Introducción
La pielonefritis enfisematosa es una emergencia urológica caracterizada por una infección parenquimatosa y perinéfrica, aguda necrosante, causada por uropatógenos formadores de gas.1 La mayoría de los autores en las diferentes revisiones la catalogan como una “amenaza para la vida” y merece una especial atención debido a su potencial mortalidad atribuible a complicaciones sépticas y a la naturaleza clínica variable característica de este tipo de pacientes.1,2 En las últimas décadas con la implementación de algorítmos de manejo del paciente séptico y terapias derivativas menos agresivas, la tasa global de mortalidad es en general del 21%, en comparación con la década de los 70’s y 80’s en la cual oscilaba entre el 43 y el 78% teniendo como único tratamiento la nefrectomía de urgencia.3
Perspectiva histórica
El primer caso de una infección renal formadora de gas fue descrito por Kelly y MacCallum en 1898; desde entonces términos como “enfisema renal”, “neumonefritis” habían sido utilizados para describir esta infección formadora de gas.2 Es en 1962 cuando Schultz y Klorfein sugieren el uso de “pielonefritis enfisematosa” como término preferente enfatizando así la relación entre la patología infecciosa y la formación de gas.2,3 Muchos investigadores sugirieron que el término pielonefritis enfisematosa solo debe ser aplicado a la formación de gas en el parénquima renal o espacio perinéfrico, sin embargo, otros autores como Huang y Tseng enfatizaron el hecho de que esta patología debe ser considerada ante la presencia de gas no solo en estos componentes sino también en el sistema colector.1
Epidemiología
No existe un estudio epidemiológico que nos oriente a la prevalencia de esta enfermedad, ya que se considera una entidad poco común. No resulta raro incluso, encontrar reportes de caso anecdóticos sobre esta patología en revistas de países de primer mundo. Sin embargo, existe un marcado contraste, cuando se cuenta con revisiones de series de casos en países en vía de desarrollo como la de los estudios de Wan et al. y Huang y Tseng con 38 pacientes en 7 años y 46 pacientes en 8 años respectivamente,1,3 siendo estos los más representativos, ya que no solo nos habla de la presentación misma de la patología, sino que hacen una correlación entre los datos clínicos y radiológicos más importantes con la tasa de mortalidad. Actualmente existen nuevas publicaciones de revisiones de casos, como la de Aswathaman et al.4, con 41 pacientes en un periodo de 6 años, Kapoor et al.,5 con 39 pacientes en 4 años que usan como base la publicación de Wan y Huang para establecer, dependiendo de los aspectos clínicos, bioquímicos y radiológicos iniciales una guía de manejo de acuerdo con los resultados obtenidos por modalidad de tratamiento. En México existe un estudio multicéntrico publicado por Olvera et al.,6 reportando la experiencia de 3 centros de tercer nivel en el manejo de estos pacientes con un total de 62 pacientes en un periodo comprendido de 2005 a 2012.
