Introduction
Mango (Mangifera indica L.) is native to India, a member of the Anacardiaceae family, considered one of the most important fruit crops for tropical and subtropical regions of the world (Durán-Zuazo et al., 2018). Annually, world production exceeds 54 million tons, among the countries with the highest production are India, China, Indonesia, Pakistan, Mexico, Brazil, Malawi, Thailand, Bangladesh, and Vietnam (FAOSTAT, 2020). There are more than a thousand mango cultivars, of which approximately 30 are marketed worldwide, divided into two different categories: monoembryonic and polyembryonic mangoes (Rocha et al., 2012). In this diversity of cultivars, fertilization problems have occurred during fruit development, mainly during pollination, causing a high incidence of parthenocarpic and stenospermocarpic fruits, affecting yield and commercial value; that is, pollination can occur in a flower, but if there is no effective fertilization, the seed cannot develop (parthenocarpy). On the contrary, if fertilization is effective, but the embryo is aborted (stenospermocarpy), in the seed has no complete development; in both cases, the fruit is small (Subbaraya et al., 2020). It has been reported that environmental factors are possibly responsible for parthenocarpy and stenospermocarpy in mango fruits, mainly temperature affecting the flowering phase, impairing pollination, where pollen is or is not viable, even if it falls through the air in the pollen tube (Salazar-García et al., 2016; Pérez-Barraza et al., 2019). On the other hand, it has also been reported that stenospermocarpy is due to physiological alterations related to plant nutrition (Carvalho et al., 2020) and to the phytohormones that are biosynthesized during embryo development (Huang et al., 2010; Gehrke- Velez et al., 2011). This review article aims to identify the possible factors causing parthenocarpy and stenospermocarpy in mango fruits (Mangifera indica L.), as well as to acquire knowledge about the studies carried out on these physiopathies.
Material and Methods
An exhaustive search of scientific publications (1975 to 2022) was carried out in journals indexed in Scopus, Redalyc, Scielo, Elsevier, Science Direct, Research Gate, Springer, PubMed, Google Scholar, Taylor, and Francis Online databases; the main search keywords were: parthenocarpy, stenospermocarpy, phytohormones, and nutrients (macro and micronutrients) in mango fruits; environmental factors (temperature, rainfall, light, relative humidity) related to the cultivation and development of mango fruits (Mangifera indica L.).
Stenospermocarpy and parthenocarpy
A parthenocarpic mango fruit is characterized by its ability to develop without the need for fertilization of the ovules. Consequently, such fruits are devoid of seeds (Pérez-Barraza et al., 2019). Conversely, stenospermocarpy involves fertilization, yet the seed fails to mature as a result of embryo abortion, resulting in a stunted seed within the fruit (Hernández-Guerrero et al., 2015). Previous studies mention that the possible cause of these physiopathies is due to high and low temperatures during flowering, affecting the development of the pollen tube, pollen viability, and fertilization, and during the fruit set stage (Pérez-Barraza et al., 2007; Salazar-García et al., 2016). Thimmappaiah and Harmail (1983) suggest that parthenocarpy originates at low temperatures during flowering, reducing the activity of pollinators and causing selfing. Gehrke-Velez et al. (2012) allude to the fact that stenospermocarpy is probably due to delayed self-incompatibility, which presents as fertilization of the ovule by pollen from the same cultivar. In addition to temperature and self-incompatibility, there are other possible abiotic (sunlight, relative humidity, rainfall, plant nutrition) and endogenous (phytohormones and genetics) factors involved in parthenocarpy and stenospermocarpy in mango.
Parthenocarpy and stenospermocarpy worldwide
Parthenocarpy and stenospermocarpy have occurred in various cultivars around the world, affecting the shape, weight, and size of the fruit. This is because its growth rate is slower compared to normal fruits, causing low yields and great economic losses in mango-producing areas (Litz, 1997; He et al., 2012). In Thailand, the cultivars Nam Dok Mai (polyembryonic), Kensington (polyembryonic), and Irwin (monoembryonic) have stenospermocarpic fruits called “nubbins”, which develop from low night temperatures during fruit set and early embryo development (Sukhvibul et al., 2005). The Ewais (polyembryonic), Hindi Khassa (polyembryonic), Hindi Bisinnara (polyembryonic), and Bullocks Heart (monoembryonic) cultivars in Egypt develop parthenocarpic and stenospermocarpic fruits known as "fass", which develop naturally concerning temperature changes and with the concentration of endogenous hormones (Shaban, 2005; Shaban & Ibrahim, 2009). In the San Francisco Valley, Brazil, the Palmer cultivar (polyembryonic) presents parthenocarpy, whose fruits are known as "manguita or chestnut" and its development is related to a nutritional deficit and temperature (Carvalho et al., 2020).
