SciELO - Scientific Electronic Library Online

 
vol.23 número2Condromatosis sinovialUso de contraste hepatoespecífico en trauma hepático índice de autoresíndice de materiabúsqueda de artículos
Home Pagelista alfabética de revistas  

Servicios Personalizados

Revista

Articulo

Indicadores

Links relacionados

  • No hay artículos similaresSimilares en SciELO

Compartir


Acta médica Grupo Ángeles

versión impresa ISSN 1870-7203

Acta méd. Grupo Ángeles vol.23 no.2 México mar./abr. 2025  Epub 12-Mayo-2025

https://doi.org/10.35366/119483 

Casos clínicos

Edema agudo pulmonar por presión negativa posterior a extubación

Post-extubation acute pulmonary edema due to negative pressure

Flor Carolina Guillen Oviedo1  * 

Fernando Benjamín Galván Lewitt2 

Aldo Medrano Mejía3 

Alejandro Díaz Borjón4 

1 Médico residente cuarto año de Medicina Interna. Hospital Angeles Lomas. Huixquilucan, Estado de México, México. ORCID: 0009-0003-8537-0077

2 Médico residente tercer año de Medicina Interna. Hospital Angeles Lomas. Huixquilucan, Estado de México, México.

3 Médico residente segundo año de Medicina Interna. Hospital Angeles Lomas. Huixquilucan, Estado de México, México.

4 Médico adscrito de Medicina Interna-Reumatología. Hospital Angeles Lomas. Huixquilucan, Estado de México, México.


Resumen:

El edema agudo pulmonar por presión negativa (EPPN) postextubación es una forma de edema pulmonar no cardiogénico, surge tras una inspiración forzada espontánea contra una vía aérea ocluida, es común en pacientes sanos, la incidencia posterior a extubación es de 0.9 a 0.1%. Una paciente de 47 años, sin antecedentes médicos, fue sometida a una cirugía endourológica, dos horas después presentó dificultad respiratoria, taquipnea y saturación (< 70%). Descartada tromboembolia y falla cardiaca, radiografía de tórax reveló edema pulmonar. Se trató con puntas nasales de alto flujo, diuréticos de asa, B agonistas y terapia pulmonar, logrando recuperación satisfactoria.

Palabras clave: edema pulmonar; extubación; trombosis

Abstract:

Acute negative pressure pulmonary edema (ANPPE) post-extubation, non-cardiogenic pulmonary edema, arises from negative intrathoracic pressure during forced spontaneous inspiration against a closed airway. Common in difficult intubations in healthy males, its incidence post-extubation is 0.1-0.9%. A 47-year-old female with no medical history underwent uneventful intubation for endourological surgery. Two hours after extubation, she exhibited respiratory distress, tachypnea, and desaturation (< 70%). Despite negative cardiac imaging, chest X-ray revealed pulmonary edema. Treatment involved a high-flow nasal cannula, loop diuretics, B agonists, and pulmonary therapy, resulting in a satisfactory recovery.

Keywords: pulmonary edema; extubation; thrombosis

Introducción

El edema agudo pulmonar por presión negativa (EPPN) posterior a la extubación es una forma de edema pulmonar no cardiogénico1 caracterizado por hipoxemia aguda (SpO2 < 90%) al retiro de tubo endotraqueal o mascarilla laríngea, con evidencia radiográfica de edema pulmonar y esputo asalmonado. Ocurre tras una significativa presión intratorácica negativa generada por una inspiración forzada espontánea contra una vía aérea ocluida o glotis cerrada (conocida como maniobra de Müller), usualmente laringoespasmo u obstrucción mecánica.2

La etiología más común es el laringoespasmo postextubación.2 Presentamos un caso que destaca la importancia de un rápido abordaje e intervención con desenlace favorable debido a alta sospecha diagnóstica. Tiene una baja incendia (0.9 a 1%), afecta personas jóvenes sin antecedentes médicos,2 con síntomas que pueden manifestarse pocas horas después de la extubación, requiriendo una intervención rápida y descartando otros diagnósticos diferenciales. El pronóstico es benigno, con resolución completa en 24 horas.3

