Introducción
La miocardiopatía hipertrófica (MCH) es una enfermedad hereditaria del músculo cardiaco que afecta a aproximadamente una de cada 500 personas. Los síntomas del paciente pueden ser mínimos o implacablemente progresivos con insuficiencia cardiaca resultante y/o muerte cardiaca súbita. Los resultados clínicos adversos en la MCH aumentan con la duración de la enfermedad, lo que subraya la importancia de las estrategias terapéuticas para reducir la progresión de la enfermedad.1
La miocardiopatía hipertrófica fue descrita por vez primera con suficiente precisión por el patólogo D. Teare (1958), quien refirió la existencia de una hipertrofia del ventrículo izquierdo de predominio septal, sin causa aparente, cuya histología mostraba tres rasgos sugestivos: a) la desorganización de los miocitos (myocyte disarray), que es una de las alteraciones más características y difíciles de explicar, en la que los miocitos adyacentes pierden su alineación paralela normal y se orientan en distintas direcciones; b) la fibrosis del miocardio (como en las hipertrofias adquiridas) y c) las lesiones de pequeños vasos.2
Presentamos dos casos clínicos con mutaciones identificadas en el gen MYH7, uno con la manifestación típica con hipertrofia relacionada con hipertensión arterial sistémica y otro con presentación como cardiomiopatía dilatada.
Presentación de los casos
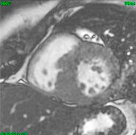
Caso clínico 1: mujer de 41 años, originaria de la Ciudad de México. Sin antecedentes hereditarios de relevancia. Historia de hipertensión arterial sistémica de 12 años de diagnóstico en tratamiento con bisoprolol 5 mg cada 12 horas. Fue sometida a procedimiento quirúrgico por el antecedente de fistula de líquido cefalorraquídeo recidivante. En el seguimiento clínico por cardiología, se realiza resonancia magnética cardiovascular con los siguientes hallazgos en el ventrículo izquierdo: hipertrofia septal asimétrica con grosor máximo de 24.7 mm, a nivel medio 23 mm, pared posterior del ventrículo izquierdo 8 mm, Diámetro diastólico del ventrículo izquierdo de 46 mm, diámetro sistólico del ventrículo izquierdo de 24 mm, con índice de volumen telediastólico de 85.4 mL/m2, e índice de volumen telesistólico de 19.3 mL/m2, la masa miocárdica de es de 212 g, con fracción de acortamiento de 48% y fracción de eyección de 77%. Ventrículo derecho, aurículas y válvulas sin alteraciones morfológicas o funcionales, con diagnóstico de cardiopatía hipertrófica septal asimétrica obstructiva (Figura 1).

Figura 1: Cardiorresonancia magnética del caso clínico 1. Corte transversal con evidencia de hipertrofia septal asimétrica.
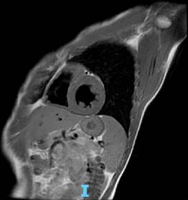
Caso clínico 2: hombre de 30 años, originario de Ciudad de México. Sin antecedentes hereditarios de importancia. Con hipertensión arterial sistémica de 10 años de diagnóstico, tratado con nifedipina 30 mg cada 24 horas; en adecuado control. Diagnóstico de insuficiencia cardiaca congestiva en tratamiento con sacubitrilo/valsartán 50 mg cada 24 horas y carvedilol 12.5 mg cada 24 horas. Hallazgos en resonancia magnética cardiovascular: ventrículo izquierdo ligeramente dilatado con septum de 11 mm, pared posterior del ventrículo izquierdo de 7 mm, diámetro diastólico del ventrículo izquierdo de 55 mm, Diámetro sistólico del ventrículo izquierdo de 45 mm con índice de volumen tele diastólico de 108 mL/m2 e índice de volumen telesistólico de 56.4 mL/m2, masa miocárdica de 143 g con fracción de acortamiento de 18% y fracción de eyección de 48%. Evidencia de hipocinesia septal e inferior a nivel basal y en la pared septal apical. Diagnóstico de cardiopatía dilatada (Figura 2).