Parthenocarpy and stenospermocarpy in Mexico
In Mexico, there have been reports of parthenocarpy in 'Haden' mango (monoembryonic) for 40 years, which are described as seedless fruits (Lakshminarayana & Hernández-Aguilar, 1975). However, studies on parthenocarpy and stenospermocarpy currently focus on the 'Ataulfo’ (polyembryonic) mango. Presumably, this is attributable to its endemic cultivar status and heightened economic and social significance resulting from its proliferation in both domestic and global markets (Leyva-Mayo et al., 2016). Pérez-Barraza et al. (2007) reported that 'Ataulfo' mangos produce fruits up to three times smaller than a normal fruit, with a pronounced beak, a cleft in the distal part, and no commercial value of parthenocarpic origin, called "children" mangoes (Table 1). On the other hand, Hernández-Guerrero et al. (2015) mention that the child mangoes in 'Ataulfo' are stenospermocarpic, presenting a partially formed seed, due to the abortion of the embryo after fertilization. Salazar-García et al. (2016) allude that the child mango is of stenospermocarpic origin and those produced by parthenocarpy are simply called parthenocarpic fruits and that both physiopathies can be carried out in the same cultivar (Table 1). The official Mexican standard NOM-188-SCFI-2012 establishes the specifications that the 'Ataulfo' mango fruit produced within the area delimited by the designation of origin must meet, classifying the 'Ataulfo' mango fruit as child mango due to its weight and size (≤ 118 g and a caliber less than 38), regardless of whether it is parthenocarpic or stenospermocarpic.
Parthenocarpy and stenospermocarpy can affect both monoembryonic and polyembryonic cultivars around the world. However, the physical characteristics described by some studies are not enough to determine if a fruit is parthenocarpic or stenospermocarpic. To confirm that fruit is caused by parthenocarpy or stenospermocarpy, it is necessary to make longitudinal or transverse cuts, to macroscopically and microscopically observe the presence of stunted seed/embryo abortion (stenospermocarpy) or the absence (parthenocarpy) as shown in Table 1.
Table 1 Stenospermocarpic and parthenocarpic mango fruits.
| Cultivate | Description | Country | Reference | |
|---|---|---|---|---|
| Jinhuang |
|
Mango fruit with normal seed (A) and abortive embryo (B) at the stage of physiological maturity. | China | He et al. 2012 |
| Ataulfo |
|
The external appearance of normal and parthenocarpic fruits of the 'Ataulfo' mango (A). Normal fruit with the presence of embryos (left) and parthenocarpic, showing the absence of embryos (B). | México | Salazar-García et al. 2016 |
| Ataulfo |
|
Parthenocarpic fruit with absence of embryos (A). Parthenocarpic fruit with undeveloped embryo sac due to lack of fertilization of the ovule; and (B). The arrow points to the funicle, which supports the embryo sac. | México | Salazar-García et al. 2016 |
| Ataulfo |
|
‘Ataulfo’ mango fruits. a) parthenocarpic fruits of mango cv. 'Ataulfo'; b) fractions of the fruits: 1 endocarp (bone); 2 exocarp (skin); 3 mesocarp (pulp); c) parthenocarpic mango fruits at physiological maturity; d) seedless endocarp. | México | Maldonado-Astudillo et al. 2019 |
| Ataulfo |
|
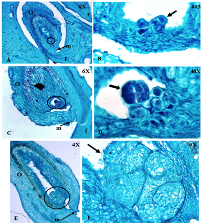
Embryo abortion in three stages of parthenocarpic fruits development. A= fruit set stage (fruits between 3 and 5 mm in length), the circle indicates the presence of the aborted embryo (6X); B= aborted embryo observed on a larger scale (40X). C= mooring (fruits between 1 and 2 cm), the circle indicates the presence of the embryo in aborted globular state (6X); D= aborted globular embryo (40X). E= developing fruits (between 4 and 5 cm), the circle indicates the presence of numerous aborted embryos (4X) and F= the same embryos on a larger scale (6X), corroborating that 'Ataulfo' is a type of polyembryonic fruit. O= anatropous ovule; m= micropyle; f= funicle. | México | Pérez-Barraza et al. 2019 |
Environmental factors
Temperature
According to reports, mangoes may experience parthenocarpy and stenospermocarpy due to low temperatures, particularly those below 10 °C at night. This is believed to occur as a result of the impact on sexual reproduction, which can lead to reduced pollen viability and hindered pollination and fertilization during anthesis. Consequently, this can result in the production of smaller fruits (Singh, 2005; Huang et al., 2010; Pérez et al., 2019). In this sense, Sukhvibul et al. (2000) evaluated the in vitro pollen germination of three mango cultivars, 'Nam Dok Mai' (polyembryonic), 'Kensington' (polyembryonic) and 'Irwin' (monoembryonic), to demonstrate the damage caused by temperature, whose result was a low percentage of germination at 10 °C (53.9 %) and 30 °C (68.2 %), while at 15 and 25 °C the germination was 76.2 and 77.4 %, respectively. Also, at 10 °C the development of the pollen tube was impaired by not reaching the ovule, but it was at 20 and 25 °C. The aforementioned researchers have documented that the incidence of stenospermocarpic fruits was notably elevated when subjected to diurnal temperatures of 20 °C and nocturnal temperatures of 10 °C for a duration of three days post-pollination with 'Nam Dok Mai' being the cultivar with the highest incidence (38.3 %), followed by 'Kensington' (21.4 %) and 'Irwin' (6.8 %).
