Introducción
El divertículo de Kommerell fue descrito por primera vez en 1936 por el radiólogo alemán Burckhard F. Kommerell, quien lo descubrió durante la realización de un estudio radiológico.1 También conocido como “divertículo lusoria” o “divertículo remanente”, consta de una dilatación aneurismática congénita presente en el origen de una arteria subclavia aberrante y representa una variación vascular poco común.2,3 La arteria subclavia derecha aberrante suele ser la anomalía más frecuente en las alteraciones del arco aórtico, pudiendo encontrarse en 1.8% de los casos; hasta en 60% de las ocasiones, se asocia a un divertículo de Kommerell.4,5 Presentamos a un paciente de 76 años de edad con un síndrome coronario agudo y el hallazgo incidental de una arteria subclavia derecha aberrante. En nuestro país se desconoce la incidencia de esta asociación, ya que se tienen pocos casos reportados en la bibliografía.
Presentación del caso clínico
Masculino de 76 años de edad con antecedentes de hipertensión arterial sistémica de 10 años de evolución y dislipidemia mixta de reciente diagnóstico, ambas en tratamiento. Inició su padecimiento treinta días previos a su ingreso presentando cuadros de dolor torácico opresivo, autolimitados y sin relación con esfuerzo, por lo que acudió a Urgencias. Se presentó reactivo, alerta, con TA 120/70 mmHg, FC 81 lpm, FR 18 rpm, saturando al 97% aire ambiente, temperatura 36.5o.
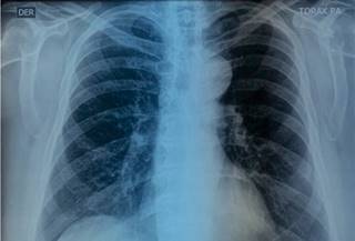
Se solicitó una placa de tórax, que mostró prominencia del botón aórtico (Figura 1).
Se realizó una TAC contrastada, con la cual se observó una variante anatómica: origen aberrante de la subclavia derecha. Se obtuvo calcio coronario en 130 UA. Se llevó a cabo una aortografía, que reveló un origen único de ambas carótidas, origen independiente de la subclavia izquierda y sobre la aorta torácica descendente, un trayecto ectásico hacia la subclavia derecha, lo que confirmó la presencia del divertículo de Kommerell. La coronariografía dejó ver enfermedad arterial coronaria severa de un vaso, con oclusión de 30% del tronco coronario izquierdo, lesión ateromatosa de la DA con oclusión proximal de 90% y media de 100%, compatible con oclusión crónica total, lo que condicionaba cardiopatía isquémica crónica (Figuras 2 a 5).

Figura 2: Tomografía axial computarizada del tórax; muestra el origen común de las arterias carótidas.

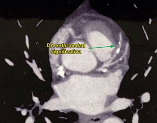
Figura 3: Tomografía axial computarizada del tórax que muestra la obstrucción significativa en la arteria coronaria descendente anterior.

Figura 4: Tomografía contrastada donde se aprecia la salida aberrante de la arteria subclavia derecha.

Figura 5: Aortografía: se muestra la presencia del divertículo de Kommerell en el origen de la arteria subclavia derecha aberrante.
Se decidió realizar una intervención coronaria percutánea multisegmento debido al hallazgo de enfermedad severa difusa, tanto del segmento medio como del proximal de la DA. Se introdujeron catéteres balón y se llevaron a cabo insuflados desde el segmento medio-distal hasta el proximal, con resultados subóptimos. Se procedió a la colocación de una endoprótesis medicada liberadora de everolimus con polímero bioabsorbible PtCr 2.5 × 38 mm en el segmento medio distal, y empalmada proximalmente a esta, se colocó otra endoprótesis PtCr 2.75 × 38 mm, con 0% de lesión residual, sin compromiso de los vasos secundarios y obteniendo flujos finales TIMI III.
El paciente se ingresó a la Unidad de Terapia Intermedia con diagnóstico de SICA IAM DA + divertículo de Kommerell para su vigilancia y tratamiento antiisquémico; se mantuvo hemodinámicamente estable y asintomático durante su estancia hasta su egreso a piso, y luego, a su domicilio.
Discusión
El divertículo de Kommerell tiene una baja incidencia en nuestro medio, siendo el más frecuente en el origen de salida de la arteria subclavia izquierda.6 La mayor parte de los pacientes permanecen asintomáticos. En los adultos, la presencia de síntomas está relacionada con cambios ateroscleróticos, rigidez en los vasos anómalos o disección, que producen disfagia, disnea y dolor torácico.7 Nuestro paciente acudió al Servicio de Urgencias a causa de un dolor torácico opresivo compatible con el cuadro clínico del divertículo y de un síndrome coronario agudo.
En nuestro conocimiento, por el momento no se cuenta con la incidencia de la asociación entre el síndrome coronario agudo y el divertículo de Kommerell. Presentamos este caso para tener en cuenta esta asociación atípica y las posibles complicaciones que pueda ocasionar para el abordaje técnico (angioplastia) terapéutico. Es importante que médicos especialistas tengan en mente esta asociación en el momento del diagnóstico y tratamiento.










nueva página del texto (beta)



