Introducción
La calcifilaxis es un síndrome que se caracteriza por la acumulación de cristales de hidroxiapatita en la capa muscular de las arteriolas localizadas en la dermis en el tejido subcutáneo y en el visceral. Este síndrome suele manifestarse con hiperplasia de la capa íntima, la cual produce oclusión del vaso y necrosis isquémica.1-3 Selye fue quien describió este síndrome por primera vez como un mecanismo biológico con mineralización en las áreas específicas del cuerpo, que es causada por alérgenos en un periodo crítico posterior a su sensibilización.4 Clínicamente en la calcifilaxis se observan nódulos dolorosos e isquemia en la piel, que progresan a úlceras necróticas propensas a la infección.2,5-7 Su etiología se divide en dos: urémica y no urémica y afecta principalmente a pacientes con falla renal terminal, definida como la función renal con tasa de filtración glomerular de 15 mL/min por 1.73 m2. También ha sido descrita en pacientes con función renal adecuada (FRN) definida como la tasa de filtración glomerular (TFG) mayor de 60 mL/min por 1.73 m2 en pacientes con enfermedades reumatológicas, hematológicas y oncológicas sin tratamiento renal sustitutivo.3,8,9
El pronóstico es reservado en cuanto a su morbilidad y mortalidad, debido a que la sobrevida es menor de 40% a un año posterior a su diagnóstico. En general, la sepsis de foco en partes blandas es la causa de muerte más común.2,3,6,7 Hayashi realizó un estudio basado en encuestas de la Sociedad de Diálisis y Trasplante en Japón para valorar el conocimiento de la calcifilaxis, el cual reportó que hasta 60% de los nefrólogos no están familiarizados con la enfermedad, y sólo 6.4% de éstos señaló conocerla. El diagnóstico debe ser preciso debido a que en la evolución natural de la enfermedad existe calcificación de arterias de mayor diámetro y de válvulas cardiacas, presentando un pronóstico menos favorable. Su detección oportuna previene complicaciones y muerte por sepsis.10
Epidemiología
La prevalencia de la calcifilaxis se reporta en 4% de los pacientes en terapia de sustitución renal (TSR) por un periodo mayor de dos años, siendo más frecuente en la diálisis peritoneal. Presenta una incidencia anual de 35 casos por cada 10,000 pacientes, siendo más frecuente en mujeres de edad entre 50 y 70 años debido a la mayor cantidad de tejido graso que compromete la irrigación sanguínea.7,10,12-14
El pronóstico se relaciona con una afectación sistémica, las enfermedades concomitantes y los fármacos administrados. La diabetes y el uso de antagonistas de vitamina K son los dos factores relacionados con mayor mortandad.15 La mortalidad reportada es de 33% a los seis meses, 60% a un año y 80% en pacientes con úlceras necróticas infectadas. La sepsis es la causa de muerte más común.16
Factores de riesgo
La calcifilaxis es un síndrome de etiología multifactorial. Su desarrollo se relaciona con enfermedades autoinmunes como el síndrome de Chron, lupus eritematoso sistémico, sarcoidosis y síndrome antifosfolípido; oncológicas como melanoma, colangiocarcinoma y leucemia mieloide crónica; alteraciones laboratoriales en la velocidad de sedimentación globular, como hiperparatiroidismo, deficiencia de la proteína S y C de la coagulación e hipoalbuminemia; tratamiento médico como transfusiones sanguíneas múltiples, quimioterapia, y finalmente, complicaciones de otros padecimientos como hipotensión recurrente, hueso adinámico y pérdida de peso acelerada.2,3,7,9,10,17,18
Nigwekar y colaboradores14 realizaron un análisis de regresión logística, donde por un lado, mencionan como factores de riesgo a la diabetes, la obesidad, la hipercalcemia, la hiperfosforemia, el hiperparatiroidismo y la alteración en los factores dependientes de la vitamina K por ingesta de warfarina, el síndrome de malabsorción en íleon, un consumo menor de 100 microgramos/día de vitamina K y el uso de antibióticos. Por el otro, reportaron como factores protectores a la hemoglobina dentro de parámetros normales para la edad y el sexo, así como los estimulantes de eritropoyesis. Estos hallazgos han sido confirmados por estudios realizados tanto por Brandenburg y su equipo19 como por Hayashi y colaboradores.20
La calcifilaxis es un síndrome que necesita de un evento desencadenante para su inducción. Selye y equipo21 realizaron un estudio en el que refirieron el desarrollo del síndrome posterior a inyecciones de dextrano férrico a dosis de 10 mg/10 mL. Por otro lado, Nigwekar y colaboradores14 reportaron que el traumatismo por inyecciones subcutáneas repetitivas en pacientes bajo tratamiento con insulina es un detonante en algunos casos de calcifilaxis. Otro evento iatrogénico en pacientes con sensibilidad a alérgenos es la aplicación intramuscular o intravenosa repetitiva de corticosteroides.2
Patogénesis
La patogénesis de la calcifilaxis es desconocida, aunque han sido formuladas dos teorías: por remodelamiento y por genética. La primera refiere que las arteriolas presentan un remodelamiento de la matriz extracelular, el cual produce fibrosis de la capa subíntima vascular, estrechamiento de su luz y calcificación, lo que provoca la trombosis con infarto de la zona irrigada.2 La segunda se desarrolla con la deficiencia autosómica recesiva del cúmulo de diferenciación CD73, una molécula reguladora de la proliferación en el cáncer y en la angiogénesis tumoral que produce calcificación.3 Otros genes relacionados son el receptor de vitamina D y el factor de crecimiento fibroblástico 23.3
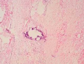
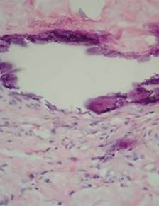
También, según Wilmer y Magro,22 la patogenia de la calcifilaxis se puede dividir en dos etapas. En la etapa uno se desarrolla la lesión vascular con sensibilidad inducida por la PTH, vitamina D o hipercalcemia. En la segunda etapa se presenta la isquemia secundaria a lesiones vasculares calcificadas asociadas con fibrosis y trombosis vascular (Figuras 1 y 2).

