ANTECEDENTES
La fístula vesicovaginal es una complicación que se origina por procedimientos ginecoobstétricos. Existen diferentes técnicas para su tratamiento, ya sea por abordaje abdominal o vaginal. Los procedimientos de mínima invasión, como la laparoscopia, requieren de cirujanos adiestrados, pues resultan técnicamente demandantes, incluso ha sido más fácil migrar a la disponibilidad de la cirugía robótica.
Desde su introducción, las intervenciones quirúrgicas asistidas por robot se han implementado en diversos procedimientos, incluida la reparación de las fístulas urinarias.1 Debido a la proximidad del conducto genital femenino con la vía urinaria inferior, existe el riesgo latente de lesión del sistema genitourinario durante la cirugía obstétrica y ginecológica. Debido a la mejora en las técnicas quirúrgicas y el instrumental para identificar las estructuras urológicas, los reportes de lesiones urológicas en los centros de alta concentración se estiman en 1% de todas las cirugías ginecoobstétricas, con 70% de lesiones vesicales y 30% ureterales.2 Los factores que aumentan el riesgo de lesión incluyen: endometriosis, fibrosis retroperitoneal, tumores ginecológicos, radioterapia pélvica, cirugía pélvica previa y anatomía genitourinaria anormal.3
Melamud y sus colaboradores describieron en 2005 el primer caso de reparación laparoscópica asistida por robot de fístula vésicovaginal.4
CASO CLÍNICO
Paciente de 46 años de edad, sin comorbilidades de importancia para el padecimiento actual, con antecedentes ginecoobstétricos de dos cesáreas e histerectomía abdominal por miomatosis uterina de medianos elementos. Después de la intervención quirúrgica se observó la salida de orina a través de la vagina, por lo que se solicitó la valoración del servicio de Urología. Se realizó tomografía abdominopélvica simple y contrastada, que reportó el paso del medio de contraste de la vejiga a la vagina. La cistografía miccional evidenció una imagen radio-opaca sugerente de trayecto fistuloso, entre la vejiga y la vagina, de 0.5 cm aproximadamente. Con los hallazgos anteriores se decidió efectuar la reparación de la fístula vesicovaginal por vía abdominal.
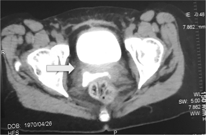
El cierre de la fístula se llevó a cabo con la técnica tradicional, además de colocar un reimplante ureteral izquierdo y un parche de epiplón. Al retirar la sonda ureteral izquierda (octava semana posquirúrgica) se observó, nuevamente, la salida de orina a través de la vagina, por lo que se efectuó el cierre de la fístula vesicovaginal recurrente, realizando un reimplante ureteral derecho y cierre del trayecto. La paciente egresó sin complicaciones y, posteriormente, se le retiró el catéter ureteral doble J derecho, además de la sonda Foley transuretral. Ante la persistencia de fuga de orina por la vagina se decidió realizar urotomografía, en la que se descartó la coexistencia de una fístula ureterovaginal, pero se observó una imagen hiperdensa, de 0.8 cm, en la zona postero-media de la vejiga, con paso del medio de contraste hacia la vagina (Figura 1).
La cistouretrografía miccional a presión máxima y con tapón vaginal mostró el paso del medio de contraste, de la vejiga hacia la vagina en su tercio medio, además de reflujo vesicoureteral bilateral, sin datos de fuga ureteral. Con estos datos se estableció el diagnóstico de fístula vesicovaginal recurrente (Figura 2).
Después de establecer el diagnóstico se decidió la resección y cierre de la fístula vesicovaginal asistida por robot, cistoscopia con colocación de catéter mono J y canalización del trayecto fistuloso con catéter Open End 6 French.
Descripción de la técnica quirúrgica
El procedimiento se inicia con la paciente en posición de semilitotomía, para efectuar la cistoscopia y cateterizar los ureteros a manera de dirigirlos externamente hasta el meato uretral, identificar el trayecto fistuloso con guía Benson y colocar el catéter Open End que indica el trayecto fistuloso; como referencia se exteriorizan los catéteres y se instala la sonda Foley de 18 French, y al mismo tiempo se coloca un tapón vaginal, para pasar al procedimiento abdominal (Figura 3). Se coloca a la paciente en posición de litotomía modificada para el ingreso y posterior unión del sistema quirúrgico Da Vinci Si. Una vez preparado el abdomen se coloca 1 trocar para óptica de 12 mm (a 2 cm supraumbilicales) y 2 trocares de robot: uno en la línea paramedia esternal y el otro en la línea axilar anterior del lado izquierdo infraumbilical y discreta lateral a la línea. Posteriormente se coloca 1 trocar de robot en la línea paramedia derecha, a 1.5 cm infraumbilical, y 2 trocares para el asistente: uno de 12 mm y el otro de 5 mm en disposición triangular con el trocar de robot, para enseguida unir el sistema Da Vinci Si, previo a la posición Trendelenburg de 45° Se procede al acceso transperitoneal, retirando inicialmente las adherencias previas, se diseca la zona pélvica distal y se retira el parche epiploico, debajo de éste se identifica el uréter izquierdo reimplantado, la cara posterolateral y media de la vejiga, se retira el resto de epiplón del fondo pélvico sin resección (solo despegamiento) y se visualiza e identifica el uréter derecho reimplantado (Figura 4). Posteriormente se realiza disección horizontal, entre el plano vesical y vaginal, logrando independizar ambas estructuras y localizando el catéter Open End con el trayecto fistuloso, mismo que se reseca y retira el tejido cicatricial, además del trayecto de la fístula de 1.2 cm. Se retira el catéter Open End y se inicia la reconstrucción vaginal con sutura en surgete continuo anclado, enseguida se realiza el cierre vesical en dos planos, perfectamente independientes, para después colocar un sellador de fibrina en ambas rafias (Figura 5).
