Varón de 39 años, sin antecedentes personales ni familiares de interés. Fumador de 20 cigarrillos diarios, que acude al Servicio de Urgencias tras sufrir un accidente de tráfico de baja energía, refiriendo dolor en hombro izquierdo con ligera dificultad para la movilización.
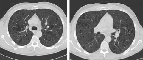
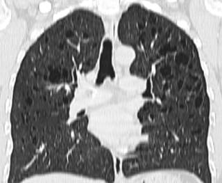
Se decidió realizar una tomografía computarizada (TC) para la valoración de otras posibles lesiones asociadas. El estudio puso de manifiesto de manera incidental la existencia de numerosas estructuras quísticas de paredes mal definidas con clara predominancia en ambos lóbulos superiores, asociando pequeños nódulos de distribución centrolobulillar. Los hallazgos radiológicos son sugestivos de enfermedad de histiocitosis de células de Langerhans pulmonar (Figuras 1 y 2).

Figura 1: Tomografía computarizada de alta resolución (TACAR), cortes axiales pulmonares. Se visualizan numerosas estructuras quísticas bilaterales de paredes mal definidas con clara predominancia en ambos lóbulos superiores, asociando pequeños nódulos de distribución centrolobulillar.

Figura 2: Tomografía computarizada de alta resolución (TACAR), reconstrucción coronal. Mismos hallazgos que la Figura anterior donde se puede objetivar con claridad la predominancia de la afectación pulmonar en campo superior, muy típico de la histiocitosis pulmonar.
La histiocitosis X o histiocitosis de células de Langerhans es una enfermedad cuya característica fundamental es la proliferación de células de Langerhans (CL) en uno o varios órganos. Comprende un grupo heterogéneo de enfermedades de etiología desconocida con manifestaciones clínicas, curso y pronóstico diverso.1
La histiocitosis de células de Langerhans pulmonar en el adulto (HCLPA) se caracteriza por la proliferación de este tipo de células que infiltran y destruyen el parénquima pulmonar y los bronquiolos respiratorios.2,3 Presenta una incidencia y prevalencia infravaloradas por el curso clínico de la patología, encontrándonos en la mayoría de los casos pacientes totalmente asintomáticos.
Su causa es desconocida, aunque presenta una clara asociación con el consumo de tabaco, que desencadenaría una producción de mediadores químicos específicos (GM-CSF, TGF-β), favoreciendo la estimulación y la acumulación de CL.4
La presentación clínica es muy variada, pudiendo presentarse de manera heterogénea, desde cuadros asintomáticos (25% de los casos), cuadros sintomáticos caracterizados por tos seca, disnea de esfuerzos, astenia y fiebre, y cuadros graves con presencia de neumotórax en alrededor de 20% de los casos.5
La tomografía computarizada de alta resolución (TACAR) ha facilitado y proporcionado una mejor valoración del parénquima pulmonar. El patrón radiológico principal es la existencia de nódulos centrolobulillares de predominancia en lóbulos superiores y de tamaño inferior a 1 centímetro. La progresión de las lesiones quísticas en la TC se correlaciona con un mayor deterioro funcional pulmonar.6
El diagnóstico de sospecha se realiza considerando los antecedentes clínicos, el consumo de tabaco, las características y patrón radiológico y el estudio funcional pulmonar con la presencia de un patrón obstructivo (disminución de la FEV1 y DLCO).
El diagnóstico definitivo se establece mediante la demostración de CL en el pulmón, en la mayoría de los casos a través de una biopsia transbronquial. No obstante, es importante destacar que, ante un paciente joven fumador con hallazgos radiológicos compatibles y presencia de CD1 superior a 5% en el lavado broncoalveolar, se puede considerar diagnóstico compatible de HLPA sin necesidad de realizar exploraciones más agresivas.7
El tratamiento consiste en el abandono del hábito tabáquico y en la administración de esteroides en pacientes graves o que presentan sintomatología, con lo que se pretende mejorar los síntomas constitucionales y respiratorios, así como disminuir la progresión de infiltrados y lesiones pulmonares.2,3










nueva página del texto (beta)