Cortesía de la Dra. María Elisa Vega Memije. Jefa del Departamento de Dermatopatología, División de Dermatología, Hospital General “Dr. Manuel Gea González”, Secretaría de Salud, México.
Figura 1: Biopsia de piel en tinción de hematoxilina-eosina (40X). Calcificación de capa media de arteriolas de dermis reticular.

Cortesía de la Dra. María Elisa Vega Memije. Jefa del Departamento de Dermatopatología, División de Dermatología, Hospital General “Dr. Manuel Gea González”, Secretaría de Salud, México.
Figura 2: Biopsia de piel en tinción hematoxilina-eosina (100X). Hiperplasia de la capa muscular por depósito de hidroxiapatita que produce oclusión del vaso y necrosis isquémica.
La calcificación microvascular es un proceso activo mediado por células que dependen de un balance entre los promotores e inhibidores de este proceso. Las células más importantes son el músculo liso y el endotelio de las arteriolas, así como los macrófagos como el principal leucocito involucrado.2 El modelo de microcalcificación comienza con la diferenciación del músculo liso en condrocitos y osteoblastos debido a la interacción entre la uremia, la hiperfosforemia y las especies reactivas de oxígeno (EROS).23,24 Brandenburg y su equipo realizaron autopsias en pacientes con dermatosis sugerente de calcifilaxis, y en dicho estudio demostraron un aumento en la osteopontina, el colágeno 1, la fibronectina y la laminina, lo que produjo un ambiente procalcificante en la matriz extracelular.1 Schafer y colaboradores obtuvieron muestras de suero de pacientes con calcifilaxis, demostrando una inhibición deficiente de la precipitación del fosfato de calcio, que en condiciones apropiadas inhibe el depósito de calcio en la pared vascular.25 Luo y su grupo midieron el nivel de proteína Gla matriz (PMG), una proteína de la matriz celular cuya carboxilación (PMGC) depende de la vitamina K. Una vez carboxilada, funciona como inhibidor de la calcificación al inactivar a los ligandos de la proteína morfogénica del hueso (PMH) 2.24 Estas proteínas conforman factores de crecimiento transformadores que inducen la diferenciación de osteoclastos y promueven la osteogénesis, así como la calcificación extraósea al formar complejos entre la proteína morfogénica del hueso (PMH-1) y el receptor de serina treonina cinasa tipo 2. Esta señalización fosforila las proteínas SMAD1/5/9, una efectora de la proteína morfogénica del hueso, que activan la producción de genes 1 y 3 (osteoblásticos). De igual manera, incrementa el nivel de RUNx2, un factor de transcripción osteogénico.6 Si la proteína Gla matriz se encuentra disminuida, se incrementa la señalización cutánea de ambas proteínas morfogénicas del hueso.26,27 La actividad de las proteínas morfogénicas del hueso dependen de la producción aumentada de EROS, también conocidos como activadores del factor de transcripción nuclear kappa B, que es responsable de la calcificación.23,24 Se ha demostrado que los pacientes con calcifilaxis presentan niveles de PMGC disminuida.6,28,29
Otro factor importante en la calcificación arteriolar es la fetuina-A, un inhibidor de la síntesis de hidroxiapatita que transporta nanocristales minerales por medio de calciproteínas.24 Una deficiencia de la fetuina-A, en combinación con hipercalcemia e hiperfosforemia, promueve la osificación vascular al precipitar cristales de calcio y fósforo en la pared vascular y al aumentar el NfkB y el receptor activador de NfkB ligando (RankL). Dicho evento se produce en el contexto de enfermedades crónicas como la ERC, así como en pacientes de etiología no urémica.2,7,10,17,24,30
El fosfato entra a la capa muscular de la arteriola por la vía Pit-1, un cotransportador dependiente del sodio que aumenta el fósforo intracitosólico. Este cambio fomenta la transición del músculo liso a la expresión de genes osteoblásticos y promueve la liberación de las vesículas de mineralización de la matriz al músculo, induciendo su apoptosis y diferenciación osteogénica por la PMH-2 y la osteopontina. El resultado es el depósito de hidroxiapatita, calcificación vascular y la producción acelerada de EROS, con una predisposición a la formación ósea.24 El eje de señalización proinflamatoria de EROS induce la síntesis de fibrinógeno, amiloide sérico y proteína C reactiva, lo que provoca estenosis y oclusión por hiperplasia de la íntima y desprendimiento de las células vasculares.2 De la misma manera, produce hipoalbuminemia al disminuir la secreción hepática de albúmina, la cual predispone directamente a la calcifilaxis.24,31 Bleyer y colaboradores32 y Coates y equipo33 reportaron un aumento de 17 veces en la incidencia de calcifilaxis por cada unidad de albumina deficiente, debido a que ésta promueve la curación de úlceras, y su deficiencia aumenta el riesgo de infección.