Likewise, Sukhvibul et al. (2005) reported that at the same temperatures (20/10 °C day/night) the cultivar 'Nam Dok Mai' presented a greater number of seedless fruits (21 %), followed by 'Kensington' (11 %) and 'Irwin' (3 %). The findings of both studies indicate that polyembryonic fruits exhibit the greatest incidence of stenospermocarpy and parthenocarpy. On the other hand, Huang and colleagues (2010) provided evidence indicating that exposure of 'Tainong 1' (polyembryonic) mango trees to temperatures below 20°C leads to reduced pollen viability and slow pollen tube growth, ultimately resulting in decreased fertilization rates during plant pollination. Flowers have an impact on the process of fruit set. Also, Simões et al. (2022) report a high incidence of parthenocarpic fruits in the first flowering flows (December 2018-May 2019) in 'Palmer' mango (Brazil) when temperatures are 20 to 35 °C.
Various studies in Mexico have agreed that extreme temperature changes possibly cause the formation of parthenocarpic and stenospermocarpic fruits in the 'Ataulfo' mango. Pérez-Barraza et al. (2019) carried out an investigation on the 'Ataulfo' mango (Nayarit) on the effect of temperature on floral development and its impact on the formation of parthenocarpic fruits, evaluating two flowering flows: December 2017 to January 2018 (1st flow). The plant's growth was assessed from the onset of the flowering stage until complete flowering, and subsequently, from full flowering to the point of fruit set (71 days). During the initiation phase and full flowering, the temperatures were 13.3 and 18.6 °C (minimum) and 28 and 31.5 °C (maximum), in full flowering, it has set fruit, the minimum temperatures were 9.5 and 18 °C, while the maximums were between 24 and 38 °C. The second flow comprised 75 days (January to February 2018), registering minimum temperatures during the beginning of full flowering from 11 to 18 °C and maximum temperatures from 24 to 38 °C; while in full bloom it has set fruit, the minimum temperatures fluctuated between 8 and 15 °C, as well as maximums between 31 and 40 °C. The results obtained in the fruits of the first flow presented a seed incidence of 86 % (parthenocarpy of 14 %), while in the second flow, the incidence of parthenocarpic fruits was 75 %. Therefore, the presence of parthenocarpic fruits is favored when mango trees are exposed to temperatures ≤ 15 and ≥ 35 °C during full bloom until fruit set (Table 1).
This research coincides with the findings reported by Salazar-García et al. (2016), wherein they observed that temperatures of ≤ 13, ≤ 14, and ≤ 15 °C during the flowering stages of 'Ataulfo' mango (Nayarit) were accountable for the parthenocarpic fruit index. For their part, Escalera-Mota et al. (2022) report that low temperatures (16.2-17.9 °C/ period 2017 and 2018) cause greater retention of parthenocarpic fruits in 'Ataulfo' (Guerrero) mango panicles due to the inhibition of the pollination process.
The aforementioned studies agree that temperature could be a determining factor in the number of parthenocarpic and stenospermocarpic fruits that develop in mango, with the flowering and fruit set stages being the stages affected by low and high temperatures.
Relative humidity
Relative humidity has been little studied in relation to parthenocarpy and stenospermocarpy in mango, The impact of this phenomenon on the mango crop is widely recognized to have a direct influence on the regulation of transpiration rate and water balance, as well as an indirect influence on growth stages, flowering, and fruiting (Gamboa-Porras & Mora-Montero, 2010). Low relative humidity can lead to increased water flow in a plant's structural organs, resulting in high transpiration rates and subsequent stomatal opening. Whereas, high relative humidity affects the flowering stage, resulting in a reduction in the number of flowers and hindering pollination. This is primarily due to the detrimental effects on pollen viability, which can be caused by either dehydration (relative humidity ≤ 50 %) or compaction (relative humidity ≥ 85 %). As a result, pollination may be rendered ineffective, leading to a failure in ovule fertilization (Kumar et al. 2014; Pérez et al., 2019). There are reports that in mangoes from Palestine, the formation of seedless fruits is due to high temperatures (44 °C) and low relative humidity (15 %) (Lakshminarayana & Hernández-Aguilar, 1975).
