ANTECEDENTES
Los quistes de la vesícula seminal son infrecuentes; su incidencia se estima en 0.005%.1,2,3 Algunos autores consideran que hay 100 casos reportados en la bibliografía.4 Se diagnostican con mayor frecuencia de la segunda a la cuarta décadas de la vida,5,6,7 durante el periodo de mayor actividad sexual.6,7
Se desconoce la causa exacta de su origen, su presentación es congénita o adquirida.7,8,9 La primera se asocia con alteraciones del conducto mesonéfrico (conducto de Wolf).3-6,10,11 El conducto mesonéfrico en el hombre da lugar a la vesícula seminal e induce el desarrollo renal a través del brote ureteral. Las malformaciones del brote ureteral pueden causar agenesia renal, displasia, hipoplasia o, incluso, duplicación de los conductos eyaculadores, obstrucción de la vesícula seminal y provocar la formación de quistes de la vesícula seminal;2-4 dos terceras partes de los casos se acompañan de agenesia renal ipsilateral (síndrome de Zinner).1,6,9 Se ha descrito su asociación con enfermedad poliquística renal. En los quistes bilaterales de vesícula seminal existe, incluso, 44-60% de enfermedad poliquística renal.9 La forma adquirida se asocia con causas obstructivas, presumiblemente infecciosas.2-6 La mayoría de los casos se manifiesta como una lesión única, aunque pueden encontrarse varias lesiones; esto es más frecuente en las formas adquiridas.6 Los quistes de la vesícula seminal son las lesiones más infrecuentes de los quistes del aparato genitourinario masculino. Cuadro 1
Cuadro 1 Quistes genitourinarios, según su ubicación en relación con la próstata
| Quistes del aparato genitourinario masculino | |
|---|---|
| Intraprostáticos | |
| Quistes mediales | |
| Quistes del utrículo prostático | |
| Quistes müllerianos | |
| Quistes paramediales | |
| Quistes del conducto eyaculador | |
| Quistes laterales | |
| Quistes prostáticos de retención | |
| Degeneración quística asociada con HBP | |
| Quistes asociados con neoplasias | |
| Abscesos prostáticos | |
| Quistes extraprostáticos | |
| Quistes de vesícula seminal | |
| Quistes del conducto deferente | |
| Quistes del conducto de Cowper | |
CASO CLÍNICO
Paciente masculino de 43 años de edad, padre de tres hijos, con antecedente de enfermedad venérea en la adolescencia. Lo diagnosticó y trató un dermatólogo como papulomatosis bowenoide.
El paciente acudió a la consulta de Urología del Hospital Central Dr. Ignacio Morones Prieto por hematoespermia de dos años de evolución. Durante el interrogatorio refirió antecedentes de infecciones urinarias de repetición, dolor testicular y pélvico, y tenesmo rectal durante los últimos seis meses.
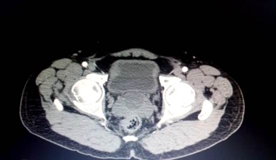
A la exploración física dirigida, los genitales se observaron acordes para su edad, pene no circuncidado, prepucio retráctil, meato uretral central, ambos testes en las bolsas escrotales, sin alteraciones evidentes, próstata hipertérmica, dolorosa, bilobulada, adenomatosa grado II, no se palparon lesiones sospechosas. El tratamiento se inició para prostatitis. El ultrasonido vesicoprostático reportó que la próstata medía 40 x 47 x 35 mm (Figura 1). Se trató de una lesión hipoecoica de 30 x 23 mm en línea media. La lesión se corroboró en el ultrasonido prostático transrectal (Figura 2). La tomografía abdominal contrastada (Figura 3) no reportó anormalidades en la vía urinaria. En la espermatobioscopia destacó la hematospermia. La cuenta espermática se informó con valores normales en concentración, estructura y motilidad.

Figura 1 Imagen de un ultrasonido vésico-prostático transabdominal. Se identifica una imagen anecogénic bien delimitada en la línea media de la glándula prostática.

Figura 2 Imagen de ultrasonido transrectal de próstata. Se aprecia con mayor claridad la imagen anecogénica bien delimitada de 30 x 23 mm.

Figura 3 Imagen de tomografía axial computada abdominal, con contraste venoso. En este corte en fase arterial cerca de la próstata se aprecia una lesion homogénea hipodensa, en la línea media de la grándula prostática. En el resto del parénquima prostático no se encuentran otras lesiones. Se aprecian paredes vesicales, con discreto engrosamiento difuso, sin otras lesiones evidentes.
