Introducción
La agenesia de los huesecillos de la cadena osicular es rara (0.5 a 1.2%), secundaria a mal desarrollo del primer y segundo arcos faríngeos. Puede aparecer de forma aislada o asociada a otras anomalías, especialmente del segundo arco faríngeo,1 como el síndrome de Treacher-Collins y de Goldenhar, fijación congénita del estribo y otosclerosis.
Caso clínico
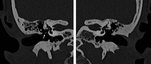
Femenino de 22 años con hipoacusia conductiva en oído izquierdo de más de 10 años de evolución. A la exploración física y la otoscopia: pabellones auriculares y membranas timpánicas normales; prueba de Rinne positiva en OD derecho y negativa en OI; prueba de Weber lateralizada a OI. la audiometría tonal entre 20-40 dB, mayor en frecuencias graves y con presencia de la muesca de Carhart a los 2000 Hz en la vía ósea ipsilateral; la impedanciometría con reflejos ipsi y contralaterales con estímulo de 100 dB mostró curvas timpanométricas normales y reflejos ipsilaterales y contralaterales ausentes en OI e ipsilaterales positivos y contralaterales ausentes en OD derecho. La tomografía computarizada mostró agenesia del proceso largo del yunque y del estribo izquierdo, sin cruras, presente la platina (Figuras 1 y 2).

Figura 1: Tomografía computarizada de oídos con reconstrucción coronal, en el lado derecho se aprecia al proceso largo del yunque, la articulación incudoestapedial y al estribo en la ventana oval (flecha); en el lado izquierdo existe agenesia de estas estructuras.
Discusión
La ausencia de la supraestructura del estribo (ASE) es una malformación congénita rara, que puede presentarse como una malformación menor del oído medio aislada o asociada a otras anomalías. La supraestructura del estribo, el músculo del estribo, su tendón y la capa externa de la platina, proceden embriológicamente del segundo arco branquial o cartílago de Reichert. El desarrollo del estribo se completa hacia el sexto mes de gestación, momento en el que se encuentra totalmente osificado, la capa interna de la platina permanece cartilaginosa a lo largo de toda la vida. Existe la hipótesis de que la agenesia del estribo o de la ventana oval se debe a trayecto anormal del VII par craneal, presentando desplazamiento anterior, interponiéndose entre la cápsula ótica y el blastema estapedial, impidiendo su fusión y ocasionando malformaciones del estribo, entre las que se encuentra la ASE.2
En el presente caso, el diagnóstico fue: ASE y de su tendón, acompañado de hipoplasia de la apófisis larga del yunque. El diagnóstico diferencial es con otosclerosis estapedial y discontinuidad osicular adquirida traumática o supurativa.
En la mayoría de los casos se puede tener alta sospecha con una buena tomografía. Actualmente, ante sospecha de malformación de la cadena osicular, el estudio de elección es la tomografía, con cortes de 1 mm para visualizar el estado de la cadena osicular. En los escasos casos de ASE, el tratamiento es quirúrgico, efectuando reconstrucción osicular.3 La paciente se derivó a otorrinolaringología para su valoración quirúrgica.










nueva página del texto (beta)



