Introducción
Por definición una fístula es una comunicación no anatómica entre dos o más cavidades del cuerpo recubiertas por epitelio, mesotelio o por piel.1
En países occidentales está asociado a cirugía ginecológica, como histerectomía abdominal (incidencia 0.1-0.2%). La segunda causa más común es infiltración maligna de cáncer: cervical, vesical, vaginal, endometrial o de recto. La radiación pélvica es otro factor de riesgo descrito.2
El diagnóstico clínico se establece ante la presencia de fuga urinaria transvaginal posterior a cirugía pélvica. Para establecer el diagnóstico es necesario vaginoscopia con espéculo y realización de una cistoscopia, también se puede utilizar la prueba colorimétrica con instilación de azul de metileno a la vejiga o también la administración vía oral de fenazopiridina para evidenciar la salida de orina a través de la vagina,3 y adicionalmente estudios de imagen contrastados como el cistograma.4,5
Las fístulas se pueden clasificar como simples o complejas en función del tamaño y características del tejido. Las fístulas vesicovaginales (FVV) complejas se definen como: fístula mayor a 3 cm, recurrente o reintervención, presencia de lesiones asociadas como fístula rectovaginal o lesión ureteral, fístula cercana al mecanismo de continencia o meato uretral y fístula posradiación.5
Con respecto al tratamiento quirúrgico, el abordaje abdominal es el más realizado por su disponibilidad, ya que permite cumplir con los principales principios quirúrgicos de la reparación de FVV: exposición amplia de la fístula y el tejido circundante, resección del tracto fistuloso, eliminación de cuerpos extraños o materiales sintéticos, cierre hermético libre de tensión, cistorrafia en múltiples planos, interposición de tejido sano vascularizado entre la vagina y vejiga, drenaje vesical efectivo en el postoperatorio.6,7 Sin embargo, como cualquier procedimiento abierto, la morbilidad es mayor respecto a los procedimientos de mínima invasión, los cuales van tomando cada vez más fuerza en las indicaciones y se han vuelto más frecuentes en los países desarrollados.
La reparación quirúrgica por la vía laparoscópica es una alternativa viable ya que ofrece menos morbilidad, una recuperación más temprana, las ventajas técnicas como mejoría óptica del campo quirúrgico, magnificación del capo visual y mejor exposición.8
Entre los factores predictores de éxito destacan el tamaño de la fístula, tiempo transcurrido entre el evento previo y la cirugía de reparación, calidad del tejido y el apego a los principios quirúrgicos.9
Objetivo
Reportar los resultados obtenidos en el abordaje laparoscópico de fístula vesicovaginal en nuestro centro hospitalario.
Pacientes y metodología
Se efectuó un estudio de descriptivo, ambispectivo, en pacientes diagnosticadas con fístula vesicovaginal, que acudieron al servicio de Urología de la Unidad Médica de Alta Especialidad T1 del Instituto Mexicano del Seguro Social, León, Guanajuato, en el periodo de tiempo comprendido de 1 marzo 2016 al 15 noviembre 2019. Se revisó de forma retrospectiva los expedientes de las pacientes con diagnóstico de fístula vesicovaginal, que cumplieron los criterios de inclusión, concentrando la siguiente información: historia clínica, fecha de cirugía ginecológica previa y/o factores de riesgo que condicionaron la aparición inicial de FVV, recurrencia de la fístula, necesidad de procedimientos secundarios para corregir recurrencias, características de la fístula, multiplicidad, tamaño, localización; administración de antibiótico profiláctico, cirugías previas con intento de corrección fístula, la presencia de tejido fibrótico, índice de masa corporal y el tiempo en el que se realiza el retiro de sonda Foley transuretral tras la reparación laparoscópica FVV.