Puesto que en la uretrocistoscopia no se encontraron anormalidades se procedió a la vesiculoscopia con un ureteroscopio pediátrico Storz F6/F7.5. Alrededor del Veru montanum, con un catéter epidural como guía, se identificaron orificios de salida del ducto eyaculador. No fue posible acceder a las vesículas seminales. El tejido periductal se resecó con un resectoscopio, con infusión con solución salina al 0.9%, no mayor de 0.2 L/min. Se accedió a las vesículas seminales, se drenó material denso con contenido hemático y se realizó una infusión con solución salina y 500 mg de levofloxacino. El procedimiento se concluyó sin encontrar otra anormalidad. Se dejó una sonda transuretral durante tres días, y se dio cita a los 30 días. En esa visita el paciente refirió disminución de los síntomas, sin hematoespermia u otro acompañante. El ultrasonido vesicoprostático de control no mostró datos de regresión. Se dará seguimientio mensual durante los siguientes cinco meses, posteriormente cada dos meses durante los siguientes 18 meses.
DISCUSIÓN
El cuadro clínico es de gran variabilidad, debido a que la mayoría de los quistes de la vesícula seminal son pequeños (menor de 5 cm)6,7 y suelen cursar asintomáticos. Los quistes grandes (mayores de 8-10 cm) casi siempre se acompañan de síntomas urinarios bajos, irritativos, infecciones urinarias, hematuria, hematospermia, infertilidad.6,7,12 Los quistes gigantes (mayores de 12 cm)2-4 pueden acompañarse de síntomas gastrointestinales: estreñimiento, dolor al defecar, tenesmo rectal relacionado con la obstrucción mecánica.7,8 Se han reportado casos asociados con prostatitis crónica recurrente, epididimitis, uretritis, dolor testicular y durante la eyaculación.7
La sospecha diagnóstica es el principal elemento, la hematoespermia de etiología idiopática se acompaña de una imagen sospechosa en el ultrasonido, que ayuda a orientar el diagnóstico. El ultrasonido abdominal suele ser el primer estudio en el que se encuentran los quistes de la vesícula seminal.9
Junto con la tomografía abdominal, el ultrasonido prostático transrectal (UPTR) se considera una herramienta indispensable para tratar quistes de la vesícula seminal. 9 En el ultrasonido prostático transrectal, la vesícula seminal se describe como un órgano simétrico, con forma de corbatín, posterior a la vejiga y cefálico a la próstata y con ecogenicidad discretamente inferior a la próstata.9 El volumen de la vesícula seminal es de aproximadamente 14 mL, el grosor de la pared de 1-2 mm.4 El volumen está directamente relacionado con las concentraciones de testosterona, prolactina y la abstinencia sexual. La utilidad del ultrasonido prostático transrectal se ha cuestionado en varios estudios porque se reportan 50% de falsos positivos.13 Su indicación ha tomado importancia en el tratamiento asistido por imagen; por ejemplo, en la punción quística con aguja guiada por ultrasonido.14
Los diagnósticos diferenciales a considerar son: ureterocele, dilatación de la uretra prostática posterior a la resección transuretral de próstata(RTUP), divertículos vesicales, hidrouréter e inserción ectópica ureteral.4-7 (Cuadro 2) Otras causas menos frecuentes que pueden mimetizar los quistes de la vesícula seminal son: quistes müllerianos, quistes del utrículo prostático, quistes del conducto deferente, quistes hidatídicos.2,4,15
Cuadro 2 Diagnósticos diferenciales más frecuentes a establecer, en un paciente con sospecha de quiste de vesícula seminal.
| Diagnósticos diferenciales |
|---|
| Ureterocele |
| Divertículo vesical |
| Hidrouréter por inserción ectópica |
| Defecto post RTUP |
| Quiste hidatídico |
La tomografía axial computada es el estudio de elección, como paso inicial del tratamiento de los quistes de la vía genitourinaria masculina; algunos autores lo consideran el de mayor utilidad para el diagnóstico y para decidir el esquema de tratamiento.7,10,12 La densidad del contenido en los quistes de la vesícula seminal es cercana a la del agua, casi siempre de características heterogéneas debido al contenido hemático; pueden encontrarse imágenes hiperecogénicas compatibles con litos.7-12
La resonancia magnética es el estudio de gabinete de mayor utilidad en el estudio de los quistes del aparato genitourinario, se reserva para pacientes en quienes no es posible realizar la tomografía abdominal contrastada. La principal desventaja es el costo del estudio.2-10
Los pacientes asintomáticos pueden “tratarse” solo con observación;4 el tratamiento se reserva para pacientes sintomáticos.6 Existente diversas modalidades de tratamiento: resección abierta,3 laparoscópica,3 asistida por robot,16 aspiración con aguja fina guiada por ultrasonido,14 transuretral de conducto eyaculador, 13-17 vesiculoscopia con o sin destechamiento de paredes quísticas.13,17,18,19
Las primeras descripciones del tratamiento quirúrgico abierto son de 1914, por parte de Zinner.16 Debido a la localización de las vesículas seminales, el acceso abierto condiciona alto riesgo de sangrado, lesión rectal y, por la disección amplia necesaria, importante afectación de la vasculatura ureteral.
