Introducción
Dado que es un cuadro poco frecuente y de presentación atípica, la apendicitis crónica suele confundirse con otras patologías por los síntomas clásicos de la apendicitis aguda como dolor periumbilical que se irradia a iliaca derecha. Sin embargo, en apendicitis crónica se presentan algunos de estos síntomas que duran por más tiempo, representan 1-1.5% de todos los casos.1 La bibliografía es escasa, pero se habla de un proceso patológico con obstrucción parcial y transitoria del apéndice. A nivel histopatológico se observa inflamación crónica del apéndice con infiltración linfocítica y eosinofílica, fibrosis y reacción granulomatosa, similar a la reacción de células gigantes a cuerpo extraño.2,3 Ya que es una entidad poco conocida, el manejo ha representado un desafío para el cirujano general.3,4
Presentación del caso
Mujer de 61 años de edad, sin antecedentes médicos de importancia que inicialmente fue abordada en consulta externa, en donde se le fueron solicitados laboratorios, leucocitos totales de 5.5 × 103 cel/μL y neutrófilos de 54.7% por presentar un cuadro de un mes de evolución de dolor abdominal tipo punzante localizado en hipogastrio, el cual se irradiaba hacia ambas fosas iliacas; tras presentar dolor abdominal nuevamente y que no mejoraba con el uso de analgésicos, la paciente acudió a urgencias, donde se le solicitó una tomografía axial computarizada abdominal, reportando un apéndice con aumento de tamaño, sin estriación de la grasa periapendicular, sin infiltración mesentérica, absceso o colecciones. En el examen físico se reportan signos vitales normales, dolor a la palpación profunda y superficial en hipogastrio y ambos flancos, sin tumoraciones palpables, prueba de McBurney, Psoas, Rovsing y Blumberg negativas. Se optó por un abordaje quirúrgico laparoscópico, con el hallazgo intraoperatorio de un apéndice cecal de 8.0 × 0.8 cm sin líquido libre en cavidad abdominal. El estudio histopatológico reportó imágenes correspondientes con una inflamación crónica (Figura 1). Durante su estancia hospitalaria la paciente no refirió dolor ni otros síntomas relacionados, por lo que la paciente fue dada de alta el siguiente día.

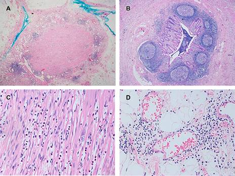
Figura 1: A) A poco aumento se observa una obliteración total de la luz del apéndice, 2×. B) En otros campos se observa una hiperplasia folicular linfoide reactiva florida del tejido linfoide del apéndice cecal, 5×. C) Hay un acentuado incremento en la cantidad de eosinófilos en la pared muscular del apéndice cecal, de hasta 20 por campo de alto poder, 60×. D) Infiltrado linfocitario moderado en el tejido adiposo periapendicular así como congestión vascular, 40×. No se identificaron neutrófilos en la pared muscular.
Discusión
En 1932, el Dr. Friedlander reportó que la apendicitis crónica es una afección de difícil diagnóstico porque en la exploración física los pacientes no tienen datos francos, la presentación típica de la apendicitis es bien conocida, aunque hay pacientes que pueden presentar un cuadro atípico, se deben descartar diagnósticos diferenciales como adenitis mesentérica, gastroenteritis, enfermedades inflamatorias intestinales.3,5 Algunos estudios especulan que puede ser causada por una obstrucción parcial de la luz apendicular o por una producción excesiva de moco en el apéndice.4 El diagnóstico a menudo se realiza después de la apendicectomía y se basa en los hallazgos histológicos de los cambios inflamatorios crónicos.5










nueva página del texto (beta)