Nuestra técnica quirúrgica se basa en 8 pasos descritos a continuación:
1. Posición del paciente. En decúbito dorsal, con una sábana en el área lumbar de la paciente, se sujetan los brazos en contacto con el cuerpo. Posteriormente en posición de litotomía, se fijan los miembros pélvicos a las pierneras para la realización de cistoscopía y finalmente se posiciona en Trendelemburg para la laparoscopía (Fig. 1).
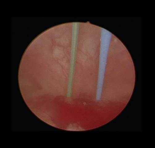
2. Cistoscopia y localización de fístula. Se identifican meatos ureterales (Fig. 1) y colocando catéteres ureterales 6 Fr. (Fig. 2 y 3); se identifica orificio fistuloso el cuál se refiere con un catéter ureteral de otro color, se exteriorizan los anteriores y se fijan a una sonda transuretral de 20 Fr de dos vías (Fig. 4).
3. Colocación de trocares. Abordaje transperitoneal de 4 puertos, se coloca un trócar primario óptico de 10 mm por debajo del borde inferior de la cicatriz umbilical con técnica de Hasson habitualmente, bajo visión directa se colocan trócares restantes, uno de 10 mm del lado izquierdo en un punto medio del ombligo a la cresta iliaca, tercero de 5 mm contralateral al anterior, y otro de 5 mm auxiliar en la fosa iliaca (Fig. 5).
4. Laparoscopia y disección cuidadosa de adherencias. Hasta lograr tener acceso libre hacia el saco de Douglas (Fig. 6).
5. Movilización y disección vesical. Se incide vejiga de forma vertical por debajo de la reflexión de globo vesical (Fig. 7) y se localiza el catéter del trayecto fistulosos, así como catéteres ureterales.
6. Reparación de la fístula. Se diseca la pared posterior de la vejiga de la pared anterior de la vagina con disección roma o cortante. Se procede a realizar fistulectomía circunferencial con corte frío (Fig. 8), se completa disección y separación de pared vaginal de la vesical (Fig. 9).
7. Cierre de la vagina y vejiga. El cual se realiza de forma separado en dirección horizontal de la vagina (Fig. 10) y vertical de la vejiga con monocryl 2-0 (Fig. 11).
8. Interposición de tejido. Se moviliza parche de epiplón, o apéndice epiplóico y se coloca entre ambos planos, vaginal y vesical, fijándose con ácido poliglicólico. Se coloca un drenaje pélvico tipo Penrose de 0.5 pulgadas través de un puerto de 5 mm y se dirige al sitio de cistorrafia, se retiran trócares y se da por terminado el procedimiento.
Resultados
Se incluyeron 15 pacientes que fueron sometidas a reparación de fístula vesicovaginal por vía laparoscópica. En 13 casos (86.6%) la reparación fue un procedimiento primario y en 2 casos (13.8%) la reparación fue un procedimiento secundario. Las pacientes presentaron una edad media de 46.2±9.45 años, índice de masa corporal promedio de 30.1±5.8, 10 pacientes (66.67%) presentaban comórbidos, siendo hipertensión arterial sistémica la más común (70%), seguido de cáncer de endometrio (20%), cáncer de mama, cáncer de ovario, diabetes mellitus y epilepsia (10%, respectivamente). El 100% de las pacientes presentaron antecedente de cirugía ginecológica de las cuales histerectomía fue la más común en 14 pacientes (93.3%) e histerorrafia se presentó en 1 paciente (6.6%) (Tabla 1).
