Introducción
El quiste sinovial (QS) corresponde a masa quística uni o multilobulada originada por herniación de la sinovial, con líquido sinovial en su interior y comunicación o no con la articulación; constituye cerca de 60% de las hinchazones crónicas que afectan la mano y la muñeca. Aparecen entre 20 y 50 años, con predominio 3:1 en mujeres.
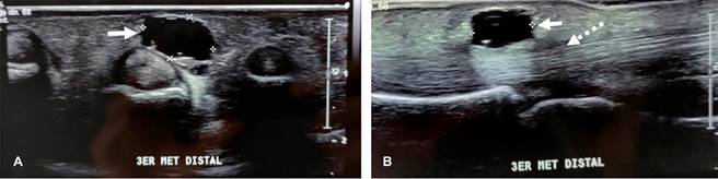
La sintomatología está determinada por su ubicación anatómica, llegando a causar compresión de estructuras adyacentes o como lesión ocupante de canales o túneles anatómicos; en la mano, se localizan principalmente en la base de los dedos o en relación a las poleas anulares de los tendones flexores (Figuras 1 y 2). Al ultrasonido, se presenta como estructura anecoica, redondeada u ovoidea de paredes ecogénicas finas bien definidas, con o sin lobulaciones o tabiques internos, que pueden ser más gruesos cuando se trata de lesiones de mayor tiempo de evolución.

Figura 1: Imágenes de ultrasonido diagnóstico de palma de mano derecha. A) Corte transversal, mostrando: imagen anecoica redonda de 1.5 cm de diámetro, con pared fina ecogénica, correspondiendo a quiste sinovial de la vaina del tercer dedo de mano derecha (flecha). B) Corte transversal mostrando el quiste mencionado y la estructura fibrilar indemne del tendón flexor (flecha punteada) del tercer dedo.

Figura 2: A) Quiste sinovial 1.5 de diámetro, localizado en zona II de mano derecha, sobre la polea A0 del tercer metacarpiano de mano derecha. B) Resección quirúrgica, respetando la polea A0.
La mayoría de los QS no requieren tratamiento, la aspiración con aguja es efectiva en 50% de los pacientes. Si existen recidivas fracasa en 40 a 70% de los casos, requiriendo la resección quirúrgica por vía artroscópica o con cirugía convencional. Las tasas de recidiva posterior a cirugía son de 5 a 15%.










nueva página del texto (beta)



