Introducción
La tuberculosis (TB) es una enfermedad infección causada por el bacilo Mycobacterium tuberculosis (Mtb), responsable de la mayoría de las muertes asociada a enfermedades infecciosas. Su principal compromiso es pulmonar, seguido de la tuberculosis genitourinaria como segunda y tercera entidad más común con manifestaciones extrapulmonares en los países en desarrollo y desarrollados respectivamente, representando del 20% al 40% de los casos de TBEP.1-5 Existe predominio masculino, se presenta a cualquier edad con prevalencia entre la cuarta y quinta década de la vida.1,4,5
Entre los órganos genitourinarios la afectación renal es la más común, aproximadamente el 80%, el epidídimo en un 22-55% y compromiso prostático del 22-49% estos órganos afectados por diseminación hematógena.1,3 La afectación aislada de los órganos genitales es del 5 a 30% asociado con reactivación primaria de los bacilos latentes.1 Se encuentran lesiones urinarias en el 91% de las mujeres y en hombres 61%,6 también presencia de únicamente tuberculosis genital, 25.3%. En concomitancia a la tuberculosis genitourinaria los pacientes presentan hipertensión arterial (55%), diabetes mellitus (21%), enfermedad coronaria (25%), insuficiencia cardiaca 13%, enfermedad renal crónica 16%, alteraciones tiroideas 13%.6
Se habla de un intervalo de 6 meses donde se produce cicatrización espontánea a nivel pulmonar y el paciente entra en una fase latente con probabilidad del 5% de reactivación en los próximos 5 años por alteraciones como desnutrición, diabetes mellitus, esteroides, inmunosupresores e inmunodeficiencia o periodos de latencia superior de 20 años en promedio,5 esto explicaría porque los pacientes pediátricos con tuberculosis renal son de baja incidencia.3 Los factores predisponentes para el desarrollo de esta patología: migración, presencia de tuberculosis previamente o contacto con un paciente con tuberculosis, viajes a región endémica, inmunodeficiencia, VIH,1,2 tratamiento deficiente permitiendo el crecimiento de bacilos resistentes a múltiples fármacos, entre otros.
Los pacientes presentan una clínica incierta retrasando el diagnóstico y abordaje oportuno,7 caracterizado por disuria, hematuria microscópica, dolor en flancos, piuria estéril, acidosis urinaria,2 infecciones recurrentes, infertilidad,5 los hallazgos de piuria estéril en el examen microscópico de la orina se considera un hallazgo clásico de afectación genitourinaria, en el examen físico masa escrotal indolora, lesiones ulcerosas del pene.1 En casos más complejos paciente con complicaciones asociadas: insuficiencia renal, enfermedad renal crónica.2,8,9
El estándar de oro es el aislamiento y cultivo del bacilo de Mycobacterium tuberculosis en muestras de orina, debido a que la baciluria es esporádica y leve, se requiere entre 3 a 9 muestras para el hallazgo. Su sensibilidad varia del 10.7% al 90%. Una desventaja que presenta es el tiempo para conocer los resultados hasta semanas.1,5 La identificación en tinción ácido-alcohol resistente de Ziejl-Neelsen presenta especificidad 96.7% sensibilidad 37.1% al 52.1% y el análisis PCR en orina cuenta con sensibilidad 94.3% a 95.6% y especificidad 85.7% a 94.3% con la desventaja para diferencia entre infección activa y latente.1 Otras pruebas realizadas con menor frecuencia es la inyección subcutánea de 20, 50 o 100 unidades de tuberculina y se considera positiva la leucocitosis, leucocituria, linfopenia y aumento de temperatura corporal a las 24 y 48 h. Después de la provocación, también se ha informado de un aumento del 16% en la detección de Mycobacterium mediante cultivo o PCR1.
