Introducción
El sarcoma fibromixoide (SFM) de bajo grado es un tumor raro, descrito por Evans en 1987 como un tumor de curso clínico e histología aparentemente benignos, pero con comportamiento local y a distancia agresivo.1 Su frecuencia es de 0.7% de todos los tumores de tejido blando; la mayor parte se origina en la grasa subcutánea o en los tejidos blandos profundos del muslo; puede afectar también, por orden de frecuencia, a la pared torácica/axila, los hombros, la región inguinal, las nalgas y el cuello; otras localizaciones más infrecuentes son el retroperitoneo, el mesenterio, el lecho ungueal, el ligamento falciforme, la cápsula renal y el mediastino. Puede aparecer a cualquier edad, aunque es más frecuente a los 34 años; aproximadamente, el 20% de las veces se presenta en menores de 18 años.2 Al presentarse una paciente en quien se llegó al diagnóstico mencionado y quien se ha seguido por dos años, nos dimos a la tarea de presentar el caso motivo de esta comunicación.
Caso clínico
Paciente femenina de 49 años de edad, ama de casa, deportista de alto nivel (realiza tres horas diarias de ejercicios aeróbicos desde hace 10 años). Acudió a rehabilitación el 3 de enero de 2013 por presentar dolor moderado en la zona lateral de la nalga izquierda de tres meses de evolución, manifestado durante la carrera; reportó aumento de volumen de la zona mencionada. A la exploración, se observó aumento de volumen discreto por arriba del trocánter mayor, correspondiendo a masa no dolorosa de consistencia firme, de 5 × 4 cm, fija a planos profundos, dependiendo del músculo glúteo medio por desplazarse con él durante la abducción de la cadera; los arcos de movimiento articular de los miembros pélvicos fueron normales. Al examen clínico muscular: músculos de MI calificados en 5/5 bilateral; reflejos y sensibilidad, normales. Con los datos anteriores, se efectuó el diagnóstico de tumor de tejidos blandos, por lo que se solicitó TAC de abdomen y pelvis, la que mostró presencia de una lesión ocupativa dependiente del músculo glúteo medio izquierdo, con extensión a tejido celular subcutáneo adyacente, con diámetros de 4.7 × 3.8 cm, isodensa, de contornos lobulados bien definidos, con reforzamiento posterior a la administración de contraste endovenoso (Figura 1); abdomen normal. Ultrasonido de la región: se identificó un conglomerado ganglionar en la región inguinal superficial, el mayor con dimensiones de 2.4 cm; este no mostró vascularidad anormal con Doppler color; retroperitoneo sin adenomegalias. Se canalizó a oncología, con el diagnóstico de sarcoma; se le realizó biopsia incisional; se documentó sarcoma fibromixoide y, en un segundo tiempo, se efectuó resección amplia de la lesión. El reporte histopatológico mostró un espécimen irregularmente ovoide que correspondía a músculo estriado, con dimensiones de 4.5 cm de eje principal, fibroso y de color rojizo; microscópicamente, proliferación de células redondas y ovoides de manera difusa con patrón mixoide, que carecían de atipias y mitosis, alternando con sitios que constituían nódulos, que contenían células redondas dispuestas en hileras con abundantes haces de colágena hialina; las células proliferantes tenían citoplasma pálido y, en algunos sitios, eosinófilo; su núcleo era grande, nucléolos prominentes; en escasos sitios, las células mencionadas mostraban el núcleo lobulado e hipercromático y mitosis promedio de cinco por cada 20 campos a seco fuerte; en cortes de la zona periférica se identificó colágena hialina que contenía trabéculas de hueso metaplásico. Los bordes de sección quirúrgica, libres de actividad neoplásica; con diagnóstico de sarcoma fibromixoide de grado histológico bajo (Figura 2). El estudio inmunohistoquímico mostró CD-10, enolasa neuroespecífica y proteína S-100 negativas, con vimentina positiva, lo que apoyó el diagnóstico de sarcoma fibromixoide de los tejidos blandos. En ese momento, se catalogó en estadio IA (T1bN0M0).

Figura 1: Tomografía computada, corte axial a nivel pélvico, mostrando lesión ocupativa dependiente del músculo glúteo medio izquierdo, isodensa, de contornos bien definidos, con diámetros de 4.7 × 3.8 cm. Histológicamente, correspondió a un sarcoma fibromixoide de bajo grado en una paciente femenina de 49 años.