Figura 2: Cardiorresonancia magnética del caso clínico 2. Corte sagital con secuencia de inversión recuperación (IR) doble, con evidencia de cardiomiopatía dilatada.
Pruebas complementarias
Como parte del estudio de los casos clínicos y con el objetivo de dar diagnóstico definitivo genético a los pacientes, se decidió realizar estudio de secuenciación genética de nueva generación para determinar posibles variantes genéticas relacionadas con su padecimiento.
Caso clínico 1: en el análisis de secuenciación genética de 82 genes (Invitae Cardiomyophathy Comprehensive Panel), encontramos una mutación en MYH7 c.2571_2572delinsGG (p.Arg858Gly).
Caso clínico 2: en el análisis de secuenciación genética de 82 genes (Invitae Cardiomyophathy Comprehensive Panel), encontramos una mutación sin sentido en MYH7 c.709>T (p.Arg237Trp).
Discusión
Mutaciones de MYBPC y MYH7
MYH7 (cadena pesada de miosina 7) es un gen codificador de proteínas. Las enfermedades asociadas con MYH7 incluyen miopatía congénita 7B, almacenamiento de miosina, autosómica recesiva y miopatía distal. Entre sus vías relacionadas se encuentran la remodelación del citoesqueleto, la regulación del citoesqueleto de actina por las GTPasas Rho y la vía PAK. La miosina muscular es una proteína hexamérica que contiene dos subunidades de cadena pesada, dos subunidades de cadena ligera alcalina y dos subunidades de cadena ligera reguladoras. Este gen codifica la subunidad de cadena pesada beta (o lenta) de la miosina cardiaca. Se expresa predominantemente en el ventrículo humano normal. También se expresa en tejidos del músculo esquelético ricos en fibras musculares tipo I de contracción lenta. Los cambios en la abundancia relativa de esta proteína y la subunidad pesada alfa (o rápida) de la miosina cardiaca se correlacionan con la velocidad contráctil del músculo cardiaco. Su expresión también se altera durante el agotamiento de la hormona tiroidea y la sobrecarga hemodinámica. Las mutaciones en este gen se asocian con miocardiopatía hipertrófica familiar, miopatía por almacenamiento de miosina, miocardiopatía dilatada y miopatía distal de Laing.
MYBPC2 (proteína C2 de unión a miosina) es un gen codificador de proteínas. Este gen codifica un miembro de la familia de la proteína C de unión a miosina. Esta familia incluye las isoformas de tipo rápido, lento y cardiaco, cada una de las cuales es una proteína asociada a miosina que se encuentra en la zona de soporte de puentes cruzados (región C) de las bandas A en el músculo estriado. La proteína codificada por este locus se denomina isoforma de tipo rápido. Las mutaciones en genes relacionados pero distintos que codifican las isoformas de tipo lento y de tipo cardiaco se han asociado con artrogriposis distal, tipo 1 y miocardiopatía hipertrófica, respectivamente. MYBPC3 (proteína C3 de unión a miosina) es un gen codificador de proteínas. MYBPC3 codifica la isoforma cardiaca de la proteína C de unión a miosina. La proteína C de unión a miosina es una proteína asociada a miosina que se encuentra en la zona de puentes cruzados (región C) de las bandas A en el músculo estriado. MYBPC3 se expresa exclusivamente en el músculo cardiaco y es un regulador clave de la contracción cardiaca. Las mutaciones en este gen son una causa frecuente de miocardiopatía hipertrófica familiar.3
Desde el descubrimiento en 1990 de que la MCH tenía su origen en una mutación puntual (single nucleotide polimorfism o SNP) del gen de la cadena pesada de la miosina beta (MYH7) se han identificado ya más de 400 mutaciones causales en ocho genes sobre un total de 13 genes conocidos, lo que muestra la inusitada complejidad genética de la enfermedad,2 pero predominan en MYBPC3 y MYH7 (que codifican la cadena pesada de la miosina cardiaca β). La gran mayoría de las mutaciones fundadoras de MCH, incluida una que afecta al 4% de los sudasiáticos, residen en MYBPC3. La mayoría de las mutaciones de MYBPC3 se truncan y se prevé que causen haploinsuficiencia de cMyBPC. Los mecanismos por los cuales las mutaciones distintivas en estas dos proteínas del sarcómero producen de manera uniforme una contracción hiperdinámica y una relajación deficiente (disfunción diastólica) antes de la remodelación morfológica en la HCM siguen sin entenderse por completo.1
Las alteraciones en el gen MYH7 se han reportado como miocardiopatía hipertrófica y miocardiopatía dilatada. En 2019, Liu y colaboradores publicaron dos mutaciones, Thr446Pro y Phe468, Leu en una serie de 18 pacientes con miocardiopatía hipertrófica; en ellos, la enfermedad se manifiesta a edad más temprana y con mayor grado de hipertrofia.4
Rani y asociados estudiaron a 137 pacientes con cardiomiopatía dilatada y los compararon con 167 controles sanos, revelando 27 variantes. Detectaron cuatro mutaciones sin sentido (missense): Arg723His, Phe510Leu, His358Leu y Ser348Tyr (2.9%), una mutación de cambio en el marco de lectura, Asn676_T-del (1.5%) y 13 mutaciones silentes (synSNPs); se explica que una nsSNP puede cambiar dramáticamente la estructura de una proteína y llevar a patogenicidad. Los autores proponen que encontrar estas variantes genéticas ayudará a desarrollar moléculas como activadoras de esta proteína para mejorar la contractilidad cardiaca.5,6
Sin duda, la posibilidad de determinar genéticamente si existen alteraciones en los genes que codifican proteínas determinantes para el adecuado funcionamiento del musculo cardiaco, contribuye a aportar información valiosa en el entendimiento de la fisiopatología de la MCH. A futuro, el conocer mejor los mecanismos genéticos de esta patología ayudará a implementar nuevos tratamientos para regular el funcionamiento de las proteínas afectadas y así lograr tratar con medicina de precisión a nuestros pacientes.
Otra implicación clínica relevante es que los familiares de quienes presentan estas alteraciones genéticas se benefician de detección temprana de sintomatología y control de factores de riesgo cardiovascular para mejorar el pronóstico de la MCH.
Estos casos aportan dos ejemplos clínicos de cómo una mutación en el mismo gen puede tener dos comportamientos completamente distintos en el tipo de hipertrofia miocárdica y contribuye a aportar información de variantes genéticas que aún no se encuentran reportadas.










nueva página del texto (beta)