La hipercoagulabilidad es un factor importante en la patogenia de la calcifilaxis. En un estudio realizado por Nigwekar y otros en 2008 reportaron que hasta 43% de los pacientes con calcifilaxis presentaba deficiencia de las proteínas C y S (factores antitrombóticos), y dicho trastorno se manifestaba en los hallazgos histopatológicos de trombosis en 86% de las biopsias, sin presentar un infiltrado inflamatorio, que permite realizar el diagnóstico diferencial con las vasculitis.23
La warfarina es un antagonista de la vitamina K que inhibe la carboxilación requerida para la actividad de la PMG, las cuales inhiben la calcificación endógena y mantienen la integridad de la pared vascular.10,34 Brandenburg y su equipo reportaron también que hasta a 10% de los pacientes en diálisis se les prescribe un antagonista de vitamina K, aumentando hasta cinco veces su riesgo de calcifilaxis.10
La obesidad es responsable de una alteración en la biología del adipocito con aumento en la producción de factor de necrosis tumoral alfa (TNFα), interleucina 1 (IL1), interleucina 6 (IL6) y EROS. El aumento de las IL1 y las IL6 también se observa en pacientes con trombofilias; dicha alteración aumenta la activación de NFkB, disminuye la acción antitrombótica de la proteína S y C y de las adipocitocinas, lo que aumenta la probabilidad de arteriolopatía y trombosis.23,25 De igual manera, la vía de NFkB promueve la producción de endotelina-1, un vasoconstrictor y promotor de crecimiento, que produce calcificación de la túnica media y pérdida de diámetro luminal.25 Las EROS aumentan en pacientes con uremia, en quienes existe disfunción de la sintasa de óxido nítrico, con daño a las arterias de pequeño diámetro por efecto proinflamatorio y de constricción. Otros factores que incrementan las EROS son la hiperglicemia, hiperhomocisteinemia, B2 globulina aumentada, LDL aumentado y bajo HDL.25
Kramman y colaboradores realizaron un estudio comparativo entre siete pacientes sanos y siete pacientes con TSR sin calcifilaxis presente. En dicho estudio obtuvieron biopsias cutáneas, donde se examinó la histología, inmunohistoquímica y microscopia. Estos autores refieren un aumento en la PMH-2, su gen objetivo RUNx2 y su antagonista indirecto (esclerostina) en pacientes con TSR. De la misma manera, refieren un aumento de la proteína PMG, osteopontina, fibronectina y colágeno 1, concluyendo que existe un proceso osteogénico activo por deposición de hidroxiapatita y remodelamiento de la matriz subcutánea en pacientes con TSR.26
Como principio, la hiperplasia de la íntima es la respuesta inicial del tejido vascular al daño. Esta hiperplasia produce una reacción inflamatoria que inicia la migración de células musculares a la íntima, la proliferación e inicio de síntesis de matriz extracelular, lo que provoca estenosis y daño endotelial. El endotelio dañado se necrosa con el paso del tiempo y se desprende del lumen vascular, produciendo fibrosis de la subíntima, oclusión no trombótica y trombogénesis.2
Por otro lado, el componente genético es considerado de relevancia en el entendimiento de su patogénesis. Se han descrito mutaciones en el NT5E (el cual produce el CD73 que se encuentra sobreexpresado en pacientes con calcifilaxis)35 y la deficiencia del gen que codifica el ectonucleotido pirofosfatasa y fosfodiesterasa (ENPP1), el cual ha demostrado prevenir las calcificaciones cardiovasculares.36
Considerando las deficiencias previas, no se ha descubierto el porqué de la afinidad por la calcificación de las arteriolas en el tejido cutáneo. Al presentar una topografía central, la implicación del adipocito expuesto a niveles elevados de fosfato aumenta el nivel de adipocinas como el factor de crecimiento endotelio vascular A (VEGF-A). Esto conduce a la calcificación de la vasculatura del músculo liso por acción de PMH-4, además del aumento de la inflamación local y sistémica.24,37 Una relación importante entre la calcifilaxis y VEGF-A se encuentra en el síndrome de polineuropatía, organomegalia, endocrinopatía, componente M y dermatosis (POEMS) debido a que se caracteriza por presentar un nivel elevado de dicho factor. La expresión más grave de la enfermedad es la paniculitis calcificante con calcificación del tejido adiposo y necrosis.24
En cuanto al daño endotelial de las arteriolas dérmicas, el trauma por la inyección repetitiva de insulina causa una reacción autoinmune que promueve un estado procoagulante o produce efectos anabólicos de manera local en la dermis.5
Otro factor precipitante de la enfermedad es la inyección intramuscular de hierro-dextrano como alérgeno, descrita por primera vez por Reesen en 1969. Este autor la describió en un paciente que se encontraba en terapia de inmunosupresión con esteroides, por lo que la absorción del hierro en el sitio de inyección se encontraba disminuida. Esto produjo un potencial calcifiláctico importante por la disminución de la respuesta inflamatoria compensadora con la posterior aparición de calcifilaxis.38
Existen otros cambios que promueven la calcifilaxis, como eventos quirúrgicos, que estimulan la generación de EROS y son los responsables de activar NFkB por el receptor RANK y también el mecanismo de regeneración de heridas. Esta señalización aumenta TNFα, IL 1 e IL 6.23,25
Clasificación
La calcifilaxis se clasifica por su etiología, topografía y morfología de la dermatosis (Tabla 1). En este sentido, las características clínicas de la enfermedad no definen la etiología de la calcifilaxis; sin embargo, la topografía es el parámetro más relacionado con la causa: 80% de los pacientes con falla renal presentarán una distribución central, con mayor prevalencia en la pared abdominal y la cadera.5,10 Nigwekar y colaboradores refieren que los pacientes con una topografía central son más jóvenes e ingieren antagonista de vitamina K; por otro lado, se relaciona con el trauma repetido por inyecciones de insulina.14 En cambio, las lesiones periféricas se relacionan con tratamiento exógeno de vitamina D;14 ambas localizaciones asociadas con diabetes mellitus y obesidad.