Factores de riesgo
Es una patología más frecuente en mujeres, con una relación de 6:1, con una edad promedio de presentación de 55 años.1,2 La razón por la cual se cree existe una predisposición del sexo femenino a esta patología es relacionada con la mayor incidencia también de presentar infecciones del tracto urinario. El riñón izquierdo es más comúnmente afectado (67%) en relación con el derecho (23%); la presentación bilateral es la más rara de todas con una frecuencia de aparición del 5 al 6%.2
La diabetes mellitus es el factor de riesgo más asociado, presentándose hasta en el 85% de los casos.1,2 Cerca del 95% de los pacientes con pielonefritis enfisematosa que tienen diabetes mellitus tienen un mal control glucémico; se ha postulado que los altos niveles de glucosa en pacientes diabéticos no controlados inhiben la función leucocitaria con lo que se empobrece la respuesta a una infección. 2-4 Además de diabetes, muchos pacientes presentan obstrucción de las vías urinarias asociadas con múltiples patologías anatómicas y funcionales de la vía urinaria que no permiten un adecuado flujo urinario, una de las más comunes es la obstrucción por cálculos urinarios; el riesgo de desarrollar pielonefritis enfisematosa secundario a una obstrucción del tracto urinario es de 25 a 40%.1,2 Una hidronefrosis, por ejemplo, incrementa la presión pielocalicial, comprometiendo la circulación renal, provocando que no exista un adecuado flujo del gas formado, por la consecuente formación de burbujas de gas que se expanden provocando daño tisular.7
Microbiología
El agente microbiológico causal más frecuentemente encontrado es Escherichia coli (E. coli), se ha identificado en cerca del 70% al 75% de los cultivos de orina, sangre y pus.1,2
Tseng et al., realizaron un estudios tratando de identificar factores de virulencia específicos en las cepas de E. coli que fueran claves para la formación de gas y la presentación de pieloenfritis enfisematosa, realizando una comparación entre E.coli aislada en pacientes pielonefritis no enfisematosa y paciente con pielonefritis enfisematosa.7 En este estudio no se encontraron factores significativos en la producción de gas al comparar ambos grupos. De igual forma los factores de virulencia evaluados entre estos dos grupos fueron muy similares a excepción, de el decremento en el “papG II” y un decremento en la prevalencia del gen “ups” en el grupo de pielonefritis enfisematosa pero de manera muy limítrofe; concluyendo que los factores más importantes para la presentación de esta patología son los propios del huésped (diabetes mellitus, pobre control glucémico y obstrucción del tracto urinario) y no los de virulencia bacteriana específica.7,8
Después de E. coli, los microorganismos más frecuentemente encontrados son: Klebsiella pneumoniae (20 - 30%), Proteus mirabillis (10%), Streptococcus del grupo D y Staphylococcus coagulasa negativo. Así mismo, se han identificado algunos otros microorganismos, aunque en mucho menor frecuencia como son: Clostridium septicum, Cryptococcus neoformans, Cándida Albicans y Pneumocystis jiroveci.1-3
Fisiopatología
La patogenia no está bien comprendida y varios factores se encuentran envueltos en un espectro de elementos que tienen por resultado la producción de gas en el parénquima renal; este gas puede ser focal o difuso y puede localizarse únicamente en el sistema colector o incluso afectar el espacio peri renal o para renal.1,2,7
Los elementos más ampliamente aceptados que forman un papel fundamental en esta patogenia son:1,2
Altos niveles de glucosa.
La presencia de microorganismos formadores de gas.
Alteraciones en la vasculatura que condicionen una irrigación sanguínea deficiente.
Alteraciones en la inmunidad del paciente.
La presencia de obstrucción al flujo urinario por alguna alteración anatómica, funcional o patológica.
Existen varias teorías acerca de la fisiopatología de esta entidad:
La introducción de gas a través de traumatismos, fístulas o incluso procedimientos urinarios invasivos (Figura 1). Una teoría poco aceptada por lo infrecuente que resultaría la presentación de una patología como la pielonefritis enfisematosa en cualquiera de estas situaciones; sin embargo, debe puntualizarse que sí se han presentado casos documentados de pielonefritis enfisematosa en pacientes con antecedentes de trauma renal y hematomas renales, aunque la aparición de la misma se ve favorecida a demás por otro tipo de factores.2,7

Figura 1 Teoría 1. La solución de continuidad de la vía urinaria, con la consiguiente entrada de aire se ha estipulado como un probable origen de la PE, sin embargo, no explica el origen en la mayoría de los casos.
La segunda teoría nos habla acerca de la fermentación de la glucosa, en la que se postula que la médula renal es normalmente hipoxémica, más en pacientes diabéticos o con algún tipo de daño renal preexistente; creando una disminución mayor de la tensión de oxígeno y un aumento en el metabolismo anaerobio, el cual es aprovechado por algunas bacterias formadoras de gas como E. coli para fermentar la glucosa y la consiguiente producción de lactato y dióxido de carbono e hidrógeno (Figura 2). 1,2 Otros gases identificados, son el nitrógeno, oxígeno, rastros de amonio, metano y monóxido de carbono.7 El transporte de gas producido por el rápido catabolismo conlleva a acumulación de gas en el tejido, lo que gradualmente se expande y crea una burbuja de gas. En algunos casos el proceso infeccioso y de producción de gas es tan severo que puede extenderse hacia toda la región retroperitoneal incluso hay casos reportados con extensión a cordón espermático, escroto e incluso disecar hacia miembro pélvico.2,7

Figura 2 Los altos niveles de glucosa, bajos niveles tisulares, bajos niveles de oxigenación y la obstrucción son bases fundamentales en la fisiopatología de la pielonefritis enfisematosa.