Tabla 1 Características descriptivas de la población de estudio
| Pacientes en estudio de recurrencia de FVV tras la reparación laparoscópica n=15 | ||
|---|---|---|
| Edad (años) | 46.2 ± 9.4 | |
| Etiología ginecológica | ||
| Histerectomía (%) | 14 (93.33) | |
| Histerorrafia (%) | 1 (6.67) | |
| Tipo de procedimiento | ||
| Primario (%) | 13 (86.67) | |
| Secundario (%) | 2 (13.33) | |
| IMC (kg/m2) | 30.11 ± 5.89 | |
| Normal (%) | 1 (6.67) | |
| Sobrepeso (%) | 10 (66.67) | |
| Obesidad grado 1 (%) | 1 (6.67) | |
| Obesidad grado 2 (%) | 2 (13.33) | |
| Obesidad grado 3 (%) | 1 (6.67) | |
| Comórbidos n=10 | ||
| HAS (%) | 10 (70) | |
| DM (%) | 1 (10) | |
| Cáncer (%) | 4 (40) | |
| Mama (%) | 1/4 (25) | |
| Endometrio (%) | 2/4 (50) | |
| Ovario (%) | 1/4 (25) | |
| Epilepsia (%) | 1 (10) | |
FVV: fístula vesicovaginal.
IMC: índice de masa corporal
HAS: hipertensión arterial sistémica.
DM: diabetes mellitus.
En referencia a las características de la fístula vesicovaginal, en 14 de los casos (93.33%) se trató de un tracto fistuloso único y en 1 caso (6.67%) fueron dos tractos. En promedio el tamaño de los tractos fue de 7±4.34 mm, 4 pacientes (26.67%) fueron clasificados como fístula compleja; 2 casos (13.33%) involucraba el uréter y 2 casos (13.33%) se trataba de fístulas recurrentes, las cuales habían tenido intento de reparación previamente mediante procedimiento abierto. La localización más común de la fístula fue supratrigonal en 11 de los casos (73.33%) (Tabla 2).
Tabla 2 Características de la fístula vesicovaginal
| Características de la FVV n=15 | |
|---|---|
| Localización | |
| Ureteral (%) | 2 (13.33) |
| Supratrigonal (%) | 11 (73.33) |
| Trigonal (%) | 1 (6.67) |
| SD (%) | 1 (6.67) |
| Número de tractos | |
| 1 (%) | 14 (93.33) |
| 2 (%) | 1 (6.67) |
| Tamaño (mm) | 7 ± 4.34 |
| Tejido fibrótico | |
| Leve (%) | 14 (93.33) |
| Moderado (%) | 1 (6.67) |
| Severo (%) | NR |
| Reparación previa | |
| Si (%) | 2 (13.33) |
| Compleja (%) | 4 (26.67) |
| Criterio de complejidad | |
| Ureteral (%) | 2/4 (50) |
| Recurrente (%) | 2/4 (50) |
El 100 % de las pacientes iniciaron antibiótico (Tabla 3) una hora previa a la cirugía laparoscópica con cefalosporina de tercera generación, la cual se administró en promedio por 3.8 días, seguidos de 14 días de quinolona de tercera generación.
Tabla 3 Características de la reparación laparoscópica
| Particularidades de la reparación laparoscópica en FVV n=15 | ||
|---|---|---|
| Cirugía | ||
| Reparación temprana (%) | 1 (6.67) | |
| Reparación tardía (%) | 14 (93.33) | |
| Reparación previa (%) | 2 (13.33) | |
| Uso de Antibiótico (%) | 15 (100) | |
| Tiempo de cirugía (min) | 198.93±49.00 | |
| Sangrado transoperatorio (cc) | 144.97±117.38 | |
| Parche (%) | 12 (80.00) | |
| Epiplón | 10 (83.33) | |
| Mesocolon | 2 (16.67) | |
| Complicaciones transoperatorias (%) | 1 (6.67) | |
FVV: fístula vesicovaginal. NR: no registrado
La sonda transuretral permaneció in situ posterior a la reparación laparoscópica durante 24.3±5.6 días (Tabla 4). Se reportó 1 caso (6.67%) de complicación transoperatoria grado III en la clasificación de Clavien-Dindo, la cual consistió en una perforación intestinal, manejándose con cierre primario y en el posoperatorio la paciente estuvo con ayuno de 5 días y nutrición parenteral total. En 12 de los casos (80%) se realizó interposición de tejido sano (Tabla 3).
