SciELO - Scientific Electronic Library Online

 
vol.83 número4Malacoplaquia de la vejiga urinaria: reporte de caso y revisión sistemáticaCorynebacterium urealyticum: un patógeno frecuentemente responsable de casos de cistitis y pielitis incrustadas índice de autoresíndice de materiabúsqueda de artículos
Home Pagelista alfabética de revistas  

Servicios Personalizados

Revista

Articulo

Indicadores

Links relacionados

  • No hay artículos similaresSimilares en SciELO

Compartir


Revista mexicana de urología

versión On-line ISSN 2007-4085versión impresa ISSN 0185-4542

Rev. mex. urol. vol.83 no.4 Ciudad de México jul./ago. 2023  Epub 16-Jun-2025

https://doi.org/10.48193/revistamexicanadeurologa.v83i4.1054 

Clinical cases

Renal mucosa-associated lymphoid tissue lymphoma: a case report and literature review

Linfoma de tejido linfoide asociado a mucosa renal: reporte de un caso y revisión de la literatura

Andrés Felipe Córdoba, Conception, design, Supervision, Data collection, Writing1 
http://orcid.org/0000-0003-1019-5473

Roberto Franco Villalba-Bachur, Data collection, Analysis and interpretation, Literature review1  * 
http://orcid.org/0000-0002-4488-3568

Juan Camean, Analysis and interpretation, Literature review1 
http://orcid.org/0000-0002-4100-5743

Joaquín Chemi, Analysis and interpretation, Literature review1 
http://orcid.org/0000-0003-1826-5114

Jorge Jaunarena, Supervision, Writing1 
http://orcid.org/0000-0003-3059-2097

Cecilia Foncuberta, Conception, design, Critical review1 
http://orcid.org/0000-0003-0028-6558

Gustavo Villoldo, Conception, design, Critical review1 
http://orcid.org/0000-0003-1119-5336

1Instituto Alexander Fleming, Buenos Aires, Argentina.


Abstract

Background:

Renal MALT lymphoma is a rare entity with few reports in the literature. These neoplasms arise at extranodal sites, usually related with chronic inflammation due to infection or autoimmune disorder and share histologic and immunophenotypic features. To date, 10 cases of renal MALT lymphoma have been described.

Case presentation:

We present a case of a MALT renal lymphoma in a 69-year-old woman with suspected preoperative diagnosis of renal cell carcinoma (papillary vs chromophobe type), RENAL SCORE 9p. We performed a retroperitoneal laparoscopic left partial nephrectomy guided by intraoperative ultrasound.

Conclusion:

There are few reports in the literature regarding renal MALT lymphoma. We consider that this might be considered as a differential diagnosis of renal mass.

Keywords: Renal lymphoma; mucosa-associated lymphoid tissue (MALT); nephrectomy

Resumen

Antecedentes:

El linfoma MALT renal es una entidad rara con pocos reportes en la literatura. Estas neoplasias surgen en sitios extraganglionares, generalmente relacionadas con inflamación crónica debida a infección o trastorno autoinmunitario, y comparten características histológicas e inmunofenotípicas. Hasta la fecha se han descrito 10 casos de linfoma MALT renal.

Presentación del caso:

Presentamos un caso de linfoma renal MALT en una mujer de 69 años con sospecha de diagnóstico preoperatorio de carcinoma de células renales (tipo papilar vs cromófobo), RENAL SCORE 9p. Se realizó nefrectomía parcial izquierda laparoscópica retroperitoneal guiada por ecografía intraoperatoria.

Conclusión:

Existen pocos informes en la literatura sobre el linfoma MALT renal. Consideramos que esto podría plantearse como diagnóstico diferencial de masa renal.

Palabras clave: Linfoma renal; tejido linfoide asociado a mucosas (MALT); nefrectomía

Background

Mucosa-associated lymphoid tissue low-grade B-cell lymphoma (MALT), first described by Isaacson and Wright in 1983,1 is recognized as a distinct subtype in the non-Hodgkin lymphoma classification and is a different group from B-cell lymphomas specified in the World Health Organization (WHO) classification.1,2 Renal involvement represents less than 1% of prevalence of MALT lymphomas.3-6

Pelstring et al. reported the first case of renal MALT lymphoma in 1991 and Colovic first described primary renal MALT lymphoma in 1999.7 They are one of the less aggressive lymphomas and often present as an indolent, localized disease and the treatment of these cases was heterogeneous, from surgical, chemotherapy, immunotherapy, to radiotherapy.7,8

Clinically, patients with renal lymphoma are usually asymptomatic or may refer nonspecific symptoms such as low back pain and/or haematuria. Diverse radiographic presentations have been reported, including single or multiple retroperitoneal masses and, in some cases, hydronephrosis or diffuse nephromegaly.9

Case Presentation

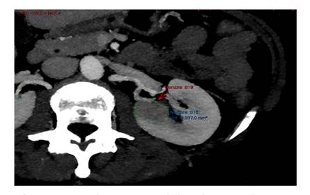
69-year-old woman with a history of IA endometrial cancer treated with adnexa-hysterectomy in March 2021. In a follow up CT scan a completely endophytic hypo-vascular tumor on the left kidney was evidenced, poorly delimited at the level of the upper polar line, approximately 30 mm in the axial plane, suggesting a papillary or chromophobe tumor. RENAL SCORE: 1+3+3+p+2=9p (Figure 1).