Tabla 1: Clasificación de calcifilaxis.
| Etiología | Dermatosis | |
|---|---|---|
| Urémica (falla renal terminal) | Central (pecho, tronco, nalgas, genitales, muslos, antebrazos) | Úlceras |
| No urémica (función renal en parámetros normales) | Periférica (pierna, pies, brazo, mano) | Sin úlceras |
Tomada de: Nigwekar SU, Zhao S, Wenger J, Hymes JL, Maddux FW, Thadhani RI et al. A nationally representative study of calcific uremic arteriolopathy risk factors. J Am Soc Nephrol. 2016; 27: 3421-3429.
La etiología de la enfermedad se relaciona directamente con el pronóstico debido a las comorbilidades y la topografía de la dermatosis. En los pacientes con calcifilaxis urémica, el pronóstico de vida a un año es de 20%; en cambio, los pacientes con calcifilaxis no urémica presentan una sobrevida de 55 a 75% durante el primer año.7 Además, la topografía central de la dermatosis presenta un peor pronóstico con una mortalidad de 63% debido a la dificultad de realizar desbridamiento quirúrgico del tejido necrótico o infectado.5 En cambio, en la topografía distal se ha reportado una mortalidad de 23%.39
Otro factor a considerar en el pronóstico de los pacientes con calcifilaxis son las características clínicas de la dermatosis. En pacientes con lesiones sin ulceración existe una sobrevivencia de 67% a seis meses y de 59% a un año. En cambio, los pacientes con úlceras presentan una supervivencia de 33% a seis meses.40 Según Brandenburg y equipo, y de acuerdo con la base de datos utilizada en el estudio realizado en Alemania, la dermatosis ulcerosa es la morfología más común.10
Clínica
La calcifilaxis cutánea se presenta como un proceso bifásico de púrpura retiforme inflamatoria y patognomónico de los síndromes de oclusión microvascular.9 Se evidencia con dolor difuso en la piel, alternando con disestesias y asociado con placas o masas subcutáneas localizadas en las zonas de abundante tejido adiposo, siendo poco prevalentes otras localizaciones como pene o dedos.2,20,24 En general, la calcifilaxis se presenta como una dermatosis reticular, progresiva que produce dolor fluctuante en intensidad y se acompaña de hiperestesia táctil. Característicamente, las dermatosis por calcifilaxis conservan los pulsos periféricos intactos y la sensibilidad.40 Las lesiones dermatológicas se caracterizan por ser bilaterales, las cuales inician como una mancha eritematosa, con posterior formación de placas, nódulos, livedo reticularis o púrpura que progresa a úlceras con forma de estrella y gangrena con escara negra.7 Weening y colaboradores agrupan las lesiones cutáneas como úlceras necróticas, livedo racemosa, parches hemorrágicos, ampollas hemorrágicas y placas induradas con piel perilesional violácea, edematosa y cuando se encuentra infectada con secreción purulenta.23,41,42
La morfología de la dermatosis depende de la vasculatura dérmica, en la que cada arteriola es responsable de la irrigación de 4 cm de piel. La cianosis se presenta por la sangre desoxigenada en la unión de las arteriolas y produce una dermatosis en patrón reticular, llamada livedo reticularis. Posteriormente, se forman círculos incompletos denominando livedo racemosa y, por último, se desarrolla una púrpura retiforme por la obstrucción sanguínea prolongada.23
El desarrollo de la dermatosis se divide en dos fases: la fase I, que aparece en tejido adiposo y se manifiesta como piel indurada con nódulos o placas eritematosas dolorosas y pruriginosas. La fase II consiste en necrosis isquémica y formación de microtrombos que producen úlceras y escaras negras, las cuales se complican con infección, abscesos y gangrena.2 La topografía de la dermatosis determina su pronóstico: la localización acral, distal y en el pene tienen un pronóstico favorable, en tanto que las lesiones proximales tienen un peor pronóstico.2
Las calcificaciones extraesqueléticas se diagnostican por estudios de imagen. Se han reportado calcificaciones extracutáneas localizadas en el músculo, el sistema gastrointestinal y el sistema óptico.7 La clínica de la calcifilaxis visceral es heterogénea, por lo que el diagnóstico se realiza post mortem; incluye como causa de defunción la falla respiratoria aguda y el sangrado gastrointestinal. Sin embargo, al carecer de un patrón histológico identificable, la existencia de un síndrome de calcifilaxis sin dermatosis es dudosa (Figura 3).2

Cortesía de la Dra. María Elisa Vega Memije. Jefa del Departamento de Dermatopatología, División de Dermatología, Hospital General “Dr. Manuel Gea González”, Secretaría de Salud, México.
