Introducción
Las lesiones por inhalación se definen como daño al tracto respiratorio o tejido pulmonar secundario a humo, calor o agentes químicos. En Estados Unidos, se reportan alrededor de 125 casos por esta causa por año. El daño se presenta cuando el agente inhalado se deposita en los bronquios y epitelio alveolar, presentando una reacción de hipersensibilidad y en algunos casos irritación directa a nivel pulmonar, provocando inflamación que desencadena diversos mecanismos de reclutamiento celular. La presentación clínica es inespecífica, ocurriendo horas o incluso días tras la exposición. Con los estudios de gabinete se encuentran datos de edema pulmonar, fibrosis intersticial, opacidades en parche, imagen en vidrio despulido, especialmente en las formas agudas. El tratamiento inicial es con oxígeno, medidas de sostén, uso de esteroides y broncodilatadores durante la fase aguda.1 Se presenta el caso de un hombre de 39 años quien ingresa al presentar disnea progresiva secundaria a la inhalación de heptano.
Presentación de caso
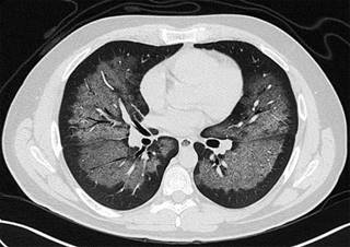
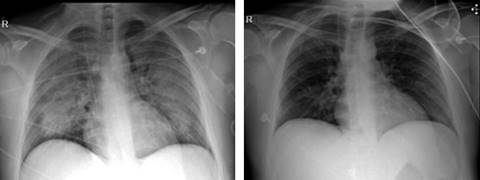
Hombre de 39 años, originario y residente de la Ciudad de México, licenciado en Administración. Con antecedente de neumopatía crónica por uso y abuso del tabaco, con un índice tabáquico de 20.7, además de dislipidemia de reciente diagnóstico en tratamiento con fenofibrato 250 mg vía oral cada 12 horas. Inicia su padecimiento el día 21 de junio del año en curso, posterior a exposición con líquido limpiador de calzado a base de heptano, isobutano, petróleo de fracción alifática ligera y propano; con un tiempo de contacto de dos horas, mientras se encontraba en un sitio con mala ventilación. Dos horas posteriores a la exposición inició con tos seca intermitente, progresando a disnea de pequeños esfuerzos, dolor torácico opresivo que se exacerbaba a la inspiración, motivo por el cual acudió a valoración a una unidad médica en donde se le inició abordaje diagnóstico con toma de radiografía de tórax, laboratorios y gasometría, encontrándose con datos sugestivos de neumonitis química; se inició manejo con esteroides intravenosos y broncodilatadores a dosis no especificada, se egresó a domicilio a petición del paciente. Veinticuatro horas posteriores a su egreso persistía con la misma sintomatología, por lo que acude al Servicio de Urgencias del Hospital Ángeles del Pedregal. A su ingreso se encontraba taquicárdico y con taquipnea con tensión arterial de 130/80 mmHg, afebril, saturación de oxígeno de 88% al aire ambiente. Inicialmente se tomó gasometría arterial con datos de alcalosis respiratoria crónica, mejorando la saturación con aplicación de oxígeno suplementario por puntas nasales llegando hasta 94% de saturación. A la exploración física faringe con hiperémica, tórax simétrico, con adecuados movimientos respiratorios, a la auscultación con ruidos respiratorios disminuidos de predominio en hemitórax izquierdo, vibraciones vocales disminuidas en ambos hemitórax, sin estertores o sibilancias, así como taquicardia de 120 por minuto; resto de la exploración sin alteraciones. Se solicitó tomografía simple de tórax (Figura 1), evidenciándose patrón alveolar central y difuso en lóbulos superiores, lóbulo medio, segmento lingular, segmento superior y segmento medial de ambos lóbulos inferiores con lo que se hizo el diagnóstico de neumonitis. Con estas evidencias y de acuerdo con su condición clínica se decidió su ingreso a la Unidad de Terapia Intensiva, con diagnóstico de neumonitis y quemadura química de la vía aérea, clasificándose como SOFA 2 de puntos, con una mortalidad de 6 al 8%. Se tomó electrocardiograma el cual mostró ritmo sinusal y sin datos de dilatación de cavidades y/o presencia de