Según algunas series la aparición de urinomas es relativamente frecuente. El acceso laparoscópico con seis trócares se acompaña de menores complicaciones posquirúrgicas, con mejores resultados respecto al acceso abierto, en cuanto a días de estancia hospitalaria, dolor posquirúrgico, frecuencia de complicaciones, como urinomas, entre otros.16 La punción con aguja fina (17 gauge) guiada por ultrasonido, tanto en el acceso transrectal como transperineal, se ha asociado con altas tasas de recurrencia; por eso en la actualidad se ha abandonado su uso.14-18 En la actualidad, el acceso endoscópico es la primera opción de tratamiento, y la vesiculoscopia el patrón de referencia para quistes de la vesícula seminal. Enseguida se describirán con mayor detalle las dos modalidades en la actualidad más aceptadas.
La resección transuretral de los conductos eyaculadores, RTU-DE ó TURED por sus siglas en inglés, implica la destrucción de una estructura anatómica, el colícula seminal, y el ducto eyaculador.13 Las complicaciones asociadas comprenden: eyaculación retrógrada, flujo urinario al conducto eyaculador, incontinencia urinaria, lesión al recto, fístulas uretrales.13 En la actualidad la resección ureteral (RTU-DE) está en desuso por su riesgo inherente de eyaculación retrógrada, y solo se reserva para casos en los que no es posible accesar a la vesícula seminal debido a que los ductos eyaculadores no se pueden visualizar o están obstruidos.13-19
Requiere grado de habilidad considerable, su ejecución incorrecta se asocia con daño a la vesícula seminal, colículo seminal y uretra.13-20 El sangrado excesivo en el posquirúrgico afecta los resultados de la cirugía, con episodios de epididimitis asociada con reflujo urinario.13 Algunos autores consideran el uso de guías Zebra (nitinol) para mejorar la visualización y controlar la entrada a las cavidades de la vesícula seminal.13,17,18,19 Para otros autores, el diámetro y las propiedades del catéter peridural disminuyen el traumatismo a la mucosa de la vesícula seminal y se acompañan de mejores resultados.2 Debido al diámetro normal de 1.7 ± 0.3 mm del ducto eyaculador19 el equipo que ha demostrado mejores resultados en las vesiculoscopias es el ureteroscopio pediátrico 6-7.5F.13-20 Sin embargo, existen grandes variaciones a lo largo del trayecto del ducto eyaculador que predisponen a la obstrucción y falta de paso del equipo.19
Estas variantes anatómicas que impiden el paso del ureteroscopio pueden favorecer la obstrucción del ducto eyaculador y condicionar la formación de los quistes de la vesícula seminal. El flujo en la vesiculoscopia debe ser tan bajo como sea posible, la presión excesiva puede destruir el epitelio de la vesícula seminal y condicionar un pronóstico desfavorable.13 Una presión de 200 mmHg y velocidad de flujo de 0.2 L/min se considera ideal.20 Se han reportado como hallazgos frecuentes: la liberación de líquido turbio de contenido hemático y litos en el interior de la vesícula seminal.19
Para evitar el reflujo urinario con la entrada a cavidad vesical debe colocarse una sonda transuretral y mantener la derivación durante los primeros 3-5 días.20 Puesto que se trata de un padecimiento poco frecuente no se ha determinado un periodo de seguimiento ideal; algunos autores sugieren un seguimiento semanal durante el primer mes, después mensual durante los primeros seis meses, y por último, cada dos meses hasta completar dos años.19,20
La mayoría de los autores ha reportado éxito cercano al 100% con el acceso endoscópico,17-20 con regresión de los síntomas y resultados normales en las espermatobioscopias a los seis meses de la cirugía. Se han reportado casos anecdóticos de fertilidad, aunque la naturaleza multifactorial de esta última vuelve difícil la asociación directa entre tratamiento y altas tasas de concepción.20 Según algunas series el dolor posquirúrgico es el último síntoma en desaparecer.17










nueva página del texto (beta)