Figura 3: Calcifilaxis. Dermatosis localizada en tercio inferior de cara lateral de la pierna derecha caracterizada por úlceras pigmentadas color violáceo de forma reticular dolorosas de reciente aparición.
Diagnóstico
El diagnóstico de la calcifilaxis es complicado debido al conocimiento reducido de la enfermedad en pacientes de etiología no urémica, siendo diagnosticada incorrectamente como vasculitis, sobre todo en pacientes con enfermedad autoinmune.2,20 Por tanto, si se encuentra un paciente con calcifilaxis sin diálisis, es importante descartar etiología autoinmune, donde el anticuerpo antinuclear (ANA) presenta un componente predictor en el diagnóstico de calcifilaxis.43
El diagnóstico se basa en la exploración física de la dermatosis y los factores de riesgo para un tratamiento temprano. Los tres criterios específicos para su diagnóstico son: el bioquímico, el histopatológico y la técnica de imagen, aunque la especificidad de estos criterios unidos no es elevada.2 En un estudio realizado por Santos y su equipo de investigación en 117 pacientes, entre 2005 y 2017, reportaron que la sospecha clínica es el criterio diagnóstico más importante que se usa en 56.4% de los pacientes, el diagnóstico histológico en 32.5% y la imagen ósea en 9.4%.15
Los hallazgos por laboratorio son inespecíficos, ya que pacientes con calcifilaxis urémica y no urémica no presentan cambios bioquímicos. Hasta 40% de los pacientes presentan niveles electrolíticos dentro de los parámetros normales, de los cuales sobresalen el fósforo (P) y el calcio (Ca).18,30 Mazhar y otros reportaron un incremento importante en la posibilidad de desarrollar calcifilaxis por cada aumento de 1 mg/dL de calcio el año previo a su diagnóstico, teniendo como media 8.2 mg/dL y 19% más probabilidad de desarrollar calcifilaxis por cada 10 UI/L de incremento de fosfatasa alcalina como indicador de hiperparatiroidismo; asimismo, se observó una disminución de Ca séricos en estos casos por su precipitación con el fosfato.9,12
La biopsia de piel por técnica de doble sacabocado (punch) de 6 a 8 mm es el método de elección para el diagnóstico de calcifilaxis. La tinción de Von Kossa (VK) se utiliza como diagnóstico confirmatorio posterior a la tinción de hematoxilina y eosina, la cual descubre el fosfato dentro de la hidroxiapatita. Otra tinción que ayuda a la identificación de los depósitos de calcio es el rojo alizarina.42,44,45 Otros estudios recomiendan la biopsia insicional profunda para el estudio amplio del tejido subcutáneo,16 y otros más, la biopsia escisional en el borde de la escara necrótica, el área con livedo y la induración.44 Los hallazgos son específicos, pero no patognomónicos, e incluyen: calcificaciones compuestas por hidroxiapatita en la túnica media de los vasos sanguíneos dérmicos y panículo adiposo, hiperplasia y edema de la capa íntima, remodelamiento de la matriz extracelular y trombosis que provocan el dolor intenso de la dermatosis. Se acompañan de necrosis, separación dermoepidérmica, ulceración epidérmica, calcificaciones extravasculares e infiltrado monocítico y neutrófilos. Mochel y colaboradores refieren que la calcificación periécrina es específica de la calcifilaxis. Chen y otros refieren la angioplasia dérmica como hallazgo frecuente, siendo una respuesta de cicatrización del tejido dañado por la isquemia crónica.2,5,7,24,44,46 Kramman y su equipo realizaron biopsias en pacientes con calcifilaxis, y reportaron la destrucción de la capa endotelial, de células endoteliales CD31 endoluminales y la oclusión total en arteriolas subcutáneas con hiperplasia de células endoteliales y aumento de PFH.26 El diagnóstico diferencial por biopsia se realiza con las vasculitis, las cuales presentan serologías positivas y ausencia de necrosis fibrinoide.5
Nigwekar y colaboradores realizaron un estudio donde utilizaron la inmunomarcación con P-SMAD1/5/9 en las arteriolas del tejido subcutáneo en 18 pacientes (100%) con calcifilaxis, sin distinción de etiología. El estudio concluyó que los pacientes con calcifilaxis presentan activación de la vía de señalización con nivel elevado de SMAD1/5/9 y RUNx2.6 Además, la inmunomarcación con P-SMAD fue positiva en un vaso, donde no se detectó calcificación por la tinción VK, por lo que éste podría ser un marcador temprano y disminuiría la necesidad de biopsias posteriores por el riesgo de ulceración y sobreinfección.6 Sin embargo, existe un riesgo aumentado de provocar úlceras e infección al tomar la biopsia, por lo que sólo se solicita en pacientes con duda diagnóstica. Por lo tanto, no es necesaria en pacientes con enfermedad renal crónica (ERC) con TSR, la cual presenta una dermatosis caracterizada por úlceras con escara negra muy dolorosa. La biopsia se encuentra contraindicada en úlceras con topografía acral, en genitales o lesiones infectadas.