arritmias; los laboratorios con leucocitosis a expensas de neutrófilos, proteína C reactiva 86.57 mg/L, VSG 1 mm/hora, procalcitonina 11.87 ng/mL, glucosa 122 mg/dL, sin alteración a la función renal en niveles séricos. El tratamiento inicial fue a base de salbutamol/ipratropio 250 μg cada ocho horas, budesónida 800 μg cada seis horas, metilprednisolona un g cada 24 horas por tres días, meropenem un g cada ocho horas y claritromicina 500 mg cada 12 horas. Durante sus primeras 24 horas de estancia en la unidad, continuaba con persistencia de taquipnea (frecuencia respiratoria [FR] 35 respiraciones/min), decidiéndose manejo avanzado de la vía aérea, manteniéndose con ventilación mecánica asistida por 96 horas, en modo controlado por volumen (FR 14, VC 600, sensibilidad 2.1, PEEP 10), con parámetros de distensibilidad estática de 125 y distensibilidad dinámica 44.5. Por mejoría de imagen radiográfica y menor dependencia a la VMA, se realizó extubación sin presentar complicaciones, manteniendo adecuada saturación con puntas de alto flujo. Se muestra la progresión radiográfica (Figura 2) en la cual se evidencia mejoría de la radiopacidad generalizada en el parénquima pulmonar.

Figura 1: Tomografía simple de tórax, con patrón alveolar central y difuso en lóbulos superiores, lóbulo medio, segmento lingular, segmento superior y segmento medial del lóbulo inferior de ambos pulmones sugestivo de neumonitis.

Figura 2: Progresión en radiografía de tórax (izquierda al ingreso, derecha el día del egreso), evidencia de mejoría de la radiopacidad generalizada en el parénquima pulmonar.
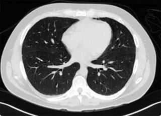
Al cuarto día pasó a la Unidad de Terapia Intermedia para continuar con vigilancia manteniéndose hemodinámicamente estable sin datos de dificultad respiratoria. El control tomográfico del día 02 agosto (Figura 3), mostró algunos datos de vidrio despulido, sugestivos de neumonitis, siendo más evidente en la língula, lo que demostró mejoría franca en relación a estudio previo de ingreso. Se realizó estudio de DLCO2 el cual se reportó con patrón restrictivo leve sin alteraciones a la difusión de CO2.
Discusión
Los hidrocarburos, específicamente los de cadena larga, requieren dosis altas para causar toxicidad. Éstos son utilizados como disolventes orgánicos; el vapor desprendido cruza fácilmente las membranas celulares por su gran solubilidad lipídica, alcanzando concentraciones altas a nivel de sistema nervioso central.2,3 Específicamente en este caso, el agente desencadenante se compone de C7H16, siendo un hidrocarburo saturado alifático o lineal de la familia de los alcanos, conocido como heptano, metano dipropilo e hidruro heptil, insoluble en agua y con presentación a temperatura ambiente de líquido incoloro y con olor leve a gasolina, de características inflamables. El límite de exposición permisible para la OSHA (Administración de Seguridad y Salud Ocupacional) es de 500 ppm; durante su uso se recomienda permanecer en un lugar ventilado, en casos de dosis altas se deberán utilizar interfaces protectoras (guantes, mascarilla facial y lentes).4
La forma de presentación más frecuente es por inhalación, seguidos de contacto directo y/o ingestión. Durante la inhalación se produce una lesión directa al epitelio pulmonar a diferentes niveles del tracto respiratorio, condiciones pulmonares preexistentes hacen más susceptible a los efectos nocivos; la presentación va desde traqueítis hasta edema pulmonar; si se asocia a neumonitis empeora el pronóstico.2-5 La inhalación ocasiona disrupción del surfactante y disminución de la elasticidad pulmonar, concomitantemente existe inflamación, edema y necrosis. El edema alveolar se produce por daño en el epitelio alveolar, dañando los neumocitos, desprendiéndose éstos