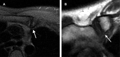
Mujer de 22 años que inicia con dolor focal y aumento de volumen en topografía de la articulación esternoclavicular izquierda de tres semanas de evolución. Negó traumatismos o algún otro factor desencadenante. Su médico le solicitó resonancia magnética, en la cual se aprecia engrosamiento e irregularidad del cartílago articular con predominio en la región inferior-interna de la articulación, asociada a edema subcondral (Figura 1).

Figura 1: Resonancia magnética de la articulación esternoclavicular izquierda; A) plano axial, donde se observa aumento en la intensidad de señal en secuencia STIR correspondiente a edema subcondral; B) plano coronal en secuencia T2 con engrosamiento del cartílago de manera generalizada.
El síndrome de Tietze, también llamado costocondritis, fue introducido por Alexander Tietze en 1921 y se caracteriza por una insuflación y engrosamiento doloroso de carácter inflamatorio no supurado, el cual se localiza en uno o más cartílagos costoesternales. Aparece en todas las edades, pero tiene predilección por la segunda y tercera década de la vida, con afinidad por el sexo femenino.
Aún existe debate sobre la etiopatogenia, pero se pueden identificar posibles desencadenantes como traumatismos en la pared torácica anterior, tos crónica, exceso de uso de la extremidad superior, estereotomía en pacientes sometidos a cirugías cardiacas o inflamaciones inespecíficas de las articulaciones costoesternales. Se ha asociado a enfermedades sistémicas inflamatorias como poliartritis reumática, artritis infecciosa, gota, artritis psoriásica, lupus eritematoso así como síntomas psicosomáticos (angustia y estrés). Los hallazgos histopatológicos sólo han demostrado aumento en la vascularización y cambios degenerativos.
Clínicamente se caracteriza por síntomas dolorosos con expresión variable, tiempos de evolución prolongados, progresivos, nunca de aparición brusca o aguda, el dolor precede a la aparición del abultamiento, esta sintomatología se exacerba con el ejercicio y la actividad. A la exploración física se evidencia tumefacción en la zona, dolorosa a la palpación, de aspecto denso y sin fluctuaciones.
Las modalidades por imagen que se utilizan son radiografía convencional, tomografía computarizada, gammagrafía, ultrasonido y resonancia magnética, esta última es excelente para mostrar anomalías cartilaginosas, articulares y óseas.
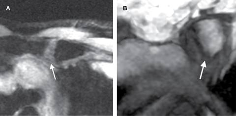
Los hallazgos característicos por resonancia magnética son engrosamiento del cartílago con aumento en la intensidad de señal de manera focal o generalizada en secuencias T2, STIR o T2 Fat Sat, edema subcondral y reforzamiento tras la administración de medio de contraste (Figura 2).

Figura 2: Resonancia magnética; A) plano axial con edema del cartílago articular en secuencia STIR; B) plano coronal secuencia T1 erosiones subcondrales de predominio en la región interna de la articulación esternoclavicular izquierda.
La importancia de hacer el diagnóstico de síndrome de Tietze radica en que a menudo simula el dolor por isquemia coronaria, motivo por el cual es esencial hacer el diagnóstico diferencial del mismo. Es importante realizar una adecuada anamnesis con el fin de evitar errores en el diagnóstico así como descartar primeramente patología cardiaca isquémica que conlleva a pronósticos desfavorables a través de electrocardiograma, y una vez descartada, realizar una resonancia magnética costoesternal y corroborar el diagnóstico.










nueva página del texto (beta)