Cuadro clínico
Casi todos los pacientes manifiestan fiebre, vómitos, dolor lumbar, disuria. Algunas veces la sintomatología es vaga y muy poco específica.2-4 La duración de los síntomas prodrómicos puede ser variables, desde días a semanas. Síntomas menos usuales pueden incluir disnea, crepitación y neumaturia.8-10 Puede presentarse alteración del estado de alerta y datos compatibles con choque séptico. La bacteremia se presenta en más del 50% de los casos de pielonefritis enfisematosa.10 Existen casos incluso de presentación atípica como cuadros que mimetizan obstrucción intestinal, cuadros con extensión de gas a páncreas, discos vertebrales, casos reportados de afección de injertos renales post trasplante. 10-15
Perfil bioquímico y factores pronósticos
Desde el punto de vista bioquímico, se observan datos de leucocitosis (70-80%), trombocitopenia (15-20%), alteración del equilibrio ácido base en las pruebas gasométricas, disfunción renal aguda, hiperglucemia, hematuria macro y microscópica y proteinuria.1-6
Los resultados del urocultivo siempre son positivos y E. coli es el microorganismo identificado con mayor frecuencia. Los gérmenes Klebsiella y Proteus se detectan con menor asiduidad como se ha comentado anteriormente.3-6 Cultivos con crecimientos mixtos o incluso cultivos sin crecimientos bacterianos también han sido reportados.8,9
Varios factores de riesgo han sido estudiados en diferentes cohortes los cuales han sido relacionados directamente con la mortalidad. La presencia de diabetes mellitus ha sido identificada claramente como un factor de riesgo para el desarrollo de la enfermedad, pero múltiples estudios no la identifican como un factor de riesgo predictivo significativo para la mortalidad asociada a la pielonefritis enfisematosa. 16-18 Similar a esto, no hay asociación bien establecida entre la mayor mortalidad y la nefrolitiasis, la infección por E. coli o Klebsiella, la edad mayor a 50 años, el sexo femenino la historia de infecciones del tracto urinario o el alcoholismo. 13-16
Una presión sistólica menor a 90 mmHg, alteración en el estado de conciencia, incremento en los niveles de creatinina sérica, trombocitopenia, hiponatremia, requerimiento de hemodiálisis y realización de nefrectomía de urgencia ; fueron factores que se encontraron asociados con una mayor mortalidad.1-6,17-19 El tipo I de Wan et al., fue asociado con un peor pronóstico por un curso clínico fulminante y daño parenquimatoso más extenso.3 Del mismo modo el uso de terapia médica sola se relacionó con un peor pronóstico.17-19
La trombocitopenia en varios estudios es uno de los factores de mal pronóstico más consistentes,1-6 esto se debe a una coagulación intravascular diseminada que se presenta sobre todo en los casos más severos. Muchos de los cuales tienen tiempos de coagulación prolongados e incrementos séricos en los productos de degradación de fibrinógeno. La alteración del estado de conciencia puede tener origen en disfunción del sistema nervioso central la cual puede ser secundaria a una pobre perfusión o a factores metabólicos.5,6 El estado de choque es un signo de colapso del sistema cardiovascular. Todos estos signos representan una disfunción del sistema hematológico, renal, nervioso central y cardiovascular.1-6,17-19
Tabla 1 Factores de mal pronóstico asociados a mayor mortalidad encontrados en las series más significativas.