Rainfall
In tropical and subtropical zones, the annual distribution of rainfall is an important factor for the development of mango cultivation; both temperature and rainfall are essential for its phenology and determinants for its production (Gamboa-Porras & Marín-Méndez, 2012). This crop requires an annual distribution of rainfall of 700 to 2,500 mm, but the optimum is between 1,000 and 1,500 mm of precipitation alternating with a dry season (4 to 6 months), which must coincide with the flowering, fruit set, and growth stage (Gamboa-Porras & Mora-Montero, 2010). A study on cultivar Palmer (Brazil) during two production cycles, reported that a level of rainfall of 220.28 mm during the first cycle caused a high incidence of parthenocarpic fruits compared to those of the second cycle (60.45 mm). In addition, the fruits of the first cycle presented greater weight, without reaching the standard for their commercialization (Simões et al., 2022). According to these results, rainfall could be a factor in the development of parthenocarpy and fruit weight gain.
Luminosity
Mango cultivation requires good light for its growth, reproductive development, and yield. Furthermore, the plant fails to exhibit floral differentiation in response to variations in photoperiod (Gamboa-Porras & Mora-Montero, 2010). Light is important for plants, as an inducer of environmental signaling, a source of energy for photosynthesis, a contributor to morphogenesis, and a stimulus for growth and differentiation; as well as various processes such as floral induction, organ formation, source-demand relationship, and yield (Lee et al., 2017; Blanco-Valdes, 2019). The decrease in light intensity affects the induction of the flower bud, its differentiation, fruit set, size, color, and quality of the fruit, and, to a lesser extent, growth (Dussi, 2007). The formation, development, and quality of the fruit is largely determined by light, it has been reported that a large amount of solar radiation induces changes in the distribution of carbohydrates in the fruit (Fischer et al., 2012). The quality of light affects the photosynthetic rate, the efficiency to assimilate CO2, and the maximum activity of the enzyme phosphoenolpyruvate carboxylase (PEPC) (Blanco-Valdés, 2019). PEPC serves as an anaplerotic agent in plants, regulates cellular pH, participates in the uptake and conveyance of cations, facilitates stomatal movement, and plays a role in the interplay between the pollen tube and style. Moreover, it plays a role in the maturation and germination of the seed, as well as in the ripening of the fruits (Echevarría & Vidal, 2003). Therefore, this environmental factor could influence the incidence of parthenocarpic and stenospermocarpic fruits by mainly affecting the pollen tube and style interaction (PEPC enzyme) and carbohydrate distribution, which are essential for growing fruits.
In general, the environmental conditions in which the mango crop develops are decisive for high or low fruit production. Environmental factors such as temperature, relative humidity, rainfall, and light influence the reproductive period, affecting the flowering stage, pollen viability, pollen tube development, pollination, and fertilization, which could cause the incidence of parthenocarpic and stenospermocarpic fruits.
Nutrition
Nutrients are of the utmost importance for fruit crops, since they function as signals that transmit information to modulate endogenous programs during fruit growth and development (Vega et al., 2019). Perennial plants, including fruit trees, have a higher demand for macronutrients compared to micronutrients. Nevertheless, mango cultivation necessitates substantial quantities of both types of nutrients. Therefore, effective nutrient management practices are crucial to enhance production and prevent physiological disorders (Oldoni et al., 2018; Simões et al., 2022). A nutritional deficit in mango is associated with poor pollen germination (de Wet et al., 1989). On the other hand, Singh (2005) mentions that embryo abortion in mango does not correlate with nutritional deficit. Some nutrients are necessary for mango cultivation that could be influencing the formation of parthenocarpic and stenospermocarpic fruits are described below.
Nitrogen
Nitrogen (N) is an essential nutrient for fruit crops because it controls aspects of growth and development, such as germination, rooting, branching, and seed flowering time (Fredes et al., 2019). It has been reported that a deficiency of N in fruit crops induces pollen abortion, on the other hand, an adequate supply of N improves the longevity of the ovule, favoring the mooring of the fruits (Díaz, 2002; Hernández-Maruri et al., 2015). In mango, N affects various productivity parameters such as vegetative growth, alternation of production, photosynthesis, quality of shoots and panicles, embryo(s) abortion, fruit quality, and diseases caused by phytopathogens (Silbert et al., 2022). According to the aforementioned, N could be related to stenospermocarpy, because it intervenes in embryonic abortion.
In Israel, Silbert et al. (2022) evaluated the effect of N concentrations on the absorption and distribution of nutrients in 'Keitt' (polyembryonic) mango fruits, proving that N requirements are relatively low in mango compared to other fruit trees. According to their report, fruits serve as the primary sinks for nitrogen (N), resulting in a notable augmentation in the assimilation and utilization of N reserves to meet the requirement for this essential macronutrient. This coincides with Stassen & Jasen Van Vuuren (1997), who reported that fruit production is related to N uptake, reaching its maximum point during the reproductive period.