DISCUSIÓN
Entre los diferentes tipos de fístulas urinarias, la fístula vesicovaginal es la más frecuente, pues su incidencia varía de 0.3-2%.5 Las causas son lesiones iatrogénicas (histerectomía, parto instrumentado), parto prolongado, tumores ginecológicos y radioterapia pélvica. El éxito de la reparación de la fístula depende de factores como: tamaño, localización y tiempo de la fístula; gravedad de los síntomas, calidad del tejido y experiencia del cirujano. Las principales reparaciones son de tipo transvaginal, transabdominal y laparoscópica (convencional y asistida por robot). La intervención quirúrgica depende de la preferencia del cirujano, localización o complejidad de la fístula. El éxito del abordaje transvaginal es de 93% y transabdominal de 91%.3
Existen diferentes procedimientos quirúrgicos para el tratamiento de la fístula vesicovaginal. La reparación transvaginal es una técnica de mínima invasión con alta tasa de éxito; sin embargo, debe contraindicarse en pacientes con vagina estrecha, localización alta de la fístula o deficiente cicatrización. El acceso abierto es el procedimiento de elección para fístulas grandes (> 3 cm), supratrigonales, múltiples o complejas; no obstante, implica una gran incisión de cistostomía, drenaje suprapúbico y larga recuperación.6 La laparoscopia convencional es limitada por su curva de aprendizaje larga, debido a la dificultad de la sutura en procedimientos pélvicos y la disección precisa de la vejiga y la vagina. Debido a estos factores, la introducción de la cirugía robótica está en aumento y entre sus principales ventajas se encuentran: mayor facilidad para la sutura durante la reparación de la fístula y la percepción tridimensional durante la disección vésicovaginal.7
Sundaram y sus colaboradores reportaron la primera serie de pacientes con reparación de fístula vesicovaginal asistida por robot en 2006. Entre sus resultados demostraron la efectividad de la técnica y su baja morbilidad.8 Gupta y su grupo realizaron un estudio en el que compararon la reparación abierta versus asistida por robot, y demostraron una efectividad similar con ambas técnicas, además de tiempo quirúrgico, pero menor sangrado y estancia hospitalaria corta a favor de la reparación asistida por robot.9 En relación con el drenaje suprapúbico, no es necesario con la técnica asistida por robot, debido a la excelente hemostasia que ofrece.6
Agrawal y sus coautores describieron una serie de 10 pacientes intervenidas de fístula vesicovaginal asistida por robot provocada por un procedimiento de histerectomía.7 Bora y sus colaboradores reportaron la mayor serie de reparación de fístula vesicovaginal asistida por robot en 30 pacientes, con éxito de 93% en cuanto a seguridad y eficacia del procedimiento.6 Sotelo y su grupo encontraron que la luz del cistoscopio para iluminar la fístula permanece encendida, mientras que la luz del robot se encuentra apagada.10 El estudio de Sokol, efectuado en perros, reportó la ventaja del cierre en dos planos de la vejiga versus el cierre de una sola capa.11 Miklos y sus colaboradores no encontraron diferencia significativa entre el uso de colgajos de interposición y señalan que la reparación (que incluye disección adecuada, sellado impermeable y buena descompresión de la vejiga) determina el éxito del cierre de la fístula.12
CONCLUSIÓN
La reparación de la fístula vesicovaginal con cirugía de mínima invasión (asistida por robot) es una técnica efectiva, segura, viable y reproducible, con ventajas de menor morbilidad, estancia hospitalaria corta y menor curva de aprendizaje respecto de otros métodos quirúrgicos, como el abordaje abierto (proporciona poca visión y lejanía del trayecto fistuloso en la pelvis) o laparoscópico (implica mayor dificultad técnica). Se requieren estudios adicionales, que comprueben mejores resultados de la reparación de la fístula vesicovaginal recurrente asistida por robot.










nueva página del texto (beta)