| Wan, et. al. 3 1998 | Huang y Tseng 1 2000 | Falagas, et. al. 19 2007 | Aswathaman, et. al. 4 2008 | Kapoor, et. al. 5 2009 | Olvera, et. al. 6 2014 |
| Trombocitopenia (p= .001) | Tiempo de inicio de sintomatología corto antes del diagnóstico (p= .002) | Uso exclusivo de tratamiento médico OR 2.85 (p= .02) | Trombocitopenia (p= .001) | Alteración del estado de consciencia (p= < .001) | Edad OR .11 (p= .009) |
| Afección de la función renal (p= .0003) | Trombocitopenia (p= < .01) | Pielonefritis enfisematosa bilateral OR 5.36 (p= .01) | Estado de choque (p= .028) | Trombocitopenia (p= .01) | Elevación de niveles de creatinina OR 1.53 (p= .009) |
| Hematuria microscópica (p= .029) | Afección de la función renal (p= .05) | Pielonefritis enfisematosa Huang & Tseng tipo 1 OR 2.53 (p= .02) | Alteración del estado de consciencia (p= .007) | Afección de la función renal (p= .01) | Necesidad de nefrectomía de urgencia OR 6.12 (p= .03) |
| Pielonefritis enfisematosa tipos I de Wan (p= .002) | Alteración del estado de consciencia (p= < .01) | Trombocitopenia OR 22.68 (p= <.001) | Necesidad de hemodiálisis de urgencia (p= .028) | Hiponatremia (p= .002) | |
| Estado de choque (p= .01) | Presión sistólica menor a 90 mmHg (p= .01) | Destrucción de más del 50% de parénquima renal (p= < .0001) | |||
| Elevación de creatinina (p= .05) | Nefrectomía temprana (p= .01) | ||||
| Elevación de creatinina mayor a 2.5 mg/dl (p= .01) | |||||
| Alteración del Estado de consciencia (p= .01) |
Diagnóstico radiológico
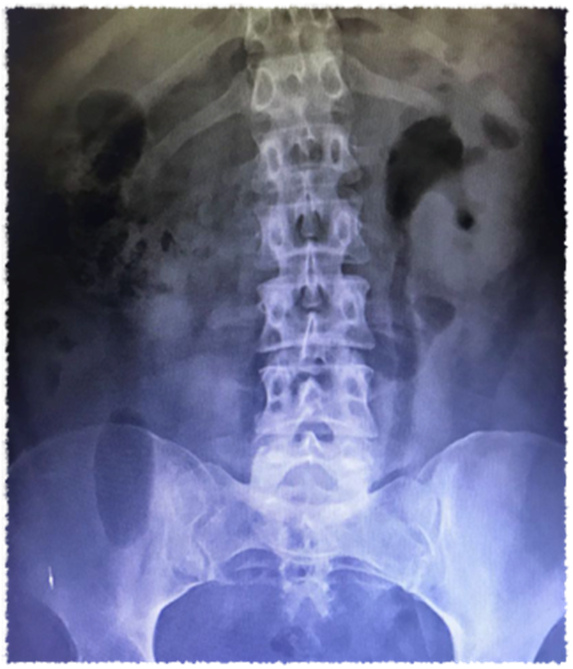
El diagnóstico se confirma con las pruebas radiológicas. En la radiografía de abdomen se puede hallar gas tisular distribuido en el parénquima, que se evidencia como sombras gaseosas sobre el riñón comprometido (Imagen 1).2

Imagen 1 a) Placa simple de abdomen en donde se observa claramente la presencia de gas en ambos riñones, extendiéndose hacia uréter.
Este hallazgo muchas veces se confunde con gas intestinal. Una colección de gas en forma de medialuna sobre el polo superior del riñón es más específica.1,2 A medida que la infección avanza, el gas se extiende al espacio perinéfrico y al retroperitoneo.