Figure 1 Retropyelic branch entering the tumor. Cross-section 

A retroperitoneal laparoscopic left partial nephrectomy with intraoperative ultrasound guidance was performed.

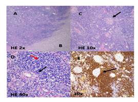
Pathological report showed microscopically alteration of the histoarchitecture, whith lymphoid proliferation that infiltrates adipose tissue and whose intraparenchymal borders are delimited from the preserved renal parenchyma. This lymphoid proliferation replaces some glomerular and ductal structures, leaving others preserved. Morphologically, no clear epithelial infiltration was observed. The cell population was predominantly made up of small lymphoid cells, some plasma cells, and very few and isolated large cells. There were few and isolated lymphoid follicles with reactive-appearing germinal centers.

Immunohistochemistry (IHC) was positive for: (Figure 2: A, B, C, D, E). CD20, CD3, CD5, CD23; cytokeratin’s: bcl-2, MIB-1. and negative for: CD10, bcl-6. Labeling CD138, Kappa light chains and Lambda light chains was also observed: indicating of isolated plasma cells remains. The final diagnosis was renal MALT type lymphoma.

A: Infiltrated renal parenchyma. B: Preserved renal parenchyma. C: oval glomerulus (indicated by arrow). D: Black arrow indicates epithelial tubule, red arrow conglomerate lymphocytes. E: IHC CD20 positive, arrow points to glomerulus.

Figure 2 Infiltration by non-Hodgkin's lymphoma b, extranodal MALT type 

The staging with PET CT, bone marrow biopsy and flow cytometry did not show distant disease.

Considered as primary renal MALT type lymphoma stage IE, no further treatment was indicated and the patient remains disease free in the follow up.

Discussion

In 2020 the French LyKID study published the largest non-autopsy lymphoma series with renal involvement, out of 87 cases only five were MALT type.10

MALT lymphomas can affect several anatomical sites and the appearance is usually preceded by an inflammatory process, mainly observed in the gastrointestinal tract, respiratory system, salivary glands, head and neck, thyroid, breast, gallbladder, cervix, and ocular adnexa.3-5,7-9,11,12

The etiology of renal MALT lymphoma is not well established. However, repetitive injury to renal lymphatics due to a chronic inflammatory process, such as chronic pyelonephritis, usually precedes the onset of the disease. Usually debut as a localized disease with slow clinical progression. However, transformation to high-grade in the late course of the disease was reported in 8% of the patients.5,13

Radiographic presentations may vary, as well as their clinical presentation.14 There are no differences in terms of imaging diagnosis since it debuts as a renal mass. The role of PET- FDG (18F-fluorodeoxyglucose positron emission tomography computed tomography) in this scenario remains debatable due to the low avidity of MALT lymphoma extranodal lesions, and their tendency to be located in tissues with physiologic [18F]FDG-uptake can make image interpretation difficult.15

In case of nodal and extranodal involvement, a diagnostic percutaneous biopsy can be considered to carry out systemic treatment. In our case it was not necessary since it was a single presentation in the kidney.

The prognosis for patients with renal MALT lymphoma is good with chemotherapy, surgical intervention, or radiation. The 5-year overall survival for MALT lymphoma in the genitourinary tract is 75.6 %, even though for those with different anatomical origins ranges from 69.1 to 87.9 % .10

Chemotherapy takes place when there is a multicentric or systemic involvement. In the literature, most patients diagnosed with B-cell lymphoma underwent cytotoxic chemotherapy with rituximab and intratecal methotrexate. Patients with MALT lymphomas have better prognosis compared with those with high grade lymphomas.12

In most cases, the diagnosis is made after nephrectomy, generally due to suspicion of another oncological lineage, and most of these patients do not require additional treatment.

Conclusions

This is a rare disease and should be considered as a differential diagnosis in the case of an atypical renal mass. Early diagnosis and timely treatment have positive results.