El diagnóstico diferencial se realiza desde la clínica, los hallazgos histopatológicos y de imagen. La tinción Von Kossa ayuda al diagnóstico diferencial con otras calcificaciones microvasculares presentes en pacientes con ERC como la calcinosis cutánea metastásica o la aterosclerosis de Mönckeberg. Otros diagnósticos a considerar son la necrosis inducida por warfarina, enfermedad arterial periférica, fibrosis nefrogénica sistémica, úlcera por estasis venosa, celulitis, embolización de colesterol, fascitis necrotizante, crioglobulinemia, síndrome antifosfolípido, pioderma gangrenoso, vasculitis necrotizante y paniculitis pancreática.2,5,7,47,48 Para llevar a cabo el diagnóstico diferencial es necesario realizar una historia clínica donde se revise la administración previa de gadolinio, así como revisar la crioglobulina, anticuerpos antinucleares y anticuerpos antifosfolípidos.47
El diagnóstico de calcifilaxis es complicado y en casos donde la biopsia cutánea no es concluyente, las técnicas de imagen ayudan al diagnóstico. En la radiografía de tejidos blandos se observan calcificaciones subcutáneas en patrón de red, irregularidad en el tejido blando, resorción subperióstica y calcificación vascular importante.5 Otra técnica de imagen es la mamografía, donde se observan microcalcificaciones de alto contraste. En la escintografía nuclear con tecnecio-99m se observa aumento heterogéneo en la absorción del rayo en el tejido blando.49,50
Esquema 1. Hayashi y colaboradores47 integraron los criterios de diagnóstico de calcifilaxis, los cuales son:
Pacientes en TSR crónica por enfermedad renal crónica terminal o con una TFG menor de 15 mL/min/1.73 m2.
Presentación de más de dos úlceras dolorosas resistentes a tratamiento con púrpura dolorosa.
Evidencia de úlceras dolorosas resistentes al tratamiento en tronco, extremidades o pene con púrpura dolorosa. En cuanto a los criterios histopatológicos, se observa:
Necrosis y ulceración de la piel con calcificación de la túnica media y membrana elástica interna de pequeñas arteriolas de la dermis y TSC.
Estenosis concéntrica por engrosamiento edematoso de la túnica íntima en arteriolas.
Tratamiento
No existe tratamiento estandarizado para la calcifilaxis. Se recomienda que participe un equipo multidisciplinario de nefrología, nutrición, algología, dermatología y cirugía plástica. Brandenburg y su equipo10 reportaron que el tratamiento de elección en el cuidado de la dermatosis es el tratamiento antibiótico, analgésico con opiáceos y quirúrgico.24 Santos y otros15 refieren que el tiosulfato de sodio a dosis de 25 a 49 g es el fármaco más utilizado para el tratamiento de la calcifilaxis, sin un mecanismo de acción conocido.23
En relación con la suplementación de calcio en pacientes con TSR, se recomienda utilizar quelantes sin calcio, como sevelamer o carbonato de calcio, y suspender los suplementos cálcicos. De igual manera, se sugiere aumentar las sesiones de diálisis por semana para disminuir las anormalidades electrolíticas relacionadas con la TRS.2
Como electrolito prioritario, el control del fosfato disminuye la activación de las células de músculo liso y, por consecuencia, disminuye la calcificación. En caso de presentar hipercalcemia, se requiere ajustar la TSR. El llegar a hipocalcemia podría normalizar el CaXP y remover el calcio almacenado en tejidos.2
La desnutrición es una condición común en pacientes con calcifilaxis debido al estado inflamatorio continuo que perpetúa la escasa cicatrización de heridas, por lo que alcanzar los requerimientos nutricionales por medio de nutrición enteral o parenteral es primordial para el cuidado del paciente.23
El primer paso en el tratamiento es administrar analgésicos al paciente con dolor severo en la úlcera. El dolor somático presentado suele ser resistente a dosis alta de opioides, presentando toxicidad o efectos adversos. Jeong y su grupo23 refieren que los opioides a alta dosis promueven la acumulación de tóxicos que comprometen la perfusión. Rogers y colaboradores recomiendan parches de fentanilo como tratamiento de base para el control del dolor,51 mientras que otros estudios recomiendan tratamiento, entre casos refractarios, con gabapentina, ketamina y anestesia epidural.13
En relación con el tratamiento de la dermatosis, el objetivo es remover el tejido necrótico y evitar la infección cuando no se observan datos de isquemia.23 Característicamente, estas úlceras tienen un proceso de cicatrización retardado por el escaso tejido de granulación, el cual debe ser cuidado con hidrocoloides y plata; se recomiendan reaplicaciones hasta tres veces por semana.23 La terapia de presión negativa y el desbridamiento quirúrgico es el tratamiento de elección para las heridas infectadas con escara abundante. Una vez desarrollado un tejido de granulación adecuado, se puede utilizar un injerto de piel para el cierre de la herida.23
