Introducción
La toxoplasmosis es una infección causada por Toxoplasma gondii, un protozoario intracelular obligado. La infección en pacientes inmunocompetentes puede pasar inadvertida; sin embargo, en los pacientes inmunocomprometidos, en especial en aquéllos con infección por el virus de la inmunodeficiencia humana (VIH), la forma más común de presentación es la encefalitis, es la principal causa de lesiones cerebrales en esta población.1
Caso clínico
Mujer de 31 años, natural de Nigeria, residente en España desde hace 12 años, derivada al Servicio de Urgencias por un cuadro de cefalea frontal, náusea y vómito de cinco días de evolución, acompañándose en las últimas 24 horas de fiebre y pérdida de fuerza en la extremidad superior izquierda. No refería alergias y un episodio de apendicitis aguda era su único antecedente conocido.
A su llegada, la paciente se encontraba somnolienta y con bradipsiquia. En la exploración neurológica destacó déficit motor 3-4/5 en extremidad superior izquierda sin otro dato de focalización. Los reflejos osteotendinosos resultaron normales. En la exploración física, se observaron lesiones micóticas orales y se encontró una hepatomegalia dolorosa con el peristaltismo conservado, sin otros hallazgos de interés.
En los análisis iniciales destacaron los siguientes parámetros: hemoglobina 10.5 g/dL (12-16), hematocrito 30.8% (36-48%), 3,200 leucocitos/mm3 (4-11), lactato deshidrogenasa (LDH) 631 U/L (135-225). El resto de los parámetros fueron normales. El hemocultivo y urocultivo resultaron negativos. El estudio de inmunidad reveló unos parámetros alterados con CD4 de 450 (valores normales 500-1,600 células × mm3), CD8 de 328.5 (valores normales 375-1,100 células × mm3), VIH positivo con carga viral de 4,59.105. El estudio serológico fue negativo para hepatitis B y C, virus de Epstein-Barr y citomegalovirus (CMV). Por último, se llevó a cabo un frotis bucal por la presencia de las lesiones micóticas que resultó positivo para Candida albicans.
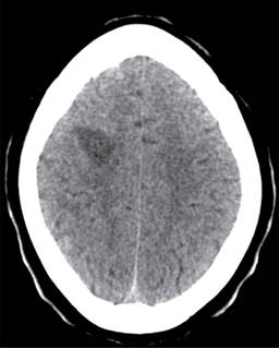
Se realizó una tomografía axial computarizada (TAC) cerebral en la que se observaron numerosas áreas hipodensas frontoparietales derechas, temporoparietales izquierdas y cerebelosas bilaterales que no realzaron tras la administración de contraste y eran compatibles con regiones de encefalitis (Figura 1).

Figura 1: Tomografía axial computarizada cerebral sin contraste, corte axial. Se visualiza una lesión hipodensa frontoparietal derecha con participación córtico-subcortical que ejerce un discreto efecto de masa correspondiente con foco de encefalitis.
Durante el ingreso, el paciente no mejoró neurológicamente, por lo que se realizó una RM (resonancia magnética) cerebral, que mostró múltiples lesiones anulares que afectaban a ambos hemisferios cerebelosos, mesencéfalo, tálamo y ganglios basales. Estas lesiones presentaron un predominio central hipointenso en secuencias ponderadas en T1 e hiperintensidad en T2 y FLAIR (Figura 2).

