Se trata de paciente femenino de 43 años de edad, que acudió al Departamento de Resonancia Magnética por dolor en la cara anterior de la rodilla izquierda, se le realizó resonancia magnética, en la que se encontró como variante anatómica duplicación patelar (Figura 1).

Figura 1: Resonancia magnética de rodilla izquierda en secuencia T2 coronal, donde se observa patela accesoria (cabeza de flecha) y patela (flecha), así como tejidos blandos en medio de ambas estructuras (*).
La duplicación patelar es una entidad infrecuente, donde se desarrollan una patela y una patela accesoria a partir de dos núcleos de osificación (Figuras 2 y 3).

Figura 2: Resonancia magnética de rodilla izquierda en secuencia T2 sagital, en la que se ve la patela en adecuada situación.

Figura 3: Resonancia magnética de rodilla izquierda en secuencia T2 sagital, donde se constata la patela accesoria en disposición medial, con presencia de fibras tendinosas de fijación.
Los criterios diagnósticos de esta patología son:
-
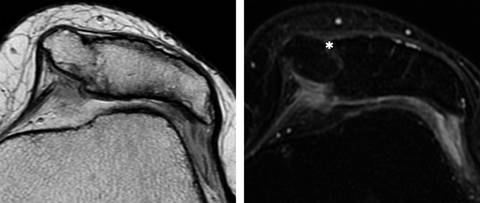
Presencia de cartílago en la patela duplicada (Figura 4).

Figura 4: Resonancia magnética de rodilla izquierda donde se identifica patela accesoria medial a la patela en T2 axial en cortes finos y T2 con saturación grasa, donde se muestran ambas patelas con cartílago articular y con tejidos blandos de comportamiento hiperintenso que separa ambas patelas (*).
Presencia de una pseudoarticulación entre ambas patelas.
Aumento del área total de la patela.
Usualmente la patela accesoria tiene adherencias o estructuras, en apariencia, ligamentarias.
Esta patología puede presentarse con una variedad de problemas clínicos dependiendo de su estabilidad. Se considera estable cuando existe tejido blando entre los segmentos óseos permitiendo poco movimiento de los mismos.
La patología más importante como diagnóstico diferencial es la patela bipartita, su principal diferencia es que en la rótula bipartita los fragmentos se unen por el recubrimiento continuo del cartílago articular y no se observan estructuras ligamentarias extras con el fémur.










nueva página del texto (beta)


