Introducción
Las anomalías anatómicas del arco aórtico constituyen un hallazgo poco frecuente en la población general (0.5-3%), de éstas, el arco aórtico derecho tiene una prevalencia menor de 1%. Se origina a partir de la persistencia del cuarto arco aórtico embriológico del lado derecho. Existen varios subtipos, el tipo I (imagen en espejo) es el que se reporta en el presente caso, incluye un tronco braquiocefálico izquierdo, arteria carótida común y subclavia derechas. La mayoría de las ocasiones se encuentra relacionada con alguna cardiopatía congénita de tipo cianógena como la tetralogía de Fallot.1
Como variante anatómica aislada regularmente no presenta sintomatología, aunque en algunos casos pueden reportarse síntomas obstructivos parciales, en relación con la desviación de la tráquea y el esófago.
Caso clínico
Paciente femenino de 64 años de edad a la que se le solicitó tomografía de tórax en alta resolución por parte del Servicio de Neumología debido a infecciones de vías respiratorias superiores recurrentes; sin embargo, como hallazgo, se visualizó arco aórtico derecho (Figura 1) con patrón de ramificación en espejo (arteria subclavia derecha y arteria carótida común derechos que se originan directamente del cayado aórtico y tronco braquiocefálico izquierdo) (Figura 2).

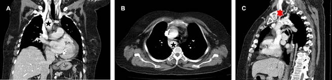
Figura 1: A) Imagen que muestra el arco aórtico derecho () en corte coronal, B) axial y C) arteria subclavia derecha en corte sagital () de angiotomografía de aorta en fase arterial.

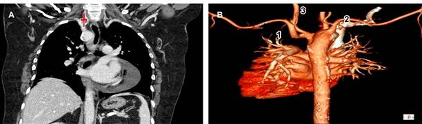
Figura 2: A) Imagen que muestra corte coronal de angiotomografía de aorta en fase arterial en la cual se observa arteria carótida común derecha (). B) Reconstrucción tridimensional en donde se visualizan tronco braquiocefálico izquierdo (1), arteria subclavia (2) y arteria carótida común derechas (3), compatibles con patrón en espejo.
Discusión
El arco aórtico derecho es una variación anatómica que en muchas ocasiones se encuentra relacionada con cardiopatías congénitas; sin embargo, en este caso, la paciente cuenta con un ecocardiograma que no reporta ninguna alteración morfológica1 y representa un acontecimiento poco frecuente, ya que sólo 2% de los casos reportados con esta variación anatómica no presentan cardiopatía congénita asociada.2
El tipo I o con patrón de ramificación en espejo es la variación en este caso y representa la categoría más frecuente, consiste en la presencia de un tronco braquiocefálico del lado izquierdo de donde emergen la arteria carótida común y subclavia izquierdas, además de arteria carótida común y subclavia derechas que emergen directamente del arco aórtico y no del tronco braquiocefálico (Figura 2) como ocurre en condiciones normales.1
La paciente no presentó datos de compromiso cardiovascular o síntomas compresivos relacionados con la variación anatómica. El tratamiento quirúrgico sólo se reserva a aquellos casos en los que existe sintomatología compresiva importante tanto a nivel esofágico o incluso respiratorio.
Conclusión
El arco aórtico derecho como variante anatómica es poco frecuente, por lo general está relacionado con sintomatología de bajo gasto cardiaco o compresiva a nivel de tórax superior. Debe ser reportado por el médico radiólogo en cuanto sea visualizado, ya que puede requerir tratamiento farmacológico y quirúrgico oportuno, además de la importancia que tiene en la colocación de catéteres, vías centrales y en el abordaje de procesos quirúrgicos a nivel de esófago, tráquea y regiones superiores del pulmón derecho.










nueva página del texto (beta)