Figura 2: Resonancia magnética cerebral, cortes axiales, secuencias ponderadas en T2 y FLAIR. Se visualizan múltiples áreas hiperintensas con morfología en diana de localización córtico-subcortical supra e infratentorial correspondientes con áreas de encefalitis.
Estos hallazgos fueron altamente sugestivos de toxoplasmosis cerebral con afectación supra e infratentorial a nivel talámico y protuberancial. Tras la sospecha diagnóstica, se determinaron IgG específicas para Toxoplasma spp. que fueron positivas con un título de 420.7 U/mL.
Se interpretó el cuadro clínico como una toxoplasmosis cerebral en el contexto de una infección por VIH-SIDA (C3) no conocida. Se inició tratamiento con sulfadiazina y pirimetamina intravenosa junto con tratamiento rehabilitador, mejorando la clínica neurológica a lo largo del ingreso. A la semana, presentó dolor en el territorio esofágico, realizándose una fibrogastroscopia donde se vio una esofagitis, que anatomopatológicamente pareció asociada con micosis (se descartó por serología infección por Aspergillus). Además, presentó lesiones candidiásicas orales que fueron tratadas con fluconazol y después con caspofungina, con resolución de las mismas.
La paciente fue dada de alta con tratamiento antirretroviral, con una cifra de CD4 al alta de 56 por mm3 y una carga viral de 214 partículas de RNA viral.
Discusión
Toxoplasma gondii es un parásito protozoario intracelular ubicuo, que afecta aproximadamente a una tercera parte de la población,1 causando infecciones subclínicas en la mayoría de los individuos inmunocompetentes, pero con consecuencias devastadoras en los inmunocomprometidos.2 En estos últimos, la toxoplasmosis cerebral se produce por la reactivación de quistes cerebrales latentes,3 siendo la causa más común de lesiones ocupantes de espacio en individuos con VIH.2
En pacientes que cursan con VIH, la toxoplasmosis cerebral es común con un recuento de CD4+ < 200 células/mm,4 manifestándose clínicamente como un deterioro neurológico subagudo, variando en función del número y la topografía de las lesiones.
La cefalea, los déficits focales, fiebre, bradipsiquia y las crisis epilépticas son las manifestaciones más frecuentes.5 Entre otras manifestaciones clínicas también se han descrito náusea, vómito, fiebre, alteraciones de la conciencia, disfonía y alteraciones visuales.6 Sin tratamiento, la evolución es hacia el estupor, coma y el fallecimiento.2
El diagnóstico se confirma con un resultado positivo de T. gondii en líquido cefalorraquídeo (LCR) mediante PCR o con biopsia cerebral, pero esto no siempre es posible. Los datos clínicos y de neuroimagen compatibles, sumados a una IgG positiva para T. gondii en suero tiene una sensibilidad combinada de 90% para establecer el diagnóstico.7
La biopsia se considera el estándar de oro para realizar el diagnóstico definitivo, pero debido a que las lesiones se encuentran en la mayoría de las ocasiones en localizaciones profundas y de difícil acceso, se opta por utilizar técnicas de neuroimagen (TAC o RM) y comenzar tratamiento empírico previo a la confirmación microbiológica. En la TAC se visualizan lesiones únicas o múltiples de aspecto hipodenso, habitualmente con edema perilesional de gran cuantía que pueden condicionar un efecto masa y con captación de contraste muestran un patrón de anillo con edema perilesional en ganglios basales (48%), lóbulo frontal (37%) y parietal (37%).8
Sin embargo, no hay datos patognomónicos de la neuroinfección por Toxoplasma gondii, ya que entre los diagnósticos diferenciales que muestran el patrón de anillo por el contraste encontramos los linfomas primarios del sistema nervioso central (SNC), el glioblastoma multiforme, las metástasis cerebrales, abscesos cerebrales e infartos cerebrales.
En los últimos años, se ha utilizado la resonancia magnética nuclear (RMN) con espectroscopia donde se describe un patrón inflamatorio, con un aplanamiento en el nivel de captación de N-acetil aspartato (NAA), un pequeño aumento de colina (Ch) y un pico de lípidos y lactato.
El tratamiento de elección es con pirimetamina-sulfadiazina durante al menos seis semanas.1 Se debe extender el tiempo del tratamiento en caso de que exista una respuesta incompleta durante las primeras semanas o en caso de enfermedad con componentes clínicos o radiológicos extensos. En caso de alergia o contraindicación para el uso de la sulfadiazina, el tratamiento habitual alternativo es con pirimetamina-clindamicina.6
Conclusión
La toxoplasmosis cerebral es una de las infecciones oportunistas más comunes en los pacientes con VIH, y se menciona que hasta la mitad de estos casos presentan serología positiva para toxoplasmosis, pudiendo desarrollar cuadros de encefalitis que, a su vez, pueden producir secuelas neurológicas importantes, alcanzando una elevada mortalidad, por lo que tener un índice de sospecha alto e iniciar tratamiento precoz es esencial para evitar futuras complicaciones en este grupo de pacientes.










nueva página del texto (beta)