Boron
Boron (B) this nutrient is considered a key factor for adequate fruit formation since it facilitates the transport of sugars through the membranes (borate-sugar complex). Additionally, it is involved in the production of seeds, so a deficiency would impair the production of functional flowers and therefore not produce seeds (Dechen & Nachtigall, 2006; Gupta, 2007). In postfertilization, the deficiency of B affects the deterioration of embryogenesis, which results in the abortion of the seed or the formation of incomplete or damaged embryos and malformed fruits (Dell & Huang, 1997). In this sense, B deficiency could be related to the development of parthenocarpic or stenospermocarpic fruits. Lee et al. (2009) reported that a concentration of 200 mg L-1 of boric acid increases the weight of the anther and the pole, benefiting the production and germination of the pole, as well as the growth of the pollen tube; while at concentrations of 300 mg L-1 the pollen tube is inhibited.
Hernández-Maruri et al. (2015) carried out a study with 'Ataulfo' mango trees, applying 25, 50, and 100 g of B to reduce the formation of seedless fruits and improve the nutritional status of the trees. The authors concluded that a dose of 50 g of B was more efficient by decreasing seedless mango production by 45 %. These same researchers carried out a nutritional analysis of fruits with and without seeds after the application of B, to evaluate the effect of the treatments on the nutritional concentration, finding that the fruits with seeds presented higher concentrations of N, phosphorus (P), and magnesium (Mg), while the seedless fruits were higher in calcium (Ca) concentration, although both types of fruits had the same concentration of potassium (K) and B.
Calcium
Calcium (Ca) is a structural part of the plant, it participates in cell division and extension; as well as a modulator of phytohormonal and signaling action; as well as, stabilizer of the cell wall and plasma membrane, contributing to the ionic balance of the cell (Marschner, 1986; Gulbagca et al., 2020). Also, Ca controls physiological disorders, by decreasing respiration and ethylene production in the middle layer of cell walls and influences the formation, development, and quality of fruits (Taiz et al., 2017; Dong et al., 2018). In Brazil, Simões et al. (2022) applied Ca by fertigation, using lithothamnium algae (24 % Ca, 1.5 % Mg, 10 % humic substances, 5 % surfactant, 15 % water, with a density of 1.7 and a salinity index of 0.83 %) in mango 'Palmer' during two production cycles (30, 60, 90 and 120 days after flowering). To quantify the total number of fruits per tree and total yield, both fruits without parthenocarpy and with parthenocarpy. The result was that 10 L (0 to 30 days after flowering) increased fruit production without parthenocarpy by up to 23.95 %. On the other hand, Muengkaew et al. (2017) applied doses of Ca-B (3.0 and 0.3 % mL/L, respectively) in 'Mahachanok' mango (monoembryonic), favoring the stimulation of pollen germination and pollen tube growth, the length of the inflorescences, the hermaphroditic inflorescences, and improved fruit set achieving greater productivity. Both studies indicate that calcium is essential to improve the productivity of mango fruits, that is, when the tree is kept in optimal calcium conditions, it favors the formation of normal fruits. Calcium is required by the fruits for their elongation and cell division (Merwad et al., 2016), on the contrary, a calcium deficit increases the formation of parthenocarpic fruits (seedless) by impairing the reproductive period (pollen germination, growth of the pollen tube, decrease in inflorescences).
Potassium
Potassium (K) is considered essential for mango cultivation, due to its role in biochemical (protein, carbohydrate synthesis, and enzyme activation) and physiological (photosynthesis, stomatal regulation of transpiration, translocation) processes, which are important for growth, yield, fruit quality (size, color, higher content of total soluble solids, ascorbic acid, and useful life), turgor maintenance and stress tolerance (Baiea et al., 2015). A K deficiency affects metabolic processes, mainly the rate of photosynthesis, translocation, and enzymatic systems (Taha et al., 2014). On ‘Zebda’ (polyembryonic) mango trees (El-Sadat, Egypt) an investigation was carried out by Taha et al. (2014), evaluating different doses of K fertilizers on the yield and quality of the fruit, applying potassium carbonate (850 and 1275 g/tree), potassium citrate (1263 and 1895 g/tree) and monopotassium phosphate (1333 and 2000 g/tree) in the leaf area. As a result, potassium citrate (1895 g/tree) and potassium carbonate (850 g/tree) increased yield and fruit quality. Also, in Egypt, Baiea et al. (2015) made applications of potassium citrate, potassium nitrate, monopotassium, and dipotassium phosphate in concentrations of 1 and 2 % (foliar route) to 'Hindi' (polyembryonic) mango, in order to evaluate the effect on growth, yield and fruit quality applying four treatments during flowering, fruit set, fruit growth and before harvest. The application of monopotassium and dipotassium phosphate at a concentration of 2 % during the four stages has been found to enhance fruit retention, yield, and quality. Although these studies are not directly related to parthenocarpy and stenospermocarpy, we can stress that an adequate concentration of potassium in mango favors the formation of mango fruits without parthenocarpy and stenospermocarpy, that is, they reach the standard size and weight of the respective cultivars evaluated, reflected in higher performance. On the contrary, if there was a potassium deficiency in the crop, it would probably be reflected in the development of seedless fruits or embryonic abortion.
