ANTECEDENTES
Los quistes broncogénicos son formaciones congénitas provenientes del desarrollo fetal anómalo del árbol traqueobronquial. Los órganos del sistema respiratorio y el esófago tienen como origen común el intestino primitivo.1-3 La localización definitiva o específica de estas malformaciones depende del estadio embriológico en el que se originan. Las anomalías tempranas aparecen en la tráquea, la carina o los bronquios principales, dando lugar a los quistes broncogénicos de mediastino, que generalmente se manifiestan como estructuras únicas y de tamaño variable (pueden medir menos de 1 cm y en ocasiones ocupan más de un compartimento mediastinal).1,2
Los quistes broncogénicos suelen localizarse en el tórax; sin embargo, se han reportado casos en el abdomen, debido al retraso en la migración de estructuras abdominales durante la gestación, incluso detenidas por el diafragma, lo que origina este tipo de quistes, cuyo mecanismo exacto aún se desconoce.1,2,4,5
El diagnóstico diferencial se establece con adenoma suprarrenal, quiste mucinoso, teratomas, entre otros; no obstante, el diagnóstico certero resulta del análisis de la pieza quirúrgica. El abordaje quirúrgico aún se discute, pues se desconoce su relación con tumores malignos.2,5
CASO CLÍNICO
Paciente femenina de 53 años de edad, con antecedente de hipertensión arterial diagnosticada 10 años atrás, actualmente en tratamiento con losartan-hidroclorotiazida (1 tableta cada 12 h por vía oral). Acudió al servicio de Urgencias con dolor agudo en la fosa renal izquierda, sin reacción al tratamiento con analgésicos convencionales.
En la exploración física se encontraron signos vitales estables; afebril, con giordano positivo, además de eritema y erupción herpética en el flanco izquierdo, sin relación con dolor referido por la paciente.
Los estudios de laboratorio reportaron: leucocitos 9 x 10/UL, eritrocitos 3.6 x 10/UL, hemoglobina 11 g/dL, hematocrito 32%, plaquetas 340 x 10/UL, glucosa 110 mg/dL, creatinina 0.8 mg/dL, urea 30 mg/dL, calcio 9 mg/dL, albúmina 3.4 g/dL, TGO 23 U/L, TGP 34 U/L, fosfatasa alcalina 103 U/L, cortisol 15.80 (g/dL, ACTH 31 pg/mL y metanefrinas en orina de 24 horas <10 pg/mL.
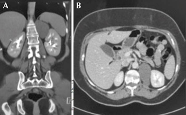
La urotomografía computada (UroTac) evidenció la glándula adrenal con masa de bordes bien definidos, de 7.1 x 4.3 x 6.0 cm, sin realce con la administración del medio de contraste (densidad promedio de 37 UH), sugerente de un quiste con contenido denso (Figura 1).

Figura 1 Urotomografía. Cortes coronal (A) y axial (B) que evidencian una masa de 7.1 x 4.3 x 6.0 cm en la glándula suprarrenal.
La resonancia magnética en secuencia T2 mostró una masa retroperitoneal adyacente a la parte interna del riñón, que desplazaba la glándula suprarrenal izquierda, de 38 x 67 mm de diámetro en corte axial. En secuencia T1 se comportó de manera hiperintensa, pero no se observó reforzamiento con el paso del medio de contraste, que también fue sugerente de un quiste (Figura 2).

Figura 2 Resonancia magnética. Cortes coronal (A) y axial (B), este último con imagen hiperintensa, pero sin reforzamiento con el paso del medio de contraste.
La paciente tuvo mala evolución, persistió con dolor constante, pero disminuía con la administración de medicamentos. Por tal motivo se decidió efectuar adrenalectomía laparoscópica izquierda (Figura 3); la intervención se llevó a cabo en 70 minutos, sin complicaciones transquirúrgicas y con sangrado estimado de 100 cc.
El reporte de histopatología fue: pieza de adrenalectomía izquierda de 5.4 x 3.4 x 0.5 cm, con quiste dependiente de la glándula adrenal de 7.0 x 5.0 x 4.0 cm, separado por una membrana translucida. Los cortes mostraron revestimiento epitelial respiratorio, pared con músculo liso y cartílago hialino; la glándula suprarrenal no evidenció alteraciones. El diagnóstico final fue quiste bronquial subdiafragmático (Figura 4).
DISCUSIÓN
En la bibliografía revisada a nuestro alcance se encontró que en 1953 Miller y colaboradores reportaron el primer caso de un quiste broncogénico retroperitoneal.4 Estos tumores suelen aparecer en el tórax, por lo que su localización retroperitoneal es extremadamente rara. La región peripancreática y la glándula suprarrenal izquierda son las localizaciones más comunes de los quistes broncogénicos situados en el retroperitoneo, esta última fue la localización de nuestro paciente.4,5
Respecto de las teorías de la patogénesis de los quistes broncogénicos retroperitoneales, Sumiyoshi y su grupo describieron la carencia en el cierre del canal pericardioperitoneal durante el desarrollo embriológico, que provocó la migración de elementos del árbol traqueobronquial a la cavidad abdominal. Otra teoría sugiere que los quistes broncogénicos retroperitoneales pueden considerarse quistes de duplicación de intestino anterior anormalmente diferenciados; esto explica su estrecha relación con órganos derivados del intestino anterior primitivo, como el páncreas o la vesícula biliar.1,4,5
Los pacientes con quistes broncogénicos suelen cursar asintomáticos y su diagnóstico se establece incidentalmente. Nuestro caso padecía, solamente, dolor de espalda inespecífico. Se ha demostrado que estos tumores pueden crecer, sangrar o comprimir estructuras adyacentes y de esta forma considerarlos como síntomas.3-5
La resonancia magnética y la tomografía computada son estudios fundamentales para establecer el diagnóstico etiológico de las lesiones. En nuestro caso, la urografía por tomografía computada mostró una imagen hipointensa compatible con una masa sólida retroperitoneal; sin embargo, la resonancia magnética reveló una lesión quística, con líquido de alta proteína, característica de una imagen hiperintensa.5
El tratamiento de pacientes con quiste broncogénico retroperitoneal consiste en extirpación quirúrgica. Aunque la mayoría permanece asintomático, el procedimiento quirúrgico se indica para establecer el diagnóstico, aliviar cualquier síntoma y prevenir complicaciones, especialmente infecciones y posible transformación maligna del quiste.4,5
Aunque los quistes broncogénicos son excepcionales, deben considerarse en el diagnóstico diferencial de alguna masa retroperitoneal, particularmente un tumor quístico adyacente a la glándula suprarrenal izquierda, además de proceder con métodos de mínima invasión para el mayor beneficio del paciente.










nueva página del texto (beta)