La ecografía puede mostrar ecos fuertes localizados, que sugieren la presencia de gas intraparenquimatoso.1,2
La tomografía computada es el procedimiento de diagnóstico por imagen de elección para definir la extensión del proceso enfisematoso y puede orientarnos en la elección del tratamiento. La ausencia de líquido en las imágenes tomográficas o la presencia de patrones gaseosos estriados o jaspeados con acumulación de gas en burbujas o con tabiques, parece asociarse con una destrucción rápida del parénquima renal y una tasa de mortalidad de entre 50 y 60%.1-3 La presencia de líquido en el espacio renal o perirrenal y de gas en burbujas o entre tabiques o de gas en el sistema colector, y la ausencia de patrones estriados o jaspeados se asocia con una tasa de mortalidad menor del 20%.1- 3 Se identifican obstrucciones en alrededor del 25% de los casos. Algunos autores consideran necesaria la realización de un gammagrama renal.2,20
Existen tres clasificaciones radiológicas para los pacientes con pielonefritis enfisematosa (Tabla 2). Michaeli,1 fue el primero en clasificar la pielonefritis enfisematosa de acuerdo con los hallazgos en la radiografía simple de abdomen y en el pielograma intravenoso. Wan1,3, realizó un estudio con una cohorte de 38 pacientes y los categorizó en dos grupos de acuerdo con los hallazgos tomográficos. En el año 2000, Huang y Tseng1,2, publicaron una nueva clasificación basada en una descripción tomográfica más detallada y relacionada con el tratamiento para cada uno de los pacientes.
Tabla 2 Clasificaciones radiológicas de pielonefritis enfisematosa.1
| Clasificación | Estudio Radiológico | Clase |
| Michaeli.(1) | Radiografía de abdomen y pielograma intravenoso | I. Gas en el parénquima renal o en el tejido perinéfrico. |
| II. Gas en el riñón y los tejidos circundantes. | ||
| III. Extensión del gas a través de la fascia o enfermedad bilateral. | ||
| Wan.(1, 3) | Tomografía computada | I. Necrosis renal con la presencia de gas, pero no fluido. |
| II. Gas en el parénquima, asociado con fluido en el parénquima renal, espacio perinéfrico o sistemas colectores. | ||
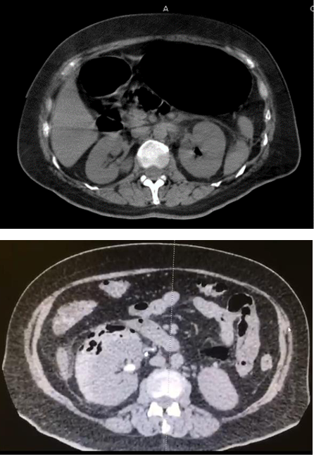
| Huang y Tseng. (1, 2) | Tomografía computada | 1. Gas en el sistema colector. (Imagen 2) |
| 2. Gas únicamente en el parénquima renal. (Imagen 2) | ||
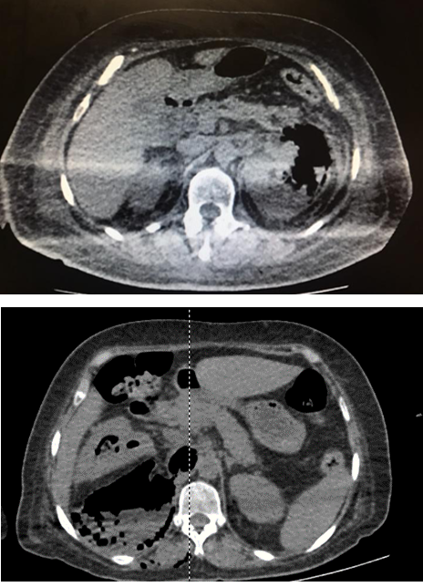
| 3A. Extensión del gas al espacio perinéfrico. (Imagen 3) | ||
| 3B. Extensión del gas al espacio paranéfrico. (Imagen 3) | ||
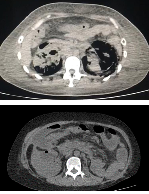
| 4. Gas en riñón único o enfermedad bilateral. (Imagen 4) |

Imagen 2 a) Huang 1.- Presencia de gas en sistema colector de riñón izquierdo. B) Huang 2.- Presencia de gas en parénquima renal.

Imagen 3 a) Huang 3a.- Presencia de gas en espacio perirrenal. b) Huang 3b.- Presencia de gas en espacio pararrenal.