La tuberculosis urogenital (TBU) debe tratarse como tuberculosis pulmonar con cuatro fármacos: isoniazida, rifampicina, etambutol y pirazinamida durante seis meses; etambutol y pirazinamida solo los dos primeros meses.1,10 Otros pacientes pueden necesitar un tratamiento más prolongado (enfermedad cavitaria, absceso/disfunción renal, coinfección por VIH). En casos de tuberculosis multirresistente (MDR-TB) requiere el uso de un tratamiento intravenoso a largo plazo con aminoglucósidos y otros medicamentos con considerable toxicidad durante 18-24 meses. Pueden ocurrir complicaciones como obstrucción del tracto urinario y deben tratarse con corticosteroides o cirugía.10
El objetivo de esta publicación es presentar el caso de una paciente adulta joven con estallido espontaneo renal asociado a tuberculosis renal quien recibió manejo medico e intervención quirúrgica de urgencia con compromiso multisistémico posterior, este caso de gran importancia por ser una complicación no registrada en la literatura con un cuadro de presentación variable por tuberculosis genitourinaria, siendo de vital importancia la detección temprana.
Descripción del caso
Paciente de 27 años, sexo femenino con antecedentes patológicos de artritis, síndrome Raynoud, cistitis xantogranulomatosa, glucosuria familiar, anemia ferropénica asociado a cistitis hemorrágicas, infecciones urinarias a repetición en los últimos 2 años (4 episodios por año) y hospitalización reciente por candidiuria tratada previamente.
Curso con cuadro clínico de fiebre no cuantificada, disuria, polaquiuria, reporte de urocultivo ambulatorio con presencia de Klebsiella pneumoniae multisensible es tratada y control con urocultivo negativo y laboratorios de seguimiento con hemograma: leucocitos 12.30uL, hemoglobina 10.60g/dL, hematocrito 34.50%, plaquetas 297000uL, neutrófilos 9.95uL, linfocitos 1.37UL, monocitos 0.6uL, uroanálisis: color rojo, aspecto turbio, PH 6.5, nitritos negativos, glucosa >=1000mg/dL, leucocitos 25-30XC, hematíes 30-55XC, células epiteliales 0-2XC, bacterias escasas, perfil lipídico: HDL 25mg/dL, LDL 63.20mg/dL, triglicéridos 124mg/dL, potasio 4.50mmol/L, albumina 3.33g/dL, hierro total 13.00ug/dL, ferritina 1826.67ng/ml y proteínas en orina 24 horas: proteinuria en orina 24 horas 618.75mg/24 horas, proteinuria en orina ocasional 137.5mg/L, volumen de orina de 24 horas: 4500ml/24 horas, BUN 9.50mg/dL, creatinina 0.81mg/dL, en seguimiento por nefrología encuentran persistencia de síntomas urinarios irritativos, leve distensión abdominal desde hace 15 días y dolor en hemiabdomen derecho por lo cual ingresa al servicio de urgencias, se inicia manejo farmacológico y vigilancia hemodinámica, adicional se realiza ecografía renal con presencia de engrosamiento urotelial y alteración en la ecogenicidad del parénquima en el riñón derecho por pielonefritis y/o cambios de nefropatía, engrosamiento de las paredes vesicales en relación con cambios inflamatorios, presencia de gas intraluminal, presencia de restos hemáticos o detritus en la luz vesical e imágenes que pueden corresponder a restos hemáticos impactados o pólipos.