Tabla 4 Evolución postquirúrgica
| Pacientes postquirúrgicos de FVV n=15 | ||
|---|---|---|
| Estancia hospitalaria (días) | 3.8±1.3 | |
| Retiro de sonda transuretral (días) | 24.3±5.6 | |
| Recurrencia (%) | 1 (6.67) | |
| Sin recurrencia (%) | 14 (93.3) | |
| Procedimiento secundario para reparación de FVV | ||
| Si (%) | 1 (6.67) | |
FVV: fistula vesicovaginal.
Se realizaron con éxito 14 casos (93.33%) de las reparaciones laparoscópicas de FVV, 1 de las pacientes (6.6%) presentó recurrencia de la FVV tras la reparación laparoscópica, la cual se resolvió de forma exitosa con un procedimiento abierto secundario (Tabla 4). El tiempo quirúrgico de la reparación laparoscópica de la FVV fue de 198.9 minutos y el sangrado reportado fue 144.97±117.38 cc en promedio. En 14 de los casos (93.3 %), la reparación se realizó de forma tardía, solo en el 6.67 % fue reparación temprana. (Tabla 3)
Se presentó 1 evento de recurrencia (6.67 %) de FVV (Tabla 4), la paciente presentaba una edad de 51 años, con antecedente de histerectomía por miomatosis, contaba con un IMC de 26.03 kg/m2, como enfermedades concomitantes refirió epilepsia e hipertensión arterial. En cuanto a las características de la FVV, ésta se encontraba con localización supratrigonal, tracto múltiple (dos de 3 mm), no tenía intentos de reparación previa y se observó leve tejido fibrótico al momento de la disección, no fue catalogada como una fístula compleja, no se reportaron complicaciones transoperatorias, se registraron 180 minutos de tiempo quirúrgico y un sangrado de 250 cc. Se realizó interposición de tejidos con parche de mesocolon. Posterior a la cirugía la paciente permaneció 3 días hospitalizada, recibió antibiótico con un esquema similar a las demás pacientes, la sonda transuretral permaneció por 28 días antes de retirarla y se realizó un procedimiento abierto de forma secundaria para repararla. Presentó evolución favorable durante el seguimiento de 5 meses que se le dio.
Discusión
Se han publicado diferentes series de casos posterior al primer reporte de reparación laparoscópica de FVV que van desde 2 a 22 casos en las series con mayor número de casos publicados (Tabla 5).5,10-30
Tabla 5
| Autor | Año | No. Pacientes | Tiempo quirúrgico (min) | Sangrado (ml) | EIH (días) | STU (días) | Seguimiento (meses) | Recurrencia (%) |
|---|---|---|---|---|---|---|---|---|
| Nezhat31 | 1994 | 1 | - | - | 1 | 10 | - | 0 |
| Phipps13 | 1996 | 2 | 160 | - | 1 | 10 | - | 0 |
| Von Theobald10 | 1998 | 1 | 70 | 100 | 8 | 7 | 6 | 0 |
| Miklos11 | 1999 | 1 | - | - | 1 | 21 | 6 | 0 |
| Nabi14 | 2001 | 1 | 190 | - | 4 | 21 | 9 | 0 |
| Ou15 | 2004 | 2 | NR | - | 2 a 12 | 14 a 20 | - | 0 |
| Sotelo16 | 2005 | 15 | 170 | - | 3 | 10 | 26 | 6.6 |
| Chibber17 | 2005 | 8 | 220 | - | 10 | 14 | 3 A 40 | 0 |
| Wong18 | 2006 | 2 | 380 | <100 | 2 | 21 | 40 | 0 |
| Nagraj19 | 2007 | 13 | 130 | - | 4.5 | 15 | 21 | 7.6 |
| Serdar-Gozen20 | 2007 | 3 | 164 | 333 | 6 | 10 | 19 | 0 |
| Das Mahapatra21 | 2007 | 12 | 166 | 125 | 4 | 14 | 12 a 16 | 8.3 |
| Tiong22 | 2007 | 1 | 260 | <100 | 1 | 21 | 6 | 0 |
| Pereira23 | 2008 | 7 | 280 | - | 7.2 | - | 3 a 24 | 0 |
| Shah24 | 2009 | 22 | 145 | 180-200 | 4.5 | - | - | 13.6 |
