Introduction
Nephron sparing surgery has been used since late of the 20th century, this technique according to, American Urological Association and European Association of Urology, is recommended for the management of small renal mases.1-3 Reports of the first laparoscopic partial nephrectomy are from Winfield et al. in 1995, today this technique is still a challenge for the urologist and requires a high level of expertise.4 The precise incidence of ipsilateral synchronous tumors is unknown, but there are case series and reviews that suggest that minimally invasive nephron sparing surgery for multifocal ipsilateral tumors is feasible and safe for patients who present with multiple tumors in the same renal unit.5 We present 61-year-old women that presented as an outpatient clinic with imaging studies that suggest the finding of two ipsilateral renal tumors and an adrenal tumor.
Clinical Case
A 61-year-old female presented as an outpatient clinic due to the incidental finding of a tumor in the right adrenal gland as well as synchronous tumors in the right kidney. At physical examination blood pressure was within normal parameters 110/70 mmHg. The patient denies episodes of macroscopic hematuria or involuntary weight loss. In addition, our patient informed that she felt well without any alteration, however, in a routine check-up, multiple tumors were found.
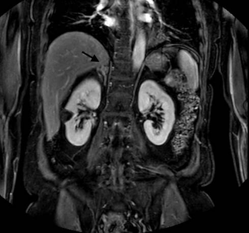
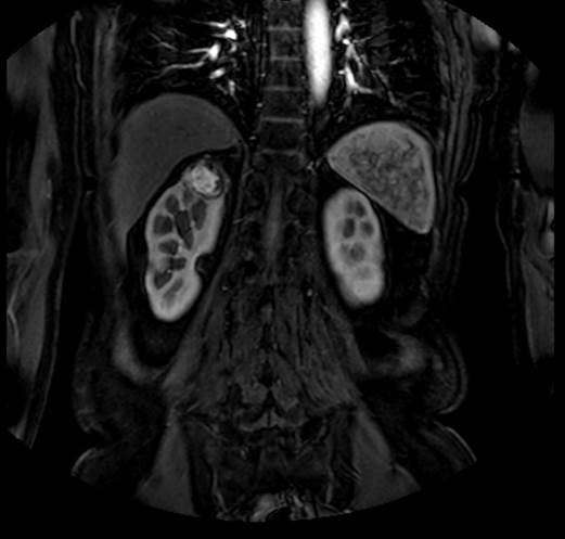
Laboratory workup reported a hemoglobin of 12 mg/dL (12-15.5 mg/dL), Urinalysis demonstrated microscopic hematuria with 10 rbc/hpf, and urinary metanephrines 0.3 (> 1.3 positive test). Magnetic Resonance (Figure 1 and 2) showed two ipsilateral renal tumors, one at the upper pole of 3.5 cm and the other at the mid-portion of the kidney of 3 cm, likewise an adrenal tumor of 1.5 cm was observed, normal chest x-ray.
It was decided to perform laparoscopic partial nephrectomy of both renal tumors with a R.E.N.A.L. score of 4 for the upper pole tumor and a R.E.N.A.L. score of 5 for the tumor suggestive of angiomyolipoma in addition to adrenalectomy of the adrenal gland. The procedure was performed in 2 hours without ischemia and 500 ml of intraoperative bleeding without complications. Patient had a good evolution and was discharged two days after surgery. Histopathology reported a cortical adenoma, angiomyolipoma and renal cell cancer nuclear grade 2, with free negative margins.
Discussion
We present an interesting case and the first described in México according to the authors of the management of a patient with multiple ipsilateral tumors with a minimally invasive nephron-sparing surgery technique without ischemia. With this case report we demonstrate how this type of procedure is feasible and safe to carry out in those patients in whom it is desired to preserve an adequate renal function and oncological results, all this always and when it is performed in the hands of an expert surgeon and in a well selected patient.
Sporadic multifocal renal disease has an incidence of 6 to 25% in population with non-hereditary renal cancer.6 Bilaterality, multifocality, and early age are characteristics that patients with hereditary kidney cancer diagnosis have, characteristics our patient does not present.7 In addition, our patient lacks clinical characteristics of a classical Von Hippel-Lindau syndrome like positive family history, hemangioblastomas of the brain, retina, and spinal cord, pheochromocytoma, paraganglioma, pancreatic cysts, and neuroendocrine tumors, making the diagnosis of this syndrome very unlikely.8
The decision of removing the adrenal gland was made because there are reports that up to 75% of patients with an incidentaloma of the adrenal gland in association with renal tumor, like the one presented in our patient, it could be of metastatic origin.9,10 Moreover, we made the decision to perform partial nephrectomy of both tumors. The upper pole tumor has a supportive image of a malignant lesion, with optimal dimensions to perform this procedure.11 The other tumor suggestive of an angiomyolipoma, which is a tumor capable of growing and bleeding as it grows, we decided to remove it to reduce possible complications in the future and thus ensuring that an acceptable kidney function.12
According to Wang et al.13 this type of presentation of multifocal tumors could be treated with good oncological results through a retroperitoneoscopic procedure, however, we did not found studies where patients with ipsilateral renal tumors were treated by this approach. It is important to take into account that multifocal ipsilateral renal diseases have 5 times more risk of having contralateral recurrence.14 So, it is of the greatest importance to bear in mind the characteristics of the aforementioned tumors and the high risk of recurrence, to be able to make the decision to perform a nephron sparing surgery. Oncological outcomes seem not to be altered when performing nephron sparing surgery neither bilateral nor ipsilateral multifocal renal masses in terms of cancer-specific survival outcomes.15,16
This case adds to the review presented by Ginzburg et al.5 where they mentioned that there is evidence of 50 patients who were managed with minimally invasive nephron-sparing surgery in multiple ipsilateral tumors, demonstrating how this technique can be reproducible in these types of patients, such as the one we present. An interesting detail that differentiates us from the cases presented in this review is the ischemia time, taking into account that in our case the ischemia time was zero. This technique was reproducible because we have two tumors smaller than 7 cm, which, according to the review by Kreshover et al.17 makes the procedure feasible without having a significant risk of bleeding and so the need for blood transfusion, also could help preserve kidney function even more considering that we are removing two renal masses without applying ischemia to the renal unit; this is an interesting detail that should be taken into account for future research in the setting of multifocal renal tumors.
There are reports of treatments through robotic surgery in patients with bilateral and ipsilateral multifocal tumors, the first of them was the one reported by Boris et al.18 where 70% of its patients had some genetic syndrome. The one that most resembles our study by population studied, without any genetic syndrome, is the one presented by Laydner et al.19 where it was concluded in a short-time evaluation that robotic nephron sparing surgery for multiple ipsilateral tumors was feasible and also it could be performed without ischemia in patients candidates for this technique for example in exophytic tumors. In addition, in situations where the clamping of the renal artery can cause kidney damage, such as in solitary kidney, renal failure or multiple renal masses, the surgeon should consider the option of performing a procedure without ischemia as mentioned by Anderson et al.20
As the study presented is a case report, we recognize that the level of evidence is low, however it is important to make our experience known so that this case can serve as a basis for future research.
Conclusion
We are faced with an unusual finding of multiple kidney tumors in addition to one adrenal gland tumor. This case in which we perform nephron-sparing surgery without ischemia is the first report in México and represents a therapeutic challenge that up to now, according to reviews and case series, has given good oncological and functional results, confirming that this procedure can be used in well-selected patients. We must take this case as a reference for future research with specific guidelines and criteria to establish which patients would be the ideal candidates for this minimally invasive surgical procedure.










nueva página del texto (beta)





