with e-scooter, most of them on TBI and bone fractures, being abdominal trauma a rare condition. There is just one article on renal traumatism after this type of accident published by an Italian center.2
The purpose of this article is to raise awareness on the rising cases of renal traumatism after e-scooter accidents and present our case series including diagnosis, treatment and follow up.
Methods
A retrospective review was conducted of all patients with renal injury after an e-scooter accident presented to the emergency room over a year. Demographic, risk factors, injury mechanism, riding speed and treatment received were collected to investigate the frequency and outcome of such injuries over the duration of our search. This study used a descriptive analysis. A literature review on PubMed database was performed to investigate injuries caused by electric scooter use.
Results
A total of five patients were included with a mean age of 34 years, being one woman and four men. All patients completed at least 24 hours at the ICU, with a mean hospital stay of eight days, four of them needing a mean ICU stay of 48 hours. A contrasted CT scan was performed in all cases as a diagnosis method and in the follow up of AAST ≥III while AAST <III cases were followed with US. The American Association for the Surgery of Trauma (AAST) renal injury scale was used to classify each case and determine the correct treatment.
Case 1
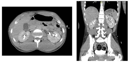
A 36-years-old male with renal polycystic disease, presented to the ER with abdominal pain and gross hematuria after falling from an e-scooter and having an abdominal traumatism in the right flank against the e-scooter handlebar while riding it at 20km/h. Physical examination revealed pain with the right flank palpation without peritoneal irritation signs. A CT scan was performed revealing a hemorrhagic cyst with no other alteration (Figure 1 & 2). Being classified as a AAST grade I, the patient received conservative management, then went home with a normal glomerular filtration rate (GFR) and hemoglobin with an order for a US for the ambulatory follow up within a month.
Case 2
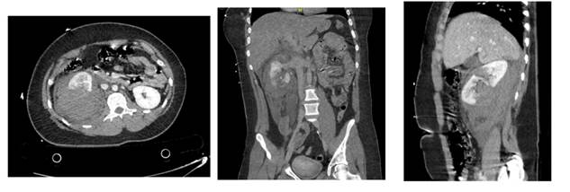
A 55-years-old male with no medical history, presented to de ER with left chest and abdominal pain after being crashed by a car while riding an e-scooter at 15km/h on a crosswalk. Physical examination centered pain mostly on the ribs, with tender abdomen and no pain while its palpation. The CT scan showed a left pneumothorax, lingula contusion, two broken left ribs, and a subcapsular hematoma of the left kidney (Figure 3 & 4), being classified as an AAST grade III, the patient was hospitalized for close vigilance, and maintained stable throughout the whole admission with normal GFR and hemoglobin, receiving a conservative management. The follow up CT scan showed resolution of lesions.
Case 3
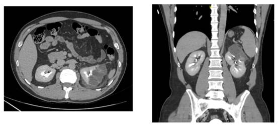
A 42-years-old male with no medical history, presented to the ER of another center with abdominal pain after falling from an e-scooter at 30km/h while riding it under alcohol influence, 3 days later the patient presented to our ER for persistence of pain. Physical examen showed pain with the abdominal palpation but without alarming findings. A CT scan was performed noticing a left kidney inferior pole hypoperfusion, a spleen laceration, and a left lung contusion (Figure 5 & 6). Classified as a AAST grade IV, the patient was hospitalized for close vigilance, kept stable during hospital admission with normal GFR and hemoglobin therefore receiving a conservative management and was sent home with no complications. The follow up CT showed resolution of the lesions.
Case 4
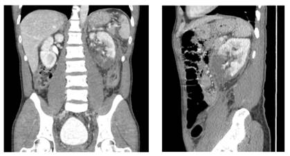
A 19-years-old male with no medical history, presented to the ER with abdominal pain after crashing against a light pole with an e-scooter at 60km/h while trying to avoid a car. Physical exam showed many bruises and left abdominal pain. The CT scan showed four broken right ribs, right pulmonary contusion and pneumothorax, splenic laceration, and left kidney corticomedullar laceration with lesion of the collecting system (Figure 7 & 8) which required a double J stent placement.