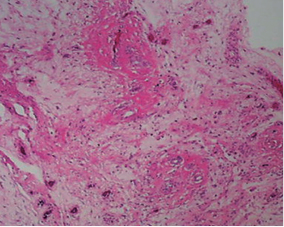
Figura 2: Corte histológico que muestra células redondas y ovoides que proliferan de manera difusa con patrón mixoide, carecen de atipia y mitosis, alternando con abundantes haces de colágena hialina. La inmunohistoquímica mostró vimentina positiva y proteína S100 negativa. Diagnóstico histológico: sarcoma fibromixoide de bajo grado.
Se sometió a radioterapia con aplicación local de 50 Gy en 25 fracciones y quimioterapia en 10 ciclos de ifosfamida y doxorrubicina. Posteriormente, llevó control trimestral. Fue canalizada de nuevo a rehabilitación por presentar debilidad del músculo medio izquierdo con calificación 3/5; se efectuó un programa de reeducación y fortalecimiento muscular, así como reacondicionamiento físico; a los tres meses de rehabilitación alcanzó una fuerza muscular 5/5 para el glúteo medio y restitución de su condición física previa, pudiendo realizar ejercicio de la misma forma que antes de la cirugía.
A los 12 meses de control por oncología, manifestó sensación de fatiga a los 30 minutos de ejercicio, así como presencia de tos predominantemente nocturna, por lo que se solicitó TAC de tórax, que fue reportada como normal, así como resonancia magnética de la zona quirúrgica; no se encontraron recidivas. En el control a los 17 meses postdiagnóstico, se encontró una baja de peso de cuatro kilogramos en un mes, por lo que se efectuó una tomografía por emisión de positrones (PET)/CT de cuerpo completo, la cual reportó la presencia de lesiones líticas en esqueleto axial y apendicular siguientes: extremo medial de clavícula derecha, apófisis transversa derecha de T8, hemicuerpo izquierdo de T9, apófisis transversa izquierda de L1, espina iliaca anterosuperior izquierda, acetábulo derecho, acetábulo izquierdo, isquion izquierdo, cuello quirúrgico de fémur derecho, además de nódulos pulmonares bilaterales (Figuras 3 y 4). Se catalogó en ese momento en estadio IVB. Actualmente es manejada de manera paliativa con ciclos de dacarbacina, gemcitabina, denosumab y factor estimulante de colonias de granulocitos, además de recibir radioterapia 30 Gy en 10 sesiones. Se encuentra (10-I-2015) en protocolo para realizar vertebroplastia o cifoplastia con metilmetacrilato con relación a manejo de dolor óseo; se anota que continúa realizando 30 minutos de ejercicio aeróbico diario.

Figura 3: Estudio PET/CT mostrando lesiones en esqueleto axial y apendicular con características líticas.
Discusión
Los tumores de tejido blando forman un gran grupo heterogéneo de neoplasias; histomorfológicamente e inmunohistoquímicamente, los datos experimentales sugieren que la mayoría de los sarcomas parten de células mesenquimales primitivas multipotenciales, que en el curso de su transformación neoplásica se diferencian en una o más líneas celulares. El SFM de bajo grado es una variante de fibrosarcoma; su frecuencia es 1% de todos los tumores malignos según la Clasificación Internacional de Enfermedades Oncológicas de la OMS.3 Su etiología es desconocida, así como los factores de riesgo. Se caracteriza4 por una mezcla de zonas hipocelulares, colágena y nódulos mixoides; las células tumorales son generalmente pequeñas, con escaso citoplasma eosinófilo y núcleos redondos u ovoides con nucléolos ausentes; presenta áreas focales atípicas de alta celularidad, núcleos hipercromáticos; las células tumorales se caracterizan por escasas Figuras mitóticas y anaplasia nuclear. La tinción inmunohistoquímica es positiva para vimentina y negativa para desmina, queratina, proteína S100, antígeno epitelial de membrana, CD34, y CD31.2 El estudio mediante FISH de la fusión FUS/CREB3L2, resultado de la translocación t(7;16) (q33;p11), puede resultar de utilidad.5
En general, los tumores benignos de tejido blando se presentan 10 veces más frecuentemente que los malignos. Algunos datos han sido derivados del reporte del National Cancer Institute’s Surveillance, Epidemiology, and End Results (SEER) Program,6 el cual acumuló 14,771 tumores de tejido blando entre 1975 y 2011; 92 casos correspondieron a tumores fibromixoides. La incidencia anual de sarcomas de tejido blando varía de 15 a 35 casos por millón de habitantes, se incrementa con la edad y es discretamente mayor en el género masculino. Los tumores malignos de tejido blando se presentan dos veces más frecuentemente que los sarcomas óseos. Aproximadamente, 45% de los sarcomas se encuentran en las extremidades inferiores (como el caso que nos ocupa), 15% en las extremidades superiores, 10% en cabeza y cuello, 15% en retroperitoneo y el 15% restante en la pared abdominal y torácica; los sarcomas viscerales no son comunes.