y con la presencia de líquido y proteínas tanto en los alveolos como en espacio intersticial así como infiltrado celular inflamatorio. La hipoxia es debida a alteraciones en la ventilación-perfusión, formación de shunts arteriovenosos y la presencia de broncoespasmo y edema de la vía aerea.6,7 Los síntomas aparecen de forma aguda o bien insidiosa (subaguda o crónica) dependiendo de la dosis y tiempo de exposición. La presentación clínica se divide por etapas, la primera etapa se caracterizada por la presencia de euforia, excitabilidad, desinhibición y conducta inapropiada, irritación oral o traqueobronquial, tos, cefalea, mareo, náusea y visión borrosa. La segunda fase presenta datos asociados a depresión del sistema nerviosos central, disfunción sensorial simétrica de predominio distal, debilidad muscular, pérdida de reflejos osteotendinosos, rinitis, bronquitis y datos de dificultad respiratoria.8,9 En la Tabla 1 se comentan los criterios diagnósticos que orientan al diagnóstico.10,11 Se requiere al menos un criterio mayor asociado a dos menores para tener un diagnóstico probable.
Tabla 1: Criterios diagnósticos.
| Mayores | Menores |
|---|---|
| • Síntomas compatibles | • Estertores crepitantes de predominio infra escapular bilaterales |
| • Evidencia de exposición | • Difusión de monóxido de carbono baja |
| • Datos compatible por imagen (radiográficos/tomográficos) | • Hipoxemia arterial en reposo y/o ejercicio |
| • Lavado bronquio alveolar con predominio de linfocitos | |
| • Cambios histológicos compatibles |
Los estudios de imagen son de gran utilidad ya que permiten identificar imágenes que, aunque no son específicas, son sugestivas de neumonitis con la presencia de patrón en vidrio despulido y formando imágenes concéntricas, siendo más evidentes en la tomografía de alta resolución, otros hallazgos como broncograma aéreo, neumatocele y derrame pleural también son frecuentes. Al lavado bronquioloalveolar (LBA) se encuentran predominantemente componentes celulares de tipo linfocítico y a la biopsia pulmonar el patrón histológico característico es la inflamación intersticial linfocítica y granulomas mal definidos. Todos los pacientes con síntomas respiratorios o neurológicos deben ser ingresados para vigilancia continua con monitorización hemodinámica, oximetría continua y monitoreo con electrocardiograma para detección de arritmias letales.12 Posterior al evento agudo se deben realizar pruebas no invasivas como espirometría para descartar la presencia de patrón restrictivo, tomografía de tórax de alta resolución para excluir o confirmar la presencia de fibrosis y prueba de difusión para CO2.12
El tratamiento de la lesión aguda requiere medidas de soporte, aplicación de oxígeno suplementario al 100% y broncodilatadores, ya que existe afección de las vías aéreas, se recomienda vigilancia por al menos seis horas a menos que se encuentren datos de insuficiencia respiratoria para lo que está indicada la hospitalización; la presencia de lesión a nivel laríngeo o lesión severa de la vía aérea y alveolar, requiere intubación inmediata, con un volumen tidal recomendado de 6 mL/kg.13 Se considera que los antibióticos y los esteroides son de utilidad en los cuadros agudos. El pronóstico suele ser bueno para la vida y la función, más del 90% de los individuos con lesión pulmonar por inhalación tiene una recuperación completa y menos de un 10% presentan complicaciones como falla respiratoria aguda, lesión laríngea y edema pulmonar no cardiogénico. Los eventos fatales se deben a presencia de arritmias letales; a largo plazo se puede asociar a síndrome de reactividad de la vía aérea, bronquiolitis obliterante, neumonía criptogénica organizada así como fibrosis.14,15










nueva página del texto (beta)