Axial and coronal planes. A 13mm corticomedullar laceration of the left kidney with lesion of the collecting system. Spleen laceration
Figure 7 & 8 Contrasted abdominopelvic CT scan
The patient was hospitalized and 5 days later suffered sudden abdominal pain with nausea and vomiting, making a follow up CT scan necessary, which revealed a right kidney hypoperfusion (not present before) and left retroperitoneal hematoma with active arterial bleeding (Figure 9 & 10), requiring a selective embolization of the bleeding arterial branch. The patient recovery went without any more incidences and was followed with a CT scan with resolution of lesions and double J stent removal, and a normal GFR and hemoglobin.
Case 5
A 19-years-old female with no medical history, presented to the ER with abdominal contusion and pain after falling from an e-scooter while riding it at 30km/h under alcohol influence. Physical exam showed many bruises, low consciousness, a bigger bruise in the right flank and significant pain with the palpation on an unstable patient. The CT scan showed liver lacerations and a shattered right kidney (Figure 11, 12 & 13) that ended with an urgent nephrectomy (Figure 14). The patient had a postoperative recovery with no incidences and went home with a normal GFR and hemoglobin, being followed afterwards with an ambulatory CT scan and renal function monitoring.

Axial, coronal and sagittal planes. Liver lacerations and a shattered right kidney.
Figure 11, 12 & 13 Contrasted abdominopelvic CT scan
Discussion
Most e-scooter riders are young males that use this transportation method for short distances or because of poor access to public transportation. Even though big cities have laws and regulations on the public use of e-scooter not all of them have the capacity to ensure their enforcement.3
Some cities have considered the use of e-scooters a threat to public health and safety therefore banning their public use because of the high number of accidents.3,4 While others do not have clear policies on the matter. In Spain, the legislation on the use of e-scooters was established in 2020 which contemplate the use of helmet, maximum speed of 30km/h, use of reflective vest at night, having a circulating certificate, minimum age of 16 years, and fines for violation of these laws and riding under alcohol or drugs influence.5
It has been noticed that most accidents occur at the evening or at night without the correct use of reflective gear, helmet, and commonly related to intoxication, in up to 50% of cases that required hospital admission, which is clearly a risk factor for severe injuries. Not only important for the urge to heightened regulation, but for the necessity of investigate further given the distorted anamnesis.3
Polytraumatized patients in this context presented to the ER frequently have lesions on the head and neck (27%) being many of them managed non-operatively and approximately a 10% requiring surgical intervention. In second place comes extremity injuries (25%), needing surgical interventions more frequently than the first group of patients mentioned. Lesions in this context are unpredictable, and visceral injuries (10%) though rare should be kept in the back of the mind.3,6 Fortunately, renal injuries are uncommon due to kidneys protected anatomical location, ranging lesions between 0.3% and 3% of trauma victims.2
All articles reviewed recollect lesions on e-scooter riders and mention lesions on pedestrians hit by riders without being able to determine the percentage of people affected specifically by this means of transportation.1
Many authors agree on the public health issue generated by the high costs of hospital admission and surgical interventions needed after e-scooter accidents, and we are not the exception.3,4
Conclusion
While e-scooters are an easy-access means of transportation, users are left vulnerable to accidents which have led to increasing visits to the ER for this cause, becoming a growing concern and public health matter. Accidents on e-scooters have become a new cause and mechanism of renal traumatism to have in mind in polytraumatized patients in this context, and even though lesions usually resolve without surgical intervention, sometimes they are much needed, and consequences of the traumatism and surgical intervention as loss of a renal unit are yet to come. Also, it would be convenient a greater regulation in respect to speed limit, lanes to transit on, protection measures and penalization for riding under the influence.










nueva página del texto (beta)








