Introducción
La sínfisis púbica es un sitio de múltiples inserciones miotendinosas que estabilizan el hueso iliaco; los de mayor importancia para la estabilidad de la pelvis son el recto abdominal y el aductor largo, son antagonistas relativos entre sí durante la rotación y extensión de la cintura pélvica, una lesión en uno de estos tendones predispone al tendón opuesto a sufrir.1
La pubalgia deportiva es una patología secundaria a la afectación de uno de estos componentes, en el que atletas que requieren movimientos repetitivos de la cadera sufren dolor inguinal con cuadro clínico y exploración física inespecíficos, la resonancia magnética brinda un diagnóstico certero y oportuno.2,3
Presentación del caso
Paciente masculino de 25 años, jugador de fútbol, sin otros antecedentes relevantes; refiere dolor crónico a nivel inguinal izquierdo con irradiación hacia fosa iliaca ipsilateral de 10 meses de evolución, la sintomatología se exacerba durante y después de la actividad física.
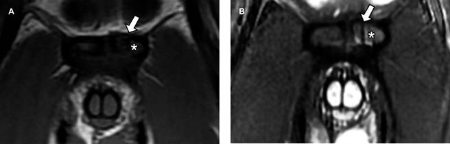
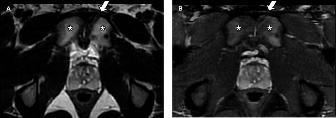
Se realizó ultrasonido inguinal y radiografía anteroposterior de pelvis las cuales no mostraron alteraciones; posteriormente, se decidió realizar resonancia magnética de pubis: en plano coronal (Figura 1) se observó fractura vertical en el cuerpo del hueso púbico izquierdo (flecha blanca en A y B) con edema de tejidos blandos adyacente (asterisco en A y B); en plano axial (Figura 2) se identificó fractura en la porción anterior del cuerpo del hueso púbico izquierdo (flecha blanca en A y B), existe osteítis púbica bilateral de predominio izquierdo (asterisco en A y B) y en plano sagital (Figura 3) se observó edema óseo a nivel de la placa aponeurótica del recto abdominal y aductor largo bilateral (flecha amarilla en A y B) de predominio izquierdo; además de desgarro en la placa aponeurótica izquierda (flecha verde).

Figura 1: Resonancia magnética de pubis. A) T1 plano coronal. B) STIR plano coronal. Se observa fractura de trazo vertical en el cuerpo del hueso púbico izquierdo (flechas blancas en A y B) con edema óseo adyacente (* en A y B).

Figura 2: Resonancia magnética de pubis. A) T2 plano axial. B) plano axial STIR. Se identifica trazo de fractura en la porción anterior del cuerpo del hueso púbico izquierdo (flechas blancas en A y B), existe osteítis púbica bilateral de predominio izquierdo (* en A y B).

Figura 3: Resonancia magnética de pubis. A) STIR plano parasagital derecho. B) STIR plano parasagital izquierdo. Se observa edema óseo a nivel de entesis de la placa aponeurótica del recto abdominal y aductor largo en ambos lados (flechas amarillas en A y B) de predominio izquierdo; además se observa pequeño desgarro en la placa aponeurótica izquierda (flecha verde en B).
Discusión
En la sínfisis púbica se insertan varios músculos, estas estructuras se pueden afectar principalmente en deportistas que requieren torsión de la cintura, cambios de dirección repentinos y deambulación de lado a lado.2 La sintomatología es de inicio insidioso, con dolor púbico e inguinal que se exacerba con la actividad física y puede irradiarse al ligamento inguinal, recto abdominal y periné.3,4
Los músculos principalmente afectados son el recto abdominal y/o el aductor, que al dañarse generan contracción repetitiva y descontrolada del músculo contralateral, posterior degeneración y desgarro del tendón que inicialmente no se desgarró, extensión a la aponeurosis conjunta e incluso afectación de otras estructuras como huesos o músculos.2,3
En el caso del paciente expuesto, el principal factor de riesgo es el deporte que realiza, los síntomas coinciden con lo descrito en la literatura y los hallazgos por imagen de resonancia magnética fueron fundamentales para el diagnóstico preciso.
Conclusión
Los médicos clínicos tienen dificultad para distinguir la etiología del dolor inguinal en un examen físico; los estudios de imagen son fundamentales para orientar al médico tratante y en el caso de la pubalgia deportiva, la resonancia magnética de pubis es fundamental para el diagnóstico del paciente.
Si desea consultar los datos complementarios de este artículo, favor de dirigirse a editorial.actamedica@saludangeles.mx










nueva página del texto (beta)



