Introducción
El lipoma ocupa el segundo lugar entre los tumores benignos colónicos, por detrás de los pólipos adenomatosos excluyendo al pólipo hiperplásico.1 Su incidencia, según algunos autores, varía entre 0.035-4% de los tumores colónicos.2 El 90% de los lipomas se originan en la submucosa y crecen lentamente durante años hasta producir síntomas.3 Aunque la mayoría de los lipomas de colon son asintomáticos y se descubren incidentalmente, en ocasiones pueden complicarse en forma de obstrucción por intususcepción, requiriendo tratamiento quirúrgico urgente.
Presentación del caso
Se trata de paciente masculino de 38 años que acude a urgencias por malestar abdominal de 15 días de evolución asociado a enfermedad catarral en tratamiento. En los últimos días tiene empeoramiento del dolor e insomnio, con intolerancia al decúbito por dolor epigástrico, presentando pérdida de apetito y 2-3 kg de peso en las últimas dos semanas. Al examen se observa abdomen blando y deprimido con molestias a la palpación en epigastrio y sin signos de irritación peritoneal.
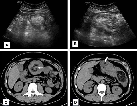
En prueba analítica se objetiva leucocitosis leve con desviación hacia la izquierda y elevación de proteína C reactiva. Se realiza ecografía abdominal, detectándose en mesogastrio lesión heterogénea “en blanco” con alternancia de capas hipo e hiperecoicas. Se completa estudio con tomografía computarizada que confirma invaginación colocólica de aproximadamente 19 cm de longitud, localizada en colon transverso con arrastre mesentérico y tumor de 5 cm de diámetro hipodenso con septos hiperdensos, con valores de atenuación en rango graso, sugestivos de lipoma. Se asocia trabeculación de la grasa del mesocolon transverso y distensión retrógrada del ciego y del colon ascendente (Figura 1).

Figura 1: A y B) Imágenes ecográficas en las que se objetiva colon transverso con imagen en “diana” correspondiente con intususcepción. C y D) Imágenes de tomografía computarizada en plano axial en las cuales se ve intususcepción intestinal alrededor de imagen hipodensa (flecha blanca) correspondiente con lipoma.
El paciente es tratado quirúrgicamente con hemicolectomía derecha regulada con anastomosis ileocólica terminolateral. La pieza se abre mostrando como causa de la invaginación una lesión polipoide con cabeza degenerada. En el estudio anatomopatológico se identifica una lesión polipoidea con superficie ulcerada y un diagnóstico de gran lipoma submucoso con grandes áreas de ulceración superficial.
Discusión
La invaginación intestinal es una entidad rara en adultos, constituye sólo el 5% de los casos de invaginación intestinal, el porcentaje restante ocurre en edad pediátrica. En el 75-80% se produce por una pequeña lesión orgánica capaz de alterar el peristaltismo provocando que un segmento intestinal se introduzca en otro segmento distal a este, produciendo la intususcepción.4
La ecografía abdominal es una buena herramienta diagnóstica inicial, ya que permite el diagnóstico diferencial con otras entidades que presentan dolor abdominal, mostrando una imagen característica con una sensibilidad del 100% y una especificidad del 88%.5 La tomografía computarizada permite valorar la etiología y contribuye a la estadificación en el caso de lesiones malignas.
Conclusión
Las pruebas de imagen juegan un papel decisivo en el diagnóstico de la intususcepción con elevada sensibilidad y especificidad, contribuyendo a una adecuada orientación terapéutica. El tratamiento quirúrgico más recomendado es la resección intestinal sin reducción previa de la intususcepción.










nueva página del texto (beta)