Otro tratamiento que ha demostrado utilidad en la úlcera necrótica es la terapia de oxígeno hiperbárico. An y colaboradores53 demostraron una mejoría completa en la dermatosis de la topografía distal en 50% de los pacientes tratados con 44 sesiones de oxígeno hiperbárico. Esta terapia controla la hipoxia tisular por aumento de la angiogénesis y la proliferación fibroblástica que produce colágeno y la resolución de la úlcera, también tiene actividad bactericida por la oxidasa de neutrófilos que produce oxidación respiratoria.22
En relación con el tratamiento médico de la enfermedad, el tiosulfato de sodio (TNA) es el fármaco de primera línea desde 2004, el cual ha sido indicado en pacientes con calcifilaxis sin hiperpartiroidismo,2,54 siendo Cicone y su equipo55 el primer grupo que utilizó este fármaco con éxito. Este fármaco de aplicación intravenosa (IV) es un antioxidante y vasodilatador que inhibe la calcificación del adipocito al deshacer y quelar el depósito de calcio.55
La dosis recomendada es 25 g de TNA en 100 cm3 de solución salina al 0.9% vía intravenosa, tres veces por semana en los últimos 60 minutos de la hemodiálisis (pesa 248 Da) durante dos meses.24 Asimismo, se ha reportado que administrada vía intralesional, a dosis de 260 mg/mL, es otra posible vía en pacientes con heridas únicas, pero se relaciona con dolor local.23,42,56 El alivio del dolor se logra días posteriores a su administración debido a su efecto vasodilatador en la capa endoneural periférica, mientras que la curación de la dermatosis es más lenta, con una media de remisión de ocho semanas.24,54 Nigwekar y colaboradores57 realizaron un estudio en 53 pacientes en TSR en hemodiálisis, administrando tiosulfato de sodio tres veces por semana durante tres meses, con una resolución completa en 26% y mejoría clínica en 19% de sus pacientes tratados. Zitt y su grupo58 realizaron un estudio en 27 pacientes con TRS en diálisis peritoneal bajo tratamiento con TNA vía intravenosa y demostraron la remisión completa en 52% y mejoría parcial en 19%. Kalajian y su equipo9 reportaron la aparición de tejido de granulación en una úlcera refractaria a tratamiento previo, a las dos semanas del inicio de ésta, con 5 g de TNA vía intravenosa cada 24 horas, y con la curación total a las 14 semanas de tratamiento. Los efectos adversos de TNA fueron la hipocalcemia, la prolongación del intervalo QT, la hipotensión y la acidosis metabólica.59 El efecto adverso más relacionado con el uso del TNA es la desmineralización del hueso por la acidosis metabólica secundaria, requiriendo el seguimiento con densitometría ósea. En caso de presentarse, se recomienda el tratamiento con bicarbonato de sodio vía oral.2,24,54 En caso de administrar el TNA en una infusión menor de una hora se puede presentar náusea, vómito, dolor abdominal y evacuaciones diarreicas, las cuales mejoran con infusiones del medicamento.23,24 El control del fosfato es esencial debido a que desencadena la metaplasia del músculo liso en células osteoblásticas; y el sevelamer, un fármaco aglutinante de fosfato, está indicado en pacientes con ERC, ya que disminuye el desbalance electrolítico característico y la incidencia de calcifilaxis, asimismo, limita la progresión de la enfermedad y promueve la cicatrización temprana de la herida.23
Los bisfosfonatos (BP), un análogo de pirofosfato, son utilizados para la prevención de hipercalcemia por PTH elevado, por lo que este fármaco mantiene un calcio sérico elevado al disminuir el efecto de la PTH.23 De esta manera, han sido utilizados en pacientes con deficiencia de ENPP1 porque disminuyen su actividad osteoclástica y tienen un efecto antiinflamatorio. Monney y colaboradores60 trataron con palmidronato a un paciente con calcifilaxis y falla renal, y reportaron control del dolor 48 horas posteriores al inicio del fármaco y una curación de la úlcera a las seis semanas. La rapidez del efecto se debe a la disminución de la infiltración de macrófagos y menor síntesis de citocinas proinflamatorias.24 Shea y colaboradores61 realizaron un estudio prospectivo en 11 pacientes con calcifilaxis. Estos autores refieren una mejoría clínica en 100% de los pacientes de dos a cuatro semanas posteriores al inicio del tratamiento con bisfosfonatos. Sus efectos secundarios más importantes son la osteonecrosis de la mandíbula, hipocalcemia, hipofosfatemia, fiebre e hipomagnesemia.54
Como principio, los esteroides disminuyen la inflamación tisular y son utilizados como tratamiento en algunos casos. Sin embargo, pueden ser la etiología de la calcifilaxis y se debe tener precaución debido a que se incrementa el riesgo de infección de las úlceras.2,54 En otras series no se reconoce la utilidad del esteroide como tratamiento de calcifilaxis e incluso desalientan su utilidad por el riesgo aumentado de sepsis.9,47
