Introducción
La pileflebitis, también conocida como tromboflebitis séptica ascendente, se caracteriza por oclusión embólica al sistema portal y sus ramas, secundaria a infección intraabdominal. Entre las causas más frecuentes están apendicitis o diverticulitis complicada.
El método diagnóstico de elección consiste en la tomografía computarizada con contraste endovenoso, mismo que permite realizar tanto el abordaje diagnóstico-etiológico como caracterizar sus complicaciones, siendo poco frecuente la propagación del trombo al sistema venoso-portal, provocando absceso hepático, infarto hepático y/o esplénico, así como trombosis portal. El tratamiento médico consiste en antibioticoterapia y anticoagulación; sin embargo, la mortalidad a pesar del tratamiento temprano es de 25%.
Descripción del caso
Paciente femenino de 63 años, sin antecedentes personales de importancia, acude por dolor abdominal en epigastrio, acompañado de fiebre de 39.4 oC. A la exploración presenta dolor en hipocondrio derecho y epigastrio; con resistencia abdominal. Con leucocitosis de predominio neutrofílico, plaquetopenia, elevación de la proteína C reactiva, procalcitonina y pruebas de función hepática.
Discusión
La pileflebitis se define como una tromboflebitis séptica del sistema venoso portal, generalmente secundaria a infección o inflamación en el abdomen.1 Se asocia más con diverticulitis o apendicitis.2 La tromboflebitis puede provocar émbolos sépticos en hígado y abscesos, generalmente del lado derecho, debido al flujo sanguíneo de la vena mesentérica superior hacia el lóbulo hepático derecho.3
La pileflebitis comúnmente se presenta con síntomas relativamente inespecíficos que incluyen astenia, fiebre, dolor abdominal, náuseas, vómitos, diarrea y anorexia. Los signos más avanzados incluyen hepatomegalia e ictericia, ya que puede resultar con compromiso hepático diseminado. La leucocitosis puede ser un hallazgo temprano, pero en la literatura se ha observado recuentos de leucocitos normales o disminuidos.4
El diagnóstico apropiado se basa en un alto grado de sospecha clínica por parte de médicos y radiólogos. El diagnóstico definitivo requiere la demostración de trombosis de la vena porta o mesentérica, asociada con realce de la pared venosa, e identificación de una fuente de infección intraabdominal; la tomografía es la modalidad de elección debido a la capacidad adicional para identificar un foco subyacente de infección y la participación del sistema venoso mesentérico y portal; así como la detección de complicaciones, como abscesos hepáticos e isquemia intestinal.5
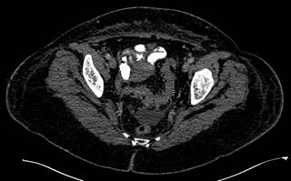
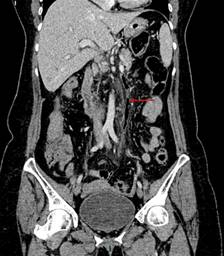
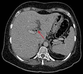
En el caso presentado, se observan datos de diverticulitis complicada a nivel de colon sigmoides, con trombo aéreo en vena sigmoidea adyacente y con extensión a vena mesentérica inferior (Figuras 1 y 2). Además, se visualiza defecto de llenado de la vena porta izquierda, secundario a trombo (Figura 3).

Figura 1: Tomografía computarizada en corte axial. Se observa proceso inflamatorio diverticular agudo a nivel de sigmoides.

Figura 2: Tomografía computarizada de abdomen en plano coronal, fase venosa temprana. Se visualiza trombo aéreo intraluminal en la vena mesentérica inferior (flecha roja), acompañada de estriación grasa en todo su trayecto (datos de flebitis).










nueva página del texto (beta)