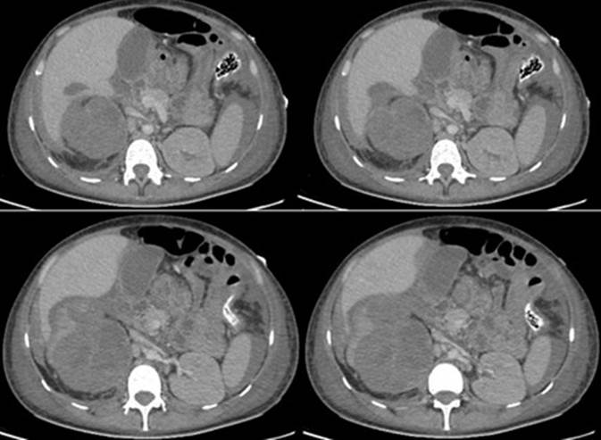
Durante su estancia se observó reactantes de fase aguda en aumento, conservación función renal, hemograma con leucocitosis y neutrofilia, anemia moderada hipocrómica, microcítica escalonando esquema de antibioticoterapia. En su día 5 de hospitalización presenta choque hemodinámico, amenización severa aguda, insuficiencia respiratoria aguda severa con requerimiento de UCI y soporte ventilatorio, inotrópico y transfusión hemoderivados, con impresión diagnostico en tomografía computarizada de abdomen y pelvis de laceración del polo superior del riñón derecho con hematoma en el espacio pararenal anterior y sangrado activo, contusión hepática en el segmento VI (Figura 1 y Figura 2), cambios pielonefritis xantogranulomatosa derecha, dilatación urotelial a nivel de la pelvis renal y uréter derecho y engrosamiento vesical ya conocido por reporte histopatológico. Se traslada a quirófanos para laparotomía exploratoria encontrando hemoperitoneo de 3000cc aproximadamente, perforación de fascia de gerota anterior derecha hacia el polo renal superior derecho, nefromegalia derecha 15cm, pionefrosis y riñón de apariencia cianótica no viable con abundante tejido inflamatorio por lo cual se realiza nefrectomía simple.
En la muestra patológica obtenida en el procedimiento quirúrgico uréter engrosado con denso infiltrado inflamatorio mixto de predominio mononuclear con focos de microabscesos de PMN neutrófilos y denudación del epitelio, áreas de riñón extensamente comprometido por infiltrado inflamatorio PMN neutrófilo con formación abscesos y focos de necrosis de licuefacción asociados con discreta atrofia del parénquima renal y mínima fibrosis glomerular y estromal (Figura 3 y Figura 4).

En coloración básica se reconoce parénquima renal con pérdida de la arquitectura dado por presencia de absceso constituido por PMN neutrófilos, detritus celulares, el tejido residual con extensos cambios por pielonefritis crónica.
Figura 3

Se observa en coloración básica granuloma constituido por células epitelioides dispuestos en empalizada y necrosis central.
Figura 4
Se continua vigilancia en unidad de cuidado intensivo (UCI) durante 2 días, presento compromiso multisistémico, con deterioro hemodinámico requiriendo aumento en el soporte inotrópico hasta necesidad de maniobras de reanimación cardiopulmonar sin respuesta.
Discusión
Wildbolz sugirió por primera vez el termino tuberculosis genitourinaria (GUTB) en 19371. Actualmente la tuberculosis genitourinaria representa la segunda y tercera entidad más común con manifestaciones extrapulmonares, responsable del 20% al 40% de los casos de TBEP,1-5 se caracteriza por un cuadro clínico inespecífico dificultando el diagnóstico oportuno y sus manifestaciones se relacionan con el órgano comprometido, la tuberculosis ureteral, se desarrollan múltiples estenosis en el uréter causando obstrucciones, ureterohidronefrosis e insuficiencia renal.5,10 En casos de tuberculosis vesical los hallazgo clínicos y radiológicos son muy específicos: vejiga contraída (8.9% en los casos de tuberculosis urogenital) y engrosamiento difuso dela pared de la vejiga, sin trabeculación ni divertículos.5
Se sospecha el compromiso genitourinario en pacientes con alteraciones nutricionales, presencia de patologías crónicas, uso de inmunosupresores o deficiencia del sistema inmune. En este caso la paciente con antecedentes urológicos previos, infecciones urinarias a repetición y cambios anatómicos un diagnóstico diferencial debe ser la tuberculosis extrapulmonar en prevención de las complicaciones y tratamiento inmediato, su diagnóstico se realizó mediante el cultivo de orina en su 4 muestra permitiendo determinar que los pacientes presentan baciluria de manera esporádica y el aislamiento requiere de varias tomas para un hallazgo oportuno.1,5 Durante el manejo médico presenta perforación de fascia de gerota anterior derecha hacia el polo renal superior derecho asociado a los cambios crónicos con presencia de hemoperitoneo, una complicación no esperada ni descrita en su evolución que produjo el deterioro agudo y progresivo de la paciente con evolución no satisfactoria.










nueva página del texto (beta)