Tratamiento
El tratamiento de forma general en los pacientes con pielonefritis enfisematosa puede dividirse de la siguiente forma.1-4,6
Las maniobras de reanimación, la administración oportuna de fluidos intravenosos, la corrección del desequilibrio ácido base e hidroelectrolítico, el control glucémico, así como la administración temprana de antibióticos intravenosos son la base del tratamiento en los pacientes con pielonefritis enfisematosa.4 Es importante mantener una presión sistólica por arriba de 100 mmHg, ya sea con la administración de soluciones intravenosas o con el uso de agentes inotrópicos en caso necesario.3,6,19-21 Existen metaanálisis que comparan los efectos adversos en la mortalidad, identificando como pobre pronóstico a aquellos pacientes con tensión arterial sistólica de 90 mmHg en comparación con aquellos con una TA sistólica inicial mayor a 100 mmHg.21-23 Algunos pacientes pueden incluso requerir de soporte ventilatorio.
Debido a que las bacterias gramnegativas siguen siendo los agentes causales más comunes, el tratamiento antibiótico debe ir encaminado a este tipo de microorganismos como objetivos, por lo que antibióticos como aminoglucósidos, inhibidores B lactamasa, cefalosporinas y quinolonas han sido los medicamentos inicialmente usados en esta patología.2-4,6,24 Una vez que el urocultivo o hemocultivo está disponible debe realizarse los ajustes necesarios para la optimización del tratamiento.24,25
Estudios comparativos entre la terapia médica vs tratamiento quirúrgico inicial en pacientes con pielonefritis enfisematosa reveló una tasa de mortalidad entre los años de 1898 - 1970 del 78% y entre 1970 - 1982 del 75% para el tratamiento médico; mostrando ventajas significativas en la mortalidad del tratamiento quirúrgico con tasas entre 1898 y 1970 de 42% y del 11% entre 1970 y 1982.1-3 Como resultado, la nefrectomía de urgencia y el drenaje abierto con tratamiento médico han sido, desde la década de los ochenta del siglo pasado, una terapia bien aceptada para esta patología. Sin embargo, varios metaanálisis actuales muestran resultados muy distintos en la mortalidad con esta terapia, que van entre el 40 y 50%.2,4,5,19,22
Los hallazgos patológicos posterior a nefrectomía revelan parénquima con datos de absceso en formación, zonas de micro y macroinfartos, trombosis vascular, esclerosis vascular, datos de infección intraarterial, cavernas en sitios donde se acumuló gas y áreas de necrosis rodeadas de células inflamatorias. Además, en paciente diabéticos se identifican con frecuencia datos de glomeruloesclerosis y descamación de papilas. 2,3,23,25,26
Como se mencionó anteriormente algunos autores señalan que podría realizarse estudios funcionales para determinar la función renal como el gammagrama, esto encaminado a que ante el escenario de un paciente con pieloenfritis enfisematosa y un riñón funcional se considere un tratamiento conservador o con terapia derivativa de mínima invasión con el fin de conservar la unidad renal.2,18,20
En 1986, Hudson et al.27 publicaron un reporte de drenaje percutáneo renal en un paciente diabético con pielonefritis enfisematosa que tenía un alto riesgo de mortalidad al someterse a la anestesia del procedimiento quirúrgico. Para el drenaje, se utilizó un catéter tipo “pig tail”; el paciente tuvo una evolución clínica favorable y el control posterior reveló una conservación aceptable de la función de ese riñón. Desde entonces, los grandes avances que se han presentado en los procedimientos intervencionistas y en los materiales ocupados para ello han hecho posible que el drenaje percutáneo sea una opción de tratamiento para estos pacientes.6,27,28
Algunos estudios han demostrado tratamientos exitosos usando drenaje percutáneo más tratamiento médico, logrando una importante reducción de las tasas de mortalidad.16,27
Además de esto, la utilización del drenaje percutáneo como opción en el tratamiento de la pielonefritis enfisematosa ayuda a preservar la función en el riñón afectado en aproximadamente el 70% de los casos.27 El drenaje percutáneo puede realizarse en pacientes sobre todo en paciente con áreas de gas o colecciones bien localizadas y que presenten áreas de parénquima renal funcional. De forma general se coloca un drenaje tipo “pig tail” de 14 Fr guiado con ayuda de tomografía que ha mostrada tasa de éxito mayor en comparación con el drenaje guiado por ultrasonido. 27,28