Los sarcomas de tejidos blandos tienen la propensión a recurrir localmente; la resección completa y el uso de radioterapia son críticas durante el tratamiento inicial; su aplicación postoperatoria disminuye el riesgo de recurrencia asociada a una resección marginal.
La participación regional de los ganglios linfáticos es rara en los sarcomas de tejidos blandos; menos del 4% de los casos tienen metástasis ganglionares en la presentación. Muchos pacientes con sarcomas de tejidos blandos progresan a enfermedad metastásica, independientemente del control adecuado del tumor primario (como en el caso presentado); los pulmones son el sitio más común de metástasis (52%).
Respecto a la presentación,7 una masa es el signo más común de un tumor de tejido blando; por lo general, es indolora y no se acompaña de disfunción de las extremidades (como en la deportista que presentamos); dependiendo de la localización anatómica del tumor, puede causar dolor o síntomas neurológicos mediante la compresión o estiramiento nervioso o irritación de bursas adyacentes. El rápido aumento de volumen de una masa debe despertar sospechas de malignidad. La presencia de una masa en las extremidades de más de 5-7 cm, profunda, orienta al diagnóstico de tumor maligno de los tejidos blandos; sin embargo, hasta el 30% de los sarcomas de tejido blando se produce en el tejido subcutáneo y muestra un comportamiento relativamente poco agresivo. En el apoyo diagnóstico, aparte del estudio histológico y el análisis citogenético, no existen pruebas de laboratorio específicas para el diagnóstico de tumores de partes blandas. Los métodos de imagen utilizados8 son la tomografía computarizada (TC), la resonancia magnética y la gammagrafía ósea. La PET se utiliza con mayor frecuencia para evaluar la actividad metabólica de una lesión. En las imágenes de TC, estos tumores han sido descritos como isodensos al tejido muscular, y el componente mixoide como hipodenso. En la RM, el componente mixoide se describe como hipointenso en las imágenes potenciadas en T1 e hiperintenso en las imágenes en T2. El diagnóstico SFM generalmente es difícil y se requiere contar con las características morfológicas e inmunofenotípicas descritas anteriormente; si el diagnóstico sigue siendo poco claro, deben solicitarse estudios de citogenética con el fin de excluir el raro caso de SFM. La biopsia está indicada para una masa de partes blandas en un paciente sin antecedentes de trauma o una masa que persiste por más de seis semanas después de un trauma local, así como todas las masas de tejidos blandos mayores de 5 cm. El diagnóstico diferencial9 incluye aquellas lesiones de patrón celular fusiforme con componente mixoide o fibroso, como fibrosarcoma epitelioide esclerosante, neurofibroma mixoide, liposarcoma mixoide, angiomixomas, mixofibrosarcoma de bajo grado, neurofibromas, fibromatosis, histiocitoma fibroso, perineurinomas, tumores de las vainas de los nervios periféricos, tumores desmoides, fibrosarcoma desmoplásico y liposarcoma desdiferenciado de bajo grado.
En estadio IV (como en el caso de la evolución de la paciente que presentamos), las metástasis diseminadas pueden ser manejadas con tratamiento paliativo10 (radiación paliativa, quimioterapia y cirugía paliativa). La quimioterapia con combinación de agentes tiene altos grados de respuesta en enfermedad metastásica; sin embargo, se asocia a mayor toxicidad y no incrementa la supervivencia; su uso debe individualizarse, agregando soporte de factor estimulante de colonias de granulocitos (como en este caso).11 No existen guías específicas para metástasis y enfermedad recurrente, ya que el abordaje depende del estado del paciente y la histología tumoral.
Conclusiones
El sarcoma fibromixoide de bajo grado es un tumor infrecuente y puede simular otras neoplasias de partes blandas como la fibromatosis. Se describen recidivas y metástasis en hasta 68 y 40% de los casos, respectivamente, habiendo aparecido estas últimas hasta 45 años tras el diagnóstico inicial. La citología sólo es orientativa y el diagnóstico requiere estudio histopatológico con inmunohistoquímica y correlación clínica.










nueva página del texto (beta)