Phosphorus
Phosphorus (P) is required by plants for normal growth and development, a deficiency of this nutrient affects cell division, as well as carbohydrate metabolism, soluble protein content, and dry matter accumulation (Lambers & Plaxton, 2015; Irfan et al., 2019). Tropical soils are often low in P, so fertilizing mango trees with P is recommended for high yield; however, in this type of crop, it is difficult to establish an adequate fertilization strategy, because the mango crop is alternated by a period of high yield, followed by one of low yield (Prado, 2010). Therefore, the application of P during the pre and post-flowering period is recommended, to improve floral induction, differentiation, budding, and panicle appearance (Maklad, 2020). A study conducted in Bangladesh by Nasreen et al. (2014) applied five different treatments of N, P, K, and sulfur (S) in 'Bari Aam-1' (polyembryonic) mango trees for three years (2010-2011, 2011-2012 and 2012-2013), obtaining that treatment N960P200K300S110 g/tree + a dose of cow dung (20 kg/tree) increased fruit yield up to 86 % (2010-2011), 64 % (2011-2012) and 73 % (2012-2013 ) on control. A more recent study on the 'Dusehri' mango (polyembryonic/Pakistan) determined that the application of N-P-K (1000, 750, and 750 g, respectively) during the growing season (February-August) improved fruit set (maximum shoot size of the growth, increase in panicles/tree, flowers/tree, retention of fruits and fruits/tree), yield, physicochemical characteristics (total soluble solids, vitamin C and total sugars) and fruit quality (Azam et al., 2022).
On the other hand, Salazar-García et al. (2016) evaluated the influence of soil fertilization on the production of parthenocarpic fruits in 'Ataulfo' mango (Nayarit, Mexico). They applied three levels of fertilizers (period 2010 to 2013), normal dose, high dose, and without fertilization (control); the normal and high doses in the fruit set phase, favored the increase of parthenocarpic fruits (79.5 and 81.5 %, respectively) compared to the fruits with seed (20.5 and 18.5 %), however, the control was superior with 83.5 % of parthenocarpic fruits. Of the total number of fruits that reached physiological maturity, the percentage of parthenocarpic fruits at a normal dose was 50.2 %, and at a high dose 50.1 %, while normal fruits were 49.8 and 49.6 %, respectively, the control obtained 53.1 %. of parthenocarpic fruits. These researchers conclude that the fertilization treatments did not modify the proportion of parthenocarpic mango that reached physiological maturity, due to the absence of the effect of the balanced fertilization treatments (orchard requirements), attributing that in the study area the presence of the parthenocarpic fruit It is of climatic origin (temperatures ≤ 13 °C, ≤ 14 °C, ≤ 15 °C in pre-flowering). In all previous research, P is applied in combination with other nutrients, since individually its effect on the mango crop is slower (Prado, 2010).
Research related to plant nutrition is mostly focused on the crop, and not so much on the fruits, so it is important to take nutrition into account as a possible precursor factor of parthenocarpy and stenospermocarpy, since a nutritional deficit in plants leads to low fruit development, mainly affecting the reproductive stage (damaging the growth of the pollen tube, decreasing hermaphroditic inflorescences and pollen germination).
Phytohormones
The growth and development of seeds and fruits are connected and synchronized processes regulated mainly by environmental signals and internal signals such as phytohormones, which are small natural organic molecules, not nutrients, produced internally by plants. Furthermore, they present a localized distribution and specific action, exercising various functions such as: promoting, inhibiting, or modifying morphological and physiological processes at relatively low concentrations (10-5-10-4 M), the effect occurs at the cellular level, changing patterns of plant growth and allowing its control (Pandolfini, 2009; Alcántara-Cortes et al., 2019; Xin et al., 2020). Various investigations associate phytohormones with parthenocarpy because there is a higher concentration of these in the ovaries that generate parthenocarpic fruits; gibberellins (GAs), auxins (AUXs), and cytokinins (CKs) being the most associated (Subbaraya et al., 2020; Sharif et al., 2022). On the other hand, Daulesberg et al. (2011) mention that other phytohormones such as ethylene and abscisic acid (ABA) contribute to the initial development of the fruit. During pollination and fertilization, phytohormones play a crucial role that leads to fruit set, giving way to the fruit set stage, which can be carried out by the presence of AUXs and GAs in the absence of fertilization (parthenocarpic fruits) (An et al. ., 2019; Su et al., 2021). Dauelsberg et al. (2011) reported that ethylene and abscisic acid (ABA) contribute to the initial development of the fruit. When phytohormones are applied exogenously, they are called growth regulators or plant regulators (Su et al., 2021). These compounds are chemically synthesized or obtained from other organisms and, in general, more potent than the natural analogs, they are widely applied in agriculture to improve the production, growth, and control the flowering of plants (Pichardo-González et al., 2018; Alcántara-Cortes et al., 2019).
