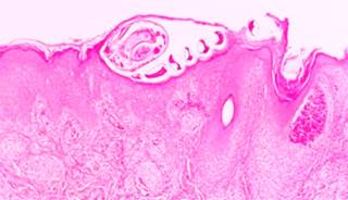
Se trata de masculino de 29 años con lesiones nodulares pruriginosas en piel de brazos, abdomen y piernas. Se le realizó biopsia de antebrazo izquierdo con diagnóstico clínico de foliculitis eosinofílica. El diagnóstico histológico corresponde a infección por Sarcoptes scabiei (escabiasis). En las imágenes histológicas se identifica piel con un túnel localizado en el estrato córneo de la epidermis (Figura 1); en el fondo del túnel se ubica un ácaro con cuerpo oval y espinas en su exoesqueleto (Figura 2). En el trayecto hay presencia de huevos en diferentes estadios de maduración (Figura 3). La dermis cuenta con un infiltrado inflamatorio mixto y en los folículos pilosos hay cúmulos de eosinófilos, lo que corrobora la impresión clínica de foliculitis eosinofílica secundaria a infección por ácaros (Figura 4). La escabiasis tiene diversas formas de contagio, pero en todas se incluye el contacto directo. Las principales manifestaciones clínicas incluyen prurito y lesiones lineales entre los pliegues y dedos correspondientes a los túneles. El ciclo de vida de los microorganismos comienza cuando la hembra deposita los huevos en la epidermis, tardando de tres a cuatro días para convertirse en larva, de 10 a 14 en madurar y después de este tiempo transportarse a través de la epidermis.

Figura 1: Túneles en el estrato córneo de la epidermis que contienen ácaros y huevos (porción superior); la dermis presenta infiltrado inflamatorio (porción inferior).

Figura 2: Ácaro (flecha en porción superior) y huevos (flechas en porción inferior) de Sarcoptes scabiei.










nueva página del texto (beta)