Existen varios estudios que apoyan su uso con la finalidad de conservar la unidad renal. Somani et. al., en una revisión sistemática de 10 estudios con un total de 210 casos encontraron que el tratamiento médico más el uso de nefrostomía tiene la tasa más baja de mortalidad (13%) al compararlo con la terapia médica (50%) o la nefrectomía de urgencia (25%) con una significancia estadística importante (p < 0.001).27
Un absceso multiloculado, o con múltiples colecciones, no supone una contraindicación para la realización de un drenaje percutáneo, incluso puede utilizarse más de un catéter. El drenaje debe permanecer hasta que el control tomográfico muestre resolución de los hallazgos iniciales e incluso puede requerirse más de 12 semanas.25,27 Se ha descrito la factibilidad de realizarse lavados a través del catéter de drenaje con soluciones con antibióticos.27 Después de la inserción de un drenaje percutáneo, algunos pacientes pueden requerir aún nefrectomía como aquellos que no respondan favorablemente al tratamiento o quienes durante el seguimiento y con evaluación con gammagrama renal se demuestre una exclusión renal. 25-27
Olvera et al.,6 en la evaluación que realizaron en tres instituciones de tercer nivel de pacientes con pielonefritis enfisematosa, elaboraron un algoritmo de manejo que implica la evaluación del paciente y el tratamiento inicial de acuerdo a las guías de Surviving Sepsis Campaign, en las que hacen énfasis en la resucitación inicial, la utilización de antibióticos de amplio espectro y la evaluación del probable origen de la infección mediante la evaluación tomográfica; de acuerdo a esto, se debe identificar la presencia o no de obstrucción del tracto urinario, de colecciones o formación de absceso y de hidronefrosis para poder plantear el uso de terapias derivativas de mínima invasión como los stent ureteral doble J, la nefrostomía o el uso de terapia médica conservadora. Sugieren, además, una revaloración a las 12 a 48 horas del estado hemodinámico y bioquímico del paciente, que determinará si se continúa el curso del tratamiento instaurado o en caso de no existir mejoría, la combinación de métodos derivativos o incluso la realización de nefrectomía de urgencia como última instancia. La importancia del estudio de Olvera et al., radica en la elaboración de un algoritmo basado en datos obtenidos de población mexicana, pero más aún, en ser el primer estudio en general en aplicar las guías de tratamiento del paciente séptico como modelo inicial en la evaluación e intervención terapéutica de pacientes con pielonefritis enfisematosa.6
Conclusiones
La pielonefritis enfisematosa es una enfermedad potencialmente mortal, cuya fisiopatología obedece a múltiples condiciones que resultan en la falta de flujo adecuado de orina a través del sistema urinario favoreciendo el sobre crecimiento bacteriano y la posibilidad de un cuadro séptico severo.
Existe en general pocas series significativas que nos permitan identificar adecuadamente cual es el perfil clínico de estos pacientes y nos ofrezcan datos contundentes que orienten la dirección de nuestro tratamiento.
Al no existir guías clínicas o algoritmos de tratamiento no hay un consenso del manejo que deben tener estos pacientes; sin embargo, se considera que los puntos clave en la directriz del manejo de los pacientes con pielonefritis enfisematosa son: la localización y distribución del gas, el grado de destrucción renal, el estado hemodinámico inicial y los factores de mal pronóstico.
Es importante señalar que no se trata de un tratamiento estático, ya que el paciente séptico por su naturaleza implica un manejo dinámico, por lo que también consideramos que es importante dar un seguimiento estrecho y tomar decisiones que permitan un cambio oportuno de tratamiento cuando así se requiera.










nueva página del texto (beta)





