Introducción
Los defectos congénitos del arco posterior del atlas de acuerdo al estudio de Geipel1 en 1930, realizado en 1,613 autopsias, se observan en 4% de la población; más recientemente tanto Sabuncuoglu2 y colaboradores como Kwon3 y su grupo estiman una incidencia de 0.7 a 3%. La mayoría de los pacientes por lo regular son asintomáticos, el diagnóstico se efectúa de manera casual al tomar radiografías de columna cervical posterior a traumatismo, los hallazgos resultan de trascendencia, pues existe la posibilidad de confundirlos con fractura o luxación de la porción proximal de la columna cervical.4 Al presentarse un paciente con manifestaciones de vértigo giratorio y amaurosis bilateral transitorios de mínima duración, relacionados con posición de la columna cervical que corresponden a trastornos transitorios e intermitentes de irrigación vertebral y con antecedente de haber sufrido traumatismo por mecanismo de latigazo en columna cervical, se le estudió y se observó anomalía congénita del arco posterior del atlas, y anterolistesis de C4/C5; siendo el motivo de esta comunicación, ya que es importante principalmente en los servicios de urgencias por llegar a confundirse con fractura de columna cervical, en particular con fractura de Jefferson, ante traumatismo ocasionado por accidente automovilístico.
Caso clínico
Masculino de 59 años, sin antecedentes heredofamiliares de importancia, en septiembre de 2018 sufrió percance automovilístico con choque de frente siendo el copiloto, valorado por médico, se prescribió collarín blando por una semana, posteriormente inició con sensación de vértigo giratorio por lapsos de uno a dos minutos; valorado por neurólogo con tomografía craneal, la cual no mostró datos anormales, permaneció asintomático hasta enero de 2019 cuando presentó cuadro gripal por tres días, con accesos de tos y/o estornudos, sensación de amaurosis momentánea y obnubilación asociada a vértigo giratorio (ambas con duración no mayor de 10 segundos) y tirantez en músculos paravertebrales cervicales, sin pérdida del estado de alerta, se observó que: en posición de decúbito dorsal con mentón recargado sobre el pecho al tratar de leer presentó las mismas sensaciones durante cinco ocasiones, además de cefalea occipital y cervicalgia con duración de 10 minutos, por lo que decide acudir a rehabilitación. A la exploración, masculino acorde a la edad, con postura de columna cervical con tendencia a flexión lateral derecha, marcha sin alteraciones, prueba de Romberg negativa, posición unipodal manteniendo equilibrio por 30 segundos sin problema de manera bilateral, cráneo y cara normales, pupilas simétricas con reflejos fotomotor y consensual normales, campos visuales normales, resto de pares craneales sin alteraciones, cuello con tendencia a flexión lateral derecha, con arcos de movilidad completos, con moderado dolor a la presión digital sobre apófisis espinosas cervicales a nivel C4-C5, tiroides no palpable; extremidades superiores e inferiores con arcos de movilidad normales, examen clínico muscular con 5/5 global para las cuatro extremidades, sensibilidad, reflejos osteotendinosos y llenado capilar normales, reflejos patológicos de Hoffmann, Kernig, Brudzinski y Babinski ausentes.
Con manifestaciones clínicas relacionadas con circulación de arterias vertebrales, se solicitaron radiografías AP, lateral y proyección transoral (Figura 1), las cuales revelaron: escoliosis cervical izquierda, inversión de la lordosis con vértice en C4-C5, anterolistesis de C4/C5 grado I, disminución de los espacios discales C3-C4 y C6-C7 por discartrosis, así como ausencia de arco posterior del atlas, con presencia sólo de tubérculo posterior, además se observa osteofito en protuberancia occipital externa. Se solicitaron radiografías dinámicas y tomografía computarizada de columna cervical, las primeras mostraron verticalización del tubérculo posterior del atlas a la flexión, y horizontalización del mismo en extensión, además de anterolistesis C4/C5 (Figura 2), la tomografía confirmó diagnóstico de anomalía congénita del atlas tipo D de la clasificación de Currarino (Figuras 3 y 4). Se prescribió collarín blando para limitar parcialmente la movilidad de columna cervical, se indicó evitar flexo-extensión máxima de columna cervical durante actividades laborales, así como evitar lectura o ver televisión en cama. Se canalizó a valoración por neurocirugía de la anterolistesis C4/C5, responsable a nuestro juicio de la sintomatología del paciente, neurocirugía le propuso fijación C4-C5, a lo que el paciente se negó, fue remitido nuevamente a rehabilitación para tratamiento por considerar que la anomalía congénita no era responsable de sintomatología, se aplicaron 10 sesiones de fisioterapia a columna cervical a base de compresas químicas y ultrasonido a dosis de 1.5 watts/cm2, así como ejercicios de fortalecimiento muscular de paravertebrales aunado a las indicaciones antes anotadas, se dio de alta de rehabilitación asintomático, con cita abierta a neurocirugía en caso de reanudar sintomatología.