| Porpiglia25 | 2009 | 4 | 103 | 80 | 3 | 8 | 10 a 21 | 0 |
| Abdel-Karim26 | 2011 | 15 | 171.6 | 110 | 3 | 21 | 18.9 | 0 |
| Zapata27 | 2014 | 19 | 130 | 100 | - | 21.9 | - | 0 |
| Venkatramani28 | 2014 | 7 | - | - | - | - | 3 | 14.2 |
| Javali12 | 2015 | 22 | 75 | 35 | 1.5 | 14 | 2 a 45 | 0 |
| Martinez29 | 2011 | 4 | - | - | 4 | - | - | 1.8 |
| Montoya30 | 2013 | 9 | 180 | 100 | 3 | 14 | - | 22.2 |
Independientemente de la causa primaria, el tratamiento quirúrgico es el estándar de oro en el manejo de la FVV. Se ha señalado una tasa de recurrencia de hasta 10 % de los casos, de tal manera que, de acuerdo a los datos obtenidos de 15 pacientes atendidas en nuestro estudio, solo una ha recidivado, correspondiendo a un 6.67%.10,11 Estos hallazgos podrían explicarse por las diferencias en el nivel de complejidad de los casos de fístula manejados y/o las características de los hospitales (experiencia y habilidades del cirujano, apego a los principios quirúrgicos, procedimientos clínicos pre y posquirúrgicos y medidas implementadas para la prevención de infecciones).
Se ha reportado que la multiplicidad de la fístula aumenta 5 veces el riesgo de reaparición de la FVV.32,33 En nuestro estudio esta variable no alcanzó significancia estadística, sin embargo, cabe señalar que la presencia de múltiples tractos fue uno de los factores presentes en la recurrencia de nuestra serie.
Abdullah reportó que la reparación secundaria representa 3 veces más la probabilidad de recurrir.32 En nuestro análisis no fue posible establecer relación entre el intento de reparación previa de la FVV y la recurrencia. Cabe mencionar que en el caso que recurrió esta fue una variable que se encontraba ausente. Según la literatura la etiología obstétrica aumenta 3 veces el riesgo.12,34
Debido a la dificultad técnica que se presenta por el exceso de tejido adiposo en pacientes con obesidad, se esperaba que las pacientes con mayor IMC presentaran recurrencia, contrario a lo esperado, nuestro caso presentó un IMC de 26.04 kg/m2, que lo clasifica en sobrepeso, pero no en obesidad.
El tamaño de la fístula se ha observado que incrementa 3 veces más la posibilidad de reaparición de FVV.12,31
Los factores descritos en la paciente que ameritó una intervención secundaria para el cierre de la fistula vesicovaginal destacan la edad, HAS, estancia intrahospitalaria y principalmente sangrado transoperatorio. Sin embargo, se requiere aumentar la muestra poblacional para realizar un análisis estadístico comparativo.
Conclusión
La reparación videoasistida por laparoscopía de la fistula vesicovaginal en nuestro hospital se reportó como un procedimiento seguro, con una incidencia de éxito del 93.3% (14 pacientes) en la primera intervención y presentándose solamente en una paciente (6.67 %) una complicación Claven-Dindo grado III. Se encontró, además, que la presencia de un proceso fibrótico moderado pudiera condicionar mayor dificultad técnica, aunado al sangrado transquirúrgico > 250 cc y estancia hospitalaria >3 días. Se requieren estudios posteriores para comparar los resultados obtenidos incluso con las series reportados.










nueva página del texto (beta)














