La trombosis de la arteria renal se presenta con una incidencia menor de 2% de todas las trombosis abdominales.1 Se debe incluir en los diagnósticos diferenciales de un síndrome doloroso abdominal.
Se presenta el caso de una mujer de 68 años hipertensa, fumadora (índice tabáquico de 24), que presenta dolor súbito tipo cólico en hipogastrio, intensidad 10/10, irradiado hacia región lumbar derecha. En exploración física presenta diaforesis, dolor a la palpación en fosa iliaca derecha. Creatinina 1.14 mg/dL, lactato deshidrogenasa (DHL) 189 U/L.
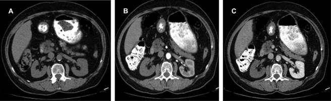
En fase arterial, la angiotomografía evidencia amputación de arteria renal derecha desde su origen con la consecuente ausencia de fase nefrográfica (Figuras 1 y 2).

Figura 1: Estudio angiotomográfico. A) Corte axial en fase simple sin evidencia de alteraciones. B) Corte axial en fase corticomedular que evidencia amputación de arteria renal derecha desde su origen y sin realce de la corteza tras la administración de contraste intravenoso. C) Corte axial en fase nefrográfica que visualiza persistencia de la amputación de arteria renal derecha, sin realce del parénquima renal.

Figura 2: Reconstrucción 3D del estudio angiotomográfico que evidencia amputación de arteria renal derecha y ausencia de opacificación del riñón derecho.
Se realiza nefrectomía derecha, con reporte por anatomía patológica de necrosis cortical y hemorragia reciente de 95% asociadas a trombosis arterial.
A nivel del hilio se encontraron cuatro arterias renales, resultado de la bifurcación de una arteria renal principal como variante anatómica (Figura 3).

Figura 3: A) Pieza de nefrectomía derecha en vista anterior y posterior de 9.7 × 5.7 × 4 cm. B) Corte coronal que demuestra necrosis cortical difusa (punta de flecha). C) Hilio renal con evidencia de cuatro arterias con trombo organizado y hemorragia (flecha).
Se debe sospechar trombosis de la arteria renal con dolor abdominal súbito, elevación sérica de DHL y/o hematuria y riesgo de evento trombótico (fibrilación auricular, tabaquismo, dislipidemia y ateroesclerosis).2,3
La angiografía es el estudio de elección y es positiva en 100% de los casos, seguida de la angiotomografía, la cual es actualmente el estudio de elección por la mayor disponibilidad y por ser menos invasiva para el paciente. Los datos tomográficos de diagnóstico son: riñón hipodenso en fase arterial consistente con dato de hipoperfusión renal, aspecto de masa y ausencia de realce en forma de cuña.1,4 La morfología cuneiforme puede traducir isquemia parcial. La correlación con la cínica y laboratorios permite realizar el diagnóstico diferencial con pielonefritis. De manera oportuna permitirá la intervención temprana y adecuada para preservar la viabilidad renal y deberá considerarse en pacientes con factores de riesgo aun con cuadro clínico inespecífico, ya que el estudio tomográfico simple es inservible en este padecimiento.
En caso de que el estudio angiotomográfico sea negativo y presente una alta sospecha de trombosis renal, el estudio alternativo será un gammagrama renal específico realizado con Tc99m/DTPA o con MAG3 (Figura 4).4










nueva página del texto (beta)