References

1 Isaacson P, Wright DH. Malignant lymphoma of mucosa-associated lymphoid tissue. A distinctive type of B-cell lymphoma. Cancer. 1983;52(8):1410-6. doi: https://doi.org/10.1002/1097-0142(19831015)52:8<1410::AID-CNCR2820520813>3.0.CO;2-3 [ Links ]

2 Thun EM, Linet MS, Cerhan JR, Haiman CA, Schottenfeld and D, editors. Cancer Epidemiology and Prevention. 4th ed. Oxford, New York: Oxford University Press; 2017. 1330p. [ Links ]

3 Okuno SH, Hoyer JD, Ristow K, Witzig TE. Primary renal non-Hodgkin’s lymphoma. An unusual extranodal site. Cancer. 1995;75(9):2258-61. doi: https://doi.org/10.1002/1097-0142(19950501)75:9<2258::AID-CNCR2820750911>3.0.CO;2- [ Links ]

4 Makino T, Miwa S, Koshida K, Kawashima A. Mucosa-associated lymphoid tissue lymphoma involving the kidney: a case report and review of the literature. Int Cancer Conf J. 2015;5(2):82-9. doi: https://doi.org/10.1007/s13691-015-0234-6 [ Links ]

5 Gromicho A, Araújo D, Oliveira V, Ribeiro A, Ferraz L. Mucosa-Associated Lymphoid Tissue Lymphoma Involving the Kidney and Renal Pelvis. Cureus. 2021;13(5):e15172. doi: https://doi.org/10.7759/cureus.15172 [ Links ]

6 Cavalli F, Isaacson PG, Gascoyne RD, Zucca E. MALT Lymphomas. Hematology. 2001;2001(1):241-58. doi: https://doi.org/10.1182/asheducation-2001.1.241 [ Links ]

7 Otsuki H, Ito K, Sato K, Kosaka T, Shimazaki H, Kaji T, et al. Malignant lymphoma of mucosa-associated lymphoid tissue involving the renal pelvis and the entire ureter: A case report. Oncol Lett. 2013 May;5(5):1625-8. doi: https://doi.org/10.3892/ol.2013.1221 [ Links ]

8 Polani FS, Zaidi F, Polani FS, Zaidi F. Renal Mucosa-Associated Lymphoid Tissue (MALT) Associated End-Stage Renal Disease in a Patient Presenting With Diarrhea. Cureus. 2021;13(7). Doi: https://doi.org/10.7759/cureus.16158 [ Links ]

9 Olszewski AJ, Castillo JJ. Survival of patients with marginal zone lymphoma: analysis of the Surveillance, Epidemiology, and End Results database. Cancer. 2013;119(3):629-38. doi: https://doi.org/10.1002/cncr.27773 [ Links ]

10 Garcia M, Konoplev S, Morosan C, Abruzzo LV, Bueso-Ramos CE, Medeiros LJ. MALT lymphoma involving the kidney: a report of 10 cases and review of the literature. Am J Clin Pathol. 2007;128(3):464-73. doi: https://doi.org/10.1309/0t2ukukv91w3qr6w [ Links ]

11 Kohn M, Karras A, Zaidan M, Bénière C, de Fréminville J-B, Laribi K, et al. Lymphomas with kidney involvement: the French multicenter retrospective LyKID study. Leuk Lymphoma. 2020;61(4):887-95. doi: https://doi.org/10.1080/10428194.2019.1697811 [ Links ]

12 Vannata B, Stathis A, Zucca E. Management of the marginal zone lymphomas. Cancer Treat Res. 2015;165:227-49. doi: https://doi.org/10.1007/978-3-319-13150-4_9 [ Links ]

13 Urban BA, Fishman EK. Renal lymphoma: CT patterns with emphasis on helical CT. Radiographics. 2000;20(1):197-212. doi: https://doi.org/10.1148/radiographics.20.1.g00ja09197 [ Links ]

14 Cohen D, Perry C, Hazut-Krauthammer S, Kesler M, Herishanu Y, Luttwak E, et al. Is There a Role for [18F]FDG PET-CT in Staging MALT Lymphoma? Cancers(Basel). 2022;14(3):750. doi: https://doi.org/10.3390/cancers14030750 [ Links ]

15 Asgari SA, Aval HB, Asgari SA, Kheradmand K. A unique case of kidney’s collecting system MALT lymphoma. Can Urol Assoc J. 2014;8(3-4):E172-175. doi: https://doi.org/10.5489/cuaj.1452 [ Links ]

Received: May 23, 2023; Accepted: August 27, 2023

*Corresponding author: Roberto Franco Villalba Bachur. Adress: Crámer 1180, Ciudad Autónoma de Buenos Aires, Buenos Aires, Argentina. Postal Code: 1426. Email: robertovbachur@gmail.com

Citation: Córdoba A. F., Villalba Bachur R. F., Camean J., Chemi J., Jaunarena J., Foncuberta C., et al. Renal Mucosa-associated lymphoid tissue lymphoma: a case report and literature review. Rev Mex Urol. 2023;83(4):pp: 1-6.

Ethics approval and consent to participate: We obtained the ethics approval.

Consent for publication: We obtained written consent for publication from the patients.

Availability of data and material: The information was obtained from patients medical records.

Competing interest: Authors declare that there is no conflict of interest regarding the publication of this article.

Funding: There are no funding sources.

Creative Commons License This is an open-access article distributed under the terms of the Creative Commons Attribution License