Caso clínico

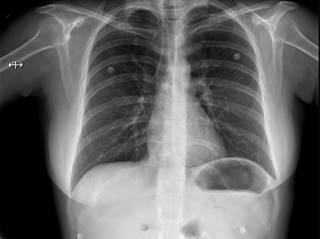
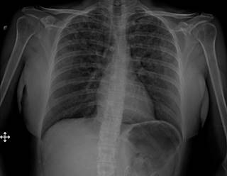
Una mujer de 47 años de edad sin antecedentes médicos se sometió a cirugía endourológica programada. Al ingreso a quirófano, se encontraba en buen estado general, con signos vitales y exploración física normales. Se aplicó anestesia general balanceada, realizando inducción con fentanilo, propofol, rocuronio y durante laringoscopia sin evidencia de anomalías. Orotubación se realizó sin complicaciones al primer intento con hoja número 3 y tubo número 7, cursa hemodinámicamente estable, sin necesidad de apoyo vasopresor con solución Hartmann intravenosa a 20 mL/h sin necesidad de mayor reanimación hídrica, ventilación de protección tidal, mantenimiento con sevorane y fentanilo en infusión calculado a 2 μg/kg/h, ventilación pulmonar simétrica y valores adecuados en capnografía postintubación. Durante el procedimiento quirúrgico sin aumento de presiones o desacoplamiento a ventilación mecánica. La paciente presentó agitación espontánea al recobrar conciencia realizando esfuerzos inspiratorios importantes con laringoespasmo breve de cuarenta segundos. La extubación presentó disminución de agitación y sin deterioro del patrón respiratorio; durante la hora de vigilancia postoperatoria, sin deterioro cardiorrespiratorio. Sin embargo, dos horas posteriores a extubación, la paciente mostró signos de dificultad respiratoria: taquipnea, uso de musculatura accesoria, desaturación al 70% al aire ambiente, estertores crepitantes bilaterales; radiografía de tórax portátil reveló evidencia de edema agudo pulmonar (Figura 1). La administración de oxígeno suplementario logró aumentar saturación hasta 92%. Ante sospecha de edema pulmonar de presión negativa, se realizaron ecocardiograma transtorácico y angiotomografía de tórax, sin evidencia de falla cardiaca ni tromboembolia pulmonar. Se optó por utilizar puntas nasales de alto flujo, diurético de asa, nebulizaciones con β-agonistas y terapia pulmonar. La paciente evoluciona de manera satisfactoria (Figura 2), dándose de alta al tercer día postoperatorio.

Figura 1: Radiografía de tórax anteroposterior. Edema agudo pulmonar. 

Figura 2: Radiografía de tórax anteroposterior. Resolución edema agudo pulmonar. 

Discusión

EL EPPN es una entidad rara que puede aparecer después de un esfuerzo inspiratorio contra una glotis obstruida, conocida como maniobra de Müller. Lo más destacado es la rápida aparición del edema y el curso benigno si se identifica correctamente. El tratamiento principal implica oxígeno suplementario, ventilación mecánica no invasiva con presión positiva, intubación orotraqueal si es necesario y el uso de diuréticos si el estado hemodinámico lo permite. Este caso contribuye a la comprensión del EPPN, destacando que la identificación y la intervención rápidas son cruciales debido al inicio apresurado de la condición y a su curso benigno cuando se maneja adecuadamente.

Referencias bibliográficas

1. Ware LB, Matthay MA. Acute pulmonary edema. N Engl J Med. 2005; 353 (26): 2788-2796. Available in: http://dx.doi.org/10.1056/nejmcp052699 [ Links ]

2. Lemyze M, Mallat J. Understanding negative pressure pulmonary edema. Intensive Care Med. 2014; 40 (8): 1140-1143. Available in: http://dx.doi.org/10.1007/s00134-014-3307-7 [ Links ]

3. Ma J, Liu T, Wang Q, Xia X, Guo Z, Feng Q et al. Negative pressure pulmonary edema (Review). Exp Ther Med. 2023; 26 (3): 455. Available in: http://dx.doi.org/10.3892/etm.2023.12154 [ Links ]

1Cumplimiento de directrices éticas: este artículo no contiene ningún estudio con sujetos humanos o animales realizado por ninguno de los autores, por sus características descriptivas.

2Conflicto de intereses: Flor Carolina Guillen Oviedo, Alejandro Díaz Borjón, Benjamín Galván Lewit y Aldo Fernando Medrano Mejía, declaran que no tienen ningún conflicto de intereses.

Recibido: 12 de Enero de 2024; Aprobado: 08 de Febrero de 2024

*Autor para correspondencia: Flor Carolina Guillen Oviedo. Correo electrónico: caro_guillens@hotmail.com

Creative Commons License Este es un artículo publicado en acceso abierto bajo una licencia Creative Commons