Figura 1: Radiografías lateral y anteroposterior de columna cervical que muestran en la proyección lateral: (A) rectificación de la porción proximal y distal de la columna cervical, con inversión de la lordosis con vértice en C4-C5 (flecha); por anterolistesis de C4/C5, disminución de los espacios discales C3-C4 y C6-C7; hay ausencia de arco posterior del atlas, con presencia únicamente de tubérculo posterior (flecha). Se observa osteofito en protuberancia occipital externa (flecha). (B) En la proyección AP se aprecia escoliosis cervical izquierda. (C) En proyección AP transoral con boca abierta, se observa asimetría en la distancia del borde interno de las masas laterales del atlas a la apófisis odontoides (4 mm derecha, 7 mm izquierda) con disminución del espacio articular atlantoaxoideo derecho, condicionada por escoliosis cervical izquierda.

Figura 2: Proyecciones dinámicas de columna cervical que muestran: verticalización del tubérculo posterior del atlas durante la flexión, y horizontalización del mismo a la extensión, además de la anterolistesis C4/C5.

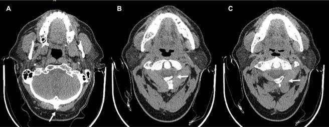
Figura 3: Imágenes de tomografía computarizada en proyección axial. (A) a nivel de protuberancia occipital externa se observa osteofito (moño cervical); (B) y (C) cortes a nivel del atlas, confirmando ausencia de hemiarcos posteriores del atlas con permanencia del tubérculo posterior.
Discusión
Embriológicamente, durante la séptima semana de gestación existen tres centros de osificación del atlas: el centro de osificación anterior da origen al tubérculo anterior, dos centros laterales forman las masas laterales y el arco posterior que incluye el tubérculo posterior; en 2% de la población se observa un cuarto centro de osificación que forma el tubérculo posterior. Al nacimiento, los arcos posteriores están casi fusionados a excepción de varios milímetros de cartílago, la unión se produce entre las edades de tres y 10 años; se piensa que los defectos del arco posterior del atlas se producen debido a una falla de la condrogénesis local.5 Ante la presencia de defectos del atlas debe buscarse intencionadamente la asociación con múltiples anomalías congénitas.6
La clasificación de los defectos del arco posterior del atlas efectuada por Currarino7 (Figura 4) indica que existen cinco diferentes tipos de anomalía (Figura 5), siendo más frecuente la tipo A en más de 95% de los casos, el caso que se presenta se catalogó de tipo D por la ausencia de hemiarcos posteriores con presencia de tubérculo posterior.

Figura 5: Imágenes tomográficas con reconstrucción 3D de columna cervical en diferentes proyecciones, que muestran la ausencia del arco posterior del atlas, con persistencia del tubérculo posterior.
La mayoría de los pacientes portadores de anomalías del arco posterior del atlas son asintomáticos4 y al diagnóstico se llega de manera incidental al efectuar radiografías de columna cervical posterior a accidentes de tráfico; sin embargo, se describe que el defecto puede originar cefalea occipital, cervicalgia crónica8 e incluso signo de Lhermitte9 (sensación breve de tipo descarga eléctrica provocada por la flexión voluntaria o pasiva del cuello, la cual se irradia por la columna, indicando irritación del cordón posterior de la médula espinal a nivel cervical), hay reportes de cuadriparesia intermitente,10 mielopatía11 y un caso de disección de arteria vertebral12 en particular en las variedades C y D en los que existe el tubérculo posterior del atlas, por lo que estas dos variedades deben considerarse un factor de riesgo de morbilidad neurológica más que una variante del desarrollo. En el paciente motivo de esta comunicación predominaron las manifestaciones de síndrome de arterias vertebrales relacionadas principalmente con flexo-extensión de cuello; sin embargo, se consideró que la anterolistesis de C4/C5 es responsable de la sintomatología por posible compresión del trayecto de arterias vertebrales; en cuanto a la asimetría de los espacios del odontoides a las masas laterales se explican por la presencia de escoliosis izquierda, corroborados por disminución del espacio articular facetario C1-C2 derecho que se observa en la proyección transoral.
El estudio inicial de diagnóstico es la radiografía lateral de columna cervical, la cual es de trascendencia, pues se puede confundir con fractura del atlas y o axis, siendo la tomografía computarizada la ideal para poder visualizar en el plano axial al atlas y lograr clasificar el tipo de defecto. La resonancia magnética se utiliza en aquellos casos con manifestaciones neurológicas o presencia de mielopatía, que además resulta de utilidad en el diagnóstico diferencial para no confundir con lesiones líticas del arco posterior.13
En pacientes asintomáticos no se requiere tratamiento; sin embargo, en las variedades tipo C y D se sugiere al paciente no practicar deportes de contacto para evitar riesgo a la médula espinal, en aquellos casos con sintomatología y/o compromiso medular, la cirugía con extirpación del tubérculo posterior se considera curativa,14 cuando existe inestabilidad atlantoaxoidea se indica la fijación cráneo-cervical.










nueva página del texto (beta)