El abordaje de los trastornos de la coagulación es pieza angular en el tratamiento de los pacientes con calcifilaxis. En un estudio realizado en 101 pacientes con confirmación de calcifilaxis hecho por El-Azhary y su equipo,62 dichos autores reportaron que 80% de los pacientes presentaron alguna trombofilia congénita o adquirida, por lo que recomiendan el inicio de tratamiento con inhibidores del factor X. Sin embargo, otros estudios refieren que, en pacientes con datos de hipercoagulabilidad o comorbilidades cardiacas, la heparina de bajo peso molecular y el plasminógeno activador mejoran la dermatosis localizada de manera distal, debido a que disuelve la obliteración del trombo en la arteria afectada. No obstante, dicho efecto es aún investigado.63 En general, se recomienda la suspensión de antagonistas de vitamina K, así como la suplementación de la misma como tratamiento básico de la enfermedad.11 Otro fármaco que se considera seguro es la pentoxifilina, un derivado metilado de la xantina, por su efecto reductor de viscosidad, disminución de la agregación plaquetaria y de la trombosis, cuyo efecto es aún investigado.23
En caso de presentar hiperparatiroidismo, el tratamiento puede ser quirúrgico o farmacológico.5 Diversos estudios respaldan el uso de cinacalcet como tratamiento de calcifilaxis, un calcio mimético, cuyo mecanismo de acción produce el incremento de sensibilidad de los receptores de calcio, lo que disminuye la PTH sérica, y ha demostrado atenuar las calcificaciones en las válvulas cardiacas y la aorta, así como disminuir hasta 75% de la calcifilaxis.54,64 Floege y su grupo64 realizaron el estudio aleatorizado EVOLVE con 3,883 pacientes en TSR con hemodiálisis e hiperparatiroidismo secundario, en los cuales realizaron dos grupos: el grupo A con tratamiento con cinacalcet, el cual disminuyó la hormona paratiroidea intacta, y el grupo B, con placebo.65 De acuerdo con este estudio, la incidencia de calcifilaxis se redujo 70% en el grupo A. Velasco y colaboradores describieron la resolución de úlcera distal en pierna con cinacalcet de 60 a 120 mg cada 24 horas por nueve meses.66 Por su parte, Mohammed y otros trataron la calcifilaxis proximal con cinacalcet a dosis de 30 mg cada 24 horas con una mejoría clínica a los cinco meses.39 Como regla general, el cinacalcet se considera útil sólo en pacientes con hiperparatiroidismo secundario.54
En caso de resistencia al tratamiento, la paratiroidectomía es el tratamiento de elección,67 con precaución en el trato de la herida y la probabilidad aumentada de sobreinfección.54,65,68 Weening y su equipo de investigación41 realizaron un estudio en 47 pacientes con calcifilaxis, en el que compararon la utilidad de la paratiroidectomía en la sobrevida a un año, reportando diferencias no significativas en la mortalidad, aunque esta conclusión es debatida debido al poco volumen de pacientes en dicho estudio. Duffy y colaboradores69 reportaron que la paratiroidectomía debía ser considerada en todos los pacientes, incluso con nivel de PTH normal, en los cuales no se logra un control con medidas conservadoras.
Por último, la terapia con oxígeno hiperbárico se utiliza para el tratamiento de la herida y consiste en mantener al paciente en un ambiente con oxígeno al 100% para aumentar su cantidad en plasma y promover con ello la curación de las úlceras. Otro efecto importante es su actividad bactericida y bacteriostática, la cual promueve la actividad neutrofílica contra Clostridioides, Escherichia y Pseudomonas, produce angiogénesis y proliferación fibroblástica, y permite la vasoconstricción para la prevención del edema y de la lesión por reperfusión. Esta terapia ha demostrado ser efectiva en pacientes con calcifilaxis distal sin hiperparatiroidismo secundario, sin condición quirúrgica o los refractarios a paratiroidectomía;2 asimismo, se recomienda en conjunto con el tratamiento médico o quirúrgico previamente mencionado.54
Prevención
La calcifilaxis es una enfermedad identificable y con factores de riesgo prevenibles. La Fundación Nacional Renal de Estados Unidos realizó recomendaciones que pueden prevenir la calcifilaxis en pacientes con TSR en hemodiálisis: mantener el fosfato con valor sérico de 3.5 a 5.5 mg/dL, el calcio sérico de 8.4 a 9.5 mg/dL y PTH de 150 a 300 pg/mL, así como el nivel de calcio-fosfato menor de 55 mg2/dL2.70 En pacientes con TSR en hemodiálisis, el estado de nutrición cobra vital importancia al evitar la deficiencia de albúmina que predispone al desarrollo de calcifilaxis, así como en el control de diabetes mellitus, obesidad y control de la pérdida de peso a una velocidad adecuada. Los pacientes con riesgo elevado de calcifilaxis deben evitar someterse a tratamientos con inyecciones subcutáneas, heparina, tratamiento con albúmina, pérdida de peso acelerada y situaciones de hipoperfusión como hipotensión.










nueva página del texto (beta)



