Presentamos el caso de un hombre de 34 años con diagnóstico de cardiopatía congénita a los cinco años. Él, por su parte, negó haber sido estudiado desde el punto de vista cardiovascular. A los 10 años inició con fatiga progresiva (negó síncope y angina). Durante el último mes inició con síndrome febril vespertino de 39 oC y disnea progresiva que se acompañaba de tos con predominio nocturno.
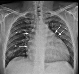
A la exploración física encontramos los siguientes datos de importancia: peso de 88 kg, talla de 166 cm, IMC igual a 32; TA: 100/80, FC: 1.10 latidos/min; FR: 18 r/min; saturación O2 74% al aire ambiental y temperatura de 38.1 oC. Se observó plétora yugular e hipocratismo digital; precordio hiperdinámico, con ruidos cardiacos rítmicos, presencia de soplo sistólico tricuspídeo III/VI; segundo P apagado, y campos pulmonares limpios con murmullo vesicular normal. El abdomen se encontraba con hepatomegalia no dolorosa de 1 cm por debajo del borde costal. Se encontraron pulsos presentes en las cuatro extremidades y sin edema. La radiografía tele de tórax mostró cardiomegalia global con dilatación de aurícula derecha e hipertrofia ventricular derecha, abombamiento del arco pulmonar y signo de hachazo (Figura 1).

Figura 1: Radiografía tele de tórax que evidencia cardiomegalia global con dilatación de aurícula (a) e hipertrofia del ventrículo derecho (b), abombamiento del arco pulmonar (c) y signo del hachazo (d) (flechas).
El electrocardiograma (Figura 2) mostró ritmo sinusal con frecuencia de 120 latidos/minuto, crecimiento biauricular, bloqueo de rama derecha del haz de His e hipertrofia del ventrículo derecho, observando extrasístole ventricular en el primer complejo de V2; siendo difícil precisar el AQRS por la S tardía en DI- AVL relacionada con el BRDHH.

Figura 2: Imagen de electrocardiograma que muestra ritmo sinusal con frecuencia de 120 latidos/minuto, crecimiento biauricular, bloqueo de rama derecha del haz de His e hipertrofia del ventrículo derecho, observando extrasístole ventricular en el primer complejo de V2, siendo de difícil precisión el AQRS por la S tardía en DI- AVL relacionada con el BRDHH.
El ecocardiograma (Figuras 3 y 4) evidenció una comunicación interventricular amplia, cabalgamiento aórtico del 50%, dilatación e hipertrofia del ventrículo derecho, vegetación adherida a la superficie auricular de la valva anterior de la válvula tricúspide, que originaba insuficiencia de esta valva, así como estenosis severa de la válvula pulmonar. El hemocultivo reportó Staphylococcus aureus. Por tanto, se estableció el diagnóstico de endocarditis en paciente portador de tetralogía de Fallot. Posteriormente, se inició tratamiento con vancomicina y aminoglucósido endovenosos y se solicitó valoración por cirugía cardiotorácica.

Figura 3: Imágenes del ecocardiograma donde se observa: (A) Comunicación interventricular amplia, cabalgamiento aórtico y dilatación importante del ventrículo derecho. (B) Cabalgamiento aórtico de 50% sobre la comunicación interventricular. (C) y (D) Vegetación grande adherida a la cara auricular de la valva anterior de la válvula tricúspide (flechas) que condicionan una insuficiencia valvular severa.

Figura 4: Espectro Doppler continuo que indica el gradiente sistólico máximo de 90 mmHg y medio de 48 mmHg a través de la válvula pulmonar que establece estenosis de grado severo.
La tetralogía de Fallot1 constituye el 10% de todas las cardiopatías congénitas, siendo la cardiopatía congénita cianógena más frecuente en el adulto, con una incidencia de 5.8% al nacer. Tan sólo el 6% de los pacientes no operados alcanzan los 30 años, y el 3% los 40 años.2,3










nueva página del texto (beta)


