SciELO - Scientific Electronic Library Online

 
vol.18 número4Síndrome Meckel-Gruber: diagnóstico prenatal. Reporte de un caso en el sureste de MéxicoTenosinovitis estenosante de los dedos de la mano (dedo en gatillo) índice de autoresíndice de materiabúsqueda de artículos
Home Pagelista alfabética de revistas  

Servicios Personalizados

Revista

Articulo

Indicadores

Links relacionados

  • No hay artículos similaresSimilares en SciELO

Compartir


Acta médica Grupo Ángeles

versión impresa ISSN 1870-7203

Acta méd. Grupo Ángeles vol.18 no.4 México oct./dic. 2020  Epub 06-Jun-2022

https://doi.org/10.35366/97272 

Informe breve

Penfigoide ampolloso asociado al uso de rivaroxaban

Bullous pemphigoid associated with rivaroxaban use

Ali Carolina Martínez Murillo1  * 

Gabriela Castrejón Pérez1 

Daniel Hernández Salcedo2 

Raúl Valencia López3 

1 Médico residente de primer año de medicina interna. Hospital Ángeles Clínica Londres. Ciudad de México. México.

2 Profesor titular del curso de medicina interna. Hospital Ángeles Clínica Londres. Ciudad de México. México.

3 Profesor adjunto del curso de medicina interna. Hospital Ángeles Clínica Londres. Ciudad de México. México.


Femenino de 74 años que ingresa a hospitalización de medicina por diabetes mellitus tipo 2 descontrolada por hipoglucemia. A la exploración: dermatosis localizada en tronco anterior, posterior y tercio proximal de brazos caracterizada por múltiples lesiones ampollosas de contenido seroso, algunas denudadas, costras hemáticas y máculas eritematosas, pruriginosas; refiere que dicha condición comenzó en enero posterior a consumo de rivaroxabán.

El penfigoide ampolloso es una enfermedad inflamatoria, crónica, autoinmunitaria en la que existen anticuerpos dirigidos contra antígeno del penfigoide ampollar.1

Se presenta con predominio en la tercera edad, afecta extremidades tronco y abdomen; lesiones en mucosa sólo se observan entre 10 y 30% de los casos, se caracteriza por ser diseminada, bilateral con ampollas tensas de contenido claro, dejando áreas erosionadas y costrosas.1

Aunque las erupciones de penfigoides inducidas por fármacos son poco frecuentes, pueden ser causadas por ciertos fármacos como la furosemida, heparinas, ibuprofeno, neurolépticos y captopril, entre otros.2

Figura 1: Clínica. 

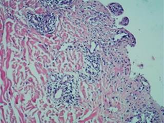
Figura 2: Histológica. 

En la literatura se han notificado reacciones cutáneas asociadas a anticoagulantes cumarinicos, heparinas no fraccionadas y de bajo peso molecular y los nuevos anticoagulantes inhibidores del factor Xa.1,3

Las lesiones cutáneas van desde reacciones pruriginosas leves, pérdida de pelo, eritema y/o edema en sitio de aplicación hasta dermatosis ampollosas hemorrágicas como las presentadas por Ferreira C y colaboradores2,4

En la literatura se han reportado pocos casos de penfigoide ampolloso por anticoagulantes, dos de ellos fueron secundarios a enoxaparina descritos por Dyson SW y su equipo5 y uno más al uso de rivaroxabán notificado como el primer caso de esta índole, dichas lesiones aparecieron entre tres días y dos semanas del inicio de los fármacos.2

Conclusión

Nuestro caso es similar al reportado por Shim J y colaboradores, ya que las lesiones se presentaron posterior al inicio del medicamento y remitieron al retirarlo. Es importante prestar atención a los informes de pacientes con posibles efectos adversos después de iniciado el tratamiento.

Referencias bibliográficas

1. Shim J, Chung S, Kim B, Kim S, Lee K, Yoon Y, Chang Y. Bullous hemorrhagic dermatosis due to enoxaparin use in a bullous pemphigoid patient. Asia Pac Allergy. 2017; 7: 97-101. [ Links ]

2. Ferreira C, Oliveira A, Furtado A, Rocha A, Ribeiro J. Bullous pemphigoid-like skin eruption during treatment with rivaroxaban: a clinical case study. Eur J Case Rep Intern Med. 2018; 5 (3): 000724. [ Links ]

3. Eek A, Oddvar B, Bakkehoi G, Stenberg-Nilsen H. Anticoagulant-associated adverse drug reactions in 2013-15. Tidsskr Nor Laegeforen. 2018; 138 (12). [ Links ]

4. Vu TT, Gooderham M. Adverse drug reactions and cutaneous manifestations associated with anticoagulation. J Cutan Med Surg. 2017; 21 (6): 540-550. [ Links ]

5. Dyson SW, Lin C, Jaworsky C. Enoxaparin sodium-induced bullous pemphigoid-like eruption: a report of 2 cases. J Am Acad Dermatol. 2004; 51 (1): 141-412. [ Links ]

1Conflicto de intereses y financiamiento: Ali Carolina Martínez, Gabriela Castrejón, Daniel Hernández y Raúl Valencia declaran que no tienen ningún conflicto de intereses. Financiamiento, ninguno.

Aprobado: 06 de Febrero de 2020

*Autor para correspondencia: Ali Carolina Martínez Murillo. Correo electrónico: alimtzmurillo@hotmail.com.

Creative Commons License Este es un artículo publicado en acceso abierto bajo una licencia Creative Commons