Gibberellins
Gibberellins (GAs) play an important role as endogenous regulators, they are present in all phenological stages (germination, growth, and development) in higher plant organisms and influence the retention and delay of fruit senescence, as well as the breaking of dormancy of fruits, seeds and also in immune responses (Singh et al., 2018; Osuna-Enciso et al., 2019). Amador-Alférez et al. (2013) describe that GAs have a key function in the control of seed germination, for this reason, they are applied to promote or induce seed germination and embryo growth. On the other hand, Dauelsberg et al. (2011) reported that GAs and AUXs coordinate cell division and expansion, processes that lead to fruit growth. Pollination and fertilization cause an accumulation of GAs, this phytohormone also increases in the ovary and pericarp tissues in response to AUXs (Serrani et al., 2007). In various parthenocarpic fruits, ovarian expansion takes place in the absence of fertilization, it has been related to an increase in the concentration of GAs during anthesis (Dauelsberg et al., 2011). Among the investigations carried out on mango, Pérez-Barraza et al. (2009) conducted a study on mango wherein they assessed the impact of various combinations of growth regulators on the augmentation of mooring, harvested fruits, and size of parthenocarpic fruits of 'Ataulfo' in Nayarit, Mexico. In that study, four treatments were applied for two years (2007 and 2008) in two orchards with a high incidence of parthenocarpic fruits (80 %). The first treatment consisted of applying only AG3 (50 mg·liter-1), the second forchlorfenuron (Agromil Plus®, 2 mL·liter-1); the third included the mixture of Agromil Plus® (2 ml·liter-1) + AG3 (50 mg·liter-1) and the last treatment composed of AG3 (50 mg·liter-1) + Thidiazuron (TDZ, 5 mg· liter-1), plus a control (without application). During 2008 AG3 was applied in doses of 100 mg·liter-1. In both orchards, growth regulators (AG3, Agromil Plus®, and TDZ) favored setting and fruits that reached harvest, however, the best treatment was AG3 + TDZ (50 and 5 mg·liter-1, respectively). In Orchard 2, the number of fruits that managed to set and reached harvest (greater size and weight) was greater than the fruits in Orchard 1. Likewise, they conclude that the incidence of parthenocarpic fruits may be due to a low concentration of GAs, which causes the abortion of the embryo and consequently affects the mooring of fruits.
Cytokinins
Cytokinins (CKs) were discovered as cell division-promoting agents in tissue cultures by interacting with AUXs (Hönig et al., 2018). These phytohormones are produced throughout the plant, including aerial tissues, and fulfill various functions such as regulating cell division, meristem function, chloroplast development, senescence, and the source-sink relationship. Moreover, they are involved in the mooring and growth of mango fruits through the movement of metabolites to the application sites (Shigenaga & Argueso, 2016; Kulkarni et al., 2017). Research by Cui et al. (2013) and Su et al. (2021) suggest that CKs biosynthesis and signal transduction genes could be involved in the development of parthenocarpic fruits. This was observed in tomato ovaries, the expression levels of the CKs biosynthesis genes (SlIPT1, SlIPT2, SlCYP735A1, SlCYP735A2, and SlLOG2) increased after anthesis while in cucumber the expression of CYP735A induced the formation of parthenocarpic fruits in a non-parthenocarpic cucumber line.
Auxins
The AUXs are phytohormones involved in different processes at the plant level, playing a fairly peripheral role in plant defense; they generally intervene in growth, promote cell division and elongation, and cell differentiation (Amador-Alférez et al., 2013; Garay-Arroyo et al., 2014). The best-known AUX exists in the form of indole-3-acetic acid (IAA) (Su et al., 2021). The synthesis of AUXs takes place mainly in apical meristems, juvenile leaves, and developing fruits, in these, the IAA content tends to increase after pollination (Ludwig-Müller & Cohen, 2002). There are investigations where AUXs are applied in various fruit crops to increase the setting, although they are considered less effective than GAs. Also, various researchers have shown that there are various genes related to AUXs that regulate parthenocarpy in various crops such as cucumber (Yin et al., 2006; Su et al., 2021), eggplant (Donzella et al., 2000) and tomato (Pandolfini et al., 2002). In the case of mango, these types of studies have not yet been reported. Currently, the fruit taken as a model for fleshy fruits is the tomato (Solanum lycopersicum), in which research on phytohormones, genes, and parthenocarpy is advanced. Shaban & Ibrahim (2009) carried out a study to compare the concentration of phytohormones in normal and parthenocarpic mango fruits 'Ewais', 'Hindi Bisinnara', Hindi Khassa' and Bullocks Heart' (Egypt), obtaining that the fruits with seeds of the four cultivars presented a higher concentration of GAs and CKs and a lower concentration of AUXs and ABA compared to the parthenocarpic.
Ethylene
Ethylene has been widely studied as the phytohormone that promotes fruit ripening and abscission; however, this phytohormone also induces flowering in mango and interacts with other phytohormones to intervene in cell expansion and stimulate germination (Depaepe & Van Der Straete, 2017). Furthermore, reports are indicating that ethylene increases in flowers during pollination and decreases when fruit production is complete, which could indicate its active role in regulating fruit set (An et al., 2019). Studies in mango fruits relating ethylene to parthenocarpy or stenospermocarpy have not been reported. On the other hand, there are studies in tomatoes (Solanum lycopersicum) that reveal alterations in genes related to ethylene and its intervention in the transition from flower to fruit (Pascual et al., 2009). Likewise, Carbonell-Bejarano et al. (2011)demonstrated that ethylene is related to parthenocarpy in fruits of Arabidopsis during fruit set regardless of pollination since this phytohormone is involved in the useful life of the ovule and in determining the pistil-fruit fate. Also, Martinez et al. (2014) demonstrated the relationship of ethylene with parthenocarpy, this by obtaining low ethylene production during the first days after anthesis, when evaluating selected zucchini (Cucubita pepo spp.) accessions identified as strongly parthenocarpic. They suggest that ethylene production in ovaries and fruits three days after anthesis can be used as a marker to identify and select parthenocarpy in zucchini fruits.
Abscisic acid
Abscisic acid (ABA) is an isoprenoid phytohormone that is considered a modulator of stress in plants. Besides, it regulates growth, development, stress responses as a signaling mediator, seed dormancy, stomatal closure, leaf abscission, senescence, and fruit ripening and may present positive or negative crosstalk with other phytohormones (GA, CK, AUX, ethylene, among others) (Parwez et al., 2022). Shaban & Ibrahim (2009) reported that parthenocarpic mango fruits 'Ewais', 'Hindi Bisinnara', 'Hindi Khassa', and 'Bullocks Heart', obtained a higher concentration of AUX and ABA compared to seeded fruits. This could mean that the parthenocarpic fruits are under stress due to the absence of seeds, which is reflected in a higher concentration of ABA.
Genetic factors
In mango, genetic (molecular) studies are limited. He et al. (2012) carried out a molecular study between normal seeds and aborted embryos of fruits of the Jinhuang cultivar (polyembryonic/China), which suffers severe damage from embryonic abortion (Table 1). Finding a difference in the expression of the MaMADS gene between normal seeds and aborted embryos, being the most expressive gene in normal embryos. This suggests that the MaMADS gene can act in a positively dominant way in embryo development and regulatory pathways to form a normal fruit. This study set the tone for further research on the MaMADS gene and its relationship with embryonic abortion in different mango cultivars. In Egypt, Abdel-Sattar et al. (2017), based on the study by He et al. (2012) to obtain the genes involved in the embryonic abortion of the Ewais cultivar during the 2015 and 2016 seasons using the real-time qPCR technique to detect the mRNA of four different genes, finding that the four genes (MaAGA, MaAP2, MaERF, and MaMADS) were more expressed in normal embryos compared to aborted embryos of 'Ewais'. According to both studies, MaMADS are closely related to embryonic abortion.
Conclusion
Temperature is one of the environmental factors that influence the development of mango fruits, being a cause of parthenocarpy and stenosmenocarpy of monoembryonic and polyembryonic cultivars. Temperatures directly affect the flowering stage (pollen tube does not fully develop) and the anthesis phase (pollen does not reach the ovule), which causes parthenocarpic fruits to develop. On the other hand, even if effective pollination occurs, embryo abortion can occur, which gives rise to stenospermocarpic fruits (it occurs mainly in the fruit set stage).
Phytohormones also contribute to fruit development, mainly gibberellins, cytokinins, and auxins, which favor division and elongation. Gibberellins act in the absence of effective pollination or fertilization of mango fruits, observing parthenocarpic and stenospermocarpic fruits.
The nutrition (macro and microelements) of the plants is extremely important since a deficiency of N, P, K, Ca, and B affects the development and growth of the pollen tube of the flowers.
Recommendations
In relation to parthenocarpy and stenospermocarpy in mango fruits (Mangifera indica L.), there is still a lot to be done, it is recommended to carry out research not only in physiological and anatomical aspects but also to delve into the biochemical part, application of omic sciences (genomics, transcriptomics, proteomics, and metabolomics) and molecular biology.










nueva página del texto (beta)








